S100 alpha Recombinant Rabbit Monoclonal Antibody [JM51-31]
cat.: HA750389
Product Type: Recombinant Rabbit monoclonal IgG, primary antibodies
Species reactivity: Human, Mouse, Rat
Applications: WB, IP, IHC-P, FC, IF-Cell
Clonality: Monoclonal
Clone number: JM51-31
Form: Liquid
Storage condition: Store at +4℃ after thawing. Aliquot store at -20℃ or -80℃. Avoid repeated freeze / thaw cycles.
Storage buffer: 1*PBS (pH7.4).
Concentration: 1ug/ul
Purification: Protein A affinity purified.
Molecular weight: Predicted band size: 11 kDa
Isotype: IgG
Immunogen: Recombinant full length protein of mouse S100 aa 1-94 / 94.
Positive control: Mouse heart tissue lysate, Mouse kidney tissue lysate, Mouse brain tissue lysate, human appendix tissue, human kidney tissue, human brain tissue, mouse brain tissue, rat brain tissue, RAW264.7.
Subcellular location: Cytoplasm. Nucleus.
Recommended Dilutions:
  WB
  IHC-P
  FC
  IP
  IF-Cell

1:500-1:2,000
1:1,000
1:1,000
1:10-1:50
1:50
Uniprot #: SwissProt: P23297 Human | P56565 Mouse | P35467 Rat
Alternative names: Bpb NEF Protein S100-A1 S-100 protein alpha chain S-100 protein subunit alpha S100 alpha S100 Alpha Chain S100 S100 Beta Chain S100 Calcium Binding Protein A1 S100 Calcium Binding Protein B S100 Calcium Binding Protein Beta Neural S100 calcium-binding protein A1 S100 protein alpha polypeptide S100A s100a1 S10A1_HUMAN
Images
HA750389_1.jpg Fig1: Western blot analysis of S100 alpha on different lysates with Rabbit anti-S100 alpha antibody (HA750389) at 1/1,000 dilution.

Lane 1: Mouse heart tissue lysate (40 µg/Lane)
Lane 2: Mouse kidney tissue lysate (40 µg/Lane)
Lane 3: Mouse brain tissue lysate (40 µg/Lane)

Predicted band size: 11 kDa
Observed band size: 11 kDa

Exposure time: 20 seconds; ECL: K1801;
4-20% SDS-PAGE gel.

Proteins were transferred to a PVDF membrane and blocked with 5% NFDM/TBST for 1 hour at room temperature. The primary antibody (HA750389) at 1/1,000 dilution was used in 5% NFDM/TBST at 4℃ overnight. Goat Anti-Rabbit IgG - HRP Secondary Antibody (HA1001) at 1/50,000 dilution was used for 1 hour at room temperature.
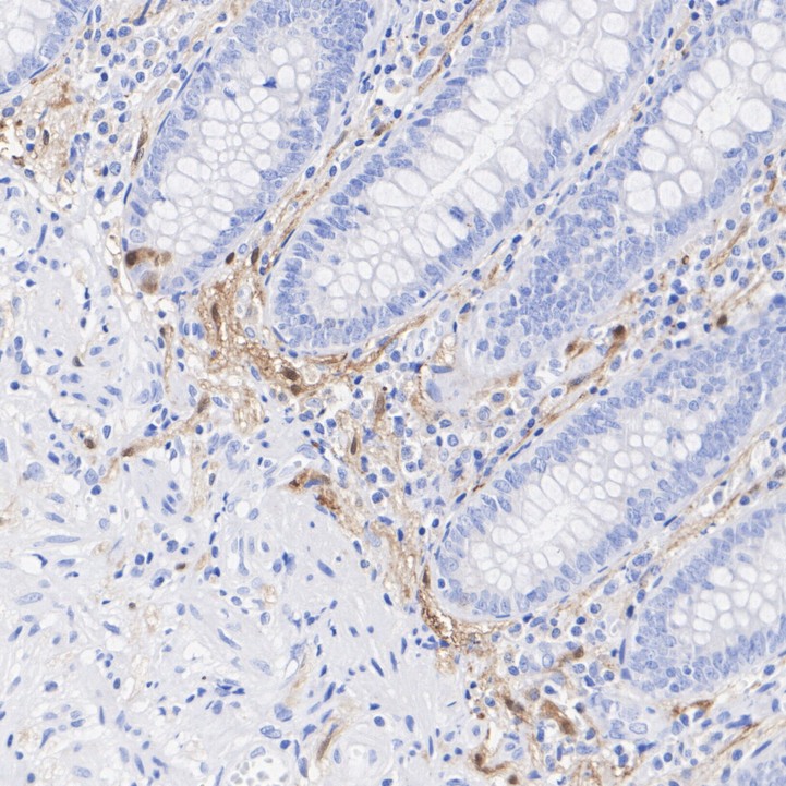
HA750389_2.jpg Fig2: Immunohistochemical analysis of paraffin-embedded human appendix tissue with Rabbit anti-S100 alpha antibody (HA750389) at 1/1,000 dilution.

The section was pre-treated using heat mediated antigen retrieval with Tris-EDTA buffer (pH 9.0) for 20 minutes. The tissues were blocked in 1% BSA for 20 minutes at room temperature, washed with ddH2O and PBS, and then probed with the primary antibody (HA750389) at 1/1,000 dilution for 1 hour at room temperature. The detection was performed using an HRP conjugated compact polymer system. DAB was used as the chromogen. Tissues were counterstained with hematoxylin and mounted with DPX.
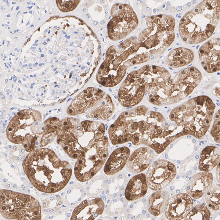
HA750389_3.jpg Fig3: Immunohistochemical analysis of paraffin-embedded human kidney tissue with Rabbit anti-S100 alpha antibody (HA750389) at 1/1,000 dilution.

The section was pre-treated using heat mediated antigen retrieval with Tris-EDTA buffer (pH 9.0) for 20 minutes. The tissues were blocked in 1% BSA for 20 minutes at room temperature, washed with ddH2O and PBS, and then probed with the primary antibody (HA750389) at 1/1,000 dilution for 1 hour at room temperature. The detection was performed using an HRP conjugated compact polymer system. DAB was used as the chromogen. Tissues were counterstained with hematoxylin and mounted with DPX.
HA750389_4.jpg Fig4: Immunohistochemical analysis of paraffin-embedded human brain tissue with Rabbit anti-S100 alpha antibody (HA750389) at 1/1,000 dilution.

The section was pre-treated using heat mediated antigen retrieval with Tris-EDTA buffer (pH 9.0) for 20 minutes. The tissues were blocked in 1% BSA for 20 minutes at room temperature, washed with ddH2O and PBS, and then probed with the primary antibody (HA750389) at 1/1,000 dilution for 1 hour at room temperature. The detection was performed using an HRP conjugated compact polymer system. DAB was used as the chromogen. Tissues were counterstained with hematoxylin and mounted with DPX.
HA750389_5.jpg Fig5: Immunohistochemical analysis of paraffin-embedded mouse brain tissue with Rabbit anti-S100 alpha antibody (HA750389) at 1/1,000 dilution.

The section was pre-treated using heat mediated antigen retrieval with Tris-EDTA buffer (pH 9.0) for 20 minutes. The tissues were blocked in 1% BSA for 20 minutes at room temperature, washed with ddH2O and PBS, and then probed with the primary antibody (HA750389) at 1/1,000 dilution for 1 hour at room temperature. The detection was performed using an HRP conjugated compact polymer system. DAB was used as the chromogen. Tissues were counterstained with hematoxylin and mounted with DPX.
HA750389_6.jpg Fig6: Immunohistochemical analysis of paraffin-embedded rat brain tissue with Rabbit anti-S100 alpha antibody (HA750389) at 1/1,000 dilution.

The section was pre-treated using heat mediated antigen retrieval with Tris-EDTA buffer (pH 9.0) for 20 minutes. The tissues were blocked in 1% BSA for 20 minutes at room temperature, washed with ddH2O and PBS, and then probed with the primary antibody (HA750389) at 1/1,000 dilution for 1 hour at room temperature. The detection was performed using an HRP conjugated compact polymer system. DAB was used as the chromogen. Tissues were counterstained with hematoxylin and mounted with DPX.
HA750389_7.jpg Fig7: Immunocytochemistry analysis of RAW264.7 cells labeling S100 alpha with Rabbit anti-S100 alpha antibody (HA750389) at 1/50 dilution.

Cells were fixed in 4% paraformaldehyde for 15 minutes at room temperature, permeabilized with 0.1% Triton X-100 in PBS for 15 minutes at room temperature, then blocked with 1% BSA in 10% negative goat serum for 1 hour at room temperature. Cells were then incubated with Rabbit anti-S100 alpha antibody (HA750389) at 1/50 dilution in 1% BSA in PBST overnight at 4 ℃. Goat Anti-Rabbit IgG H&L (iFluor™ 488, HA1121) was used as the secondary antibody at 1/1,000 dilution. PBS instead of the primary antibody was used as the secondary antibody only control. Nuclear DNA was labelled in blue with DAPI.

Beta tubulin (M1305-2, red) was stained at 1/100 dilution overnight at +4℃. Goat Anti-Mouse IgG H&L (iFluor™ 594, HA1126) was used as the secondary antibody at 1/1,000 dilution.
HA750389_8.jpg Fig8: Flow cytometric analysis of RAW264.7 cells labeling S100 alpha.

Cells were fixed and permeabilized. Then stained with the primary antibody (HA750389, 1/1,000) (red) compared with Rabbit IgG Isotype Control (green). After incubation of the primary antibody at +4℃ for an hour, the cells were stained with a iFluor™ 488 conjugate-Goat anti-Rabbit IgG Secondary antibody (HA1121) at 1/1,000 dilution for 30 minutes at +4℃. Unlabelled sample was used as a control (cells without incubation with primary antibody; black).
Note: All products are “FOR RESEARCH USE ONLY AND ARE NOT INTENDED FOR DIAGNOSTIC OR THERAPEUTIC USE”.