Iba1 Recombinant Rabbit Monoclonal Antibody [JM36-62]
cat.: HA750440
Product Type: Recombinant Rabbit monoclonal IgG, primary antibodies
Species reactivity: Human, Mouse, Rat, Pig, Cynomolgus monkey
Applications: WB, IHC-P, IHC-Fr, IF-Tissue, IF-Cell, FC, IP
Clonality: Monoclonal
Clone number: JM36-62
Form: Liquid
Storage condition: Store at +4℃ after thawing. Aliquot store at -20℃ or -80℃. Avoid repeated freeze / thaw cycles.
Storage buffer: 1*PBS (pH7.4).
Concentration: 1ug/ul
Purification: Protein A affinity purified.
Molecular weight: Predicted band size: 17 kDa
Isotype: IgG
Immunogen: Synthetic peptide within N-terminal human Iba1.
Positive control: THP-1 cell lysate, mouse spleen tissue lysate, rat spleen tissue lysate, THP-1, J774A.1, RAW264.7, C6, mouse hippocampus tissue, human kidney tissue, human spleen tissue, mouse brain tissue, rat brain tissue.
Subcellular location: Cytoplasm, cytoskeleton, Cell projection, ruffle membrane, Cell projection, phagocytic cup.
Recommended Dilutions:
  WB
  IHC-P
  IHC-Fr
  IF-Tissue
  IF-Cell
  FC
  IP

1:5,000
1:1,000
1:1,000-1:2,000
1:500
1:250-1:500
1:1,000
Use at an assay dependent concentration.
Uniprot #: SwissProt: P55008 Human | O70200 Mouse | P55009 Rat
Alternative names: AIF 1 AIF-1 Aif1 AIF1 protein AIF1_HUMAN Allograft inflammatory factor 1 Allograft inflammatory factor 1 splice variant G allograft inflammatory factor-1 splice variant Hara-1 balloon angioplasty responsive transcription BART 1 G1 G1 putative splice variant of allograft inflamatory factor 1 IBA 1 IBA1 interferon gamma responsive transcript Interferon responsive transcript 1 interferon responsive transcript factor 1 Ionized calcium binding adapter molecule 1 Ionized calcium-binding adapter molecule 1 ionized calcium-binding adapter molecule IRT 1 IRT1 Microglia response factor MRF1 Protein g1
Images
HA750440_1.jpg Fig1: Application: IHC-Fr

Species: Mouse

Site: Cerebral cortex

Sample: Frozen section

Antibody concentration: 1/2,000

Antigen retrieval: Not required
HA750440_2.jpg Fig2: Application: IHC-Fr

Species: Rat

Site: Cerebral cortex

Sample: Frozen section

Antibody concentration: 1/1,000

Antigen retrieval: Not required
HA750440_3.jpg Fig3: Application: IHC-Fr

Species: Mouse

Site: Hippocampus (APP-PS1 mouse)

Sample: Frozen section

Antibody concentration: 1/500

Date by conrtesy of: Mr. Chenxin Ma, School of Basic Medical Sicences, Zhejiang University
HA750440_4.jpg Fig4: Application: IHC-Fr

Species: Mouse

Site: Cerebral cortex (restraint stress induced)

Sample: Frozen section

Antibody concentration: 1/1,000 (Iba1, HA750440, Rabbit, red); 1/5,000 (c-Fos, HA601373, Rat, green)

Antigen retrieval: Not required
HA750440_5.jpg Fig5: Application: IHC-Fr

Species: Rat

Site: Cerebral cortex (restraint stress induced)

Sample: Frozen section

Antibody concentration: 1/1,000 (Iba1, HA750440, Rabbit, green); 1/1,000 (c-Fos, HA601373, Mouse, red)

Antigen retrieval: Not required
HA750440_6.jpg Fig6: Application: IF-tissue

Species: Human

Site: Spleen

Sample: Paraffin-embedded section

Antibody concentration: 1/500
HA750440_7.jpg Fig7: Application: IF-tissue

Species: Mouse

Site: Cerebral cortex

Sample: Paraffin-embedded section

Antibody concentration: 1/500
HA750440_8.jpg Fig8: Application: IF-tissue

Species: Rat

Site: Cerebral cortex

Sample: Paraffin-embedded section

Antibody concentration: 1/500
HA750440_9.jpg Fig9: Western blot analysis of Iba1 on different lysates with Rabbit anti-Iba1 antibody (HA750440) at 1/5,000 dilution.

Lane 1: THP-1 cell lysate
Lane 2: HEK-293 cell lysate (negative)
Lane 3: Mouse spleen tissue lysate
Lane 4: Rat spleen tissue lysate

Lysates/proteins at 20 µg/Lane.

Predicted band size: 17 kDa
Observed band size: 17 kDa

Exposure time: 3 minutes;

4-20% SDS-PAGE gel.

Proteins were transferred to a PVDF membrane and blocked with 5% NFDM/TBST for 1 hour at room temperature. The primary antibody (HA750440) at 1/5,000 dilution was used in 5% NFDM/TBST at 4℃ overnight. Goat Anti-Rabbit IgG - HRP Secondary Antibody (HA1001) at 1:50,000 dilution was used for 1 hour at room temperature.
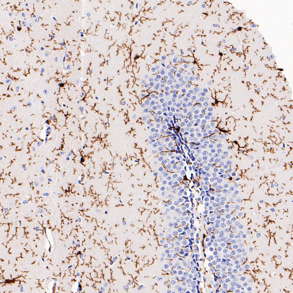
HA750440_10.jpg Fig10: Immunohistochemical analysis of paraffin-embedded mouse brain tissue with Rabbit anti-Iba1 antibody (HA750440) at 1/1,000 dilution.

The section was pre-treated using heat mediated antigen retrieval with Tris-EDTA buffer (pH 9.0) for 20 minutes. The tissues were blocked in 1% BSA for 20 minutes at room temperature, washed with ddH2O and PBS, and then probed with the primary antibody (HA750440) at 1/1,000 dilution for 1 hour at room temperature. The detection was performed using an HRP conjugated compact polymer system. DAB was used as the chromogen. Tissues were counterstained with hematoxylin and mounted with DPX.
HA750440_11.jpg Fig11: Immunohistochemical analysis of paraffin-embedded rat brain tissue with Rabbit anti-Iba1 antibody (HA750440) at 1/1,000 dilution.

The section was pre-treated using heat mediated antigen retrieval with Tris-EDTA buffer (pH 9.0) for 20 minutes. The tissues were blocked in 1% BSA for 20 minutes at room temperature, washed with ddH2O and PBS, and then probed with the primary antibody (HA750440) at 1/1,000 dilution for 1 hour at room temperature. The detection was performed using an HRP conjugated compact polymer system. DAB was used as the chromogen. Tissues were counterstained with hematoxylin and mounted with DPX.
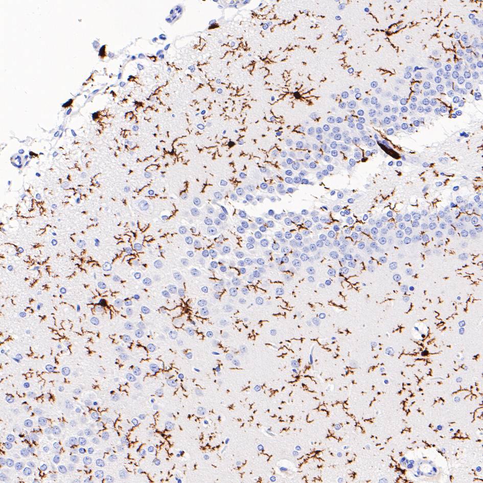
HA750440_12.jpg Fig12: Immunohistochemical analysis of paraffin-embedded mouse cerebral cortex tissue with Rabbit anti-Iba1 antibody (HA750440) at 1/1,000 dilution.

The section was pre-treated using heat mediated antigen retrieval with Tris-EDTA buffer (pH 9.0) for 20 minutes. The tissues were blocked in 1% BSA for 20 minutes at room temperature, washed with ddH2O and PBS, and then probed with the primary antibody (HA750440) at 1/1,000 dilution for 1 hour at room temperature. The detection was performed using an HRP conjugated compact polymer system. DAB was used as the chromogen. Tissues were counterstained with hematoxylin and mounted with DPX.
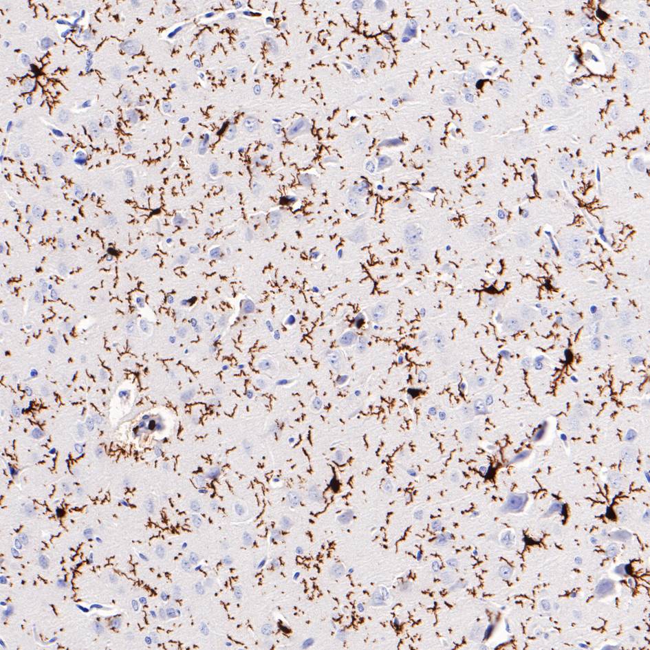
HA750440_13.jpg Fig13: Immunohistochemical analysis of paraffin-embedded rat cerebral cortex tissue with Rabbit anti-Iba1 antibody (HA750440) at 1/1,000 dilution.

The section was pre-treated using heat mediated antigen retrieval with Tris-EDTA buffer (pH 9.0) for 20 minutes. The tissues were blocked in 1% BSA for 20 minutes at room temperature, washed with ddH2O and PBS, and then probed with the primary antibody (HA750440) at 1/1,000 dilution for 1 hour at room temperature. The detection was performed using an HRP conjugated compact polymer system. DAB was used as the chromogen. Tissues were counterstained with hematoxylin and mounted with DPX.
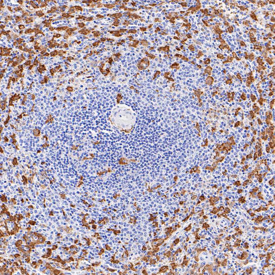
HA750440_14.jpg Fig14: Immunohistochemical analysis of paraffin-embedded human spleen tissue with Rabbit anti-Iba1 antibody (HA750440) at 1/1,000 dilution.

The section was pre-treated using heat mediated antigen retrieval with Tris-EDTA buffer (pH 9.0) for 20 minutes. The tissues were blocked in 1% BSA for 20 minutes at room temperature, washed with ddH2O and PBS, and then probed with the primary antibody (HA750440) at 1/1,000 dilution for 1 hour at room temperature. The detection was performed using an HRP conjugated compact polymer system. DAB was used as the chromogen. Tissues were counterstained with hematoxylin and mounted with DPX.
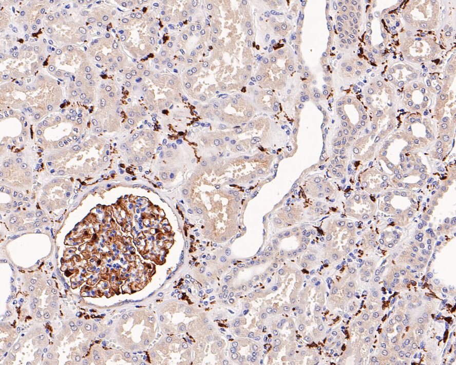
HA750440_15.jpg Fig15: Immunohistochemical analysis of paraffin-embedded human kidney tissue with Rabbit anti-Iba1 antibody (HA750440) at 1/1,000 dilution.

The section was pre-treated using heat mediated antigen retrieval with Tris-EDTA buffer (pH 9.0) for 20 minutes. The tissues were blocked in 1% BSA for 20 minutes at room temperature, washed with ddH2O and PBS, and then probed with the primary antibody (HA750440) at 1/1,000 dilution for 1 hour at room temperature. The detection was performed using an HRP conjugated compact polymer system. DAB was used as the chromogen. Tissues were counterstained with hematoxylin and mounted with DPX.
HA750440_16.jpg Fig16: Immunocytochemistry analysis of THP-1 cells labeling Iba1 with Rabbit anti-Iba1 antibody (HA750440) at 1/250 dilution.

Cells were fixed in 4% paraformaldehyde for 20 minutes at room temperature, permeabilized with 0.1% Triton X-100 in PBS for 5 minutes at room temperature, then blocked with 1% BSA in 10% negative goat serum for 1 hour at room temperature. Cells were then incubated with Rabbit anti-Iba1 antibody (HA750440) at 1/250 dilution in 1% BSA in PBST overnight at 4 ℃. Goat Anti-Rabbit IgG H&L (iFluor™ 488, HA1121) was used as the secondary antibody at 1/1,000 dilution. PBS instead of the primary antibody was used as the secondary antibody only control. Nuclear DNA was labelled in blue with DAPI. Beta tubulin (M1305-2, red) was stained at 1/100 dilution overnight at +4℃. Goat Anti-Mouse IgG H&L (iFluor™ 594, HA1126) was used as the secondary antibody at 1/1,000 dilution.
HA750440_17.jpg Fig17: Immunocytochemistry analysis of BV2 cells labeling Iba1 with Rabbit anti-Iba1 antibody (HA750440) at 1/500 dilution.

Cells were fixed in 4% paraformaldehyde for 20 minutes at room temperature, permeabilized with 0.1% Triton X-100 in PBS for 5 minutes at room temperature, then blocked with 1% BSA in 10% negative goat serum for 1 hour at room temperature. Cells were then incubated with Rabbit anti-Iba1 antibody (HA750440) at 1/500 dilution in 1% BSA in PBST overnight at 4 ℃. Goat Anti-Rabbit IgG H&L (iFluor™ 488, HA1121) was used as the secondary antibody at 1/1,000 dilution. PBS instead of the primary antibody was used as the secondary antibody only control. Nuclear DNA was labelled in blue with DAPI. Beta tubulin (M1305-2, red) was stained at 1/100 dilution overnight at +4℃. Goat Anti-Mouse IgG H&L (iFluor™ 594, HA1126) was used as the secondary antibody at 1/1,000 dilution.
HA750440_18.jpg Fig18: Immunocytochemistry analysis of RAW264.7 cells labeling Iba1 with Rabbit anti-Iba1 antibody (HA750440) at 1/250 dilution.

Cells were fixed in 4% paraformaldehyde for 20 minutes at room temperature, permeabilized with 0.1% Triton X-100 in PBS for 5 minutes at room temperature, then blocked with 1% BSA in 10% negative goat serum for 1 hour at room temperature. Cells were then incubated with Rabbit anti-Iba1 antibody (HA750440) at 1/250 dilution in 1% BSA in PBST overnight at 4 ℃. Goat Anti-Rabbit IgG H&L (iFluor™ 488, HA1121) was used as the secondary antibody at 1/1,000 dilution. PBS instead of the primary antibody was used as the secondary antibody only control. Nuclear DNA was labelled in blue with DAPI. Beta tubulin (M1305-2, red) was stained at 1/100 dilution overnight at +4℃. Goat Anti-Mouse IgG H&L (iFluor™ 594, HA1126) was used as the secondary antibody at 1/1,000 dilution.
HA750440_19.jpg Fig19: Immunocytochemistry analysis of C6 cells labeling Iba1 with Rabbit anti-Iba1 antibody (HA750440) at 1/250 dilution.

Cells were fixed in 4% paraformaldehyde for 20 minutes at room temperature, permeabilized with 0.1% Triton X-100 in PBS for 5 minutes at room temperature, then blocked with 1% BSA in 10% negative goat serum for 1 hour at room temperature. Cells were then incubated with Rabbit anti-Iba1 antibody (HA750440) at 1/250 dilution in 1% BSA in PBST overnight at 4 ℃. Goat Anti-Rabbit IgG H&L (iFluor™ 488, HA1121) was used as the secondary antibody at 1/1,000 dilution. PBS instead of the primary antibody was used as the secondary antibody only control. Nuclear DNA was labelled in blue with DAPI. Beta tubulin (M1305-2, red) was stained at 1/100 dilution overnight at +4℃. Goat Anti-Mouse IgG H&L (iFluor™ 594, HA1126) was used as the secondary antibody at 1/1,000 dilution.
HA750440_20.jpg Fig20: Flow cytometric analysis of THP-1 cells labeling Iba1.

Cells were fixed and permeabilized. Then stained with the primary antibody (HA750440, 1μg/mL) (red) compared with Rabbit IgG Isotype Control (green). After incubation of the primary antibody at +4℃ for an hour, the cells were stained with a iFluor™ 488 conjugate-Goat anti-Rabbit IgG Secondary antibody (HA1121) at 1/1,000 dilution for 30 minutes at +4℃. Unlabelled sample was used as a control (cells without incubation with primary antibody; black).
Note: All products are “FOR RESEARCH USE ONLY AND ARE NOT INTENDED FOR DIAGNOSTIC OR THERAPEUTIC USE”.