Phospho-ATM (S1981) Recombinant Rabbit Monoclonal Antibody [JM93-25]
cat.: HA750432
Product Type: Recombinant Rabbit monoclonal IgG, primary antibodies
Species reactivity: Human, Mouse
Applications: WB, IF-Cell, IF-Tissue, IHC-P, IP, FC
Clonality: Monoclonal
Clone number: JM93-25
Form: Liquid
Storage condition: Store at +4℃ after thawing. Aliquot store at -20℃ or -80℃. Avoid repeated freeze / thaw cycles.
Storage buffer: 1*PBS (pH7.4).
Concentration: 1ug/ul
Purification: Protein A affinity purified.
Molecular weight: Predicted band size: 351 kDa
Isotype: IgG
Immunogen: Synthetic phospho-peptide corresponding to residues surrounding Ser1981 of Human ATM aa 1,940-1,989 / 3,056.
Positive control: HeLa cell lysate, HeLa treated with 1μM Camptothecin for 1 hour cell lysate, HeLa treated with 20μM Etoposide for 2 hours cell lysate, HepG2 cell lysate, HEK-293 cell lysate, MDA-MB-231 cell lysate, HeLa cells treated with 1μM Camptothecin for 1 hour, human breast carcinoma tissue, human colon cancer tissue, HEK-293.
Subcellular location: Nucleus. Cytoplasmic vesicle.
Recommended Dilutions:
  WB
  IF-Cell
  IF-Tissue
  IHC-P
  IP
  FC

1:1,000-1:2,000
1:50-1:200
1:50-1:200
1:200-1,000
Use at an assay dependent concentration.
1:1,000
Uniprot #: SwissProt: Q13315 Human
Alternative names: A-T mutated A-T mutated homolog AT mutated AT1 ATA Ataxia telangiectasia mutated Ataxia telangiectasia mutated gene Ataxia telangiectasia mutated homolog (human) Ataxia telangiectasia mutated homolog ATC ATD ATDC ATE ATM ATM serine/threonine kinase ATM_HUMAN DKFZp781A0353 MGC74674 OTTHUMP00000232981 Serine protein kinase ATM Serine-protein kinase ATM Serine/threonine-protein kinase ATM Tefu TEL1 TEL1, telomere maintenance 1, homolog TELO1 Telomere fusion protein
Images
HA750432_1.jpg Fig1: Western blot analysis of Phospho-ATM (S1981) on different lysates with Rabbit anti-Phospho-ATM (S1981) antibody (HA750432) at 1/1,000 dilution.

Lane 1: HeLa cell lysate
Lane 2: HeLa treated with 1μM Camptothecin for 1 hour cell lysate
Lane 3: HeLa treated with 1μM Camptothecin for 1 hour cell lysate, then the membrane treated with λpp for 1 hour

Lysates/proteins at 20 µg/Lane.

Predicted band size: 351 kDa
Observed band size: 351 kDa

Exposure time: 3 minutes; ECL: K1801;
3-8% SDS-PAGE gel.

Proteins were transferred to a PVDF membrane and blocked with 5% NFDM/TBST for 1 hour at room temperature. The primary antibody (HA750432) at 1/1,000 dilution was used in 5% NFDM/TBST at 4℃ overnight. Goat Anti-Rabbit IgG - HRP Secondary Antibody (HA1001) at 1/50,000 dilution was used for 1 hour at room temperature.
HA750432_2.jpg Fig2: Western blot analysis of Phospho-ATM (S1981) on different lysates with Rabbit anti-Phospho-ATM (S1981) antibody (HA750432) at 1/2,000 dilution.

Lane 1: HeLa cell lysate
Lane 2: HeLa treated with 20μM Etoposide for 2 hours cell lysate
Lane 3: HepG2 cell lysate
Lane 4: HEK-293 cell lysate
Lane 5: MDA-MB-231 cell lysate

Lysates/proteins at 15 µg/Lane.

Predicted band size: 351 kDa
Observed band size: 351 kDa

Exposure time: 1 minute 2 seconds; ECL: K1801;
3-8% SDS-PAGE gel.

Proteins were transferred to a PVDF membrane and blocked with 5% NFDM/TBST for 1 hour at room temperature. The primary antibody (HA750432) at 1/2,000 dilution was used in 5% NFDM/TBST at 4℃ overnight. Goat Anti-Rabbit IgG - HRP Secondary Antibody (HA1001) at 1/50,000 dilution was used for 1 hour at room temperature.
HA750432_3.jpg Fig3: Immunocytochemistry analysis of HeLa cells treated with or without 1μM Camptothecin for 1 hour labeling Phospho-ATM (S1981) with Rabbit anti-Phospho-ATM (S1981) antibody (HA750432) at 1/500 dilution.

Cells were fixed in 4% paraformaldehyde for 20 minutes at room temperature, permeabilized with 0.1% Triton X-100 in PBS for 5 minutes at room temperature, then blocked with 1% BSA in 10% negative goat serum for 1 hour at room temperature. Cells were then incubated with Rabbit anti-Phospho-ATM (S1981) antibody (HA750432) at 1/500 dilution in 1% BSA in PBST overnight at 4 ℃. Goat Anti-Rabbit IgG H&L (iFluor™ 488, HA1121) was used as the secondary antibody at 1/1,000 dilution. PBS instead of the primary antibody was used as the secondary antibody only control. Nuclear DNA was labelled in blue with DAPI.

Beta tubulin (M1305-2, red) was stained at 1/100 dilution overnight at +4℃. Goat Anti-Mouse IgG H&L (iFluor™ 594, HA1126) was used as the secondary antibody at 1/1,000 dilution.
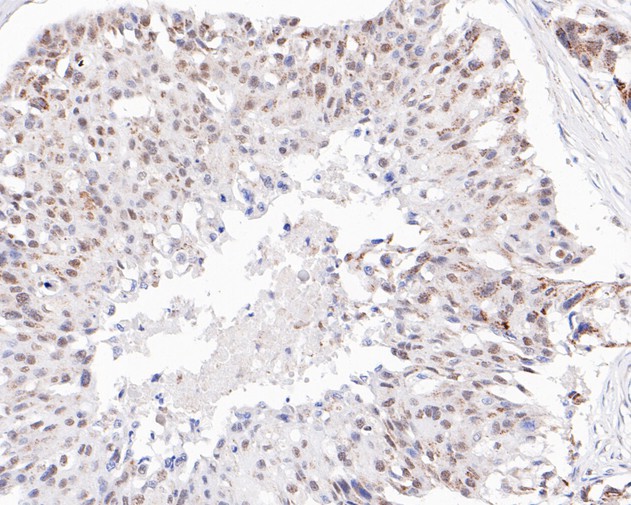
HA750432_4.jpg Fig4: Immunohistochemical analysis of paraffin-embedded human breast carcinoma tissue using anti-Phospho-ATM (S1981) antibody. The section was pre-treated using heat mediated antigen retrieval with sodium citrate buffer (pH 6.0) (high pressure) for 2 minutes. The tissues were blocked in 5% BSA for 30 minutes at room temperature, washed with ddH2O and PBS, and then probed with the primary antibody (HA750432, 1/200) for 30 minutes at room temperature. The detection was performed using an HRP conjugated compact polymer system. DAB was used as the chromogen. Tissues were counterstained with hematoxylin and mounted with DPX.
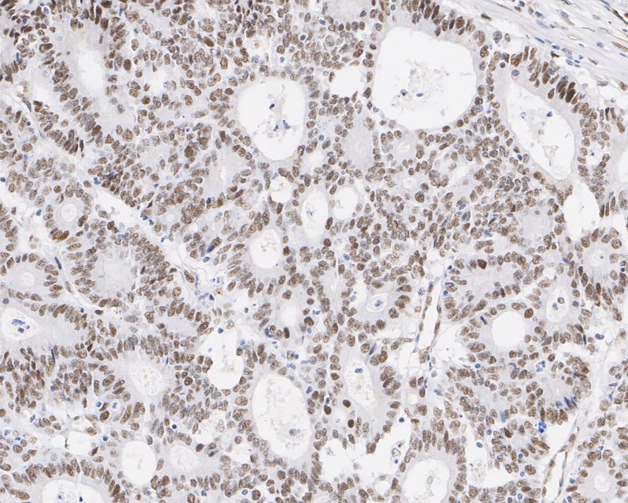
HA750432_5.jpg Fig5: Immunohistochemical analysis of paraffin-embedded human colon cancer tissue with Rabbit anti-Phospho-ATM (S1981) antibody (HA750432) at 1/1,000 dilution.

The section was pre-treated using heat mediated antigen retrieval with Tris-EDTA buffer (pH 9.0) for 20 minutes. The tissues were blocked in 1% BSA for 20 minutes at room temperature, washed with ddH2O and PBS, and then probed with the primary antibody (HA750432) at 1/1,000 dilution for 1 hour at room temperature. The detection was performed using an HRP conjugated compact polymer system. DAB was used as the chromogen. Tissues were counterstained with hematoxylin and mounted with DPX.
HA750432_6.jpg Fig6: Flow cytometric analysis of HEK-293 cells labeling Phospho-ATM (S1981).

Cells were fixed and permeabilized. Then stained with the primary antibody (HA750432, 1/1,000) (red) compared with Rabbit IgG Isotype Control (green). After incubation of the primary antibody at +4℃ for an hour, the cells were stained with a iFluor™ 488 conjugate-Goat anti-Rabbit IgG Secondary antibody (HA1121) at 1/1,000 dilution for 30 minutes at +4℃. Unlabelled sample was used as a control (cells without incubation with primary antibody; black).
Note: All products are “FOR RESEARCH USE ONLY AND ARE NOT INTENDED FOR DIAGNOSTIC OR THERAPEUTIC USE”.