Ctip2 Recombinant Rabbit Monoclonal Antibody [JF09-90]
cat.: HA750358
Product Type: Recombinant Rabbit monoclonal IgG, primary antibodies
Species reactivity: Human, Mouse, Rat, Cynomolgus monkey, Pig
Applications: WB, IHC-P, IHC-Fr, IF-Tissue, IF-Cell
Clonality: Monoclonal
Clone number: JF09-90
Form: Liquid
Storage condition: Store at +4℃ after thawing. Aliquot store at -20℃ or -80℃. Avoid repeated freeze / thaw cycles.
Storage buffer: 1*PBS (pH7.4).
Concentration: 1ug/ul
Purification: Protein A affinity purified.
Molecular weight: Predicted band size: 96 kDa
Isotype: IgG
Immunogen: Synthetic peptide within Human Ctip2 aa 491-534 / 894.
Positive control: Human brain tissue, mouse brain tissue, mouse cerebral cortex (P0) tissue, rat brain tissue, LO2 cell lysate, THP-1 cell lysate, Jurkat.
Subcellular location: Nucleus.
Recommended Dilutions:
  WB
  IHC-P
  IHC-Fr
  IF-Tissue
  IF-Cell

1:1,000-1:5,000
1:5,000-1:10,000
1:1,000-1:2,000
1:200-1:500
1:500
Uniprot #: SwissProt: Q9C0K0 Human | Q99PV8 Mouse
Entrez Gene: 314423 Rat
Alternative names: ATL1 alpha ATL1 ATL1 beta ATL1 gamma ATL1-delta B cell CLL/lymphoma 11B/T cell receptor delta constant region fusion protein B cell lymphoma/leukemia 11B B-cell CLL/lymphoma 11B (zinc finger protein) B-cell CLL/lymphoma 11B B-cell lymphoma/leukemia 11B BC11B_HUMAN BCL-11B Bcl11b BCL11B/TRDC fusion COUP TF interacting protein 2 COUP-TF interacting protein 2 COUP-TF-interacting protein 2 Ctip 2 CTIP-2 CTIP2 hRIT1 alpha hRit1 Radiation induced tumor suppressor gene 1 Radiation induced tumor suppressor gene 1 protein Radiation-induced tumor suppressor gene 1 protein Rit 1 Rit1 zinc finger protein hRit1 alpha ZNF856B
Images
HA750358_1.jpg Fig1: Application: IHC-Fr

Species: Mouse

Site: Cerebral cortex (P0)

Sample: Frozen section

Antibody concentration: 1:2,000

Antigen retrieval: Not required
HA750358_2.jpg Fig2: Application: IHC-Fr

Species: Mouse

Site: Cerebral cortex (P7)

Sample: Frozen section

Antibody concentration: 1:1,000

Antigen retrieval: Not required
HA750358_3.jpg Fig3: Application: IF-tissue

Species: Mouse

Site: Cerebral cortex

Sample: Paraffin-embedded section

Antibody concentration: 1:200
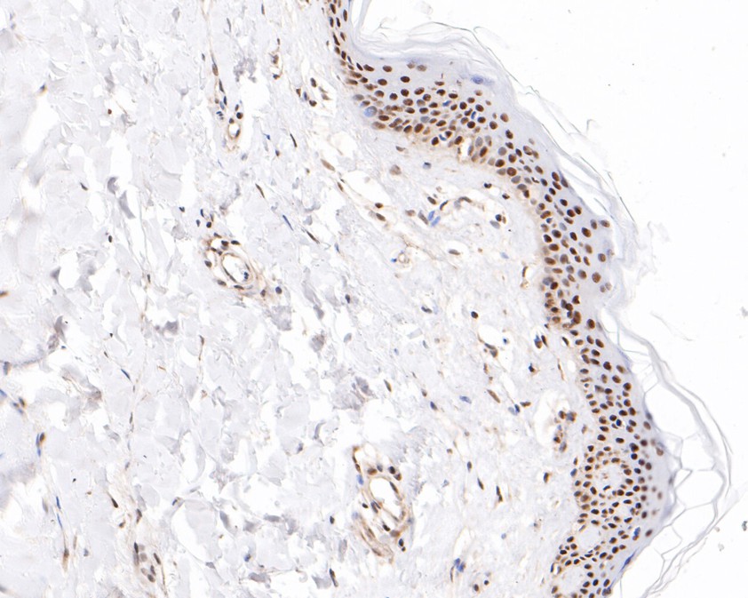
HA750358_4.jpg Fig4: Immunohistochemical analysis of paraffin-embedded human skin tissue with Rabbit anti-Ctip2 antibody (HA750358) at 1/200 dilution.

The section was pre-treated using heat mediated antigen retrieval with sodium citrate buffer (pH 6.0) (high pressure) for 2 minutes. The tissues were blocked in 1% BSA for 20 minutes at room temperature, washed with ddH2O and PBS, and then probed with the primary antibody (HA750358) at 1/200 dilution for 1 hour at room temperature. The detection was performed using an HRP conjugated compact polymer system. DAB was used as the chromogen. Tissues were counterstained with hematoxylin and mounted with DPX.
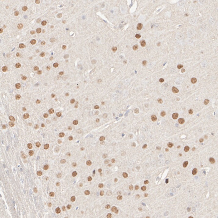
HA750358_5.jpg Fig5: Immunohistochemical analysis of paraffin-embedded human brain tissue with Rabbit anti-Ctip2 antibody (HA750358) at 1/10,000 dilution.

The section was pre-treated using heat mediated antigen retrieval with sodium citrate buffer (pH 6.0) (high pressure) for 2 minutes. The tissues were blocked in 1% BSA for 20 minutes at room temperature, washed with ddH2O and PBS, and then probed with the primary antibody (HA750358) at 1/10,000 dilution for 1 hour at room temperature. The detection was performed using an HRP conjugated compact polymer system. DAB was used as the chromogen. Tissues were counterstained with hematoxylin and mounted with DPX.
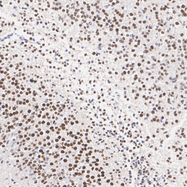
HA750358_6.jpg Fig6: Immunohistochemical analysis of paraffin-embedded mouse brain tissue with Rabbit anti-Ctip2 antibody (HA750358) at 1/10,000 dilution.

The section was pre-treated using heat mediated antigen retrieval with sodium citrate buffer (pH 6.0) (high pressure) for 2 minutes. The tissues were blocked in 1% BSA for 20 minutes at room temperature, washed with ddH2O and PBS, and then probed with the primary antibody (HA750358) at 1/10,000 dilution for 1 hour at room temperature. The detection was performed using an HRP conjugated compact polymer system. DAB was used as the chromogen. Tissues were counterstained with hematoxylin and mounted with DPX.
HA750358_7.jpg Fig7: Immunohistochemical analysis of paraffin-embedded mouse cerebral cortex (P0) tissue with Rabbit anti-Ctip2 antibody (HA750358) at 1/10,000 dilution.

The section was pre-treated using heat mediated antigen retrieval with sodium citrate buffer (pH 6.0) (high pressure) for 2 minutes. The tissues were blocked in 1% BSA for 20 minutes at room temperature, washed with ddH2O and PBS, and then probed with the primary antibody (HA750358) at 1/10,000 dilution for 1 hour at room temperature. The detection was performed using an HRP conjugated compact polymer system. DAB was used as the chromogen. Tissues were counterstained with hematoxylin and mounted with DPX.
HA750358_8.jpg Fig8: Immunohistochemical analysis of paraffin-embedded rat brain tissue with Rabbit anti-Ctip2 antibody (HA750358) at 1/5,000 dilution.

The section was pre-treated using heat mediated antigen retrieval with sodium citrate buffer (pH 6.0) (high pressure) for 2 minutes. The tissues were blocked in 1% BSA for 20 minutes at room temperature, washed with ddH2O and PBS, and then probed with the primary antibody (HA750358) at 1/5,000 dilution for 1 hour at room temperature. The detection was performed using an HRP conjugated compact polymer system. DAB was used as the chromogen. Tissues were counterstained with hematoxylin and mounted with DPX.
HA750358_9.jpg Fig9: Western blot analysis of Ctip2 on different lysates with Rabbit anti-Ctip2 antibody (HA750358) at 1/500 dilution.

Lane 1: LO2 cell lysate
Lane 2: THP-1 cell lysate

Lysates/proteins at 10 µg/Lane.

Predicted band size: 96 kDa
Observed band size: 130 kDa

Exposure time: 3 minutes;

8% SDS-PAGE gel.

Proteins were transferred to a PVDF membrane and blocked with 5% NFDM/TBST for 1 hour at room temperature. The primary antibody (HA750358) at 1/500 dilution was used in 5% NFDM/TBST at room temperature for 2 hours. Goat Anti-Rabbit IgG - HRP Secondary Antibody (HA1001) at 1:200,000 dilution was used for 1 hour at room temperature.
HA750358_10.jpg Fig10: ICC staining of Ctip2 in LO2 cells (red). Formalin fixed cells were permeabilized with 0.1% Triton X-100 in TBS for 10 minutes at room temperature and blocked with 1% Blocker BSA for 15 minutes at room temperature. Cells were probed with the primary antibody (HA750358, 1/50) for 1 hour at room temperature, washed with PBS. Alexa Fluor®594 Goat anti-Rabbit IgG was used as the secondary antibody at 1/1,000 dilution. The nuclear counter stain is DAPI (blue).
Note: All products are “FOR RESEARCH USE ONLY AND ARE NOT INTENDED FOR DIAGNOSTIC OR THERAPEUTIC USE”.