FGFR3 Recombinant Rabbit Monoclonal Antibody [JM81-10]
cat.: HA750379
Product Type: Recombinant Rabbit monoclonal IgG, primary antibodies
Species reactivity: Human
Applications: WB, IF-Cell, IF-Tissue, IHC-P, FC, IP
Clonality: Monoclonal
Clone number: JM81-10
Form: Liquid
Storage condition: Store at +4℃ after thawing. Aliquot store at -20℃ or -80℃. Avoid repeated freeze / thaw cycles.
Storage buffer: 1*PBS (pH7.4).
Concentration: 1ug/ul
Purification: Protein A affinity purified.
Molecular weight: Predicted band size: 88 kDa
Isotype: IgG
Immunogen: Recombinant protein within Human FGFR3 aa 719-806 / 806.
Positive control: HepG2 cell lysate, HEK-293 cell lysate, LNCaP cell lysate, A549 cell lysate, Hela, MCF-7, SH-SY5Y, human breast carcinoma tissue, human kidney tissue, HepG2.
Subcellular location: Endoplasmic reticulum, Cell membrane, Cytoplasmic vesicle, Secreted.
Recommended Dilutions:
  WB
  IF-Cell
  IF-Tissue
  IHC-P
  FC
  IP

1:5,000
1:50-1:200
1:50-1:200
1:50-1:200
1:50-1:100
Use at an assay dependent concentration
Uniprot #: SwissProt: P22607 Human
Alternative names: ACH CD 333 CD333 CD333 antigen CEK 2 CEK2 FGFR 3 FGFR-3 FGFR3 FGFR3_HUMAN Fibroblast growth factor receptor 3 (achondroplasia thanatophoric dwarfism) Fibroblast growth factor receptor 3 Heparin binding growth factor receptor HSFGFR3EX Hydroxyaryl protein kinase JTK 4 JTK4 MFR 3 SAM 3 Tyrosine kinase JTK 4 Tyrosine kinase JTK4 Z FGFR 3
Images
HA750379_1.jpg Fig1: Western blot analysis of FGFR3 on different lysates with Rabbit anti-FGFR3 antibody (HA750379) at 1/5,000 dilution.

Lane 1: HepG2 cell lysate (15 µg/Lane)
Lane 2: HEK-293 cell lysate (15 µg/Lane)
Lane 3: LNCaP cell lysate (15 µg/Lane)
Lane 4: A549 cell lysate (15 µg/Lane)

Predicted band size: 88 kDa
Observed band size: 130 kDa

Exposure time: 3 minutes;

4-20% SDS-PAGE gel.

Proteins were transferred to a PVDF membrane and blocked with 5% NFDM/TBST for 1 hour at room temperature. The primary antibody (HA750379) at 1/5,000 dilution was used in 5% NFDM/TBST at 4℃ overnight. Goat Anti-Rabbit IgG - HRP Secondary Antibody (HA1001) at 1:50,000 dilution was used for 1 hour at room temperature.
HA750379_2.jpg Fig2: Western blot analysis of FGFR3 on different lysates with Rabbit anti-FGFR3 antibody (HA750379) at 1/1,000 dilution.

Lane 1: HEK293-si NT cell lysate
Lane 2: HEK293-si FGFR3 cell lysate

Lysates/proteins at 10 µg/Lane.

Predicted band size: 88 kDa
Observed band size: 130 kDa

Exposure time: 3 minutes;

4-20% SDS-PAGE gel.

ET1703-36 was shown to specifically react with FGFR3 in HEK293-si NT cells. Weakened band was observed when HEK293-si FGFR3 sample was tested. HEK293-si NT and HEK293-si FGFR3 samples were subjected to SDS-PAGE. Proteins were transferred to a PVDF membrane and blocked with 5% NFDM in TBST for 1 hour at room temperature. The primary antibody (ET1703-36, 1/1,000) and Loading control antibody (Rabbit anti-GAPDH, ET1601-4, 1/10,000) were used in 5% BSA at room temperature for 2 hours. Goat Anti-rabbit IgG-HRP Secondary Antibody (HA1001) at 1:50,000 dilution was used for 1 hour at room temperature.
HA750379_3.jpg Fig3: Immunocytochemistry analysis of HepG2 cells labeling FGFR3 with Rabbit anti-FGFR3 antibody (HA750379) at 1/100 dilution.

Cells were fixed in 4% paraformaldehyde for 20 minutes at room temperature, permeabilized with 0.1% Triton X-100 in PBS for 5 minutes at room temperature, then blocked with 1% BSA in 10% negative goat serum for 1 hour at room temperature. Cells were then incubated with Rabbit anti-FGFR3 antibody (HA750379) at 1/100 dilution in 1% BSA in PBST overnight at 4 ℃. Goat Anti-Rabbit IgG H&L (iFluor™ 488, HA1121) was used as the secondary antibody at 1/1,000 dilution. PBS instead of the primary antibody was used as the secondary antibody only control. Nuclear DNA was labelled in blue with DAPI.

Beta tubulin (M1305-2, red) was stained at 1/100 dilution overnight at +4℃. Goat Anti-Mouse IgG H&L (iFluor™ 594, HA1126) was used as the secondary antibody at 1/1,000 dilution.
HA750379_4.jpg Fig4: ICC staining of FGFR3 in Hela cells (red). Formalin fixed cells were permeabilized with 0.1% Triton X-100 in TBS for 10 minutes at room temperature and blocked with 1% Blocker BSA for 15 minutes at room temperature. Cells were probed with the primary antibody (HA750379, 1/50) for 1 hour at room temperature, washed with PBS. Alexa Fluor®594 Goat anti-Rabbit IgG was used as the secondary antibody at 1/1,000 dilution. The nuclear counter stain is DAPI (blue).
HA750379_5.jpg Fig5: ICC staining of FGFR3 in MCF-7 cells (red). Formalin fixed cells were permeabilized with 0.1% Triton X-100 in TBS for 10 minutes at room temperature and blocked with 1% Blocker BSA for 15 minutes at room temperature. Cells were probed with the primary antibody (HA750379, 1/50) for 1 hour at room temperature, washed with PBS. Alexa Fluor®594 Goat anti-Rabbit IgG was used as the secondary antibody at 1/1,000 dilution. The nuclear counter stain is DAPI (blue).
HA750379_6.jpg Fig6: ICC staining of FGFR3 in SH-SY5Y cells (red). Formalin fixed cells were permeabilized with 0.1% Triton X-100 in TBS for 10 minutes at room temperature and blocked with 1% Blocker BSA for 15 minutes at room temperature. Cells were probed with the primary antibody (HA750379, 1/50) for 1 hour at room temperature, washed with PBS. Alexa Fluor®594 Goat anti-Rabbit IgG was used as the secondary antibody at 1/1,000 dilution. The nuclear counter stain is DAPI (blue).
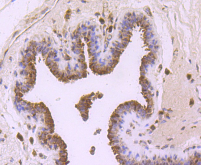
HA750379_7.jpg Fig7: Immunohistochemical analysis of paraffin-embedded human breast carcinoma tissue using anti-FGFR3 antibody. The section was pre-treated using heat mediated antigen retrieval with Tris-EDTA buffer (pH 8.0-8.4) for 20 minutes.The tissues were blocked in 5% BSA for 30 minutes at room temperature, washed with ddH2O and PBS, and then probed with the primary antibody (HA750379, 1/50) for 30 minutes at room temperature. The detection was performed using an HRP conjugated compact polymer system. DAB was used as the chromogen. Tissues were counterstained with hematoxylin and mounted with DPX.
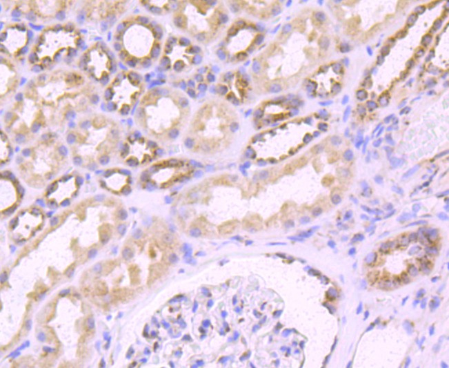
HA750379_8.jpg Fig8: Immunohistochemical analysis of paraffin-embedded human kidney tissue using anti-FGFR3 antibody. The section was pre-treated using heat mediated antigen retrieval with Tris-EDTA buffer (pH 8.0-8.4) for 20 minutes.The tissues were blocked in 5% BSA for 30 minutes at room temperature, washed with ddH2O and PBS, and then probed with the primary antibody (HA750379, 1/50) for 30 minutes at room temperature. The detection was performed using an HRP conjugated compact polymer system. DAB was used as the chromogen. Tissues were counterstained with hematoxylin and mounted with DPX.
HA750379_9.jpg Fig9: Flow cytometric analysis of FGFR3 was done on HepG2 cells. The cells were fixed, permeabilized and stained with the primary antibody (HA750379, 1/50) (red). After incubation of the primary antibody at room temperature for an hour, the cells were stained with a Alexa Fluor 488-conjugated Goat anti-Rabbit IgG Secondary antibody at 1/1000 dilution for 30 minutes.Unlabelled sample was used as a control (cells without incubation with primary antibody; black).
HA750379_10.jpg Fig10: FGFR3 was immunoprecipitated in 0.2mg HepG2 cell lysate with HA750379 at 2 µg/10 µl beads. Western blot was performed from the immunoprecipitate using HA750379 at 1/5,000 dilution. Anti-Rabbit IgG for IP Nano-secondary antibody (NBI01H) at 1/5,000 dilution was used for 1 hour at room temperature.

Lane 1: HepG2 cell lysate (input)
Lane 2: HA750379 IP in HepG2 cell lysate
Lane 3: Rabbit IgG instead of HA750379 in HepG2 cell lysate

Blocking/Dilution buffer: 5% NFDM/TBST
Exposure time: 4 mintues
Note: All products are “FOR RESEARCH USE ONLY AND ARE NOT INTENDED FOR DIAGNOSTIC OR THERAPEUTIC USE”.