Albumin Recombinant Rabbit Monoclonal Antibody [JF32-10]
cat.: HA750352
Product Type: Recombinant Rabbit monoclonal IgG, primary antibodies
Species reactivity: Human, Mouse, Rat, Cow
Applications: WB, IHC-P, IF-Tissue
Clonality: Monoclonal
Clone number: JF32-10
Form: Liquid
Storage condition: Store at +4℃ after thawing. Aliquot store at -20℃ or -80℃. Avoid repeated freeze / thaw cycles.
Storage buffer: 1*PBS (pH7.4).
Concentration: 1ug/ul
Purification: Protein A affinity purified.
Molecular weight: Predicted band size: 69 kDa
Isotype: IgG
Immunogen: Synthetic peptide within Human Albumin aa 156-189 / 609.
Positive control: Human liver tissue lysate, Mouse liver tissue lysate, Rat liver tissue lysate, Mouse spleen tissue lysate, human lung tissue, human liver tissue, human kidney tissue, mouse liver tissue, rat liver tissue.
Subcellular location: Secreted.
Recommended Dilutions:
  WB
  IHC-P
  IF-Tissue

1:5,000-1:40,000
1:1,000-1:30,000
1:200-1:1,000
Uniprot #: SwissProt: P02768 Human | P07724 Mouse | P02770 Rat | P02769 Cow
Alternative names: alb ALBU_HUMAN Albumin (32 AA) Albumin (AA 34) cell growth inhibiting protein 42 DKFZp779N1935 GIG20 GIG42 growth-inhibiting protein 20 OTTHUMP00000220436 OTTHUMP00000220438 OTTHUMP00000220439 PRO0883 PRO0903 PRO1341 PRO1708 PRO2044 PRO2619 PRO2675 Serum albumin UNQ696/PRO1341
Images
HA750352_1.jpg Fig1: Western blot analysis of Albumin on different lysates with Rabbit anti-Albumin antibody (HA750352) at 1/5,000 dilution.

Lane 1: Human liver tissue lysate
Lane 2: Mouse liver tissue lysate
Lane 3: Rat liver tissue lysate

Lysates/proteins at 20 µg/Lane.

Predicted band size: 69 kDa
Observed band size: 69 kDa

Exposure time: 30 seconds;
4-20% SDS-PAGE gel.

Proteins were transferred to a PVDF membrane and blocked with 5% NFDM/TBST for 1 hour at room temperature. The primary antibody (HA750352) at 1/5,000 dilution was used in 5% NFDM/TBST at 4℃ overnight. Goat Anti-Rabbit IgG - HRP Secondary Antibody (HA1001) at 1:50,000 dilution was used for 1 hour at room temperature.
HA750352_2.jpg Fig2: Western blot analysis of Albumin on different lysates with Rabbit anti-Albumin antibody (HA750352) at 1/40,000 dilution.

Lane 1: Mouse liver tissue lysate
Lane 2: Mouse spleen tissue lysate
Lane 3: Rat liver tissue lysate

Lysates/proteins at 20 µg/Lane.

Predicted band size: 69 kDa
Observed band size: 69 kDa

Exposure time: 10 seconds; ECL: K1801;

4-20% SDS-PAGE gel.

Proteins were transferred to a PVDF membrane and blocked with 5% NFDM/TBST for 1 hour at room temperature. The primary antibody (HA750352) at 1/40,000 dilution was used in 5% NFDM/TBST at 4℃ overnight. Goat Anti-Rabbit IgG - HRP Secondary Antibody (HA1001) at 1/50,000 dilution was used for 1 hour at room temperature.
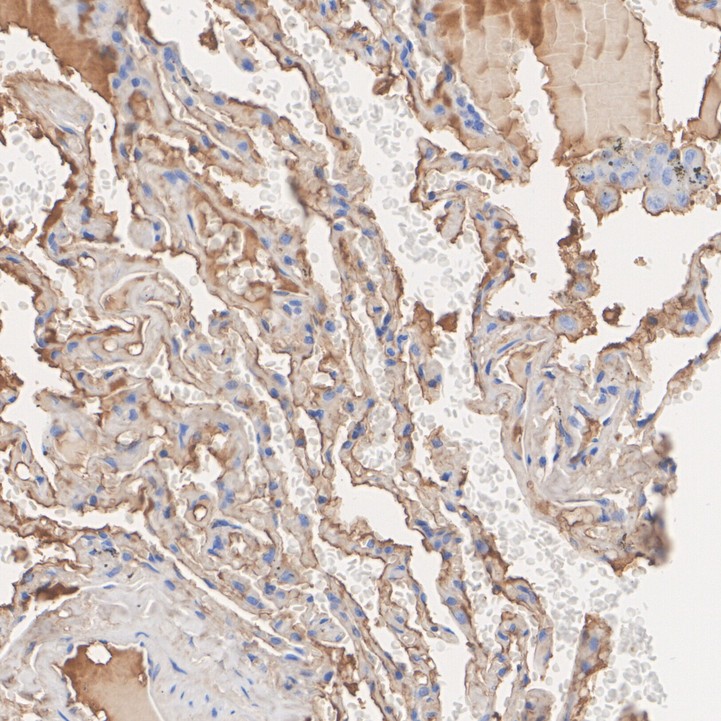
HA750352_3.jpg Fig3: Immunohistochemical analysis of paraffin-embedded human lung tissue with Rabbit anti-Albumin antibody (HA750352) at 1/30,000 dilution.

The section was pre-treated using heat mediated antigen retrieval with Tris-EDTA buffer (pH 9.0) for 20 minutes. The tissues were blocked in 1% BSA for 20 minutes at room temperature, washed with ddH2O and PBS, and then probed with the primary antibody (HA750352) at 1/30,000 dilution for 1 hour at room temperature. The detection was performed using an HRP conjugated compact polymer system. DAB was used as the chromogen. Tissues were counterstained with hematoxylin and mounted with DPX.
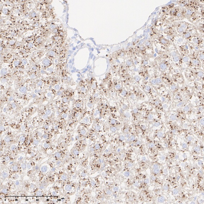
HA750352_4.jpg Fig4: Immunohistochemical analysis of paraffin-embedded human liver tissue with Rabbit anti-Albumin antibody (HA750352) at 1/30,000 dilution.

The section was pre-treated using heat mediated antigen retrieval with Tris-EDTA buffer (pH 9.0) for 20 minutes. The tissues were blocked in 1% BSA for 20 minutes at room temperature, washed with ddH2O and PBS, and then probed with the primary antibody (HA750352) at 1/30,000 dilution for 1 hour at room temperature. The detection was performed using an HRP conjugated compact polymer system. DAB was used as the chromogen. Tissues were counterstained with hematoxylin and mounted with DPX.
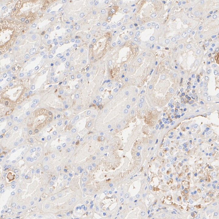
HA750352_5.jpg Fig5: Immunohistochemical analysis of paraffin-embedded human kidney tissue with Rabbit anti-Albumin antibody (HA750352) at 1/30,000 dilution.

The section was pre-treated using heat mediated antigen retrieval with Tris-EDTA buffer (pH 9.0) for 20 minutes. The tissues were blocked in 1% BSA for 20 minutes at room temperature, washed with ddH2O and PBS, and then probed with the primary antibody (HA750352) at 1/30,000 dilution for 1 hour at room temperature. The detection was performed using an HRP conjugated compact polymer system. DAB was used as the chromogen. Tissues were counterstained with hematoxylin and mounted with DPX.
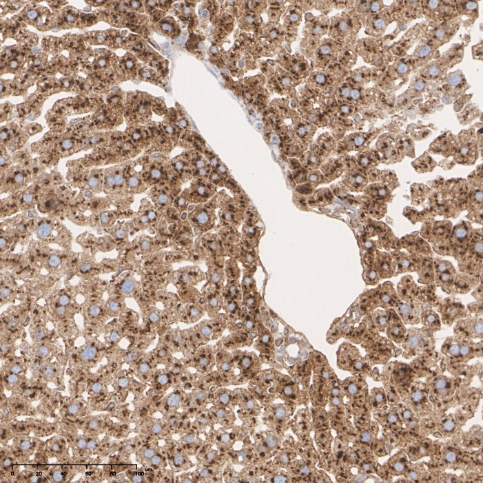
HA750352_6.jpg Fig6: Immunohistochemical analysis of paraffin-embedded mouse liver tissue with Rabbit anti-Albumin antibody (HA750352) at 1/1,000 dilution.

The section was pre-treated using heat mediated antigen retrieval with Tris-EDTA buffer (pH 9.0) for 20 minutes. The tissues were blocked in 1% BSA for 20 minutes at room temperature, washed with ddH2O and PBS, and then probed with the primary antibody (HA750352) at 1/1,000 dilution for 1 hour at room temperature. The detection was performed using an HRP conjugated compact polymer system. DAB was used as the chromogen. Tissues were counterstained with hematoxylin and mounted with DPX.
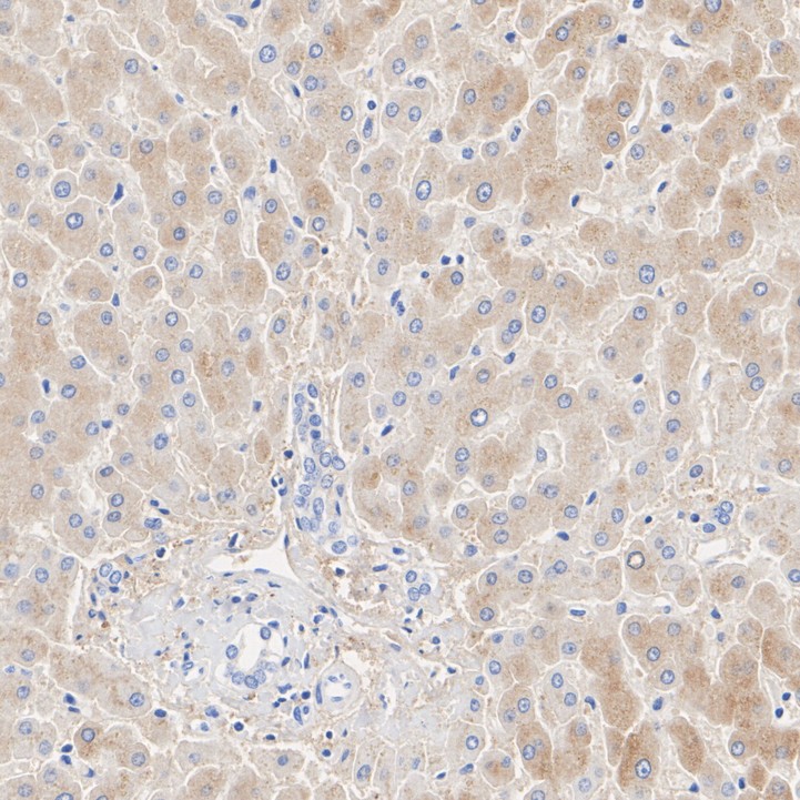
HA750352_7.jpg Fig7: Immunohistochemical analysis of paraffin-embedded rat liver tissue with Rabbit anti-Albumin antibody (HA750352) at 1/1,000 dilution.

The section was pre-treated using heat mediated antigen retrieval with Tris-EDTA buffer (pH 9.0) for 20 minutes. The tissues were blocked in 1% BSA for 20 minutes at room temperature, washed with ddH2O and PBS, and then probed with the primary antibody (HA750352) at 1/1,000 dilution for 1 hour at room temperature. The detection was performed using an HRP conjugated compact polymer system. DAB was used as the chromogen. Tissues were counterstained with hematoxylin and mounted with DPX.
HA750352_8.jpg Fig8: Immunofluorescence analysis of paraffin-embedded mouse liver tissue labeling Albumin with Rabbit anti-Albumin antibody (HA750352) at 1/200 dilution.

The section was pre-treated using heat mediated antigen retrieval with Tris-EDTA buffer (pH 9.0) for 20 minutes. The tissues were blocked in 10% negative goat serum for 1 hour at room temperature, washed with PBS, and then probed with the primary antibody (HA750352, green) at 1/200 dilution overnight at 4 ℃, washed with PBS. Goat Anti-Rabbit IgG H&L (iFluor™ 488, HA1121) was used as the secondary antibody at 1/1,000 dilution. Nuclei were counterstained with DAPI (blue).
Note: All products are “FOR RESEARCH USE ONLY AND ARE NOT INTENDED FOR DIAGNOSTIC OR THERAPEUTIC USE”.