TXNIP Recombinant Rabbit Monoclonal Antibody [JM60-35]
cat.: HA750438
Product Type: Recombinant Rabbit monoclonal IgG, primary antibodies
Species reactivity: Human, Mouse, Rat
Applications: WB, IF-Cell, IF-Tissue, IHC-P, FC
Clonality: Monoclonal
Clone number: JM60-35
Form: Liquid
Storage condition: Store at +4℃ after thawing. Aliquot store at -20℃ or -80℃. Avoid repeated freeze / thaw cycles.
Storage buffer: 1*PBS (pH7.4).
Concentration: 1ug/ul
Purification: Protein A affinity purified.
Molecular weight: Predicted band size: 44 kDa
Isotype: IgG
Immunogen: Synthetic peptide within Human TXNIP aa 50-99 / 391.
Positive control: HeLa cell lysate, NIH/3T3 cell lysate, PC-12 cell lysate, mouse stomach tissue lysate, mouse kidney tissue lysate, PC-12, human kidney tissue, mouse kidney tissue, rat kidney tissue, human stomach tissue, mouse esophagus tissue, mouse stomach tissue.
Subcellular location: Cytoplasm.
Recommended Dilutions:
  WB
  IF-Cell
  IF-Tissue
  IHC-P
  FC

1:1,000
1:100-1:200
1:500-1:1,000
1:500-1:5,000
1:1,000
Uniprot #: SwissProt: Q9H3M7 Human | Q8BG60 Mouse | Q5M7W1 Rat
Alternative names: EST01027 HHCPA78 THIF Thioredoxin binding protein 2 Thioredoxin interacting protein Thioredoxin-binding protein 2 Thioredoxin-interacting protein TXNIP TXNIP_HUMAN Upregulated by 1,25 dihydroxyvitamin D 3 VDUP1 Vitamin D3 up-regulated protein 1
Images
HA750438_1.jpg Fig1: Western blot analysis of TXNIP on different lysates with Rabbit anti-TXNIP antibody (HA750438) at 1/1,000 dilution.

Lane 1: HeLa cell lysate
Lane 2: NIH/3T3 cell lysate
Lane 3: PC-12 cell lysate
Lane 4: Mouse stomach tissue lysate
Lane 5: Mouse kidney tissue lysate

Lysates/proteins at 20 µg/Lane.

Predicted band size: 44 kDa
Observed band size: 50 kDa

Exposure time: 3 minutes; ECL: K1801;

4-20% SDS-PAGE gel.

Proteins were transferred to a PVDF membrane and blocked with 5% NFDM/TBST for 1 hour at room temperature. The primary antibody (HA750438) at 1/1,000 dilution was used in 5% NFDM/TBST at 4℃ overnight. Goat Anti-Rabbit IgG - HRP Secondary Antibody (HA1001) at 1/50,000 dilution was used for 1 hour at room temperature.
HA750438_2.jpg Fig2: Western blot analysis of TXNIP with anti-TXNIP antibody (HA750438) at 1/1,000 dilution.
Lane 1: Wild-type Hela whole cell lysate (10 µg).
Lane 2: TXNIP knockout Hela whole cell lysate (10 µg).

Proteins were transferred to a PVDF membrane and blocked with 5% NFDM in TBST for 1 hour at room temperature. The primary antibody (ET1705-72, 1/1,000) was used in 5% BSA at room temperature for 2 hours. Goat Anti-Rabbit IgG-HRP Secondary Antibody (HA1001) at 1/50,000 dilution was used for 1 hour at room temperature.
HA750438_3.jpg Fig3: Immunocytochemistry analysis of PC-12 cells labeling TXNIP with Rabbit anti-TXNIP antibody (HA750438) at 1/100 dilution.

Cells were fixed in 4% paraformaldehyde for 20 minutes at room temperature, permeabilized with 0.1% Triton X-100 in PBS for 5 minutes at room temperature, then blocked with 1% BSA in 10% negative goat serum for 1 hour at room temperature. Cells were then incubated with Rabbit anti-TXNIP antibody (HA750438) at 1/100 dilution in 1% BSA in PBST overnight at 4 ℃. Goat Anti-Rabbit IgG H&L (iFluor™ 488, HA1121) was used as the secondary antibody at 1/1,000 dilution. PBS instead of the primary antibody was used as the secondary antibody only control. Nuclear DNA was labelled in blue with DAPI.

Beta tubulin (M1305-2, red) was stained at 1/100 dilution overnight at +4℃. Goat Anti-Mouse IgG H&L (iFluor™ 594, HA1126) was used as the secondary antibody at 1/1,000 dilution.
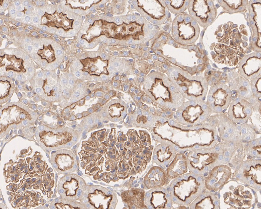
HA750438_4.jpg Fig4: Immunohistochemical analysis of paraffin-embedded human kidney tissue with Rabbit anti-TXNIP antibody (HA750438) at 1/5,000 dilution.

The section was pre-treated using heat mediated antigen retrieval with Tris-EDTA buffer (pH 9.0) for 20 minutes. The tissues were blocked in 1% BSA for 20 minutes at room temperature, washed with ddH2O and PBS, and then probed with the primary antibody (HA750438) at 1/5,000 dilution for 1 hour at room temperature. The detection was performed using an HRP conjugated compact polymer system. DAB was used as the chromogen. Tissues were counterstained with hematoxylin and mounted with DPX.
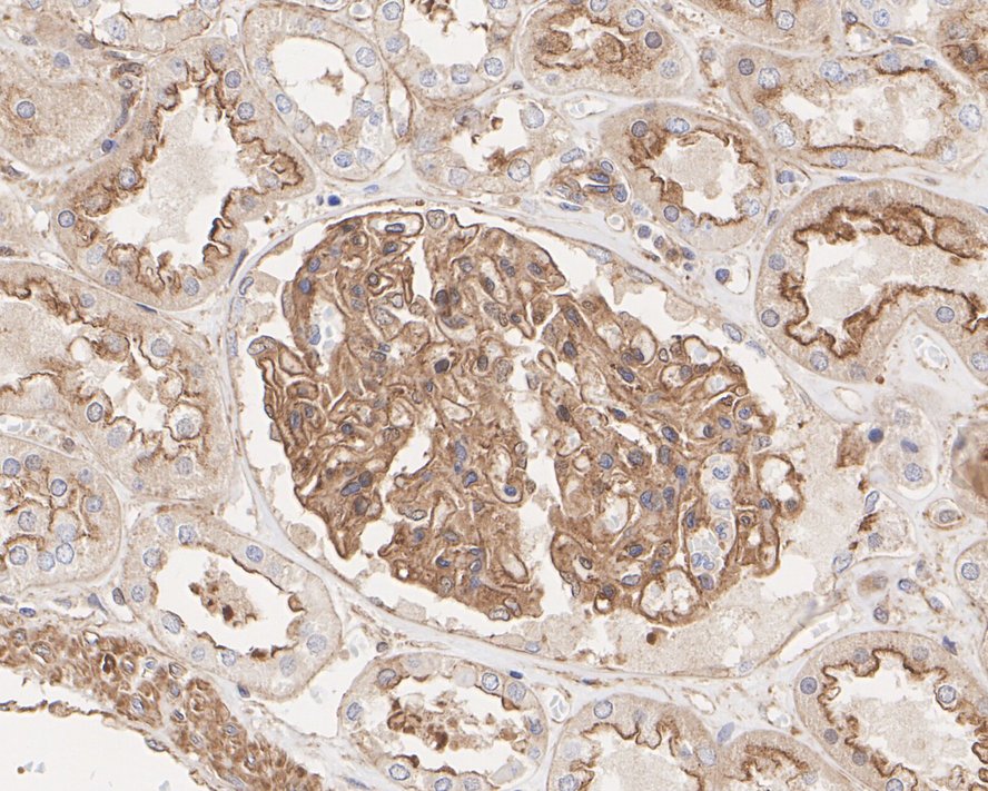
HA750438_5.jpg Fig5: Immunohistochemical analysis of paraffin-embedded mouse kidney tissue with Rabbit anti-TXNIP antibody (HA750438) at 1/5,000 dilution.

The section was pre-treated using heat mediated antigen retrieval with Tris-EDTA buffer (pH 9.0) for 20 minutes. The tissues were blocked in 1% BSA for 20 minutes at room temperature, washed with ddH2O and PBS, and then probed with the primary antibody (HA750438) at 1/5,000 dilution for 1 hour at room temperature. The detection was performed using an HRP conjugated compact polymer system. DAB was used as the chromogen. Tissues were counterstained with hematoxylin and mounted with DPX.
HA750438_6.jpg Fig6: Immunohistochemical analysis of paraffin-embedded rat kidney tissue with Rabbit anti-TXNIP antibody (HA750438) at 1/5,000 dilution.

The section was pre-treated using heat mediated antigen retrieval with Tris-EDTA buffer (pH 9.0) for 20 minutes. The tissues were blocked in 1% BSA for 20 minutes at room temperature, washed with ddH2O and PBS, and then probed with the primary antibody (HA750438) at 1/5,000 dilution for 1 hour at room temperature. The detection was performed using an HRP conjugated compact polymer system. DAB was used as the chromogen. Tissues were counterstained with hematoxylin and mounted with DPX.
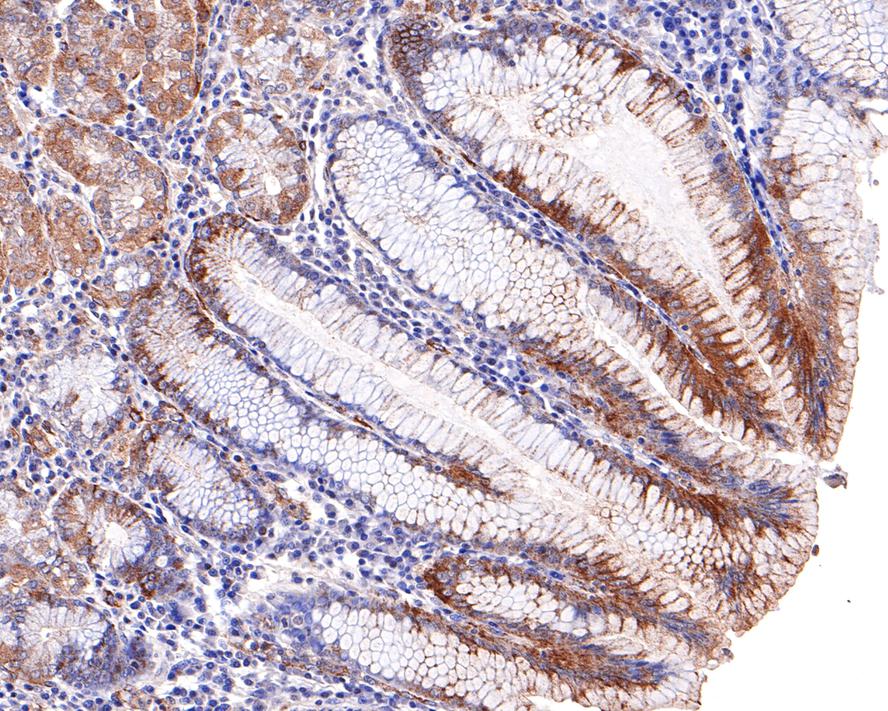
HA750438_7.jpg Fig7: Immunohistochemical analysis of paraffin-embedded human stomach tissue with Rabbit anti-TXNIP antibody (HA750438) at 1/400 dilution.

The section was pre-treated using heat mediated antigen retrieval with Tris-EDTA buffer (pH 9.0) for 20 minutes. The tissues were blocked in 1% BSA for 20 minutes at room temperature, washed with ddH2O and PBS, and then probed with the primary antibody (HA750438) at 1/400 dilution for 1 hour at room temperature. The detection was performed using an HRP conjugated compact polymer system. DAB was used as the chromogen. Tissues were counterstained with hematoxylin and mounted with DPX.
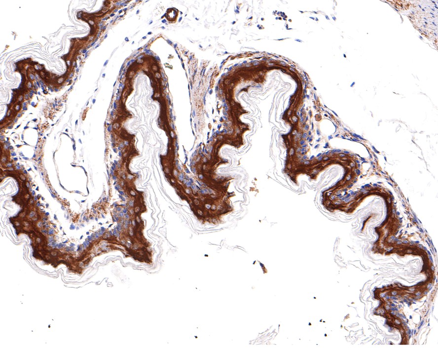
HA750438_8.jpg Fig8: Immunohistochemical analysis of paraffin-embedded mouse esophagus tissue with Rabbit anti-TXNIP antibody (HA750438) at 1/400 dilution.

The section was pre-treated using heat mediated antigen retrieval with Tris-EDTA buffer (pH 9.0) for 20 minutes. The tissues were blocked in 1% BSA for 20 minutes at room temperature, washed with ddH2O and PBS, and then probed with the primary antibody (HA750438) at 1/400 dilution for 1 hour at room temperature. The detection was performed using an HRP conjugated compact polymer system. DAB was used as the chromogen. Tissues were counterstained with hematoxylin and mounted with DPX.
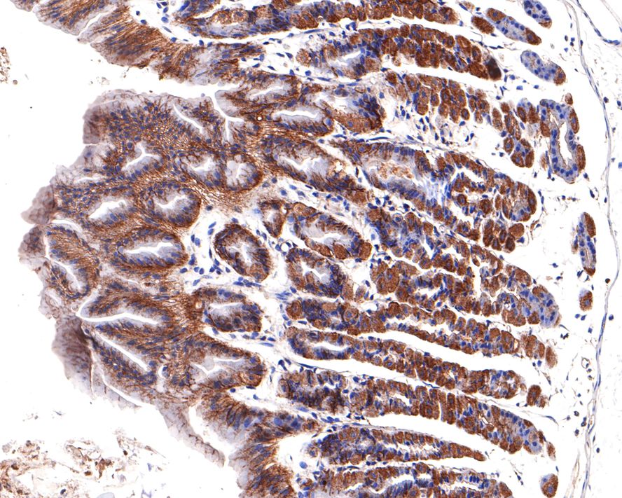
HA750438_9.jpg Fig9: Immunohistochemical analysis of paraffin-embedded mouse stomach tissue with Rabbit anti-TXNIP antibody (HA750438) at 1/400 dilution.

The section was pre-treated using heat mediated antigen retrieval with Tris-EDTA buffer (pH 9.0) for 20 minutes. The tissues were blocked in 1% BSA for 20 minutes at room temperature, washed with ddH2O and PBS, and then probed with the primary antibody (HA750438) at 1/400 dilution for 1 hour at room temperature. The detection was performed using an HRP conjugated compact polymer system. DAB was used as the chromogen. Tissues were counterstained with hematoxylin and mounted with DPX.
HA750438_10.jpg Fig10: Flow cytometric analysis of PC-12 cells labeling TXNIP.

Cells were fixed and permeabilized. Then stained with the primary antibody (HA750438, 1/1,000) (red) compared with Rabbit IgG Isotype Control (green). After incubation of the primary antibody at +4℃ for an hour, the cells were stained with a iFluor™ 488 conjugate-Goat anti-Rabbit IgG Secondary antibody (HA1121) at 1/1,000 dilution for 30 minutes at +4℃. Unlabelled sample was used as a control (cells without incubation with primary antibody; black).
Note: All products are “FOR RESEARCH USE ONLY AND ARE NOT INTENDED FOR DIAGNOSTIC OR THERAPEUTIC USE”.