beta 2 Adrenergic Receptor Recombinant Rabbit Monoclonal Antibody [JM102-06]
cat.: HA750368
Product Type: Recombinant Rabbit monoclonal IgG, primary antibodies
Species reactivity: Human, Mouse, Rat, Zebrafish
Applications: WB, IHC-P, IP, IF-Cell, FC, IHC-Fr
Clonality: Monoclonal
Clone number: JM102-06
Form: Liquid
Storage condition: Store at +4℃ after thawing. Aliquot store at -20℃ or -80℃. Avoid repeated freeze / thaw cycles.
Storage buffer: 1*PBS (pH7.4).
Concentration: 1ug/ul
Purification: Protein A affinity purified.
Molecular weight: Predicted band size: 46 kDa
Isotype: IgG
Immunogen: Synthetic peptide within Human ADRB2 aa 369-400 / 413.
Positive control: A431 cell lysate, human liver tissue lysate, mouse heart tissue lysate, rat heart tissue lysate, mouse kidney tissue lysate, rat kidney tissue lysate, zebrafish tissue lysates, A431, human liver tissue, human stomach tissue, mouse liver tissue, mouse stomach tissue, rat liver tissue, rat stomach tissue.
Subcellular location: Cell membrane, Early endosome.
Recommended Dilutions:
  WB
  IHC-P
  IP
  IF-Cell
  FC
  IHC-Fr

1:5,000-1:20,000
1:200-1:5,000
Use at an assay dependent concentration.
1:100
1:1,000
1:500
Uniprot #: SwissProt: P07550 Human | P18762 Mouse | P10608 Rat
Alternative names: ADRB2 ADRB2_HUMAN ADRB2R ADRBR Adrenergic beta 2 receptor surface Adrenoceptor beta 2 surface B2AR BAR beta 2 adrenoceptor Beta 2 adrenoreceptor Beta-2 adrenergic receptor Beta-2 adrenoceptor Beta-2 adrenoreceptor BETA2AR Catecholamine receptor OTTHUMP00000160386
Images
HA750368_1.jpg Fig1: Immunofluorescence analysis of frozen mouse liver tissue with Rabbit anti-beta 2 Adrenergic Receptor antibody (HA750368) at 1/500 dilution.

The section was pre-treated using heat mediated antigen retrieval with sodium citrate buffer (pH 6.0) for about 2 minutes in microwave oven. The tissues were blocked in 10% negative goat serum for 1 hour at room temperature, washed with PBS, and then probed with the primary antibody (HA750368, green) at 1/500 dilution overnight at 4 ℃, washed with PBS. Goat Anti-Rabbit IgG H&L (iFluor™ 488, HA1121) was used as the secondary antibody at 1/1,000 dilution. Nuclei were counterstained with DAPI (blue).
HA750368_2.jpg Fig2: Western blot analysis of beta 2 Adrenergic Receptor on different lysates with Rabbit anti-beta 2 Adrenergic Receptor antibody (HA750368) at 1/5,000 dilution.

Lane 1: A431 cell lysate (15 µg/Lane)
Lane 2: Human liver tissue lysate (20 µg/Lane)
Lane 3: Mouse heart tissue lysate (20 µg/Lane)
Lane 4: Rat heart tissue lysate (20 µg/Lane)
Lane 5: Mouse kidney tissue lysate (20 µg/Lane)
Lane 6: Rat kidney tissue lysate (20 µg/Lane)

Predicted band size: 46 kDa
Observed band size: 55-100 kDa

Exposure time: 3 minutes; ECL: K1801;
4-20% SDS-PAGE gel.

Proteins were transferred to a PVDF membrane and blocked with 5% NFDM/TBST for 1 hour at room temperature. The primary antibody (HA750368) at 1/5,000 dilution was used in 5% NFDM/TBST at 4℃ overnight. Goat Anti-Rabbit IgG - HRP Secondary Antibody (HA1001) at 1/50,000 dilution was used for 1 hour at room temperature.
HA750368_3.jpg Fig3: Western blot analysis of beta 2 Adrenergic Receptor on different lysates with Rabbit anti-beta 2 Adrenergic Receptor antibody (HA750368) at 1/1,000 dilution.

Lane 1: A431 cell lysate (no heat) (15 µg/Lane)
Lane 2: Mouse kidney tissue lysate (no heat) (20 µg/Lane)
Lane 3: Mouse heart tissue lysate (no heat) (20 µg/Lane)
Lane 4: Rat kidney tissue lysate (no heat) (20 µg/Lane)
Lane 5: Zebrafish tissue lysate (20 µg/Lane)

Notice: no heat means the lysate is not boiled.

Predicted band size: 46 kDa
Observed band size: 55-100 kDa

Exposure time: 3 minutes; ECL: K1801;
4-20% SDS-PAGE gel.

Proteins were transferred to a PVDF membrane and blocked with 5% NFDM/TBST for 1 hour at room temperature. The primary antibody (HA750368) at 1/1,000 dilution was used in 5% NFDM/TBST at 4℃ overnight. Goat Anti-Rabbit IgG - HRP Secondary Antibody (HA1001) at 1/50,000 dilution was used for 1 hour at room temperature.
HA750368_4.jpg Fig4: Immunocytochemistry analysis of A431 cells labeling beta 2 Adrenergic Receptor with Rabbit anti-beta 2 Adrenergic Receptor antibody (HA750368) at 1/100 dilution.

Cells were fixed in 4% paraformaldehyde for 20 minutes at room temperature, permeabilized with 0.1% Triton X-100 in PBS for 5 minutes at room temperature, then blocked with 1% BSA in 10% negative goat serum for 1 hour at room temperature. Cells were then incubated with Rabbit anti-beta 2 Adrenergic Receptor antibody (HA750368) at 1/100 dilution in 1% BSA in PBST overnight at 4 ℃. Goat Anti-Rabbit IgG H&L (iFluor™ 488, HA1121) was used as the secondary antibody at 1/1,000 dilution. PBS instead of the primary antibody was used as the secondary antibody only control. Nuclear DNA was labelled in blue with DAPI.

Beta tubulin (M1305-2, red) was stained at 1/100 dilution overnight at +4℃. Goat Anti-Mouse IgG H&L (iFluor™ 594, HA1126) was used as the secondary antibody at 1/1,000 dilution.
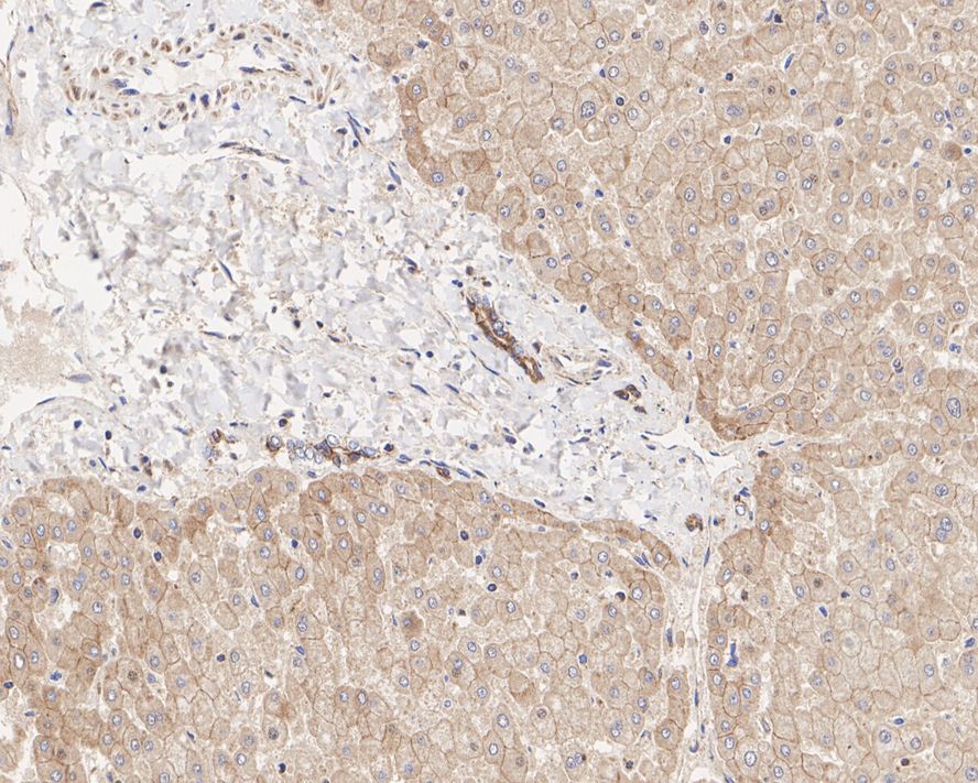
HA750368_5.jpg Fig5: Immunohistochemical analysis of paraffin-embedded human liver tissue with Rabbit anti-beta 2 Adrenergic Receptor antibody (HA750368) at 1/200 dilution.

The section was pre-treated using heat mediated antigen retrieval with Tris-EDTA buffer (pH 9.0) for 20 minutes. The tissues were blocked in 1% BSA for 20 minutes at room temperature, washed with ddH2O and PBS, and then probed with the primary antibody (HA750368) at 1/200 dilution for 1 hour at room temperature. The detection was performed using an HRP conjugated compact polymer system. DAB was used as the chromogen. Tissues were counterstained with hematoxylin and mounted with DPX.
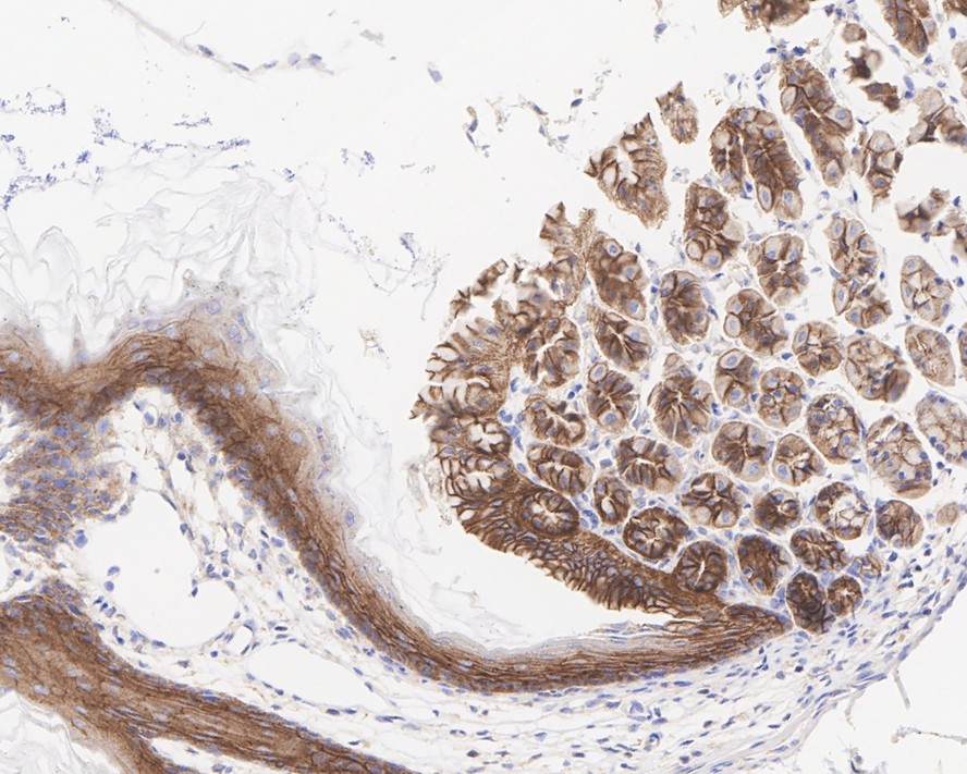
HA750368_6.jpg Fig6: Immunohistochemical analysis of paraffin-embedded human stomach tissue with Rabbit anti-beta 2 Adrenergic Receptor antibody (HA750368) at 1/1,000 dilution.

The section was pre-treated using heat mediated antigen retrieval with Tris-EDTA buffer (pH 9.0) for 20 minutes. The tissues were blocked in 1% BSA for 20 minutes at room temperature, washed with ddH2O and PBS, and then probed with the primary antibody (HA750368) at 1/1,000 dilution for 1 hour at room temperature. The detection was performed using an HRP conjugated compact polymer system. DAB was used as the chromogen. Tissues were counterstained with hematoxylin and mounted with DPX.
HA750368_7.jpg Fig7: Immunohistochemical analysis of paraffin-embedded mouse liver tissue with Rabbit anti-beta 2 Adrenergic Receptor antibody (HA750368) at 1/5,000 dilution.

The section was pre-treated using heat mediated antigen retrieval with Tris-EDTA buffer (pH 9.0) for 20 minutes. The tissues were blocked in 1% BSA for 20 minutes at room temperature, washed with ddH2O and PBS, and then probed with the primary antibody (HA750368) at 1/5,000 dilution for 1 hour at room temperature. The detection was performed using an HRP conjugated compact polymer system. DAB was used as the chromogen. Tissues were counterstained with hematoxylin and mounted with DPX.
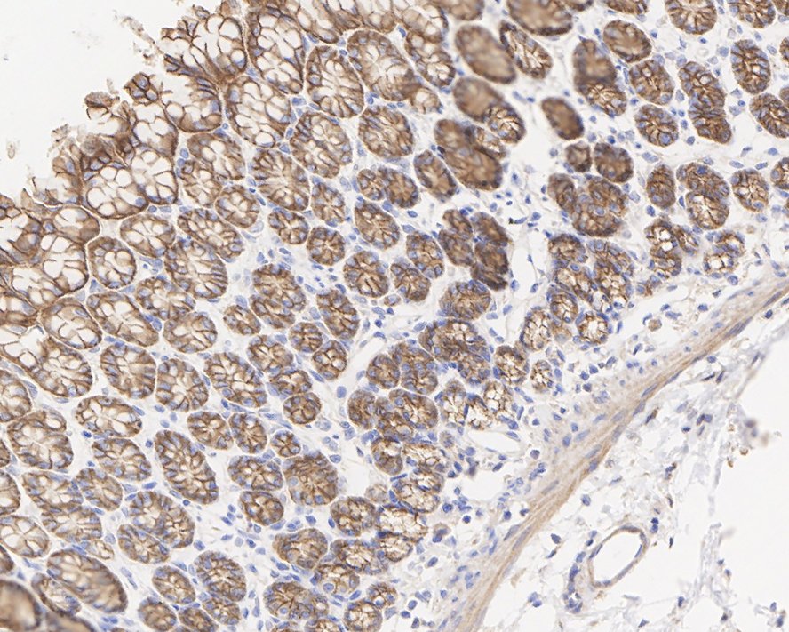
HA750368_8.jpg Fig8: Immunohistochemical analysis of paraffin-embedded mouse stomach tissue with Rabbit anti-beta 2 Adrenergic Receptor antibody (HA750368) at 1/1,000 dilution.

The section was pre-treated using heat mediated antigen retrieval with Tris-EDTA buffer (pH 9.0) for 20 minutes. The tissues were blocked in 1% BSA for 20 minutes at room temperature, washed with ddH2O and PBS, and then probed with the primary antibody (HA750368) at 1/1,000 dilution for 1 hour at room temperature. The detection was performed using an HRP conjugated compact polymer system. DAB was used as the chromogen. Tissues were counterstained with hematoxylin and mounted with DPX.
HA750368_9.jpg Fig9: Immunohistochemical analysis of paraffin-embedded rat liver tissue with Rabbit anti-beta 2 Adrenergic Receptor antibody (HA750368) at 1/5,000 dilution.

The section was pre-treated using heat mediated antigen retrieval with Tris-EDTA buffer (pH 9.0) for 20 minutes. The tissues were blocked in 1% BSA for 20 minutes at room temperature, washed with ddH2O and PBS, and then probed with the primary antibody (HA750368) at 1/5,000 dilution for 1 hour at room temperature. The detection was performed using an HRP conjugated compact polymer system. DAB was used as the chromogen. Tissues were counterstained with hematoxylin and mounted with DPX.
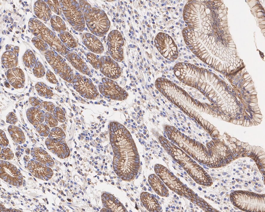
HA750368_10.jpg Fig10: Immunohistochemical analysis of paraffin-embedded rat stomach tissue with Rabbit anti-beta 2 Adrenergic Receptor antibody (HA750368) at 1/1,000 dilution.

The section was pre-treated using heat mediated antigen retrieval with Tris-EDTA buffer (pH 9.0) for 20 minutes. The tissues were blocked in 1% BSA for 20 minutes at room temperature, washed with ddH2O and PBS, and then probed with the primary antibody (HA750368) at 1/1,000 dilution for 1 hour at room temperature. The detection was performed using an HRP conjugated compact polymer system. DAB was used as the chromogen. Tissues were counterstained with hematoxylin and mounted with DPX.
HA750368_11.jpg Fig11: Flow cytometric analysis of A431 cells labeling beta 2 Adrenergic Receptor.

Cells were fixed and permeabilized. Then stained with the primary antibody (HA750368, 1/1,000) (red) compared with Rabbit IgG Isotype Control (green). After incubation of the primary antibody at +4℃ for an hour, the cells were stained with a iFluor™ 488 conjugate-Goat anti-Rabbit IgG Secondary antibody (HA1121) at 1/1,000 dilution for 30 minutes at +4℃. Unlabelled sample was used as a control (cells without incubation with primary antibody; black).
Note: All products are “FOR RESEARCH USE ONLY AND ARE NOT INTENDED FOR DIAGNOSTIC OR THERAPEUTIC USE”.