Calbindin Recombinant Rabbit Monoclonal Antibody [JF05-01]
cat.: HA750351
Product Type: Recombinant Rabbit monoclonal IgG, primary antibodies
Species reactivity: Mouse, Rat, Cynomolgus monkey, Pig
Applications: WB, IF-Tissue, IHC-P, IHC-Fr
Clonality: Monoclonal
Clone number: JF05-01
Form: Liquid
Storage condition: Store at +4℃ after thawing. Aliquot store at -20℃ or -80℃. Avoid repeated freeze / thaw cycles.
Storage buffer: 1*PBS (pH7.4).
Concentration: 1ug/ul
Purification: Protein A affinity purified.
Molecular weight: Predicted band size: 30 kDa
Isotype: IgG
Immunogen: Synthetic peptide within Human Calbindin aa 51-100 / 261.
Positive control: Mouse brain tissue lysate, rat brain tissue lysate, mouse kidney tissue lysate, rat kidney tissue lysate, human kidney tissue, mouse cerebellum tissue, PC-12, 293T, rat brain tissue, mouse brain tissue, mouse kidney tissue.
Subcellular location: Cytosol, Nucleus.
Recommended Dilutions:
  WB
  IF-Tissue
  IHC-P
  IHC-Fr

1:1,000-1:5,000
1:500
1:5,000-1:10,000
1:2,000
Uniprot #: SwissProt: P05937 Human | P12658 Mouse | P07171 Rat
Alternative names: avian-type CAB27 CALB 1 CALB CALB1 CALB1_HUMAN Calbindin 1 28kDa Calbindin Calbindin D28 D 28K D-28K D28K OTTHUMP00000166027 OTTHUMP00000225441 RTVL H protein Vitamin D dependent calcium binding protein Vitamin D dependent calcium binding protein avian type Vitamin D-dependent calcium-binding protein
Images
HA750351_1.jpg Fig1: Application: IHC-Fr

Species: Mouse

Site: Cerebellum

Sample: Frozen section

Antibody concentration: 1/2,000

Antigen retrieval: Not required
HA750351_2.jpg Fig2: Application: IF-tissue

Species: Mouse

Site: Cerebellum

Sample: Paraffin-embedded section

Antibody concentration: 1/500
HA750351_3.jpg Fig3: Application: IF-tissue

Species: Rat

Site: Cerebellum

Sample: Paraffin-embedded section

Antibody concentration: 1/500
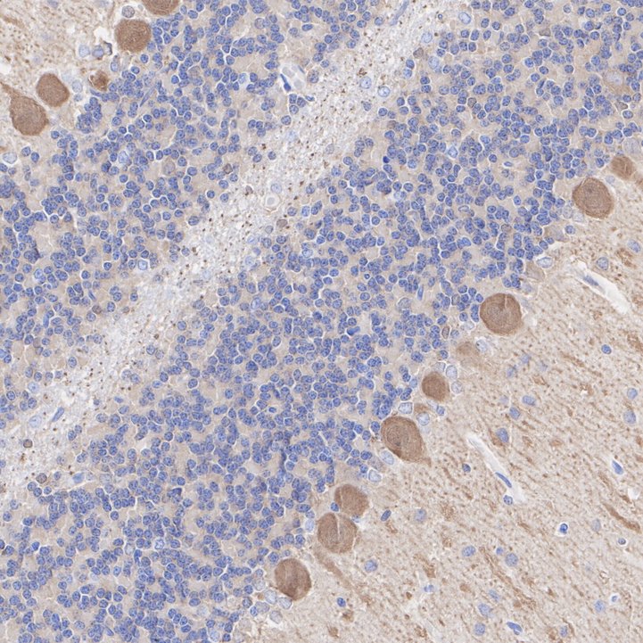
HA750351_4.jpg Fig4: Immunohistochemical analysis of paraffin-embedded mouse cerebellum tissue with Rabbit anti-Calbindin antibody (HA750351) at 1/10,000 dilution.

The section was pre-treated using heat mediated antigen retrieval with Tris-EDTA buffer (pH 9.0) for 20 minutes. The tissues were blocked in 1% BSA for 20 minutes at room temperature, washed with ddH2O and PBS, and then probed with the primary antibody (HA750351) at 1/10,000 dilution for 1 hour at room temperature. The detection was performed using an HRP conjugated compact polymer system. DAB was used as the chromogen. Tissues were counterstained with hematoxylin and mounted with DPX.
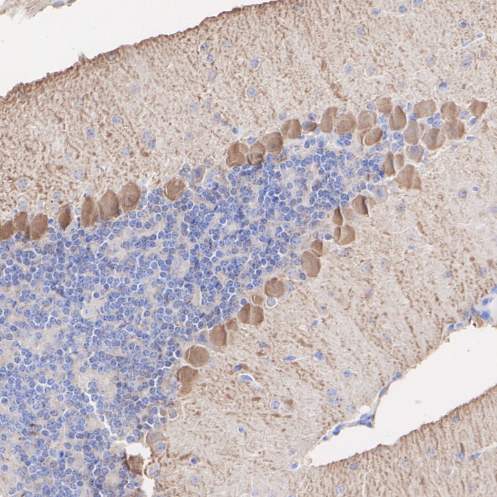
HA750351_5.jpg Fig5: Immunohistochemical analysis of paraffin-embedded rat cerebellum tissue with Rabbit anti-Calbindin antibody (HA750351) at 1/10,000 dilution.

The section was pre-treated using heat mediated antigen retrieval with Tris-EDTA buffer (pH 9.0) for 20 minutes. The tissues were blocked in 1% BSA for 20 minutes at room temperature, washed with ddH2O and PBS, and then probed with the primary antibody (HA750351) at 1/10,000 dilution for 1 hour at room temperature. The detection was performed using an HRP conjugated compact polymer system. DAB was used as the chromogen. Tissues were counterstained with hematoxylin and mounted with DPX.
HA750351_6.jpg Fig6: Western blot analysis of Calbindin on different lysates with Rabbit anti-Calbindin antibody (HA750351) at 1/5,000 dilution.

Lane 1: Mouse brain tissue lysate (20 µg/Lane)
Lane 2: NIH/3T3 cell lysate (negative) (20 µg/Lane)
Lane 3: Rat brain tissue lysate (20 µg/Lane)
Lane 4: C6 cell lysate (negative) (20 µg/Lane)
Lane 5: Mouse kidney tissue lysate (20 µg/Lane)
Lane 6: Rat kidney tissue lysate (20 µg/Lane)

Predicted band size: 30 kDa
Observed band size: 30 kDa

Exposure time: 6 seconds; ECL: K1801;
4-20% SDS-PAGE gel.

Proteins were transferred to a PVDF membrane and blocked with 5% NFDM/TBST for 1 hour at room temperature. The primary antibody (HA750351) at 1/5,000 dilution was used in 5% NFDM/TBST at 4℃ overnight. Goat Anti-Rabbit IgG - HRP Secondary Antibody (HA1001) at 1/50,000 dilution was used for 1 hour at room temperature.
Note: All products are “FOR RESEARCH USE ONLY AND ARE NOT INTENDED FOR DIAGNOSTIC OR THERAPEUTIC USE”.