smooth muscle Myosin heavy chain 11 Recombinant Rabbit Monoclonal Antibody [JA03-35]
cat.: HA750417
Product Type: Recombinant Rabbit monoclonal IgG, primary antibodies
Species reactivity: Human, Rat
Applications: WB, IHC-P, IF-Cell, IF-Tissue, FC
Clonality: Monoclonal
Clone number: JA03-35
Form: Liquid
Storage condition: Store at +4℃ after thawing. Aliquot store at -20℃ or -80℃. Avoid repeated freeze / thaw cycles.
Storage buffer: PBS (pH7.4).
Concentration: 1ug/ul
Purification: Protein A affinity purified.
Molecular weight: 227 kDa
Isotype: IgG
Immunogen: Synthetic peptide within human smooth muscle Myosin heavy chain 11 aa 1935-1972/1972.
Positive control: Hela, 293T, human jejunum tissue, rat trachea tissue, human colon tissue, human prostate tissue, human stomach carcinoma tissue.
Subcellular location: Melanosome.
Recommended Dilutions:
  WB
  IF-Cell
  IF-Tissue
  IHC-P
  FC

1:500
1:50-1:200
1:50-1:200
1:50-1:200
1:1,000
Uniprot #: SwissProt: P35749 Human | Q63862 Rat
Alternative names: AAT4 DKFZp686D10126 DKFZp686D19237 FAA4 FLJ35232 MGC126726 MGC32963 MYH 11 MYH11 MYH11_HUMAN Myosin 11 Myosin heavy chain 11 Myosin heavy chain 11 smooth muscle Myosin heavy chain Myosin heavy chain smooth muscle isoform Myosin heavy polypeptide 11 smooth muscle Myosin-11 SMHC SMMHC smooth muscle isoform Smooth muscle myosin heavy chain 11 isoform SM2 Smooth muscle myosin heavy chain isoform SM2
Images
HA750417_1.jpg Fig1: ICC staining of smooth muscle Myosin heavy chain 11 in Hela cells (green). Formalin fixed cells were permeabilized with 0.1% Triton X-100 in TBS for 10 minutes at room temperature and blocked with 1% Blocker BSA for 15 minutes at room temperature. Cells were probed with the primary antibody (HA750417, 1/50) for 1 hour at room temperature, washed with PBS. Alexa Fluor®488 Goat anti-Rabbit IgG was used as the secondary antibody at 1/1,000 dilution. The nuclear counter stain is DAPI (blue).
HA750417_2.jpg Fig2: ICC staining of smooth muscle Myosin heavy chain 11 in 293T cells (green). Formalin fixed cells were permeabilized with 0.1% Triton X-100 in TBS for 10 minutes at room temperature and blocked with 1% Blocker BSA for 15 minutes at room temperature. Cells were probed with the primary antibody (HA750417, 1/50) for 1 hour at room temperature, washed with PBS. Alexa Fluor®488 Goat anti-Rabbit IgG was used as the secondary antibody at 1/1,000 dilution. The nuclear counter stain is DAPI (blue).
HA750417_3.jpg Fig3: Immunohistochemical analysis of paraffin-embedded human jejunum tissue using anti-smooth muscle Myosin heavy chain 11 antibody. The section was pre-treated using heat mediated antigen retrieval with Tris-EDTA buffer (pH 8.0-8.4) for 20 minutes.The tissues were blocked in 5% BSA for 30 minutes at room temperature, washed with ddH2O and PBS, and then probed with the primary antibody (HA750417, 1/50) for 30 minutes at room temperature. The detection was performed using an HRP conjugated compact polymer system. DAB was used as the chromogen. Tissues were counterstained with hematoxylin and mounted with DPX.
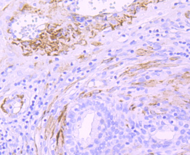
HA750417_4.jpg Fig4: Immunohistochemical analysis of paraffin-embedded rat trachea tissue using anti-smooth muscle Myosin heavy chain 11 antibody. The section was pre-treated using heat mediated antigen retrieval with Tris-EDTA buffer (pH 8.0-8.4) for 20 minutes.The tissues were blocked in 5% BSA for 30 minutes at room temperature, washed with ddH2O and PBS, and then probed with the primary antibody (HA750417, 1/50) for 30 minutes at room temperature. The detection was performed using an HRP conjugated compact polymer system. DAB was used as the chromogen. Tissues were counterstained with hematoxylin and mounted with DPX.
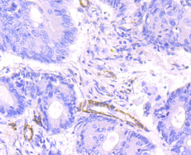
HA750417_5.jpg Fig5: Immunohistochemical analysis of paraffin-embedded human colon tissue using anti-smooth muscle Myosin heavy chain 11 antibody. The section was pre-treated using heat mediated antigen retrieval with Tris-EDTA buffer (pH 8.0-8.4) for 20 minutes.The tissues were blocked in 5% BSA for 30 minutes at room temperature, washed with ddH2O and PBS, and then probed with the primary antibody (HA750417, 1/50) for 30 minutes at room temperature. The detection was performed using an HRP conjugated compact polymer system. DAB was used as the chromogen. Tissues were counterstained with hematoxylin and mounted with DPX.
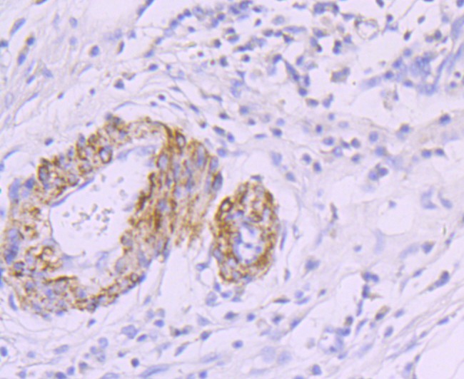
HA750417_6.jpg Fig6: Immunohistochemical analysis of paraffin-embedded human prostate tissue using anti-smooth muscle Myosin heavy chain 11 antibody. The section was pre-treated using heat mediated antigen retrieval with Tris-EDTA buffer (pH 8.0-8.4) for 20 minutes.The tissues were blocked in 5% BSA for 30 minutes at room temperature, washed with ddH2O and PBS, and then probed with the primary antibody (HA750417, 1/50) for 30 minutes at room temperature. The detection was performed using an HRP conjugated compact polymer system. DAB was used as the chromogen. Tissues were counterstained with hematoxylin and mounted with DPX.
HA750417_7.jpg Fig7: Immunohistochemical analysis of paraffin-embedded human stomach carcinoma tissue using anti-smooth muscle Myosin heavy chain 11 antibody. The section was pre-treated using heat mediated antigen retrieval with Tris-EDTA buffer (pH 8.0-8.4) for 20 minutes.The tissues were blocked in 5% BSA for 30 minutes at room temperature, washed with ddH2O and PBS, and then probed with the primary antibody (HA750417, 1/50) for 30 minutes at room temperature. The detection was performed using an HRP conjugated compact polymer system. DAB was used as the chromogen. Tissues were counterstained with hematoxylin and mounted with DPX.
HA750417_8.jpg Fig8: Flow cytometric analysis of 293T cells labeling smooth muscle Myosin heavy chain 11.

Cells were fixed and permeabilized. Then stained with the primary antibody (HA750417, 1μg/mL) (red) compared with Rabbit IgG Isotype Control (green). After incubation of the primary antibody at +4℃ for an hour, the cells were stained with a iFluor™ 488 conjugate-Goat anti-Rabbit IgG Secondary antibody (HA1121) at 1/1,000 dilution for 30 minutes at +4℃. Unlabelled sample was used as a control (cells without incubation with primary antibody; black).
Note: All products are “FOR RESEARCH USE ONLY AND ARE NOT INTENDED FOR DIAGNOSTIC OR THERAPEUTIC USE”.