Gli1 Recombinant Rabbit Monoclonal Antibody [JF09-08]
cat.: HA750361
Product Type: Recombinant Rabbit monoclonal IgG, primary antibodies
Species reactivity: Human, Mouse, Rat
Applications: WB, IHC-P, IF-Cell
Clonality: Monoclonal
Clone number: JF09-08
Form: Liquid
Storage condition: Store at +4℃ after thawing. Aliquot store at -20℃ or -80℃. Avoid repeated freeze / thaw cycles.
Storage buffer: 1*PBS (pH7.4).
Concentration: 1ug/ul
Purification: Protein A affinity purified.
Molecular weight: Predicted band size: 118 kDa
Isotype: IgG
Immunogen: Synthetic peptide within Human Gli1 aa 38-82 / 1106.
Positive control: K-562 cell lysate, HeLa cell lysate, Mouse brain tissue lysate, Rat brain tissue lysate, HeLa, Neuro-2a, C6, mouse fallopian tissue, rat testis tissue.
Subcellular location: Nucleus, Cytoplasm.
Recommended Dilutions:
  WB
  IHC-P
  IF-Cell

1:1,000
1:50-1:200
1:100
Uniprot #: SwissProt: P08151 Human | P47806 Mouse
Entrez Gene: 140589 Rat
Alternative names: Gli 1 GLI GLI family zinc finger 1 GLI Kruppel family member 1 gli1 GLI1_HUMAN Glioma associated oncogene 1 Glioma associated oncogene homolog 1 (zinc finger protein) Glioma associated oncogene homolog Glioma-associated oncogene Oncogene GLI Zfp 5 Zfp5 Zinc finger protein GLI 1 Zinc finger protein GLI1
Images
HA750361_1.jpg Fig1: Western blot analysis of Gli1 on different lysates with Rabbit anti-Gli1 antibody (HA750361) at 1/1,000 dilution.

Lane 1: K-562 cell lysate
Lane 2: HeLa cell lysate

Lysates/proteins at 20 µg/Lane.

Predicted band size: 118 kDa
Observed band size: 150 kDa

Exposure time: 59 seconds;

4-20% SDS-PAGE gel.

Proteins were transferred to a PVDF membrane and blocked with 5% NFDM/TBST for 1 hour at room temperature. The primary antibody (HA750361) at 1/1,000 dilution was used in 5% NFDM/TBST at 4℃ overnight. Goat Anti-Rabbit IgG - HRP Secondary Antibody (HA1001) at 1/50,000 dilution was used for 1 hour at room temperature.
HA750361_2.jpg Fig2: Western blot analysis of Gli1 on different lysates with Rabbit anti-Gli1 antibody (HA750361) at 1/1,000 dilution.

Lane 1: Mouse brain tissue lysate
Lane 2: Rat brain tissue lysate

Lysates/proteins at 20 µg/Lane.

Predicted band size: 118 kDa
Observed band size: 150 kDa

Exposure time: 1 minute 22 seconds;

4-20% SDS-PAGE gel.

Proteins were transferred to a PVDF membrane and blocked with 5% NFDM/TBST for 1 hour at room temperature. The primary antibody (HA750361) at 1/1,000 dilution was used in 5% NFDM/TBST at 4℃ overnight. Goat Anti-Rabbit IgG - HRP Secondary Antibody (HA1001) at 1/50,000 dilution was used for 1 hour at room temperature.
HA750361_3.jpg Fig3: Immunocytochemistry analysis of HeLa cells labeling Gli1 with Rabbit anti-Gli1 antibody (HA750361) at 1/100 dilution.

Cells were fixed in 4% paraformaldehyde for 20 minutes at room temperature, permeabilized with 0.1% Triton X-100 in PBS for 5 minutes at room temperature, then blocked with 1% BSA in 10% negative goat serum for 1 hour at room temperature. Cells were then incubated with Rabbit anti-Gli1 antibody (HA750361) at 1/100 dilution in 1% BSA in PBST overnight at 4 ℃. Goat Anti-Rabbit IgG H&L (iFluor™ 488, HA1121) was used as the secondary antibody at 1/1,000 dilution. PBS instead of the primary antibody was used as the secondary antibody only control. Nuclear DNA was labelled in blue with DAPI.

Beta tubulin (M1305-2, red) was stained at 1/100 dilution overnight at +4℃. Goat Anti-Mouse IgG H&L (iFluor™ 594, HA1126) was used as the secondary antibody at 1/1,000 dilution.
HA750361_4.jpg Fig4: Immunocytochemistry analysis of Neuro-2a cells labeling Gli1 with Rabbit anti-Gli1 antibody (HA750361) at 1/100 dilution.

Cells were fixed in 4% paraformaldehyde for 20 minutes at room temperature, permeabilized with 0.1% Triton X-100 in PBS for 5 minutes at room temperature, then blocked with 1% BSA in 10% negative goat serum for 1 hour at room temperature. Cells were then incubated with Rabbit anti-Gli1 antibody (HA750361) at 1/100 dilution in 1% BSA in PBST overnight at 4 ℃. Goat Anti-Rabbit IgG H&L (iFluor™ 488, HA1121) was used as the secondary antibody at 1/1,000 dilution. PBS instead of the primary antibody was used as the secondary antibody only control. Nuclear DNA was labelled in blue with DAPI.

Beta tubulin (M1305-2, red) was stained at 1/100 dilution overnight at +4℃. Goat Anti-Mouse IgG H&L (iFluor™ 594, HA1126) was used as the secondary antibody at 1/1,000 dilution.
HA750361_5.jpg Fig5: Immunocytochemistry analysis of C6 cells labeling Gli1 with Rabbit anti-Gli1 antibody (HA750361) at 1/100 dilution.

Cells were fixed in 4% paraformaldehyde for 20 minutes at room temperature, permeabilized with 0.1% Triton X-100 in PBS for 5 minutes at room temperature, then blocked with 1% BSA in 10% negative goat serum for 1 hour at room temperature. Cells were then incubated with Rabbit anti-Gli1 antibody (HA750361) at 1/100 dilution in 1% BSA in PBST overnight at 4 ℃. Goat Anti-Rabbit IgG H&L (iFluor™ 488, HA1121) was used as the secondary antibody at 1/1,000 dilution. PBS instead of the primary antibody was used as the secondary antibody only control. Nuclear DNA was labelled in blue with DAPI.

Beta tubulin (M1305-2, red) was stained at 1/100 dilution overnight at +4℃. Goat Anti-Mouse IgG H&L (iFluor™ 594, HA1126) was used as the secondary antibody at 1/1,000 dilution.
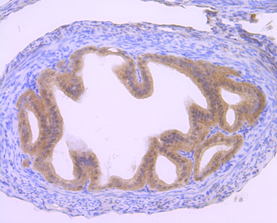
HA750361_6.jpg Fig6: Immunohistochemical analysis of paraffin-embedded mouse fallopian tissue using anti-Gli1 antibody. The section was pre-treated using heat mediated antigen retrieval with Tris-EDTA buffer (pH 8.0-8.4) for 20 minutes.The tissues were blocked in 5% BSA for 30 minutes at room temperature, washed with ddH2O and PBS, and then probed with the primary antibody (HA750361, 1/50) for 30 minutes at room temperature. The detection was performed using an HRP conjugated compact polymer system. DAB was used as the chromogen. Tissues were counterstained with hematoxylin and mounted with DPX.
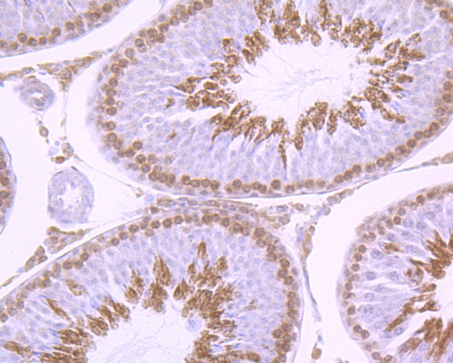
HA750361_7.jpg Fig7: Immunohistochemical analysis of paraffin-embedded rat testis tissue using anti-Gli1 antibody. The section was pre-treated using heat mediated antigen retrieval with Tris-EDTA buffer (pH 8.0-8.4) for 20 minutes.The tissues were blocked in 5% BSA for 30 minutes at room temperature, washed with ddH2O and PBS, and then probed with the primary antibody (HA750361, 1/50) for 30 minutes at room temperature. The detection was performed using an HRP conjugated compact polymer system. DAB was used as the chromogen. Tissues were counterstained with hematoxylin and mounted with DPX.
Note: All products are “FOR RESEARCH USE ONLY AND ARE NOT INTENDED FOR DIAGNOSTIC OR THERAPEUTIC USE”.