MHC class I Recombinant Rabbit Monoclonal Antibody [JF10-38]
cat.: HA750347
Product Type: Recombinant Rabbit monoclonal IgG, primary antibodies
Species reactivity: Human
Applications: WB, IF-Cell, IHC-P, FC, IF-Tissue
Clonality: Monoclonal
Clone number: JF10-38
Form: Liquid
Storage condition: Store at +4℃ after thawing. Aliquot store at -20℃ or -80℃. Avoid repeated freeze / thaw cycles.
Storage buffer: 1*PBS (pH7.4).
Concentration: 1ug/ul
Purification: Protein A affinity purified.
Molecular weight: Predicted band size: 41 kDa
Isotype: IgG
Immunogen: Synthetic peptide within Human HLA aa 263-299 / 365.
Positive control: A431 cell lysate, HL-60 cell lysate, Jurkat cell lysate, Raji cell lysate, THP-1 cell lysate, HL-60, human colon cancer tissue, human liver cancer tissue, human tonsil tissue, human pancreas tissue.
Subcellular location: Cell membrane.
Recommended Dilutions:
  WB
  IF-Cell
  IHC-P
  FC
  IF-Tissue

1:1,000-1:2,000
1:100
1:200-1:1:1,000
1:1,000
1:200
Uniprot #: SwissProt: P04439 Human | P01889 Human
Alternative names: A 28 A 9 Antigen presenting molecule Aw 24 Aw 68 CLASS I HISTOCOMPATIBILITY ANTIGEN H2 K1 H2K HLA A HLA class I histocompatibility antigen A 1 alpha chain HLA class I histocompatibility antigen A 11 alpha chain HLA class I histocompatibility antigen A 2 alpha chain HLA class I histocompatibility antigen A 24 alpha chain HLA class I histocompatibility antigen A 3 alpha chain HLA class I histocompatibility antigen A 30 alpha chain HLA class I histocompatibility antigen A 32 alpha chain HLA class I histocompatibility antigen A 68 alpha chain HLAA Leukocyte antigen class I A Major histocompatibility complex class I A MHC class I antigen A 1 MHC class I antigen A*11 MHC class I antigen A*2 MHC class I antigen A*24 MHC class I antigen A*3 MHC class I antigen A*30 MHC class I antigen A*32 MHC class I antigen A*68 MHC class I antigen HLA A heavy chain MHC class I heavy chain H2 K
Images
HA750347_1.jpg Fig1: Western blot analysis of MHC class I on different lysates with Rabbit anti-MHC class I antibody (HA750347) at 1/1,000 dilution.

Lane 1: A431 cell lysate
Lane 2: HL-60 cell lysate
Lane 3: K-562 cell lysate (low expression)
Lane 4: Jurkat cell lysate
Lane 5: Raji cell lysate
Lane 6: THP-1 cell lysate

Lysates/proteins at 20 µg/Lane.

Predicted band size: 41 kDa
Observed band size: 45 kDa

Exposure time: 1 minute; ECL: K1801;

4-20% SDS-PAGE gel.

Proteins were transferred to a PVDF membrane and blocked with 5% NFDM/TBST for 1 hour at room temperature. The primary antibody (HA750347) at 1/1,000 dilution was used in 5% NFDM/TBST at 4℃ overnight. Goat Anti-Rabbit IgG - HRP Secondary Antibody (HA1001) at 1/50,000 dilution was used for 1 hour at room temperature.
HA750347_2.jpg Fig2: Western blot analysis of MHC class I on different lysates with Rabbit anti-MHC class I antibody (HA750347) at 1/2,000 dilution.

Lane 1: HAP1-parental cell lysate
Lane 2: HAP1-MHC class I KD cell lysate

Lysates/proteins at 10 µg/Lane.

Predicted band size: 41 kDa
Observed band size: 41 kDa

Exposure time: 30 seconds; ECL: K1801;
4-20% SDS-PAGE gel.

Proteins were transferred to a PVDF membrane and blocked with 5% NFDM/TBST for 1 hour at room temperature. The primary antibody (HA750347) at 1/2,000 dilution was used in primary antibody dilution (K1803) at 4℃ overnight. Goat Anti-Rabbit IgG - HRP Secondary Antibody (HA1001) at 1/50,000 dilution was used for 1 hour at room temperature.
HA750347_3.jpg Fig3: Immunocytochemistry analysis of HL-60 cells and K-562 (low expression) labeling MHC class I with Rabbit anti-MHC class I antibody (HA750347) at 1/100 dilution.

Cells were fixed in 4% paraformaldehyde for 20 minutes at room temperature, permeabilized with 0.1% Triton X-100 in PBS for 5 minutes at room temperature, then blocked with 1% BSA in 10% negative goat serum for 1 hour at room temperature. Cells were then incubated with Rabbit anti-MHC class I antibody (HA750347) at 1/100 dilution in 1% BSA in PBST overnight at 4 ℃. Goat Anti-Rabbit IgG H&L (iFluor™ 488, HA1121) was used as the secondary antibody at 1/1,000 dilution. PBS instead of the primary antibody was used as the secondary antibody only control. Nuclear DNA was labelled in blue with DAPI.

Beta tubulin (M1305-2, red) was stained at 1/100 dilution overnight at +4℃. Goat Anti-Mouse IgG H&L (iFluor™ 594, HA1126) was used as the secondary antibody at 1/1,000 dilution.
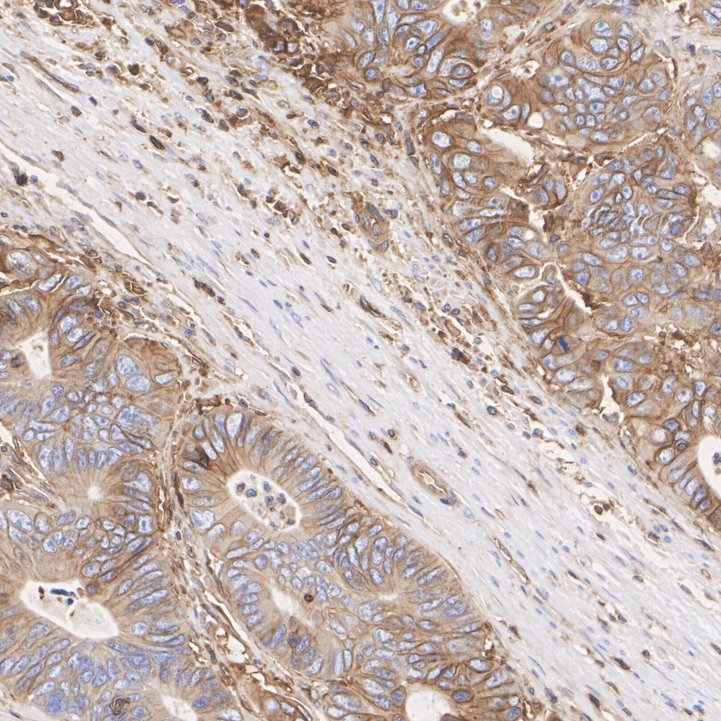
HA750347_4.jpg Fig4: Immunohistochemical analysis of paraffin-embedded human colon cancer tissue with Rabbit anti-MHC class I antibody (HA750347) at 1/1,000 dilution.

The section was pre-treated using heat mediated antigen retrieval with Tris-EDTA buffer (pH 9.0) for 20 minutes. The tissues were blocked in 1% BSA for 20 minutes at room temperature, washed with ddH2O and PBS, and then probed with the primary antibody (HA750347) at 1/1,000 dilution for 1 hour at room temperature. The detection was performed using an HRP conjugated compact polymer system. DAB was used as the chromogen. Tissues were counterstained with hematoxylin and mounted with DPX.
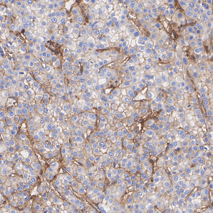
HA750347_5.jpg Fig5: Immunohistochemical analysis of paraffin-embedded human liver cancer tissue with Rabbit anti-MHC class I antibody (HA750347) at 1/200 dilution.

The section was pre-treated using heat mediated antigen retrieval with Tris-EDTA buffer (pH 9.0) for 20 minutes. The tissues were blocked in 1% BSA for 20 minutes at room temperature, washed with ddH2O and PBS, and then probed with the primary antibody (HA750347) at 1/200 dilution for 1 hour at room temperature. The detection was performed using an HRP conjugated compact polymer system. DAB was used as the chromogen. Tissues were counterstained with hematoxylin and mounted with DPX.
HA750347_6.jpg Fig6: Immunohistochemical analysis of paraffin-embedded human tonsil tissue with Rabbit anti-MHC class I antibody (HA750347) at 1/1,000 dilution.

The section was pre-treated using heat mediated antigen retrieval with Tris-EDTA buffer (pH 9.0) for 20 minutes. The tissues were blocked in 1% BSA for 20 minutes at room temperature, washed with ddH2O and PBS, and then probed with the primary antibody (HA750347) at 1/1,000 dilution for 1 hour at room temperature. The detection was performed using an HRP conjugated compact polymer system. DAB was used as the chromogen. Tissues were counterstained with hematoxylin and mounted with DPX.
HA750347_7.jpg Fig7: Immunohistochemical analysis of paraffin-embedded human pancreas tissue with Rabbit anti-MHC class I antibody (HA750347) at 1/200 dilution.

The section was pre-treated using heat mediated antigen retrieval with Tris-EDTA buffer (pH 9.0) for 20 minutes. The tissues were blocked in 1% BSA for 20 minutes at room temperature, washed with ddH2O and PBS, and then probed with the primary antibody (HA750347) at 1/200 dilution for 1 hour at room temperature. The detection was performed using an HRP conjugated compact polymer system. DAB was used as the chromogen. Tissues were counterstained with hematoxylin and mounted with DPX.
HA750347_8.jpg Fig8: Immunofluorescence analysis of paraffin-embedded human tonsil tissue labeling MHC class I with Rabbit anti-MHC class I antibody (HA750347) at 1/200 dilution.

The section was pre-treated using heat mediated antigen retrieval with Tris-EDTA buffer (pH 9.0) for 20 minutes. The tissues were blocked in 10% negative goat serum for 1 hour at room temperature, washed with PBS, and then probed with the primary antibody (HA750347, green) at 1/200 dilution overnight at 4 ℃, washed with PBS. Goat Anti-Rabbit IgG H&L (iFluor™ 488, HA1121) was used as the secondary antibody at 1/1,000 dilution. Nuclei were counterstained with DAPI (blue).
HA750347_9.jpg Fig9: Flow cytometric analysis of HL-60 cells labeling MHC class I.

Cells were fixed and permeabilized. Then stained with the primary antibody (HA750347, 1μg/mL) (red) compared with Rabbit IgG Isotype Control (green). After incubation of the primary antibody at +4℃ for an hour, the cells were stained with a iFluor™ 488 conjugate-Goat anti-Rabbit IgG Secondary antibody (HA1121) at 1/1,000 dilution for 30 minutes at +4℃. Unlabelled sample was used as a control (cells without incubation with primary antibody; black).
Note: All products are “FOR RESEARCH USE ONLY AND ARE NOT INTENDED FOR DIAGNOSTIC OR THERAPEUTIC USE”.