Parvalbumin Recombinant Rabbit Monoclonal Antibody [JM100-08]
cat.: HA750371
Product Type: Recombinant Rabbit monoclonal IgG, primary antibodies
Species reactivity: Human, Mouse, Rat, Cynomolgus monkey, Pig
Applications: WB, IHC-P, IHC-Fr, IF-Tissue, IP
Clonality: Monoclonal
Clone number: JM100-08
Form: Liquid
Storage condition: Store at +4℃ after thawing. Aliquot store at -20℃ or -80℃. Avoid repeated freeze / thaw cycles.
Storage buffer: 1*PBS (pH7.4).
Concentration: 1ug/ul
Purification: Protein A affinity purified.
Molecular weight: Predicted band size: 12 kDa
Isotype: IgG
Immunogen: Recombinant protein within Human Paravalbumin aa 1-110 / 110.
Positive control: Mouse cerebellum tissue, rat cerebellum tissue, human cerebellum tissue, RPMI 8226 cell lysate, Mouse skeletal muscle tissue lysate, Mouse cerebellum tissue lysate, Rat cerebellum tissue lysate.
Subcellular location: Axon, cytoplasm, synapse.
Recommended Dilutions:
  WB
  IHC-P
  IHC-Fr
  IF-Tissue
  IP

1:1,000
1:5,000-1:50,000
1:500-1:1,000
1:500
1-2μg/sample
Uniprot #: SwissProt: P20472 Human | P32848 Mouse | P02625 Rat
Alternative names: D22S749 MGC116759 Parvalbumin alpha PRVA_HUMAN PVALB
Images
HA750371_1.jpg Fig1: Application: IHC-Fr

Species: Mouse

Site: Cerebellum

Sample: Frozen section

Antibody concentration: 1/500 (Parvalbumin, HA750371, red); 1/500 (SLC32A1 / VGAT, HA601384, green)

Antigen retrieval: Not required
HA750371_2.jpg Fig2: Application: IHC-Fr

Species: Rat

Site: Cerebellum

Sample: Frozen section

Antibody concentration: 1/500 (Parvalbumin, HA750371, red); 1/500 (SLC32A1 / VGAT, HA601384, green)

Antigen retrieval: Not required
HA750371_3.jpg Fig3: Application: IHC-Fr

Species: Mouse

Site: Cerebellum

Sample: Frozen section

Antibody concentration: 1/1,000

Antigen retrieval: Not required
HA750371_4.jpg Fig4: Application: IHC-Fr

Species: Rat

Site: Cerebellum

Sample: Frozen section

Antibody concentration: 1/500

Antigen retrieval: Not required
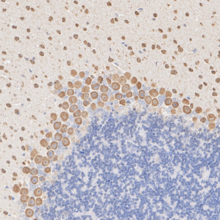
HA750371_5.jpg Fig5: Immunohistochemical analysis of paraffin-embedded mouse cerebellum tissue with Rabbit anti-Parvalbumin antibody (HA750371) at 1/50,000 dilution.

The section was pre-treated using heat mediated antigen retrieval with Tris-EDTA buffer (pH 9.0) for 20 minutes. The tissues were blocked in 1% BSA for 20 minutes at room temperature, washed with ddH2O and PBS, and then probed with the primary antibody (HA750371) at 1/50,000 dilution for 1 hour at room temperature. The detection was performed using an HRP conjugated compact polymer system. DAB was used as the chromogen. Tissues were counterstained with hematoxylin and mounted with DPX.
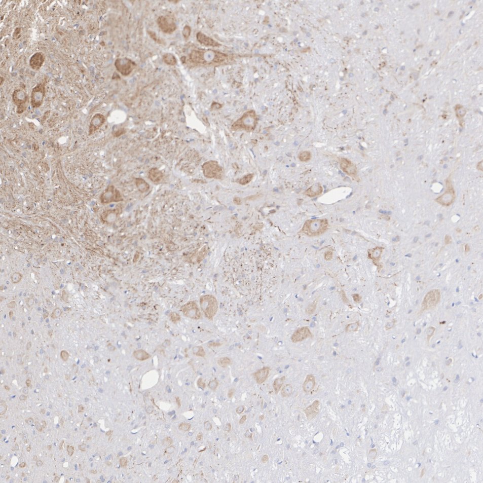
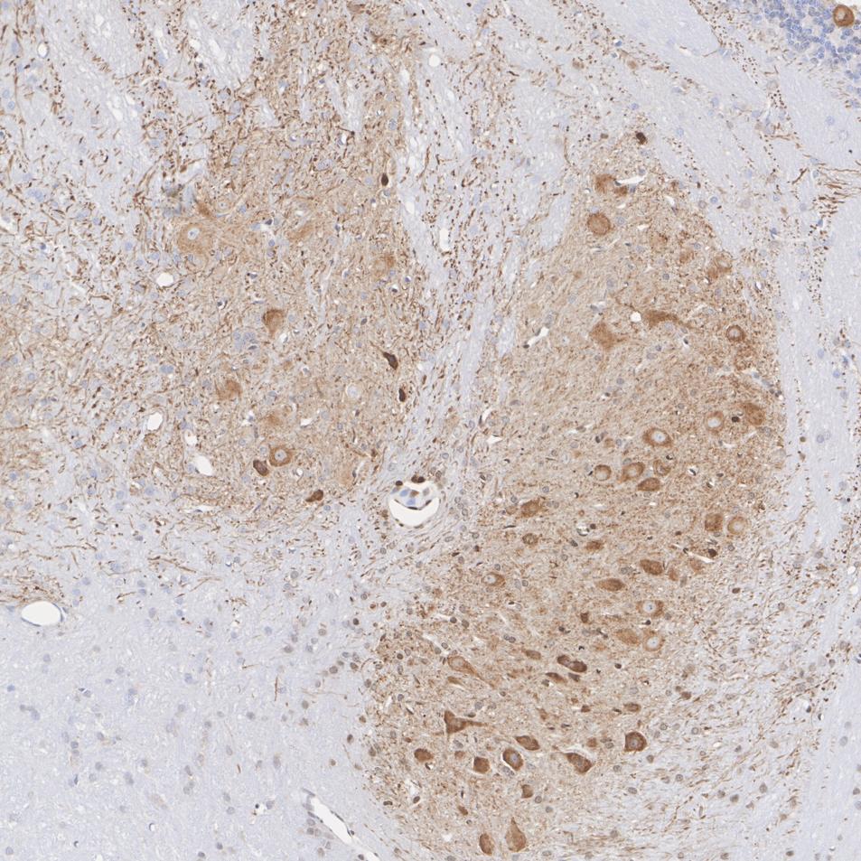
HA750371_6.jpg Fig6: Immunohistochemical analysis of paraffin-embedded rat cerebellum tissue with Rabbit anti-Parvalbumin antibody (HA750371) at 1/10,000 dilution.

The section was pre-treated using heat mediated antigen retrieval with Tris-EDTA buffer (pH 9.0) for 20 minutes. The tissues were blocked in 1% BSA for 20 minutes at room temperature, washed with ddH2O and PBS, and then probed with the primary antibody (HA750371) at 1/10,000 dilution for 1 hour at room temperature. The detection was performed using an HRP conjugated compact polymer system. DAB was used as the chromogen. Tissues were counterstained with hematoxylin and mounted with DPX.
HA750371_7.jpg Fig7: Immunohistochemical analysis of paraffin-embedded rat cerebellum tissue with Rabbit anti-Parvalbumin antibody (HA750371) at 1/5,000 dilution.

The section was pre-treated using heat mediated antigen retrieval with Tris-EDTA buffer (pH 9.0) for 20 minutes. The tissues were blocked in 1% BSA for 20 minutes at room temperature, washed with ddH2O and PBS, and then probed with the primary antibody (HA750371) at 1/5,000 dilution for 1 hour at room temperature. The detection was performed using an HRP conjugated compact polymer system. DAB was used as the chromogen. Tissues were counterstained with hematoxylin and mounted with DPX.
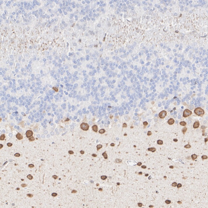
HA750371_8.jpg Fig8: Immunohistochemical analysis of paraffin-embedded human cerebellum tissue with Rabbit anti-Parvalbumin antibody (HA750371) at 1/5,000 dilution.

The section was pre-treated using heat mediated antigen retrieval with Tris-EDTA buffer (pH 9.0) for 20 minutes. The tissues were blocked in 1% BSA for 20 minutes at room temperature, washed with ddH2O and PBS, and then probed with the primary antibody (HA750371) at 1/5,000 dilution for 1 hour at room temperature. The detection was performed using an HRP conjugated compact polymer system. DAB was used as the chromogen. Tissues were counterstained with hematoxylin and mounted with DPX.
HA750371_9.jpg Fig9: Western blot analysis of Parvalbumin on different lysates with Rabbit anti-Parvalbumin antibody (HA750371) at 1/1,000 dilution.

Lane 1: RPMI 8226 cell lysate (20 µg/Lane)
Lane 2: SK-MEL-28 cell lysate (negative) (20 µg/Lane)
Lane 3: Mouse skeletal muscle tissue lysate (20 µg/Lane)
Lane 4: Mouse cerebellum tissue lysate (40 µg/Lane)
Lane 5: Rat cerebellum tissue lysate (40 µg/Lane)

Predicted band size: 12 kDa
Observed band size: 14 kDa
Exposure time: Lane 1-3: 30 seconds; Lane 4-5: 3 minutes; ECL: K1801;
4-20% SDS-PAGE gel.

Proteins were transferred to a PVDF membrane and blocked with 5% NFDM/TBST for 1 hour at room temperature. The primary antibody (HA750371) at 1/1,000 dilution was used in 5% NFDM/TBST at 4℃ overnight. Goat Anti-Rabbit IgG - HRP Secondary Antibody (HA1001) at 1/50,000 dilution was used for 1 hour at room temperature.
HA750371_10.jpg Fig10: Application: IF-tissue

Species: Mouse

Site: Cerebellum

Sample: Paraffin-embedded section

Antibody concentration: 1/500
HA750371_11.jpg Fig11: Parvalbumin was immunoprecipitated from 0.2 mg RPMI 8226 cell lysate with HA750371 at 2 µg/10 µl beads. Western blot was performed from the immunoprecipitate using HA750371 at 1/1,000 dilution. Anti-Rabbit IgG for IP Nano-secondary antibody (NBI01H) at 1/5,000 dilution was used for 1 hour at room temperature.

Lane 1: RPMI 8226 cell lysate (input)
Lane 2: HA750371 IP in RPMI 8226 cell lysate
Lane 3: Rabbit IgG instead of HA750371 in RPMI 8226 cell lysate

Blocking/Dilution buffer: 5% NFDM/TBST
Exposure time: 10 seconds; ECL: K1801
Note: All products are “FOR RESEARCH USE ONLY AND ARE NOT INTENDED FOR DIAGNOSTIC OR THERAPEUTIC USE”.