TBR1 Recombinant Rabbit Monoclonal Antibody [JF10-00]
cat.: HA750366
Product Type: Recombinant Rabbit monoclonal IgG, primary antibodies
Species reactivity: Human, Mouse, Rat, Cynomolgus monkey, Pig
Applications: WB, IHC-P, IF-Tissue, IHC-Fr
Clonality: Monoclonal
Clone number: JF10-00
Form: Liquid
Storage condition: Store at +4℃ after thawing. Aliquot store at -20℃ or -80℃. Avoid repeated freeze / thaw cycles.
Storage buffer: 1*PBS (pH7.4).
Concentration: 1ug/ul
Purification: Protein A affinity purified.
Molecular weight: Predicted band size: 74 kDa
Isotype: IgG
Immunogen: Synthetic peptide within Human TBR1 aa 30-75 / 682.
Positive control: Human brain tissue lysates, mouse brain tissue lysates, rat brain tissue lysates, human brain tissue, mouse brain tissue, rat brain tissue, mouse hippocampus tissue, rat hippocampus tissue, E14.5 mouse embryonic brain tissue.
Subcellular location: Nucleus.
Recommended Dilutions:
  WB
  IHC-P
  IF-Tissue
  IHC-Fr

1:1,000
1:500-1:2,000
1:500
1:500-1:1,000
Uniprot #: SwissProt: Q16650 Human | Q64336 Mouse
Entrez Gene: 680427 Rat
Alternative names: T box brain 1 T box brain protein 1 T brain 1 protein T-box brain protein 1 T-brain-1 TBR 1 TBR-1 Tbr1 TBR1_HUMAN TES 56 TES-56
Images
HA750366_1.jpg Fig1: Application: IHC-Fr

Species: Mouse

Site: Cerebral cortex (P0)

Sample: Frozen section

Antibody concentration: 1:1,000

Antigen retrieval: Not required
HA750366_2.jpg Fig2: Application: IHC-Fr

Species: Mouse

Site: E14.5 embryonic brain

Sample: Frozen section

Antibody concentration: 1:500

Antigen retrieval: Not required
HA750366_3.jpg Fig3: Application: IF-tissue

Species: Mouse

Site: E14.5 embryonic brain

Sample: Paraffin-embedded section

Antibody concentration: 1:500
HA750366_4.jpg Fig4: Immunofluorescence analysis of paraffin-embedded mouse brain tissue labeling TBR1 with Rabbit anti-TBR1 antibody (HA750366) at 1/500 dilution.

The section was pre-treated using heat mediated antigen retrieval with Tris-EDTA buffer (pH 9.0) for 20 minutes. The tissues were blocked in 10% negative goat serum for 1 hour at room temperature, washed with PBS, and then probed with the primary antibody (HA750366, green) at 1/500 dilution overnight at 4 ℃, washed with PBS.

Goat Anti-Rabbit IgG H&L (iFluor™ 488, HA1121) was used as the secondary antibody at 1/1,000 dilution. Nuclei were counterstained with DAPI (blue).
HA750366_5.jpg Fig5: Western blot analysis of TBR1 on different lysates with Rabbit anti-TBR1 antibody (HA750366) at 1/1,000 dilution.

Lane 1: Human brain tissue lysate (40 µg/Lane)
Lane 2: Mouse brain tissue lysate (40 µg/Lane)
Lane 3: Rat brain tissue lysate (40 µg/Lane)

Predicted band size: 74 kDa
Observed band size: 74 kDa

Exposure time: 1 minute; ECL: K1801;
4-20% SDS-PAGE gel.

Proteins were transferred to a PVDF membrane and blocked with 5% NFDM/TBST for 1 hour at room temperature. The primary antibody (HA750366) at 1/1,000 dilution was used in 5% NFDM/TBST at 4℃ overnight. Goat Anti-Rabbit IgG - HRP Secondary Antibody (HA1001) at 1/50,000 dilution was used for 1 hour at room temperature.
HA750366_6.jpg Fig6: Immunohistochemical analysis of paraffin-embedded mouse embryo tissue with Rabbit anti-TBR1 antibody (HA750366) at 1/2,000 dilution.

The section was pre-treated using heat mediated antigen retrieval with sodium citrate buffer (pH 6.0) (high pressure) for 2 minutes. The tissues were blocked in 1% BSA for 20 minutes at room temperature, washed with ddH2O and PBS, and then probed with the primary antibody (HA750366) at 1/2,000 dilution for 1 hour at room temperature. The detection was performed using an HRP conjugated compact polymer system. DAB was used as the chromogen. Tissues were counterstained with hematoxylin and mounted with DPX.
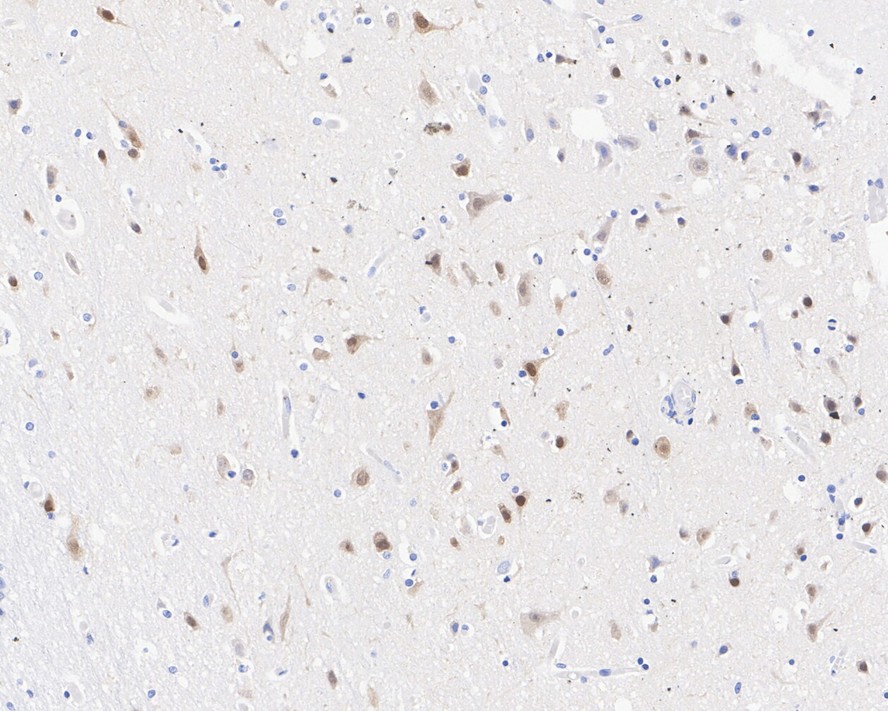
HA750366_7.jpg Fig7: Immunohistochemical analysis of paraffin-embedded human brain tissue with Rabbit anti-TBR1 antibody (HA750366) at 1/1,000 dilution.

The section was pre-treated using heat mediated antigen retrieval with sodium citrate buffer (pH 6.0) (high pressure) for 2 minutes. The tissues were blocked in 1% BSA for 20 minutes at room temperature, washed with ddH2O and PBS, and then probed with the primary antibody (HA750366) at 1/1,000 dilution for 1 hour at room temperature. The detection was performed using an HRP conjugated compact polymer system. DAB was used as the chromogen. Tissues were counterstained with hematoxylin and mounted with DPX.
HA750366_8.jpg Fig8: Immunohistochemical analysis of paraffin-embedded mouse brain tissue with Rabbit anti-TBR1 antibody (HA750366) at 1/1,000 dilution.

The section was pre-treated using heat mediated antigen retrieval with sodium citrate buffer (pH 6.0) (high pressure) for 2 minutes. The tissues were blocked in 1% BSA for 20 minutes at room temperature, washed with ddH2O and PBS, and then probed with the primary antibody (HA750366) at 1/1,000 dilution for 1 hour at room temperature. The detection was performed using an HRP conjugated compact polymer system. DAB was used as the chromogen. Tissues were counterstained with hematoxylin and mounted with DPX.
HA750366_9.jpg Fig9: Immunohistochemical analysis of paraffin-embedded rat brain tissue with Rabbit anti-TBR1 antibody (HA750366) at 1/1,000 dilution.

The section was pre-treated using heat mediated antigen retrieval with sodium citrate buffer (pH 6.0) (high pressure) for 2 minutes. The tissues were blocked in 1% BSA for 20 minutes at room temperature, washed with ddH2O and PBS, and then probed with the primary antibody (HA750366) at 1/1,000 dilution for 1 hour at room temperature. The detection was performed using an HRP conjugated compact polymer system. DAB was used as the chromogen. Tissues were counterstained with hematoxylin and mounted with DPX.
HA750366_10.jpg Fig10: Immunohistochemical analysis of paraffin-embedded mouse hippocampus tissue with Rabbit anti-TBR1 antibody (HA750366) at 1/500 dilution.

The section was pre-treated using heat mediated antigen retrieval with sodium citrate buffer (pH 6.0) (high pressure) for 2 minutes. The tissues were blocked in 1% BSA for 20 minutes at room temperature, washed with ddH2O and PBS, and then probed with the primary antibody (HA750366) at 1/500 dilution for 1 hour at room temperature. The detection was performed using an HRP conjugated compact polymer system. DAB was used as the chromogen. Tissues were counterstained with hematoxylin and mounted with DPX.
HA750366_11.jpg Fig11: Immunohistochemical analysis of paraffin-embedded rat hippocampus tissue with Rabbit anti-TBR1 antibody (HA750366) at 1/500 dilution.

The section was pre-treated using heat mediated antigen retrieval with sodium citrate buffer (pH 6.0) (high pressure) for 2 minutes. The tissues were blocked in 1% BSA for 20 minutes at room temperature, washed with ddH2O and PBS, and then probed with the primary antibody (HA750366) at 1/500 dilution for 1 hour at room temperature. The detection was performed using an HRP conjugated compact polymer system. DAB was used as the chromogen. Tissues were counterstained with hematoxylin and mounted with DPX.
Note: All products are “FOR RESEARCH USE ONLY AND ARE NOT INTENDED FOR DIAGNOSTIC OR THERAPEUTIC USE”.