CD90 / THY1 Recombinant Rabbit Monoclonal Antibody [JF10-09]
cat.: HA750364
Product Type: Recombinant Rabbit monoclonal IgG, primary antibodies
Species reactivity: Human, Mouse, Rat
Applications: WB, IF-Cell, IF-Tissue, IHC-P, IHC-Fr
Clonality: Monoclonal
Clone number: JF10-09
Form: Liquid
Storage condition: Store at +4℃ after thawing. Aliquot store at -20℃ or -80℃. Avoid repeated freeze / thaw cycles.
Storage buffer: 1*PBS (pH7.4).
Concentration: 1ug/ul
Purification: Protein A affinity purified.
Molecular weight: Predicted band size: 18 kDa
Isotype: IgG
Immunogen: Synthetic peptide within Human THY1 aa 75-120 / 161.
Positive control: Hela cell lysate, HepG2 cell lysate, HUVEC cell lysate, human lung carcinoma tissue, human kidney tissue, human tonsil tissue, human spleen tissue, mouse brain tissue, mouse hippocampus tissue.
Subcellular location: Cell membrane.
Recommended Dilutions:
  WB
  IF-Cell
  IF-Tissue
  IHC-P
  IHC-Fr

1:500-1:2,000
1:50-1:200
1:400-1:1,000
1:2,000-1:4,000
1:100-1:200
Uniprot #: SwissProt: P04216 Human | P01831 Mouse | P01830 Rat
Alternative names: CD7 CD90 CD90 antigen CDw90 FLJ33325 MGC128895 T25 Theta antigen Thy 1 Thy 1 cell surface antigen Thy 1 membrane glycoprotein Thy 1 T cell antigen Thy 1.2 Thy-1 antigen Thy-1 membrane glycoprotein Thy1 Thy1 antigen Thy1 T cell antigen Thy1.1 Thy1.2 THY1_HUMAN Thymus cell antigen 1, theta
Images
HA750364_1.jpg Fig1: Western blot analysis of CD90 / THY1 on different lysates. Proteins were transferred to a PVDF membrane and blocked with 5% BSA in PBS for 1 hour at room temperature. The primary antibody (HA750364, 1/500) was used in 5% BSA at room temperature for 2 hours. Goat Anti-Rabbit IgG - HRP Secondary Antibody (HA1001) at 1:200,000 dilution was used for 1 hour at room temperature.
Positive control:
Lane 1: Hela cell lysate
Lane 2: HepG2 cell lysate
Lane 3: HUVEC cell lysate
HA750364_2.jpg Fig2: All lanes: Western blot analysis of THY1 with anti-CD90 / THY1 antibody[JF10-09] (HA750364) at 1:500 dilution.
Lane 1: Wild-type Hela whole cell lysate (10 µg).
Lane 2: THY1 knockdown Hela whole cell lysate (10 µg).

HA750364 was shown to specifically react with THY1 in wild-type Hela cells. Weakened bands were observed when THY1 knockdown samples were tested. Wild-type and THY1 knockdown samples were subjected to SDS-PAGE. Proteins were transferred to a PVDF membrane and blocked with 5% NFDM in TBST for 1 hour at room temperature. The primary antibody (HA750364, 1/500) was used in 5% BSA at room temperature for 2 hours. Goat Anti-Rabbit IgG-HRP Secondary Antibody (HA1001) at 1:100,000 dilution was used for 1 hour at room temperature.
HA750364_3.jpg Fig3: Immunocytochemistry analysis of HeLa cells labeling CD90 / THY1 with Rabbit anti-CD90 / THY1 antibody (HA750364) at 1/200 dilution.

Cells were fixed in 4% paraformaldehyde for 10 minutes at 37 ℃, permeabilized with 0.05% Triton X-100 in PBS for 20 minutes, and then blocked with 2% negative goat serum for 30 minutes at room temperature. Cells were then incubated with Rabbit anti-CD90 / THY1 antibody (HA750364) at 1/200 dilution in 2% negative goat serum overnight at 4 ℃. Goat Anti-Rabbit IgG H&L (iFluor™ 488, HA1121) was used as the secondary antibody at 1/1,000 dilution. Nuclear DNA was labelled in blue with DAPI.

Beta tubulin (M1305-2, red) was stained at 1/200 dilution overnight at +4℃. Goat Anti-Mouse IgG H&L (iFluor™ 594, HA1126) was used as the secondary antibody at 1/1,000 dilution.
HA750364_4.jpg Fig4: Immunohistochemical analysis of paraffin-embedded human lung carcinoma tissue using anti-CD90 / THY1 antibody. The section was pre-treated using heat mediated antigen retrieval with Tris-EDTA buffer (pH 9.0) for 20 minutes.The tissues were blocked in 5% BSA for 30 minutes at room temperature, washed with ddH2O and PBS, and then probed with the primary antibody (HA750364, 1/50) for 30 minutes at room temperature. The detection was performed using an HRP conjugated compact polymer system. DAB was used as the chromogen. Tissues were counterstained with hematoxylin and mounted with DPX.
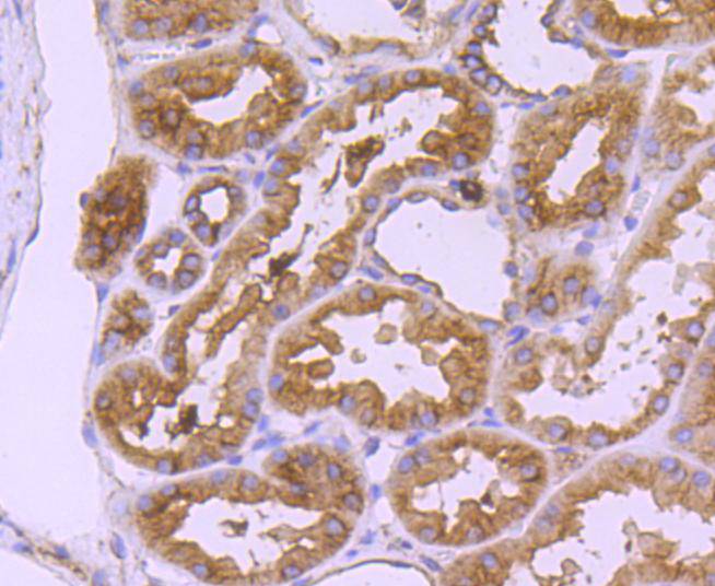
HA750364_5.jpg Fig5: Immunohistochemical analysis of paraffin-embedded human kidney tissue using anti-CD90 / THY1 antibody. The section was pre-treated using heat mediated antigen retrieval with Tris-EDTA buffer (pH 9.0) for 20 minutes.The tissues were blocked in 5% BSA for 30 minutes at room temperature, washed with ddH2O and PBS, and then probed with the primary antibody (HA750364, 1/50) for 30 minutes at room temperature. The detection was performed using an HRP conjugated compact polymer system. DAB was used as the chromogen. Tissues were counterstained with hematoxylin and mounted with DPX.
HA750364_6.jpg Fig6: Immunohistochemical analysis of paraffin-embedded human tonsil tissue using anti-CD90 / THY1 antibody. The section was pre-treated using heat mediated antigen retrieval with Tris-EDTA buffer (pH 9.0) for 20 minutes.The tissues were blocked in 5% BSA for 30 minutes at room temperature, washed with ddH2O and PBS, and then probed with the primary antibody (HA750364, 1/50) for 30 minutes at room temperature. The detection was performed using an HRP conjugated compact polymer system. DAB was used as the chromogen. Tissues were counterstained with hematoxylin and mounted with DPX.
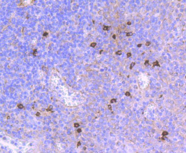
HA750364_7.jpg Fig7: Immunohistochemical analysis of paraffin-embedded human spleen tissue using anti-CD90 / THY1 antibody. The section was pre-treated using heat mediated antigen retrieval with Tris-EDTA buffer (pH 9.0) for 20 minutes.The tissues were blocked in 5% BSA for 30 minutes at room temperature, washed with ddH2O and PBS, and then probed with the primary antibody (HA750364, 1/50) for 30 minutes at room temperature. The detection was performed using an HRP conjugated compact polymer system. DAB was used as the chromogen. Tissues were counterstained with hematoxylin and mounted with DPX.
HA750364_8.jpg Fig8: Immunohistochemical analysis of paraffin-embedded mouse brain tissue using anti-CD90 / THY1 antibody. The section was pre-treated using heat mediated antigen retrieval with Tris-EDTA buffer (pH 9.0) for 20 minutes.The tissues were blocked in 1% BSA for 30 minutes at room temperature, washed with ddH2O and PBS, and then probed with the primary antibody (HA750364, 1/400) for 30 minutes at room temperature. The detection was performed using an HRP conjugated compact polymer system. DAB was used as the chromogen. Tissues were counterstained with hematoxylin and mounted with DPX.
HA750364_9.jpg Fig9: Immunohistochemical analysis of paraffin-embedded mouse hippocampus tissue using anti-CD90 / THY1 antibody. The section was pre-treated using heat mediated antigen retrieval with Tris-EDTA buffer (pH 9.0) for 20 minutes.The tissues were blocked in 1% BSA for 30 minutes at room temperature, washed with ddH2O and PBS, and then probed with the primary antibody (HA750364, 1/400) for 30 minutes at room temperature. The detection was performed using an HRP conjugated compact polymer system. DAB was used as the chromogen. Tissues were counterstained with hematoxylin and mounted with DPX.
HA750364_10.jpg Fig10: Immunofluorescence analysis of frozen mouse hippocampus tissue labeling CD90 / THY1 with Rabbit anti-CD90 / THY1 antibody (HA750364).
The tissues were blocked in 3% BSA for 30 minutes at room temperature, washed with PBS, and then probed with the primary antibody (HA750364, green) at 1/100 dilution overnight at 4℃, washed with PBS. Goat Anti-Rabbit IgG H&L (Alexa Fluor® 488) was used as the secondary antibody at 1/200 dilution. Nuclei were counterstained with DAPI (blue). Image acquisition was performed with KFBIO KF-FL-400 Scanner.
HA750364_11.jpg Fig11: Immunofluorescence analysis of frozen mouse cerebral cortex tissue labeling CD90 / THY1 with Rabbit anti-CD90 / THY1 antibody (HA750364).
The tissues were blocked in 3% BSA for 30 minutes at room temperature, washed with PBS, and then probed with the primary antibody (HA750364, green) at 1/100 dilution overnight at 4℃, washed with PBS. Goat Anti-Rabbit IgG H&L (Alexa Fluor® 488) was used as the secondary antibody at 1/200 dilution. Nuclei were counterstained with DAPI (blue). Image acquisition was performed with KFBIO KF-FL-400 Scanner.
HA750364_12.jpg Fig12: Immunofluorescence analysis of paraffin-embedded human kidney tissue labeling CD90 / THY1 with Rabbit anti-CD90 / THY1 antibody (HA750364) at 1/400 dilution.

The section was pre-treated using heat mediated antigen retrieval with Tris-EDTA buffer (pH 9.0) for 20 minutes. The tissues were blocked in 10% negative goat serum for 1 hour at room temperature, washed with PBS, and then probed with the primary antibody (HA750364, green) at 1/400 dilution overnight at 4 ℃, washed with PBS. Goat Anti-Rabbit IgG H&L (iFluor™ 488, HA1121) was used as the secondary antibody at 1/1,000 dilution. Nuclei were counterstained with DAPI (blue).
HA750364_13.jpg Fig13: Immunofluorescence analysis of paraffin-embedded mouse brain tissue labeling CD90 / THY1 with Rabbit anti-CD90 / THY1 antibody (HA750364) at 1/400 dilution.

The section was pre-treated using heat mediated antigen retrieval with Tris-EDTA buffer (pH 9.0) for 20 minutes. The tissues were blocked in 10% negative goat serum for 1 hour at room temperature, washed with PBS, and then probed with the primary antibody (HA750364, green) at 1/400 dilution overnight at 4 ℃, washed with PBS. Goat Anti-Rabbit IgG H&L (iFluor™ 488, HA1121) was used as the secondary antibody at 1/1,000 dilution. Nuclei were counterstained with DAPI (blue).
Note: All products are “FOR RESEARCH USE ONLY AND ARE NOT INTENDED FOR DIAGNOSTIC OR THERAPEUTIC USE”.