Neutrophil Elastase Recombinant Rabbit Monoclonal Antibody [JF098-6]
cat.: HA750360
Product Type: Recombinant Rabbit monoclonal IgG, primary antibodies
Species reactivity: Human, Mouse
Applications: WB, IF-Cell, IF-Tissue, IHC-P
Clonality: Monoclonal
Clone number: JF098-6
Form: Liquid
Storage condition: Store at +4℃ after thawing. Aliquot store at -20℃ or -80℃. Avoid repeated freeze / thaw cycles.
Storage buffer: 1*PBS (pH7.4).
Concentration: 1ug/ul
Purification: Protein A affinity purified.
Molecular weight: Predicted band size: 29 kDa
Isotype: IgG
Immunogen: Recombinant protein within Human Neutrophil Elastase aa 1-140 / 268.
Positive control: HL-60 cell lysates, A549, Hela, HepG2, human bone marrow tissue, mouse bone tissue, human tonsil tissue, human spleen tissue.
Subcellular location: Cytoplasmic vesicle, phagosome.
Recommended Dilutions:
  WB
  IF-Cell
  IF-Tissue
  IHC-P

1:1,000-1:2,000
1:50
1:50
1:50-1:200
Uniprot #: SwissProt: P08246 Human | Q3UP87 Mouse
Alternative names: Bone marrow serine protease ELA2 ELANE Elastase 2 Elastase 2 neutrophil Elastase neutrophil expressed Elastase-2 ELNE_HUMAN GE Granulocyte derived elastase HLE HNE Human leukocyte elastase Leukocyte elastase Medullasin NE Neutrophil elastase PMN E PMN elastase Polymorphonuclear elastase SCN1
Images
HA750360_1.jpg Fig1: Western blot analysis of Neutrophil Elastase on HL-60 cell lysates. Proteins were transferred to a PVDF membrane and blocked with 5% BSA in PBS for 1 hour at room temperature. The primary antibody (HA750360, 1/500) was used in 5% BSA at room temperature for 2 hours. Goat Anti-Rabbit IgG - HRP Secondary Antibody (HA1001) at 1:200,000 dilution was used for 1 hour at room temperature.
HA750360_2.jpg Fig2: ICC staining of Neutrophil Elastase in A549 cells (red). Formalin fixed cells were permeabilized with 0.1% Triton X-100 in TBS for 10 minutes at room temperature and blocked with 1% Blocker BSA for 15 minutes at room temperature. Cells were probed with the primary antibody (HA750360, 1/50) for 1 hour at room temperature, washed with PBS. Alexa Fluor®594 Goat anti-Rabbit IgG was used as the secondary antibody at 1/1,000 dilution. The nuclear counter stain is DAPI (blue).
HA750360_3.jpg Fig3: ICC staining of Neutrophil Elastase in Hela cells (red). Formalin fixed cells were permeabilized with 0.1% Triton X-100 in TBS for 10 minutes at room temperature and blocked with 1% Blocker BSA for 15 minutes at room temperature. Cells were probed with the primary antibody (HA750360, 1/50) for 1 hour at room temperature, washed with PBS. Alexa Fluor®594 Goat anti-Rabbit IgG was used as the secondary antibody at 1/1,000 dilution. The nuclear counter stain is DAPI (blue).
HA750360_4.jpg Fig4: ICC staining of Neutrophil Elastase in HepG2 cells (red). Formalin fixed cells were permeabilized with 0.1% Triton X-100 in TBS for 10 minutes at room temperature and blocked with 1% Blocker BSA for 15 minutes at room temperature. Cells were probed with the primary antibody (HA750360, 1/50) for 1 hour at room temperature, washed with PBS. Alexa Fluor®594 Goat anti-Rabbit IgG was used as the secondary antibody at 1/1,000 dilution. The nuclear counter stain is DAPI (blue).
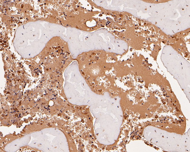
HA750360_5.jpg Fig5: Immunohistochemical analysis of paraffin-embedded human bone marrow tissue using anti-Neutrophil Elastase antibody. The section was pre-treated using heat mediated antigen retrieval with Tris-EDTA buffer (pH 8.0-8.4) for 20 minutes.The tissues were blocked in 5% BSA for 30 minutes at room temperature, washed with ddH2O and PBS, and then probed with the primary antibody (HA750360, 1/50) for 30 minutes at room temperature. The detection was performed using an HRP conjugated compact polymer system. DAB was used as the chromogen. Tissues were counterstained with hematoxylin and mounted with DPX.
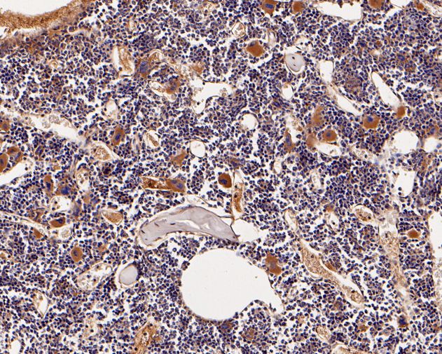
HA750360_6.jpg Fig6: Immunohistochemical analysis of paraffin-embedded mouse bone tissue using anti-Neutrophil Elastase antibody. The section was pre-treated using heat mediated antigen retrieval with Tris-EDTA buffer (pH 8.0-8.4) for 20 minutes.The tissues were blocked in 5% BSA for 30 minutes at room temperature, washed with ddH2O and PBS, and then probed with the primary antibody (HA750360, 1/50) for 30 minutes at room temperature. The detection was performed using an HRP conjugated compact polymer system. DAB was used as the chromogen. Tissues were counterstained with hematoxylin and mounted with DPX.
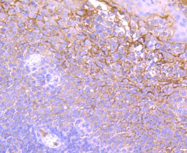
HA750360_7.jpg Fig7: Immunohistochemical analysis of paraffin-embedded human tonsil tissue using anti-Neutrophil Elastase antibody. The section was pre-treated using heat mediated antigen retrieval with Tris-EDTA buffer (pH 8.0-8.4) for 20 minutes.The tissues were blocked in 5% BSA for 30 minutes at room temperature, washed with ddH2O and PBS, and then probed with the primary antibody (HA750360, 1/50) for 30 minutes at room temperature. The detection was performed using an HRP conjugated compact polymer system. DAB was used as the chromogen. Tissues were counterstained with hematoxylin and mounted with DPX.
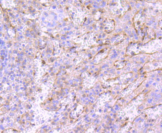
HA750360_8.jpg Fig8: Immunohistochemical analysis of paraffin-embedded human spleen tissue using anti-Neutrophil Elastase antibody. The section was pre-treated using heat mediated antigen retrieval with Tris-EDTA buffer (pH 8.0-8.4) for 20 minutes.The tissues were blocked in 5% BSA for 30 minutes at room temperature, washed with ddH2O and PBS, and then probed with the primary antibody (HA750360, 1/50) for 30 minutes at room temperature. The detection was performed using an HRP conjugated compact polymer system. DAB was used as the chromogen. Tissues were counterstained with hematoxylin and mounted with DPX.
Note: All products are “FOR RESEARCH USE ONLY AND ARE NOT INTENDED FOR DIAGNOSTIC OR THERAPEUTIC USE”.