Bcl-2 Recombinant Rabbit Monoclonal Antibody [JF104-8]
cat.: HA750350
Product Type: Recombinant Rabbit monoclonal IgG, primary antibodies
Species reactivity: Human, Mouse, Rat
Applications: WB, IF-Cell, IF-Tissue, IHC-P, FC
Clonality: Monoclonal
Clone number: JF104-8
Form: Liquid
Storage condition: Store at +4℃ after thawing. Aliquot store at -20℃ or -80℃. Avoid repeated freeze / thaw cycles.
Storage buffer: 1*PBS (pH7.4).
Concentration: 1ug/ul
Purification: Protein A affinity purified.
Molecular weight: Predicted band size: 26 kDa
Isotype: IgG
Immunogen: Recombinant protein within human Bcl-2 aa 1-230.
Positive control: HeLa cell lysate, Jurkat cell lysate, MCF-7 cell lysate, HL-60 cell lysate, THP-1 cell lysate, rat spleen tissue lysate, mouse spleen tissue lysate, Hela, A549, human tonsil tissue, human colon carcinoma tissue, mouse kidney tissue, human lung carcinoma tissue, Jurkat, human B-cell lymphoma tissue.
Subcellular location: Mitochondrion outer membrane, Nucleus membrane, Endoplasmic reticulum membrane, Cytoplasm.
Recommended Dilutions:
  WB
  IF-Cell
  IF-Tissue
  IHC-P
  FC

1:5,000-1:20,000
1:100-1:200
1:500-1:1,000
1:1,000-1:5,000
1:500-1:1,000
Uniprot #: SwissProt: P10415 Human | P10417 Mouse | P49950 Rat
Alternative names: Apoptosis regulator Bcl 2 Apoptosis regulator Bcl-2 Apoptosis regulator Bcl2 AW986256 B cell CLL/lymphoma 2 B cell leukemia/lymphoma 2 Bcl-2 Bcl2 BCL2_HUMAN C430015F12Rik D630044D05Rik D830018M01Rik Leukemia/lymphoma, B-cell, 2 Oncogene B-cell leukemia 2 PPP1R50 Protein phosphatase 1, regulatory subunit 50 Bcl 2
Images
HA750350_1.jpg Fig1: Western blot analysis of Bcl-2 on different lysates with Rabbit anti-Bcl-2 antibody (HA750350) at 1/5,000 dilution.

Lane 1: HeLa cell lysate
Lane 2: Jurkat cell lysate
Lane 3: MCF7 cell lysate
Lane 4: HL-60 cell lysate
Lane 5: THP-1 cell lysate

Lysates/proteins at 20 µg/Lane.

Predicted band size: 26 kDa
Observed band size: 26 kDa

Exposure time: 1 minute;

15% SDS-PAGE gel.

Proteins were transferred to a PVDF membrane and blocked with 5% NFDM/TBST for 1 hour at room temperature. The primary antibody (HA750350) at 1/5,000 dilution was used in 5% NFDM/TBST at room temperature for 2 hours. Goat Anti-Rabbit IgG - HRP Secondary Antibody (HA1001) at 1/50,000 dilution was used for 1 hour at room temperature.
HA750350_2.jpg Fig2: Western blot analysis of Bcl-2 on different lysates with Rabbit anti-Bcl-2 antibody (HA750350) at 1/5,000 dilution.

Lane 1: Rat spleen tissue lysate
Lane 2: Mouse spleen tissue lysate

Lysates/proteins at 20 µg/Lane.

Predicted band size: 26 kDa
Observed band size: 25 kDa

Exposure time: 2 minutes;

12% SDS-PAGE gel.

Proteins were transferred to a PVDF membrane and blocked with 5% NFDM/TBST for 1 hour at room temperature. The primary antibody (HA750350) at 1/5,000 dilution was used in 5% NFDM/TBST at room temperature for 2 hours. Goat Anti-Rabbit IgG - HRP Secondary Antibody (HA1001) at 1/50,000 dilution was used for 1 hour at room temperature.
HA750350_3.jpg Fig3: Western blot analysis of Bcl-2 on different lysates with Rabbit anti-Bcl-2 antibody (HA750350) at 1/5,000 dilution.

Lane 1: Hela-si NT cell lysate (10 µg/Lane)
Lane 2: Hela-si Bcl-2 cell lysate (10 µg/Lane)

Predicted band size: 26 kDa
Observed band size: 26 kDa

Exposure time: 31 seconds; ECL: K1801
4-20% SDS-PAGE gel.

ET1702-53 was shown to specifically react with Bcl-2 in Hela-si NT cells. Weakened band was observed when Hela-si Bcl-2 sample was tested. Hela-si NT and Hela-si Bcl-2 samples were subjected to SDS-PAGE. Proteins were transferred to a PVDF membrane and blocked with 5% NFDM in TBST for 1 hour at room temperature. The primary antibody (ET1702-53, 1/5,000) and Loading control antibody (Rabbit anti-GAPDH, ET1601-4, 1/10,000) were used in 5% BSA at room temperature for 2 hours. Goat Anti-rabbit IgG-HRP Secondary Antibody (HA1001) at 1/50,000 dilution was used for 1 hour at room temperature.
HA750350_4.jpg Fig4: Immunohistochemical analysis of paraffin-embedded human tonsil tissue with Rabbit anti-Bcl-2 antibody (HA750350) at 1/5,000 dilution.

The section was pre-treated using heat mediated antigen retrieval with Tris-EDTA buffer (pH 9.0) for 20 minutes. The tissues were blocked in 1% BSA for 20 minutes at room temperature, washed with ddH2O and PBS, and then probed with the primary antibody (HA750350) at 1/5,000 dilution for 1 hour at room temperature. The detection was performed using an HRP conjugated compact polymer system. DAB was used as the chromogen. Tissues were counterstained with hematoxylin and mounted with DPX.
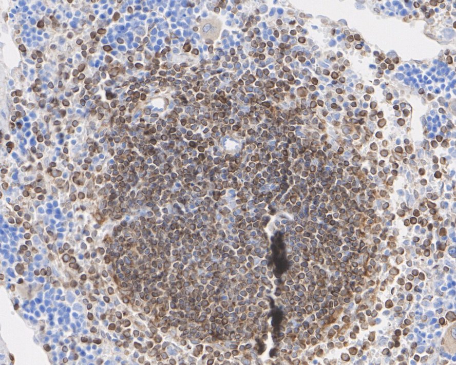
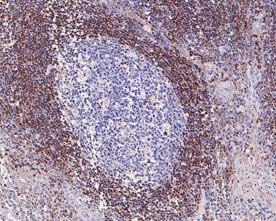
HA750350_5.jpg Fig5: Immunohistochemical analysis of paraffin-embedded human B-cell lymphoma tissue with Rabbit anti-Bcl-2 antibody (HA750350) at 1/5,000 dilution.

The section was pre-treated using heat mediated antigen retrieval with Tris-EDTA buffer (pH 9.0) for 20 minutes. The tissues were blocked in 1% BSA for 20 minutes at room temperature, washed with ddH2O and PBS, and then probed with the primary antibody (HA750350) at 1/5,000 dilution for 1 hour at room temperature. The detection was performed using an HRP conjugated compact polymer system. DAB was used as the chromogen. Tissues were counterstained with hematoxylin and mounted with DPX.
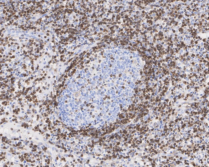
HA750350_6.jpg Fig6: Immunohistochemical analysis of paraffin-embedded human spleen tissue with Rabbit anti-Bcl-2 antibody (HA750350) at 1/1,000 dilution.

The section was pre-treated using heat mediated antigen retrieval with Tris-EDTA buffer (pH 9.0) for 20 minutes. The tissues were blocked in 1% BSA for 20 minutes at room temperature, washed with ddH2O and PBS, and then probed with the primary antibody (HA750350) at 1/1,000 dilution for 1 hour at room temperature. The detection was performed using an HRP conjugated compact polymer system. DAB was used as the chromogen. Tissues were counterstained with hematoxylin and mounted with DPX.
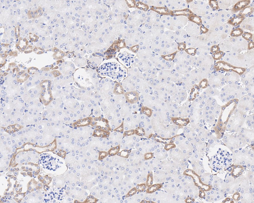
HA750350_7.jpg Fig7: Immunohistochemical analysis of paraffin-embedded mouse kidney tissue with Rabbit anti-Bcl-2 antibody (HA750350) at 1/1,000 dilution.

The section was pre-treated using heat mediated antigen retrieval with Tris-EDTA buffer (pH 9.0) for 20 minutes. The tissues were blocked in 1% BSA for 20 minutes at room temperature, washed with ddH2O and PBS, and then probed with the primary antibody (HA750350) at 1/1,000 dilution for 1 hour at room temperature. The detection was performed using an HRP conjugated compact polymer system. DAB was used as the chromogen. Tissues were counterstained with hematoxylin and mounted with DPX.
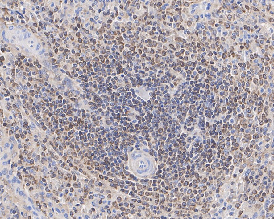
HA750350_8.jpg Fig8: Immunohistochemical analysis of paraffin-embedded mouse spleen tissue with Rabbit anti-Bcl-2 antibody (HA750350) at 1/4,000 dilution.

The section was pre-treated using heat mediated antigen retrieval with Tris-EDTA buffer (pH 9.0) for 20 minutes. The tissues were blocked in 1% BSA for 20 minutes at room temperature, washed with ddH2O and PBS, and then probed with the primary antibody (HA750350) at 1/4,000 dilution for 1 hour at room temperature. The detection was performed using an HRP conjugated compact polymer system. DAB was used as the chromogen. Tissues were counterstained with hematoxylin and mounted with DPX.
HA750350_9.jpg Fig9: Flow cytometric analysis of Jurkat cells labeling Bcl-2.

Cells were fixed and permeabilized. Then stained with the primary antibody (HA750350, 1ug/ml) (red) compared with Rabbit IgG Isotype Control (green). After incubation of the primary antibody at +4℃ for an hour, the cells were stained with a iFluor™ 488 conjugate-Goat anti-Rabbit IgG Secondary antibody (HA1121) at 1/1,000 dilution for 30 minutes at +4℃. Unlabelled sample was used as a control (cells without incubation with primary antibody; black).
HA750350_10.jpg Fig10: Flow cytometric analysis of human peripheral blood lymphocytes labeling Bcl-2.

Cells were fixed and permeabilized. Then stained with the primary antibody (HA750350, 1ug/ml) (red) compared with Rabbit IgG Isotype Control (green). After incubation of the primary antibody at +4℃ for an hour, the cells were stained with a iFluor™ 488 conjugate-Goat anti-Rabbit IgG Secondary antibody (HA1121) at 1/1,000 dilution for 30 minutes at +4℃. Unlabelled sample was used as a control (cells without incubation with primary antibody; black).
Note: All products are “FOR RESEARCH USE ONLY AND ARE NOT INTENDED FOR DIAGNOSTIC OR THERAPEUTIC USE”.