CD32 Recombinant Rabbit Monoclonal Antibody [JM10-70]
cat.: HA750382
Product Type: Recombinant Rabbit monoclonal IgG, primary antibodies
Species reactivity: Human
Applications: WB, IHC-P, IF-Cell, FC, IP
Clonality: Monoclonal
Clone number: JM10-70
Form: Liquid
Storage condition: Store at +4℃ after thawing. Aliquot store at -20℃ or -80℃. Avoid repeated freeze / thaw cycles.
Storage buffer: 1*PBS (pH7.4).
Concentration: 1ug/ul
Purification: Protein A affinity purified.
Molecular weight: Predicted band size: 35 kDa
Isotype: IgG
Immunogen: Recombinant protein within Human CD32 aa 23-274 / 310.
Positive control: THP-1 cell lysate, K-562 cell lysate, human spleen tissue, K-562.
Subcellular location: Cell membrane.
Recommended Dilutions:
  WB
  IHC-P
  IF-Cell
  FC
  IP

1:1,000-1:5,000
1:400
1:100
1:1,000
1-2μg/sample
Uniprot #: SwissProt: P12318 Human
Alternative names: CD32 CD32A CD32B CD32C CDw32 Fc fragment of IgG low affinity IIa receptor Fc fragment of IgG low affinity IIa receptor for (CD32) Fc fragment of IgG low affinity IIb receptor Fc fragment of IgG low affinity IIb receptor for (CD32) Fc fragment of IgG low affinity IIc receptor Fc fragment of IgG low affinity IIc receptor for (CD32) Fc fragment of IgG, low affinity II, receptor for (CD32) Fc fragment of IgG, low affinity IIa, receptor (CD32) Fc fragment of IgG, low affinity IIb, receptor (CD32) Fc gamma receptor IIB Fc gamma receptor IIC Fc gamma RII a Fc gamma RII b Fc gamma RII c Fc gamma RIIb Fc gamma RIIc Fc receptor, IgG, low affinity IIb Fc-gamma RII-a Fc-gamma RII-b Fc-gamma RII-c Fc-gamma-RIIa FC-gamma-RIIB Fc-GAMMA-RIIC Fc[g]RII FCG2 FCG2A_HUMAN FcGR FCGR2 FCGR2A FCGR2A1 FCGR2B FCGR2C Fcgr3 Fcgr3a FcgRII Fcr-2 Fcr-3 FcRII a FCRII FcRII b FcRII c FcRII-a FcRIIC IGFR2 IgG Fc receptor I......
Images
HA750382_1.jpg Fig1: Western blot analysis of CD32 on different lysates with Rabbit anti-CD32 antibody (HA750382) at 1/2,000 dilution.

Lane 1: THP-1 cell lysate
Lane 2: THP-1 cell lysate treated with deglycosylation
Lane 3: K-562 cell lysate

Lysates/proteins at 20 µg/Lane.

Predicted band size: 35 kDa
Observed band size: 40/31 kDa

Exposure time: 3 minutes; ECL: K1801;
4-20% SDS-PAGE gel.

Proteins were transferred to a PVDF membrane and blocked with 5% NFDM/TBST for 1 hour at room temperature. The primary antibody (HA750382) at 1/2,000 dilution was used in 5% NFDM/TBST at 4℃ overnight. Goat Anti-Rabbit IgG - HRP Secondary Antibody (HA1001) at 1/50,000 dilution was used for 1 hour at room temperature.
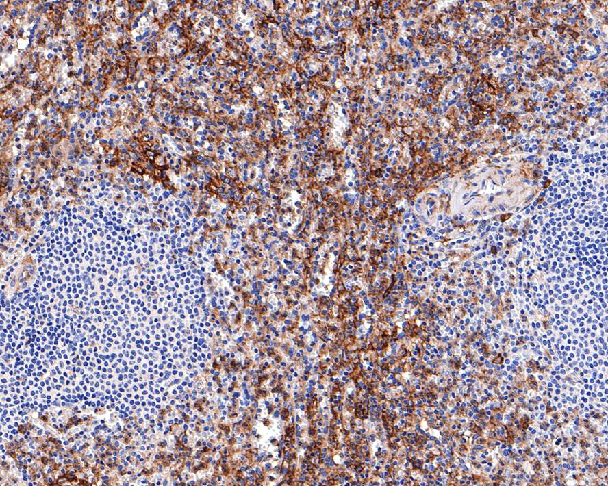
HA750382_2.jpg Fig2: Immunohistochemical analysis of paraffin-embedded human spleen tissue with Rabbit anti-CD32 antibody (HA750382) at 1/400 dilution.

The section was pre-treated using heat mediated antigen retrieval with Tris-EDTA buffer (pH 9.0) for 20 minutes. The tissues were blocked in 1% BSA for 20 minutes at room temperature, washed with ddH2O and PBS, and then probed with the primary antibody (HA750382) at 1/400 dilution for 1 hour at room temperature. The detection was performed using an HRP conjugated compact polymer system. DAB was used as the chromogen. Tissues were counterstained with hematoxylin and mounted with DPX.
HA750382_3.jpg Fig3: Immunocytochemistry analysis of K-562 cells labeling CD32 with Rabbit anti-CD32 antibody (HA750382) at 1/100 dilution.

Cells were fixed in 80% precooled methanol for 5 minutes at room temperature, then blocked with 1% BSA in 10% negative goat serum for 1 hour at room temperature. Cells were then incubated with Rabbit anti-CD32 antibody (HA750382) at 1/100 dilution in 1% BSA in PBST overnight at 4 ℃. Goat Anti-Rabbit IgG H&L (iFluor™ 488, HA1121) was used as the secondary antibody at 1/1,000 dilution. PBS instead of the primary antibody was used as the secondary antibody only control. Nuclear DNA was labelled in blue with DAPI.
HA750382_4.jpg Fig4: Flow cytometric analysis of K-562 cells labeling CD32.

Cells were fixed and permeabilized. Then stained with the primary antibody (HA750382, 1/1,000) (red) compared with Rabbit IgG Isotype Control (green). After incubation of the primary antibody at +4℃ for an hour, the cells were stained with a iFluor™ 488 conjugate-Goat anti-Rabbit IgG Secondary antibody (HA1121) at 1/1,000 dilution for 30 minutes at +4℃. Unlabelled sample was used as a control (cells without incubation with primary antibody; black).
HA750382_5.jpg Fig5: CD32 was immunoprecipitated from 0.2 mg THP-1 cell lysate with HA750382 at 2 µg/10 µl beads. Western blot was performed from the immunoprecipitate using HA750382 at 1/2,000 dilution. HRP Conjugated Anti-Rabbit IgG for IP Nano-secondary antibody at 1/5,000 dilution was used for 1 hour at room temperature.

Lane 1: THP-1 cell lysate (input)
Lane 2: HA750382 IP in THP-1 cell lysate
Lane 3: Rabbit IgG instead of HA750382 in THP-1 cell lysate

Blocking/Dilution buffer: 5% NFDM/TBST
Exposure time: 1 minute 7 seconds; ECL: K1801
Note: All products are “FOR RESEARCH USE ONLY AND ARE NOT INTENDED FOR DIAGNOSTIC OR THERAPEUTIC USE”.