Carcino Embryonic Antigen CEA Recombinant Rabbit Monoclonal Antibody [JM93-28]
cat.: HA750434
Product Type: Recombinant Rabbit monoclonal IgG, primary antibodies
Species reactivity: Human
Applications: WB, IF-Cell, IF-Tissue, IHC-P
Clonality: Monoclonal
Clone number: JM93-28
Form: Liquid
Storage condition: Store at +4℃ after thawing. Aliquot store at -20℃ or -80℃. Avoid repeated freeze / thaw cycles.
Storage buffer: PBS (pH7.4).
Concentration: 1ug/ul
Purification: Protein A affinity purified.
Molecular weight: Predicted band size: 77 kDa
Isotype: IgG
Immunogen: Human Carcinoembryonic Antigen (CEA) purified from human liver.
Positive control: A549 cell lysate, MCF7 cell lysate, BxPC-3 cell lysate, HUVEC, MCF-7, human lung cancer tissue, human stomach carcinoma tissue, human colon carcinoma tissue.
Subcellular location: Membrane.
Recommended Dilutions:
  WB
  IF-Cell
  IF-Tissue
  IHC-P

1:1,000
1:50-1:200
1:50-1:200
1:2,000
Uniprot #: SwissProt: P06731 Human
Alternative names: Carcinoembryonic antigen Carcinoembryonic antigen-related cell adhesion molecule 5 CD66e CEA Ceacam5 CEAM5_HUMAN DKFZp781M2392 Meconium antigen 100 OTTHUMP00000199032 OTTHUMP00000199033 OTTHUMP00000199034
Images
HA750434_1.jpg Fig1: Western blot analysis of Carcino Embryonic Antigen CEA on different lysates with Rabbit anti-Carcino Embryonic Antigen CEA antibody (HA750434) at 1/1,000 dilution.

Lane 1: A549 cell lysate
Lane 2: MCF7 cell lysate
Lane 3: BxPC-3 cell lysate

Lysates/proteins at 20 µg/Lane.

Predicted band size: 77 kDa
Observed band size: 70-200 kDa

Exposure time: 6 seconds; ECL: K1801;

4-20% SDS-PAGE gel.

Proteins were transferred to a PVDF membrane and blocked with 5% NFDM/TBST for 1 hour at room temperature. The primary antibody (HA750434) at 1/1,000 dilution was used in 5% NFDM/TBST at 4℃ overnight. Goat Anti-Rabbit IgG - HRP Secondary Antibody (HA1001) at 1/50,000 dilution was used for 1 hour at room temperature.
HA750434_2.jpg Fig2: ICC staining of Carcino Embryonic Antigen CEA in HUVEC cells (green). Formalin fixed cells were permeabilized with 0.1% Triton X-100 in TBS for 10 minutes at room temperature and blocked with 10% negative goat serum for 15 minutes at room temperature. Cells were probed with the primary antibody (HA750434, 1/50) for 1 hour at room temperature, washed with PBS. Alexa Fluor®488 conjugate-Goat anti-Rabbit IgG was used as the secondary antibody at 1/1,000 dilution. The nuclear counter stain is DAPI (blue).
HA750434_3.jpg Fig3: ICC staining of Carcino Embryonic Antigen CEA in MCF-7 cells (green). Formalin fixed cells were permeabilized with 0.1% Triton X-100 in TBS for 10 minutes at room temperature and blocked with 10% negative goat serum for 15 minutes at room temperature. Cells were probed with the primary antibody (HA750434, 1/50) for 1 hour at room temperature, washed with PBS. Alexa Fluor®488 conjugate-Goat anti-Rabbit IgG was used as the secondary antibody at 1/1,000 dilution. The nuclear counter stain is DAPI (blue).
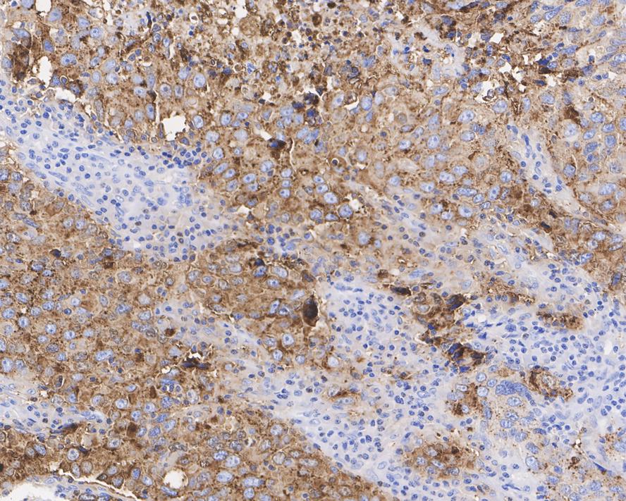
HA750434_4.jpg Fig4: Immunohistochemical analysis of paraffin-embedded human lung cancer tissue with Rabbit anti-Carcino Embryonic Antigen CEA antibody (HA750434) at 1/2,000 dilution.

The section was pre-treated using heat mediated antigen retrieval with Tris-EDTA buffer (pH 9.0) for 20 minutes. The tissues were blocked in 1% BSA for 20 minutes at room temperature, washed with ddH2O and PBS, and then probed with the primary antibody (HA750434) at 1/2,000 dilution for 1 hour at room temperature. The detection was performed using an HRP conjugated compact polymer system. DAB was used as the chromogen. Tissues were counterstained with hematoxylin and mounted with DPX.
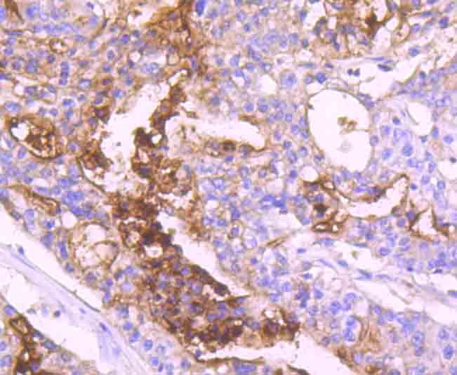
HA750434_5.jpg Fig5: Immunohistochemical analysis of paraffin-embedded human stomach carcinoma tissue using anti-Carcino Embryonic Antigen CEA antibody. The section was pre-treated using heat mediated antigen retrieval with Tris-EDTA buffer (pH 9.0) for 20 minutes.The tissues were blocked in 1% BSA for 30 minutes at room temperature, washed with ddH2O and PBS, and then probed with the primary antibody (HA750434, 1/50) for 30 minutes at room temperature. The detection was performed using an HRP conjugated compact polymer system. DAB was used as the chromogen. Tissues were counterstained with hematoxylin and mounted with DPX.
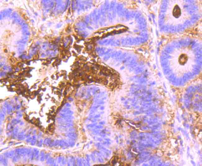
HA750434_6.jpg Fig6: Immunohistochemical analysis of paraffin-embedded human colon carcinoma tissue using anti-Carcino Embryonic Antigen CEA antibody. The section was pre-treated using heat mediated antigen retrieval with Tris-EDTA buffer (pH 9.0) for 20 minutes.The tissues were blocked in 1% BSA for 30 minutes at room temperature, washed with ddH2O and PBS, and then probed with the primary antibody (HA750434, 1/50) for 30 minutes at room temperature. The detection was performed using an HRP conjugated compact polymer system. DAB was used as the chromogen. Tissues were counterstained with hematoxylin and mounted with DPX.
Note: All products are “FOR RESEARCH USE ONLY AND ARE NOT INTENDED FOR DIAGNOSTIC OR THERAPEUTIC USE”.