KLF4 Recombinant Rabbit Monoclonal Antibody [JF98-08]
cat.: HA750356
Product Type: Recombinant Rabbit monoclonal IgG, primary antibodies
Species reactivity: Human, Mouse, Rat
Applications: WB, IF-Cell, IF-Tissue, IHC-P
Clonality: Monoclonal
Clone number: JF98-08
Form: Liquid
Storage condition: Store at +4℃ after thawing. Aliquot store at -20℃ or -80℃. Avoid repeated freeze / thaw cycles.
Storage buffer: 1*PBS (pH7.4).
Concentration: 1ug/ul
Purification: Protein A affinity purified.
Molecular weight: Predicted band size: 55 kDa
Isotype: IgG
Immunogen: Synthetic peptide within human KLF4 aa 320-360.
Positive control: 293 cell lysate, NCCIT cell lysate, Hela, PC-3M, 293T, human stomach carcinoma tissue, mouse colon tissue, mouse stomach tissue, human liver tissue, mouse liver tissue.
Subcellular location: Nucleus.
Recommended Dilutions:
  WB
  IF-Cell
  IF-Tissue
  IHC-P

1:500-1:2,000
1:50-1:200
1:50-1:200
1:50-1:200
Uniprot #: SwissProt: O43474 Human | Q60793 Mouse
Unigene: 7719 Rat
Alternative names: Endothelial Kruppel like zinc finger protein Epithelial zinc finger protein EZF EZF GKLF gut Kruppel-like factor Gut-enriched krueppel-like factor KLF KLF4 KLF4_HUMAN Krueppel-like factor 4 Kruppel like factor 4 (Epithelial zinc finger protein EZF) (Gut enriched Krueppel like factor) Kruppel like factor 4 (gut)
Images
HA750356_1.jpg Fig1: Western blot analysis of KLF4 on different lysates with Rabbit anti-KLF4 antibody (HA750356) at 1/2,000 dilution.

Lane 1: 293 cell lysate
Lane 2: NCCIT cell lysate

Lysates/proteins at 10 µg/Lane.

Predicted band size: 55 kDa
Observed band size: 55 kDa

Exposure time: 1 minute 30 seconds;

10% SDS-PAGE gel.

Proteins were transferred to a PVDF membrane and blocked with 5% NFDM/TBST for 1 hour at room temperature. The primary antibody (HA750356) at 1/2,000 dilution was used in 5% NFDM/TBST at room temperature for 2 hours. Goat Anti-Rabbit IgG - HRP Secondary Antibody (HA1001) at 1:100,000 dilution was used for 1 hour at room temperature.
HA750356_2.jpg Fig2: ICC staining of KLF4 in Hela cells (red). Formalin fixed cells were permeabilized with 0.1% Triton X-100 in TBS for 10 minutes at room temperature and blocked with 1% Blocker BSA for 15 minutes at room temperature. Cells were probed with the primary antibody (HA750356, 1/50) for 1 hour at room temperature, washed with PBS. Alexa Fluor®594 Goat anti-Rabbit IgG was used as the secondary antibody at 1/1,000 dilution. The nuclear counter stain is DAPI (blue).
HA750356_3.jpg Fig3: ICC staining of KLF4 in PC-3M cells (red). Formalin fixed cells were permeabilized with 0.1% Triton X-100 in TBS for 10 minutes at room temperature and blocked with 1% Blocker BSA for 15 minutes at room temperature. Cells were probed with the primary antibody (HA750356, 1/50) for 1 hour at room temperature, washed with PBS. Alexa Fluor®594 Goat anti-Rabbit IgG was used as the secondary antibody at 1/1,000 dilution. The nuclear counter stain is DAPI (blue).
HA750356_4.jpg Fig4: ICC staining of KLF4 in 293T cells (red). Formalin fixed cells were permeabilized with 0.1% Triton X-100 in TBS for 10 minutes at room temperature and blocked with 1% Blocker BSA for 15 minutes at room temperature. Cells were probed with the primary antibody (HA750356, 1/50) for 1 hour at room temperature, washed with PBS. Alexa Fluor®594 Goat anti-Rabbit IgG was used as the secondary antibody at 1/1,000 dilution. The nuclear counter stain is DAPI (blue).
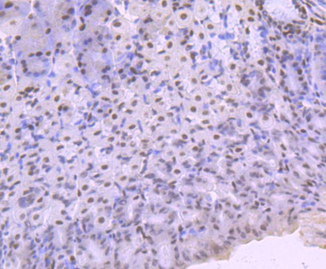
HA750356_5.jpg Fig5: Immunohistochemical analysis of paraffin-embedded human stomach carcinoma tissue using anti-KLF4 antibody. The section was pre-treated using heat mediated antigen retrieval with Tris-EDTA buffer (pH 8.0-8.4) for 20 minutes.The tissues were blocked in 5% BSA for 30 minutes at room temperature, washed with ddH2O and PBS, and then probed with the primary antibody (HA750356, 1/50) for 30 minutes at room temperature. The detection was performed using an HRP conjugated compact polymer system. DAB was used as the chromogen. Tissues were counterstained with hematoxylin and mounted with DPX.
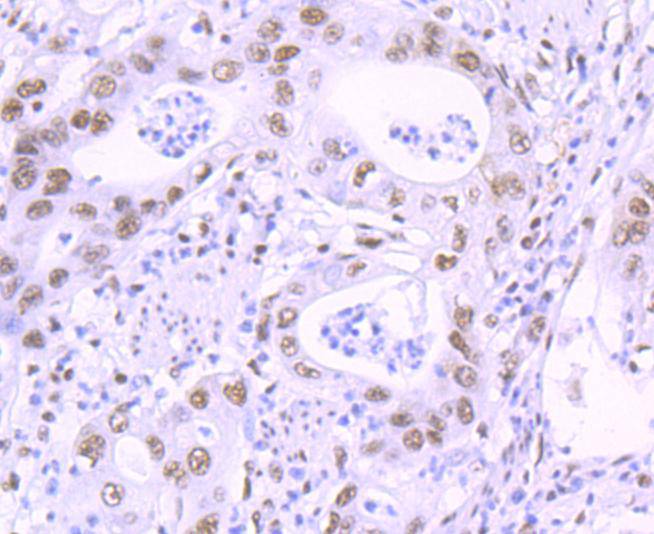
HA750356_6.jpg Fig6: Immunohistochemical analysis of paraffin-embedded mouse colon tissue using anti-KLF4 antibody. The section was pre-treated using heat mediated antigen retrieval with Tris-EDTA buffer (pH 8.0-8.4) for 20 minutes.The tissues were blocked in 5% BSA for 30 minutes at room temperature, washed with ddH2O and PBS, and then probed with the primary antibody (HA750356, 1/50) for 30 minutes at room temperature. The detection was performed using an HRP conjugated compact polymer system. DAB was used as the chromogen. Tissues were counterstained with hematoxylin and mounted with DPX.
HA750356_7.jpg Fig7: Immunohistochemical analysis of paraffin-embedded mouse stomach tissue using anti-KLF4 antibody. The section was pre-treated using heat mediated antigen retrieval with Tris-EDTA buffer (pH 8.0-8.4) for 20 minutes.The tissues were blocked in 5% BSA for 30 minutes at room temperature, washed with ddH2O and PBS, and then probed with the primary antibody (HA750356, 1/50) for 30 minutes at room temperature. The detection was performed using an HRP conjugated compact polymer system. DAB was used as the chromogen. Tissues were counterstained with hematoxylin and mounted with DPX.
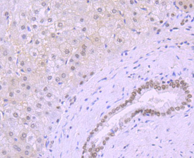
HA750356_8.jpg Fig8: Immunohistochemical analysis of paraffin-embedded human liver tissue using anti-KLF4 antibody. The section was pre-treated using heat mediated antigen retrieval with Tris-EDTA buffer (pH 8.0-8.4) for 20 minutes.The tissues were blocked in 5% BSA for 30 minutes at room temperature, washed with ddH2O and PBS, and then probed with the primary antibody (HA750356, 1/50) for 30 minutes at room temperature. The detection was performed using an HRP conjugated compact polymer system. DAB was used as the chromogen. Tissues were counterstained with hematoxylin and mounted with DPX.
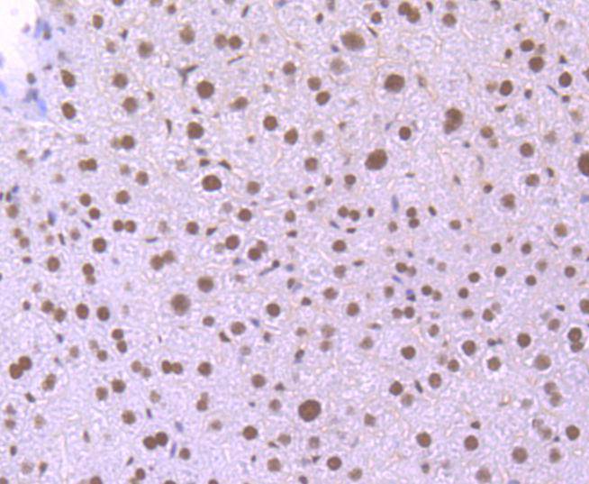
HA750356_9.jpg Fig9: Immunohistochemical analysis of paraffin-embedded mouse liver tissue using anti-KLF4 antibody. The section was pre-treated using heat mediated antigen retrieval with Tris-EDTA buffer (pH 8.0-8.4) for 20 minutes.The tissues were blocked in 5% BSA for 30 minutes at room temperature, washed with ddH2O and PBS, and then probed with the primary antibody (HA750356, 1/50) for 30 minutes at room temperature. The detection was performed using an HRP conjugated compact polymer system. DAB was used as the chromogen. Tissues were counterstained with hematoxylin and mounted with DPX.
HA750356_10.jpg Fig10: Western blot analysis of KLF4 on c6 cell/tissue lysates with Rabbit anti-KLF4 antibody (HA750356) at 1/5,000 dilution.

Lysates/proteins at 10 µg/Lane.

Predicted band size: 55/62 kDa
Observed band size: 55/62 kDa

Exposure time: 2 minutes 0 seconds;

4-20% SDS-PAGE gel.

Proteins were transferred to a PVDF membrane and blocked with 5% NFDM/TBST for 1 hour at room temperature. The primary antibody (HA750356) at 1/50,000 dilution was used in 5% NFDM/TBST at room temperature for 2 hours. Goat Anti-Rabbit IgG - HRP Secondary Antibody (HA1001) at 1/5,000 dilution was used for 1 hour at room temperature.
Note: All products are “FOR RESEARCH USE ONLY AND ARE NOT INTENDED FOR DIAGNOSTIC OR THERAPEUTIC USE”.