NF-H Recombinant Rabbit Monoclonal Antibody [JF99-07]
cat.: HA750357
Product Type: Recombinant Rabbit monoclonal IgG, primary antibodies
Species reactivity: Human, Mouse, Rat, Cynomolgus monkey, Pig
Applications: WB, IHC-P, IHC-Fr, IF-Tissue
Clonality: Monoclonal
Clone number: JF99-07
Form: Liquid
Storage condition: Store at +4℃ after thawing. Aliquot store at -20℃ or -80℃. Avoid repeated freeze / thaw cycles.
Storage buffer: 1*PBS (pH7.4).
Concentration: 1ug/ul
Purification: Protein A affinity purified.
Molecular weight: Predicted band size: 112 kDa
Isotype: IgG
Immunogen: Synthetic peptide within human NEFH aa 690-740.
Positive control: Mouse brain tissue lysate, Rat brain tissue lysate, Rat hippocampus tissue lysate, human cerebellum tissue, mouse cerebellum tissue, rat cerebellum tissue.
Subcellular location: Cytoplasm, cytoskeleton, Cell projection, axon.
Recommended Dilutions:
  WB
  IHC-P
  IHC-Fr
  IF-Tissue

1:2,000
1:1,000
1:500-1:2,000
1:500
Uniprot #: SwissProt: P12036 Human | P19246 Mouse | P16884 Rat
Alternative names: 200 kDa neurofilament protein CMT2CC Nefh Neurofilament heavy polypeptide 200kDa Neurofilament heavy polypeptide Neurofilament triplet H protein NF H NF-H NFH NFH_HUMAN
Images
HA750357_1.jpg Fig1: Application: IHC-Fr

Species: Mouse

Site: Cerebellum

Sample: Frozen section

Antibody concentration: 1:2,000

Antigen retrieval: Not required
HA750357_2.jpg Fig2: Application: IHC-Fr

Species: Mouse

Site: Liver (Negative)

Sample: Frozen section

Antibody concentration: 1:500

Antigen retrieval: Not required
HA750357_3.jpg Fig3: Application: IHC-Fr

Species: Rat

Site: Cerebellum

Sample: Frozen section

Antibody concentration: 1:500

Antigen retrieval: Not required
HA750357_4.jpg Fig4: Application: IHC-Fr

Species: Rat

Site: Liver (Negative)

Sample: Frozen section

Antibody concentration: 1:500

Antigen retrieval: Not required
HA750357_5.jpg Fig5: Western blot analysis of NF-H on different lysates with Rabbit anti-NF-H antibody (HA750357) at 1/2,000 dilution.

Lane 1: Mouse brain tissue lysate (20 µg/Lane)
Lane 2: Rat brain tissue lysate (20 µg/Lane)
Lane 3: Rat hippocampus tissue lysate (20 µg/Lane)

Predicted band size: 112 kDa
Observed band size: 250 kDa

Exposure time: 3 minutes; ECL: K1801;
4-20% SDS-PAGE gel.

Proteins were transferred to a PVDF membrane and blocked with 5% NFDM/TBST for 1 hour at room temperature. The primary antibody (HA750357) at 1/2,000 dilution was used in 5% NFDM/TBST at 4℃ overnight. Goat Anti-Rabbit IgG - HRP Secondary Antibody (HA1001) at 1/50,000 dilution was used for 1 hour at room temperature.
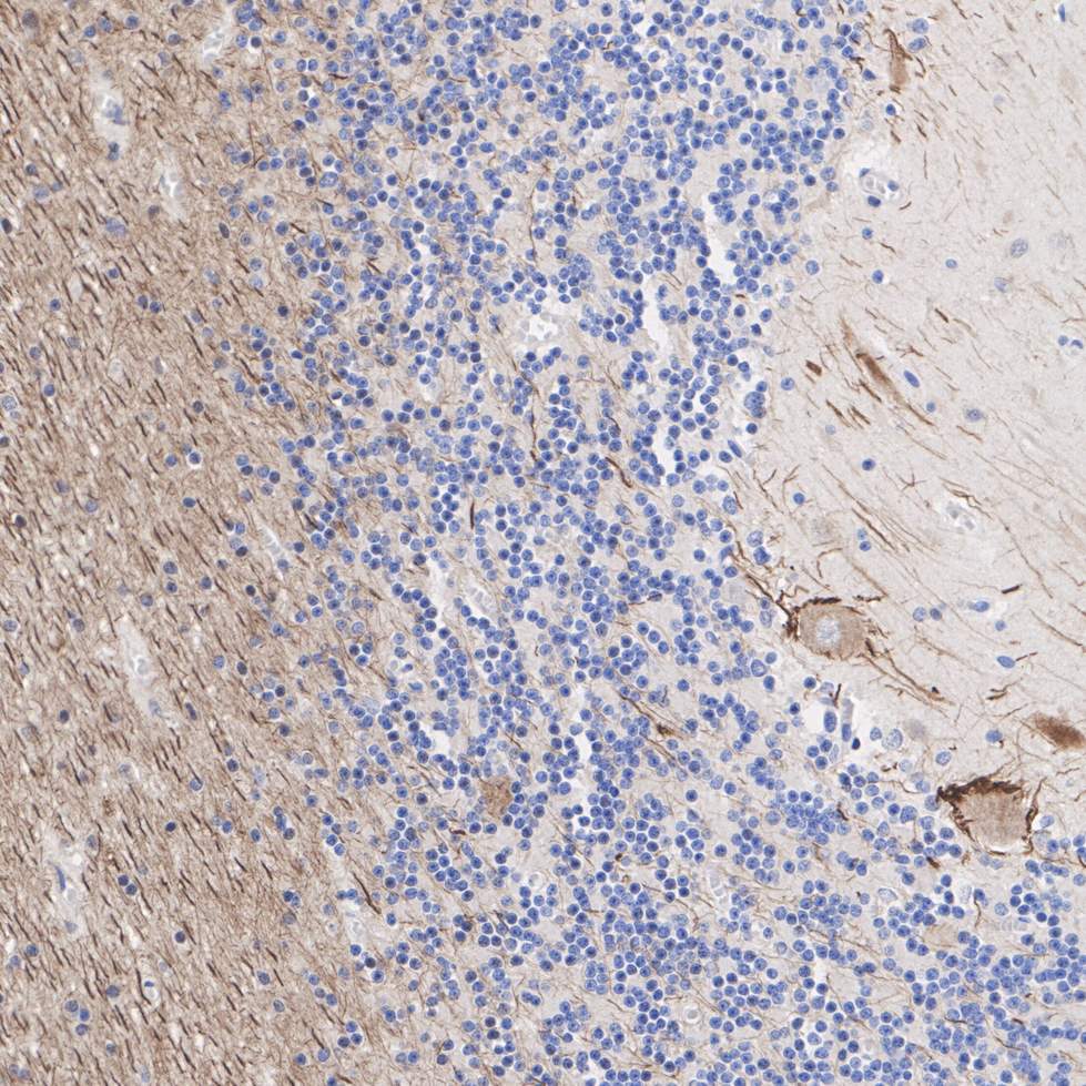
HA750357_6.jpg Fig6: Immunohistochemical analysis of paraffin-embedded human cerebellum tissue with Rabbit anti-NF-H antibody (HA750357) at 1/200 dilution.

The section was pre-treated using heat mediated antigen retrieval with Tris-EDTA buffer (pH 9.0) for 20 minutes. The tissues were blocked in 1% BSA for 20 minutes at room temperature, washed with ddH2O and PBS, and then probed with the primary antibody (HA750357) at 1/200 dilution for 1 hour at room temperature. The detection was performed using an HRP conjugated compact polymer system. DAB was used as the chromogen. Tissues were counterstained with hematoxylin and mounted with DPX.
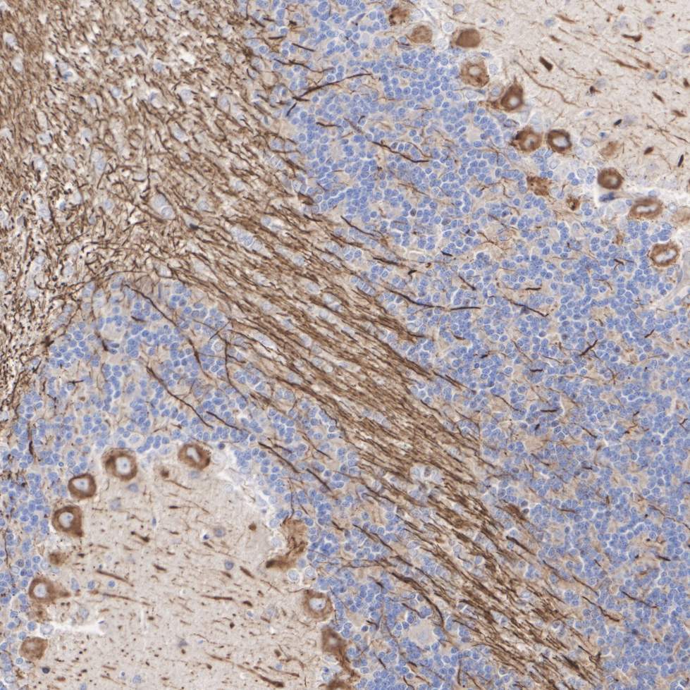
HA750357_7.jpg Fig7: Immunohistochemical analysis of paraffin-embedded mouse cerebellum tissue with Rabbit anti-NF-H antibody (HA750357) at 1/1,000 dilution.

The section was pre-treated using heat mediated antigen retrieval with Tris-EDTA buffer (pH 9.0) for 20 minutes. The tissues were blocked in 1% BSA for 20 minutes at room temperature, washed with ddH2O and PBS, and then probed with the primary antibody (HA750357) at 1/1,000 dilution for 1 hour at room temperature. The detection was performed using an HRP conjugated compact polymer system. DAB was used as the chromogen. Tissues were counterstained with hematoxylin and mounted with DPX.
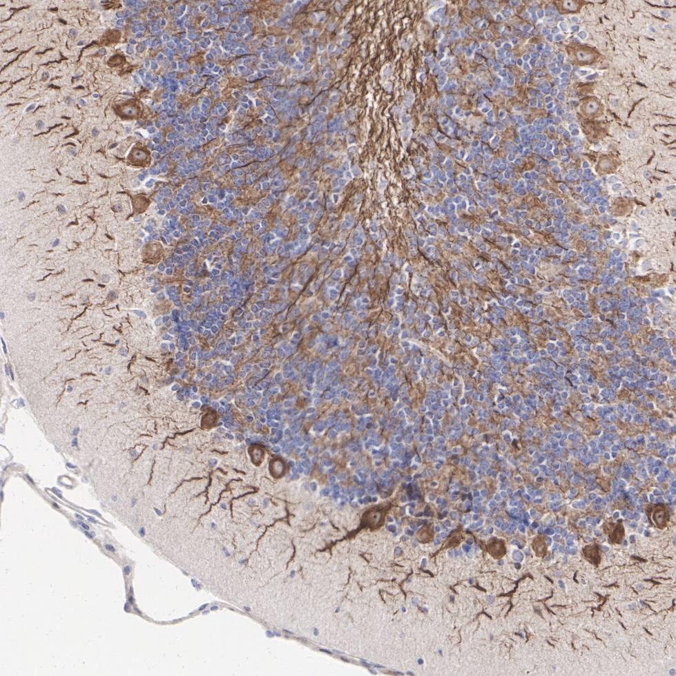
HA750357_8.jpg Fig8: Immunohistochemical analysis of paraffin-embedded rat cerebellum tissue with Rabbit anti-NF-H antibody (HA750357) at 1/1,000 dilution.

The section was pre-treated using heat mediated antigen retrieval with Tris-EDTA buffer (pH 9.0) for 20 minutes. The tissues were blocked in 1% BSA for 20 minutes at room temperature, washed with ddH2O and PBS, and then probed with the primary antibody (HA750357) at 1/1,000 dilution for 1 hour at room temperature. The detection was performed using an HRP conjugated compact polymer system. DAB was used as the chromogen. Tissues were counterstained with hematoxylin and mounted with DPX.
HA750357_9.jpg Fig9: Application: IF-tissue

Species: Mouse

Site: Cerebellum

Sample: Paraffin-embedded section

Antibody concentration: 1:500
Note: All products are “FOR RESEARCH USE ONLY AND ARE NOT INTENDED FOR DIAGNOSTIC OR THERAPEUTIC USE”.