NQO1 Recombinant Rabbit Monoclonal Antibody [JF440-1]
cat.: HA750349
Product Type: Recombinant Rabbit monoclonal IgG, primary antibodies
Species reactivity: Human, Mouse, Rat
Applications: WB, IP, FC, IHC-P
Clonality: Monoclonal
Clone number: JF440-1
Form: Liquid
Storage condition: Store at +4℃ after thawing. Aliquot store at -20℃ or -80℃. Avoid repeated freeze / thaw cycles.
Storage buffer: 1*PBS (pH7.4).
Concentration: 1ug/ul
Purification: Protein A affinity purified.
Molecular weight: Predicted band size: 31 kDa
Isotype: IgG
Immunogen: Synthetic peptide within Human NQO1 aa 1-49 / 274.
Positive control: HCT 116 cell lysate, HepG2 cell lysate, NIH/3T3 cell lysate, C2C12 cell lysate, Mouse kidney tissue lysate, Rat kidney tissue lysate, human breast cancer tissue, MCF7.
Subcellular location: Cytoplasm.
Recommended Dilutions:
  WB
  IP
  FC
  IHC-P

1:1,000-1:5,000
Use at an assay dependent concentration.
1:1,000
1:1,000
Uniprot #: SwissProt: P15559 Human | Q64669 Mouse | P05982 Rat
Alternative names: Azoreductase Cytochrome b 5 reductase DHQU DIA 4 DIA4 Diaphorase (NADH/NADPH) (cytochrome b 5 reductase) Diaphorase (NADH/NADPH) Diaphorase 4 Dioxin inducible 1 DT diaphorase DT-diaphorase DTD Menadione reductase NAD(P)H dehydrogenase [quinone] 1 NAD(P)H dehydrogenase quinone 1 NAD(P)H menadione oxidoreductase 1 dioxin inducible NAD(P)H: menadione oxidoreductase 1 dioxin inducible 1 NAD(P)H:menadione oxidoreductase 1 NAD(P)H:Quinone acceptor oxidoreductase type 1 NAD(P)H:quinone oxidoreductase 1 NAD(P)H:quinone oxireductase NMOR 1 NMOR I NMOR1 NMORI NQO 1 NQO1 NQO1_HUMAN Phylloquinone reductase QR 1 QR1 Quinone reductase 1
Images
HA750349_1.jpg Fig1: Western blot analysis of NQO1 on different lysates with Rabbit anti-NQO1 antibody (HA750349) at 1/2,000 dilution.

Lane 1: HCT 116-si NT cell lysate
Lane 2: HCT 116-si NQO1 cell lysate

Lysates/proteins at 10 µg/Lane.

Predicted band size: 31 kDa
Observed band size: 31 kDa

Exposure time: 16 seconds; ECL: K1801;

4-20% SDS-PAGE gel.

Proteins were transferred to a PVDF membrane and blocked with 5% NFDM/TBST for 1 hour at room temperature. The primary antibody (HA750349) at 1/2,000 dilution was used in 5% NFDM/TBST at 4℃ overnight. Goat Anti-Rabbit IgG - HRP Secondary Antibody (HA1001) at 1/50,000 dilution was used for 1 hour at room temperature.
HA750349_2.jpg Fig2: Western blot analysis of NQO1 on different lysates with Rabbit anti-NQO1 antibody (HA750349) at 1/1,000 dilution.

Lane 1: HepG2 cell lysate (20 µg/Lane)
Lane 2: NIH/3T3 cell lysate (20 µg/Lane)
Lane 3: C2C12 cell lysate (20 µg/Lane)
Lane 4: Mouse kidney tissue lysate (40 µg/Lane)
Lane 5: Rat kidney tissue lysate (40 µg/Lane)

Predicted band size: 31 kDa
Observed band size: 31 kDa

Exposure time: 4 seconds; ECL: K1801;

4-20% SDS-PAGE gel.

Proteins were transferred to a PVDF membrane and blocked with 5% NFDM/TBST for 1 hour at room temperature. The primary antibody (HA750349) at 1/1,000 dilution was used in 5% NFDM/TBST at 4℃ overnight. Goat Anti-Rabbit IgG - HRP Secondary Antibody (HA1001) at 1/50,000 dilution was used for 1 hour at room temperature.
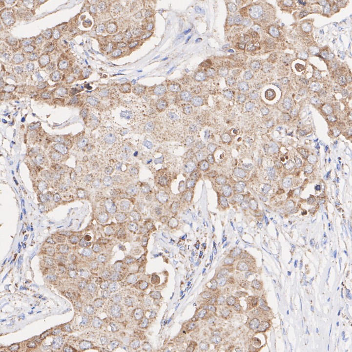
HA750349_3.jpg Fig3: Immunohistochemical analysis of paraffin-embedded human breast cancer tissue with Rabbit anti-NQO1 antibody (HA750349) at 1/1,000 dilution.

The section was pre-treated using heat mediated antigen retrieval with Tris-EDTA buffer (pH 9.0) for 20 minutes. The tissues were blocked in 1% BSA for 20 minutes at room temperature, washed with ddH2O and PBS, and then probed with the primary antibody (HA750349) at 1/1,000 dilution for 1 hour at room temperature. The detection was performed using an HRP conjugated compact polymer system. DAB was used as the chromogen. Tissues were counterstained with hematoxylin and mounted with DPX.
HA750349_4.jpg Fig4: Flow cytometric analysis of MCF7 cells labeling NQO1.

Cells were fixed and permeabilized. Then stained with the primary antibody (HA750349, 1/1,000) (red) compared with Rabbit IgG Isotype Control (green). After incubation of the primary antibody at +4℃ for an hour, the cells were stained with a iFluor™ 488 conjugate-Goat anti-Rabbit IgG Secondary antibody (HA1121) at 1/1,000 dilution for 30 minutes at +4℃. Unlabelled sample was used as a control (cells without incubation with primary antibody; black).
Note: All products are “FOR RESEARCH USE ONLY AND ARE NOT INTENDED FOR DIAGNOSTIC OR THERAPEUTIC USE”.