DNMT1 Recombinant Rabbit Monoclonal Antibody [JF09-89]
cat.: HA750359
Product Type: Recombinant Rabbit monoclonal IgG, primary antibodies
Species reactivity: Human, Mouse, Rat
Applications: WB, IF-Cell, IF-Tissue, IHC-P
Clonality: Monoclonal
Clone number: JF09-89
Form: Liquid
Storage condition: Store at +4℃ after thawing. Aliquot store at -20℃ or -80℃. Avoid repeated freeze / thaw cycles.
Storage buffer: 1*PBS (pH7.4).
Concentration: 1ug/ul
Purification: Protein A affinity purified.
Molecular weight: Predicted band size: 183 kDa
Isotype: IgG
Immunogen: Synthetic peptide within Human Dnmt1 aa 1,506-1,549 / 1,616.
Positive control: HEK-293 cell lysate, HepG2 cell lysate, F9 cell lysate, C6 cell lysate, HepG2, F9, human lymph nodes tissue, human stomach tissue, mouse stomach tissue, rat stomach tissue.
Subcellular location: Nucleus.
Recommended Dilutions:
  WB
  IF-Cell
  IF-Tissue
  IHC-P

1:500-1:2,000
1:50-1:200
1:50-1:200
1:50-1:1.000
Uniprot #: SwissProt: P26358 Human | P13864 Mouse | Q9Z330 Rat
Alternative names: ADCADN AIM CXXC finger protein 9 CXXC-type zinc finger protein 9 CXXC9 DNA (cytosine 5 ) methyltransferase 1 DNA (cytosine-5)-methyltransferase 1 DNA methyltransferase 1 DNA methyltransferase HsaI DNA methyltransferase M.HsaI. DNA MTase DNA MTase HsaI DNMT 1 DNMT Dnmt1 DNMT1_HUMAN Dnmt1o FLJ16293 HSN1E M.HsaI MCMT Met1 MGC104992 mMmul MommeD2
Images
HA750359_1.jpg Fig1: Western blot analysis of DNMT1 on different lysates with Rabbit anti-DNMT1 antibody (HA750359) at 1/1,000 dilution.

Lane 1: HEK-293 cell lysate
Lane 2: HepG2 cell lysate
Lane 3: F9 cell lysate
Lane 4: C6 cell lysate

Lysates/proteins at 20 µg/Lane.

Predicted band size: 183 kDa
Observed band size: 183 kDa

Exposure time: 1 minute; ECL: K1801;

4-20% SDS-PAGE gel.

Proteins were transferred to a PVDF membrane and blocked with 5% NFDM/TBST for 1 hour at room temperature. The primary antibody (HA750359) at 1/1,000 dilution was used in 5% NFDM/TBST at 4℃ overnight. Goat Anti-Rabbit IgG - HRP Secondary Antibody (HA1001) at 1/50,000 dilution was used for 1 hour at room temperature.
HA750359_2.jpg Fig2: Immunocytochemistry analysis of HepG2 cells labeling DNMT1 with Rabbit anti-DNMT1 antibody (HA750359) at 1/100 dilution.

Cells were fixed in 4% paraformaldehyde for 20 minutes at room temperature, permeabilized with 0.1% Triton X-100 in PBS for 5 minutes at room temperature, then blocked with 1% BSA in 10% negative goat serum for 1 hour at room temperature. Cells were then incubated with Rabbit anti-DNMT1 antibody (HA750359) at 1/100 dilution in 1% BSA in PBST overnight at 4 ℃. Goat Anti-Rabbit IgG H&L (iFluor™ 488, HA1121) was used as the secondary antibody at 1/1,000 dilution. PBS instead of the primary antibody was used as the secondary antibody only control. Nuclear DNA was labelled in blue with DAPI.

Beta tubulin (M1305-2, red) was stained at 1/100 dilution overnight at +4℃. Goat Anti-Mouse IgG H&L (iFluor™ 594, HA1126) was used as the secondary antibody at 1/1,000 dilution.
HA750359_3.jpg Fig3: Immunocytochemistry analysis of F9 cells labeling DNMT1 with Rabbit anti-DNMT1 antibody (HA750359) at 1/100 dilution.

Cells were fixed in 4% paraformaldehyde for 15 minutes at room temperature, permeabilized with 0.1% Triton X-100 in PBS for 15 minutes at room temperature, then blocked with 1% BSA in 10% negative goat serum for 1 hour at room temperature. Cells were then incubated with Rabbit anti-DNMT1 antibody (HA750359) at 1/100 dilution in 1% BSA in PBST overnight at 4 ℃. Goat Anti-Rabbit IgG H&L (iFluor™ 488, HA1121) was used as the secondary antibody at 1/1,000 dilution. PBS instead of the primary antibody was used as the secondary antibody only control. Nuclear DNA was labelled in blue with DAPI.

Beta tubulin (HA601187, red) was stained at 1/100 dilution overnight at +4℃. Goat Anti-Mouse IgG H&L (iFluor™ 594, HA1126) was used as the secondary antibody at 1/1,000 dilution.
HA750359_4.jpg Fig4: Immunohistochemical analysis of paraffin-embedded human lymph nodes tissue with Rabbit anti-DNMT1 antibody (HA750359) at 1/200 dilution.

The section was pre-treated using heat mediated antigen retrieval with sodium citrate buffer (pH 6.0) (high pressure) for 2 minutes. The tissues were blocked in 1% BSA for 20 minutes at room temperature, washed with ddH2O and PBS, and then probed with the primary antibody (HA750359) at 1/200 dilution for 1 hour at room temperature. The detection was performed using an HRP conjugated compact polymer system. DAB was used as the chromogen. Tissues were counterstained with hematoxylin and mounted with DPX.
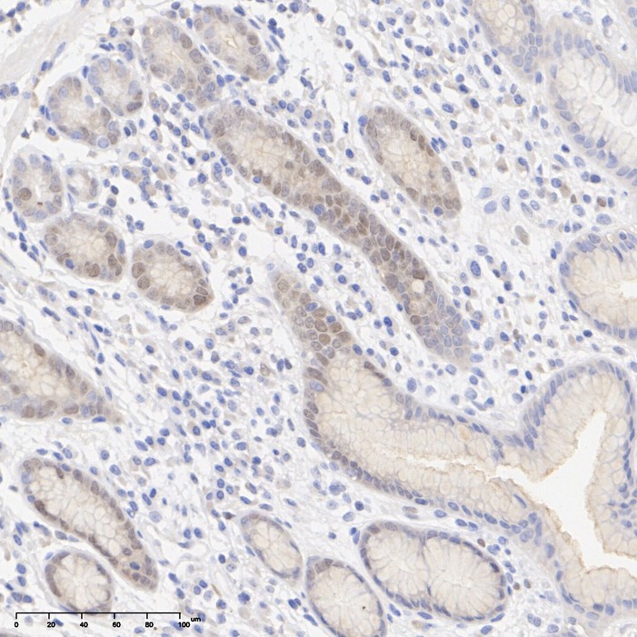
HA750359_5.jpg Fig5: Immunohistochemical analysis of paraffin-embedded human stomach tissue with Rabbit anti-DNMT1 antibody (HA750359) at 1/200 dilution.

The section was pre-treated using heat mediated antigen retrieval with sodium citrate buffer (pH 6.0) (high pressure) for 2 minutes. The tissues were blocked in 1% BSA for 20 minutes at room temperature, washed with ddH2O and PBS, and then probed with the primary antibody (HA750359) at 1/200 dilution for 1 hour at room temperature. The detection was performed using an HRP conjugated compact polymer system. DAB was used as the chromogen. Tissues were counterstained with hematoxylin and mounted with DPX.
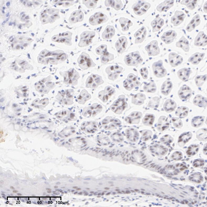
HA750359_6.jpg Fig6: Immunohistochemical analysis of paraffin-embedded mouse stomach tissue with Rabbit anti-DNMT1 antibody (HA750359) at 1/1,000 dilution.

The section was pre-treated using heat mediated antigen retrieval with sodium citrate buffer (pH 6.0) (high pressure) for 2 minutes. The tissues were blocked in 1% BSA for 20 minutes at room temperature, washed with ddH2O and PBS, and then probed with the primary antibody (HA750359) at 1/1,000 dilution for 1 hour at room temperature. The detection was performed using an HRP conjugated compact polymer system. DAB was used as the chromogen. Tissues were counterstained with hematoxylin and mounted with DPX.
HA750359_7.jpg Fig7: Immunohistochemical analysis of paraffin-embedded rat stomach tissue with Rabbit anti-DNMT1 antibody (HA750359) at 1/200 dilution.

The section was pre-treated using heat mediated antigen retrieval with sodium citrate buffer (pH 6.0) (high pressure) for 2 minutes. The tissues were blocked in 1% BSA for 20 minutes at room temperature, washed with ddH2O and PBS, and then probed with the primary antibody (HA750359) at 1/200 dilution for 1 hour at room temperature. The detection was performed using an HRP conjugated compact polymer system. DAB was used as the chromogen. Tissues were counterstained with hematoxylin and mounted with DPX.
Note: All products are “FOR RESEARCH USE ONLY AND ARE NOT INTENDED FOR DIAGNOSTIC OR THERAPEUTIC USE”.