Parkin Recombinant Rabbit Monoclonal Antibody [JF82-09]
cat.: HA750354
Product Type: Recombinant Rabbit monoclonal IgG, primary antibodies
Species reactivity: Human, Mouse, Rat
Applications: WB, IF-Cell, IF-Tissue, IHC-P, IP, FC
Clonality: Monoclonal
Clone number: JF82-09
Form: Liquid
Storage condition: Store at +4℃ after thawing. Aliquot store at -20℃ or -80℃. Avoid repeated freeze / thaw cycles.
Storage buffer: 1*PBS (pH7.4).
Concentration: 1ug/ul
Purification: Protein A affinity purified.
Molecular weight: 52 kDa
Isotype: IgG
Immunogen: Synthetic peptide within N-terminal human Parkin.
Positive control: 293T cell lysates, SH-SY5Y, N2A, PC-3M, rat brain tissue, mouse testis tissue,Jurkat cell lysate,293 cell lysate.
Subcellular location: Mitochondrion, mitochondrion outer membrane, endoplasmic reticulum, cytosol, Nucleus, neuron projection, postsynaptic density, presynapse.
Recommended Dilutions:
  WB
  IF-Cell
  IF-Tissue
  IHC-P
  FC
  IP

1:500-1:1,000
1:50-1:200
1:50-1:200
1:50-1:200
1:500-1:1,000
Use at an assay dependent concentration.
Uniprot #: SwissProt: O60260 Human | Q9WVS6 Mouse | Q9JK66 Rat
Alternative names: AR JP E3 ubiquitin ligase E3 ubiquitin protein ligase parkin E3 ubiquitin-protein ligase parkin FRA6E LPRS 2 LPRS2 PARK 2 Park2 Parkin 2 Parkinson disease (autosomal recessive juvenile) 2 Parkinson disease (autosomal recessive, juvenile) 2, parkin Parkinson disease protein 2 Parkinson juvenile disease protein 2 Parkinson protein 2 E3 ubiquitin protein ligase Parkinson protein 2, E3 ubiquitin protein ligase (parkin) PDJ PRKN 2 PRKN PRKN2 PRKN2_HUMAN Ubiquitin E3 ligase PRKN
Images
HA750354_1.jpg Fig1: Western blot analysis of Parkin on different lysates with Rabbit anti-Parkin antibody (HA750354) at 1/1,000 dilution.

Lane 1: 293 cell lysate
Lane 2: Jurkat cell lysate

Lysates/proteins at 10 µg/Lane.

Predicted band size: 52 kDa
Observed band size: 52 kDa

Exposure time: 1 minutes;
10% SDS-PAGE gel.

Proteins were transferred to a PVDF membrane and blocked with 5% NFDM/TBST for 1 hour at room temperature. The primary antibody (HA750354) at 1/1,000 dilution was used in 5% NFDM/TBST at room temperature for 2 hours. Goat Anti-Rabbit IgG - HRP Secondary Antibody (HA1001) at 1:300,000 dilution was used for 1 hour at room temperature.
HA750354_2.jpg Fig2: Immunocytochemistry analysis of SH-SY5Y cells labeling Parkin with Rabbit anti-Parkin antibody (HA750354) at 1/100 dilution.

Cells were fixed in 4% paraformaldehyde for 10 minutes at 37 ℃, permeabilized with 0.05% Triton X-100 in PBS for 20 minutes, and then blocked with 2% negative goat serum for 30 minutes at room temperature. Cells were then incubated with Rabbit anti-Parkin antibody (HA750354) at 1/100 dilution in 2% negative goat serum overnight at 4 ℃. Goat Anti-Rabbit IgG H&L (iFluor™ 488, HA1121) was used as the secondary antibody at 1/1,000 dilution. Nuclear DNA was labelled in blue with DAPI.

Beta tubulin (M1305-2, red) was stained at 1/200 dilution overnight at +4℃. Goat Anti-Mouse IgG H&L (iFluor™ 594, HA1126) was used as the secondary antibody at 1/1,000 dilution.
HA750354_3.jpg Fig3: Immunohistochemical analysis of paraffin-embedded rat brain tissue using anti-Parkin antibody. The section was pre-treated using heat mediated antigen retrieval with Tris-EDTA buffer (pH 8.0-8.4) for 20 minutes.The tissues were blocked in 5% BSA for 30 minutes at room temperature, washed with ddH2O and PBS, and then probed with the primary antibody (HA750354, 1/50) for 30 minutes at room temperature. The detection was performed using an HRP conjugated compact polymer system. DAB was used as the chromogen. Tissues were counterstained with hematoxylin and mounted with DPX.
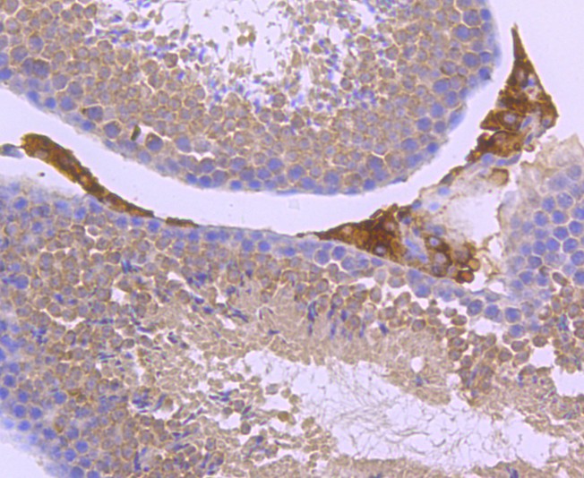
HA750354_4.jpg Fig4: Immunohistochemical analysis of paraffin-embedded mouse testis tissue using anti-Parkin antibody. The section was pre-treated using heat mediated antigen retrieval with Tris-EDTA buffer (pH 8.0-8.4) for 20 minutes.The tissues were blocked in 5% BSA for 30 minutes at room temperature, washed with ddH2O and PBS, and then probed with the primary antibody (HA750354, 1/50) for 30 minutes at room temperature. The detection was performed using an HRP conjugated compact polymer system. DAB was used as the chromogen. Tissues were counterstained with hematoxylin and mounted with DPX.
HA750354_5.jpg Fig5: Flow cytometric analysis of SH-SY5Y cells labeling Parkin.

Cells were fixed and permeabilized. Then stained with the primary antibody (HA750354, 1ug/ml) (red) compared with Rabbit IgG Isotype Control (green). After incubation of the primary antibody at +4℃ for an hour, the cells were stained with a iFluor™ 488 conjugate-Goat anti-Rabbit IgG Secondary antibody (HA1121) at 1/1,000 dilution for 30 minutes at +4℃. Unlabelled sample was used as a control (cells without incubation with primary antibody; black).
Note: All products are “FOR RESEARCH USE ONLY AND ARE NOT INTENDED FOR DIAGNOSTIC OR THERAPEUTIC USE”.