Rad51 Recombinant Rabbit Monoclonal Antibody [JM54-26]
cat.: HA750450
Product Type: Recombinant Rabbit monoclonal IgG, primary antibodies
Species reactivity: Human, Mouse, Rat
Applications: WB, IF-Cell, IF-Tissue, IHC-P, FC, IP
Clonality: Monoclonal
Clone number: JM54-26
Form: Liquid
Storage condition: Store at +4℃ after thawing. Aliquot store at -20℃ or -80℃. Avoid repeated freeze / thaw cycles.
Storage buffer: 1*PBS (pH7.4).
Concentration: 1ug/ul
Purification: Protein A affinity purified.
Molecular weight: Predicted band size: 37 kDa
Isotype: IgG
Immunogen: Synthetic peptide within Human Rad51 aa 1-50 / 339.
Positive control: HeLa cell lysate, Jurkat cell lysate, PANC-1 cell lysate, Raji cell lysate, MEF cell lysate, NIH/3T3 cell lysate, RAW264.7 cell lysate, U-2 OS, NIH/3T3, human ovary cancer tissue, human placenta tissue, human tonsil tissue, mouse spleen tissue, mouse testis tissue, rat spleen tissue, rat testis tissue.
Subcellular location: Chromosome, Cytoplasm, Cytoskeleton, Mitochondrion, Nucleus.
Recommended Dilutions:
  WB
  IF-Cell
  IF-Tissue
  IHC-P
  FC
  IP

1:5,000
1:50-1:200
1:50-1:100
1:500-1:1,000
1:1,000
Use at an assay dependent concentration.
Uniprot #: SwissProt: Q06609 Human | Q08297 Mouse | B5DF04 Rat
Alternative names: BRCA1/BRCA2 containing complex, subunit 5 BRCC 5 BRCC5 DNA repair protein RAD51 homolog 1 DNA repair protein rhp51 FANCR hRAD51 HsRAD51 HsT16930 MRMV2 Rad 51 RAD51 RAD51 homolog (RecA homolog, E. coli) (S. cerevisiae) RAD51 homolog A RAD51 homolog RAD51 recombinase RAD51, S. cerevisiae, homolog of RAD51_HUMAN RAD51A RECA RecA like protein RecA, E. coli, homolog of Recombination protein A
Images
HA750450_1.jpg Fig1: Western blot analysis of Rad51 on different lysates with Rabbit anti-Rad51 antibody (HA750450) at 1/5,000 dilution.

Lane 1: HeLa cell lysate
Lane 2: Jurkat cell lysate
Lane 3: PANC-1 cell lysate
Lane 4: Raji cell lysate
Lane 5: MEF cell lysate
Lane 6: NIH/3T3 cell lysate
Lane 7: RAW264.7 cell lysate

Lysates/proteins at 20 µg/Lane.

Predicted band size: 37 kDa
Observed band size: 37 kDa

Exposure time: 3 minutes; ECL: K1801;

4-20% SDS-PAGE gel.

Proteins were transferred to a PVDF membrane and blocked with 5% NFDM/TBST for 1 hour at room temperature. The primary antibody (HA750450) at 1/5,000 dilution was used in primary antibody dilution (K1803) at 4℃ overnight. Goat Anti-Rabbit IgG - HRP Secondary Antibody (HA1001) at 1/50,000 dilution was used for 1 hour at room temperature.
HA750450_2.jpg Fig2: Immunocytochemistry analysis of U-2 OS cells labeling Rad51 with Rabbit anti-Rad51 antibody (HA750450) at 1/100 dilution.

Cells were fixed in 100% precooled methanol for 5 minutes at room temperature, then blocked with 1% BSA in 10% negative goat serum for 1 hour at room temperature. Cells were then incubated with Rabbit anti-Rad51 antibody (HA750450) at 1/100 dilution in 1% BSA in PBST overnight at 4 ℃. Goat Anti-Rabbit IgG H&L (iFluor™ 488, HA1121) was used as the secondary antibody at 1/1,000 dilution. PBS instead of the primary antibody was used as the secondary antibody only control. Nuclear DNA was labelled in blue with DAPI.

Beta tubulin (M1305-2, red) was stained at 1/100 dilution overnight at +4℃. Goat Anti-Mouse IgG H&L (iFluor™ 594, HA1126) was used as the secondary antibody at 1/1,000 dilution.
HA750450_3.jpg Fig3: Immunocytochemistry analysis of NIH/3T3 cells labeling Rad51 with Rabbit anti-Rad51 antibody (HA750450) at 1/200 dilution.

Cells were fixed in 4% paraformaldehyde for 20 minutes at room temperature, permeabilized with 0.1% Triton X-100 in PBS for 5 minutes at room temperature, then blocked with 1% BSA in 10% negative goat serum for 1 hour at room temperature. Cells were then incubated with Rabbit anti-Rad51 antibody (HA750450) at 1/200 dilution in 1% BSA in PBST overnight at 4 ℃. Goat Anti-Rabbit IgG H&L (iFluor™ 488, HA1121) was used as the secondary antibody at 1/1,000 dilution. PBS instead of the primary antibody was used as the secondary antibody only control. Nuclear DNA was labelled in blue with DAPI.

Beta tubulin (M1305-2, red) was stained at 1/100 dilution overnight at +4℃. Goat Anti-Mouse IgG H&L (iFluor™ 594, HA1126) was used as the secondary antibody at 1/1,000 dilution.
HA750450_4.jpg Fig4: Immunohistochemical analysis of paraffin-embedded human ovary cancer tissue with Rabbit anti-Rad51 antibody (HA750450) at 1/1,000 dilution.

The section was pre-treated using heat mediated antigen retrieval with Tris-EDTA buffer (pH 9.0) for 20 minutes. The tissues were blocked in 1% BSA for 20 minutes at room temperature, washed with ddH2O and PBS, and then probed with the primary antibody (HA750450) at 1/1,000 dilution for 1 hour at room temperature. The detection was performed using an HRP conjugated compact polymer system. DAB was used as the chromogen. Tissues were counterstained with hematoxylin and mounted with DPX.
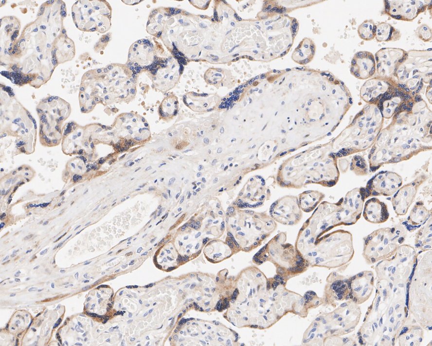
HA750450_5.jpg Fig5: Immunohistochemical analysis of paraffin-embedded human placenta tissue with Rabbit anti-Rad51 antibody (HA750450) at 1/1,000 dilution.

The section was pre-treated using heat mediated antigen retrieval with Tris-EDTA buffer (pH 9.0) for 20 minutes. The tissues were blocked in 1% BSA for 20 minutes at room temperature, washed with ddH2O and PBS, and then probed with the primary antibody (HA750450) at 1/1,000 dilution for 1 hour at room temperature. The detection was performed using an HRP conjugated compact polymer system. DAB was used as the chromogen. Tissues were counterstained with hematoxylin and mounted with DPX.
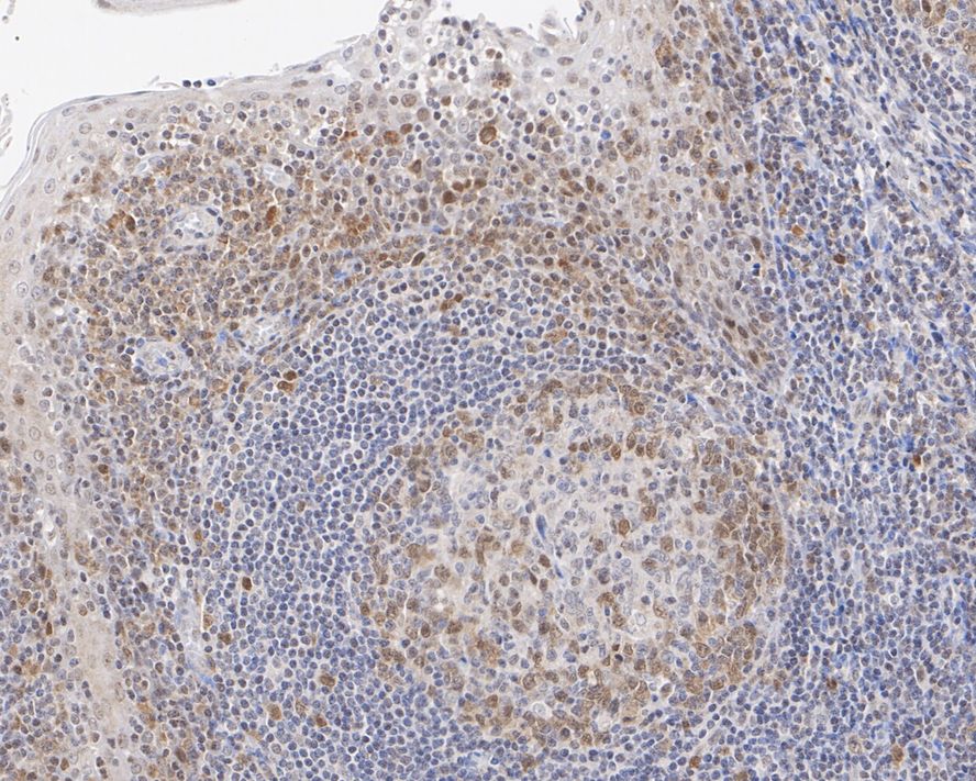
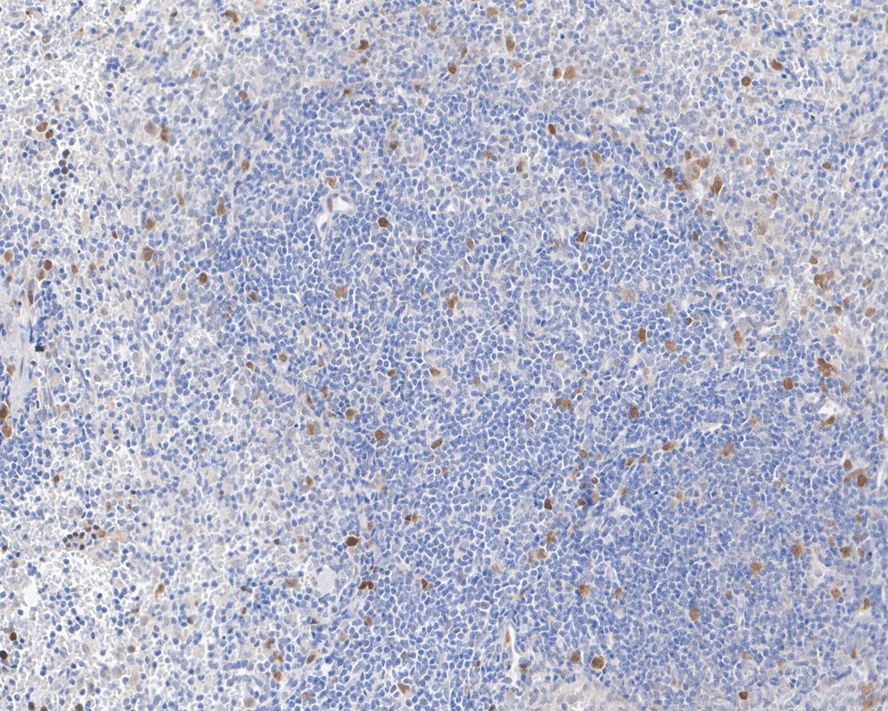
HA750450_6.jpg Fig6: Immunohistochemical analysis of paraffin-embedded human tonsil tissue with Rabbit anti-Rad51 antibody (HA750450) at 1/500 dilution.

The section was pre-treated using heat mediated antigen retrieval with Tris-EDTA buffer (pH 9.0) for 20 minutes. The tissues were blocked in 1% BSA for 20 minutes at room temperature, washed with ddH2O and PBS, and then probed with the primary antibody (HA750450) at 1/500 dilution for 1 hour at room temperature. The detection was performed using an HRP conjugated compact polymer system. DAB was used as the chromogen. Tissues were counterstained with hematoxylin and mounted with DPX.
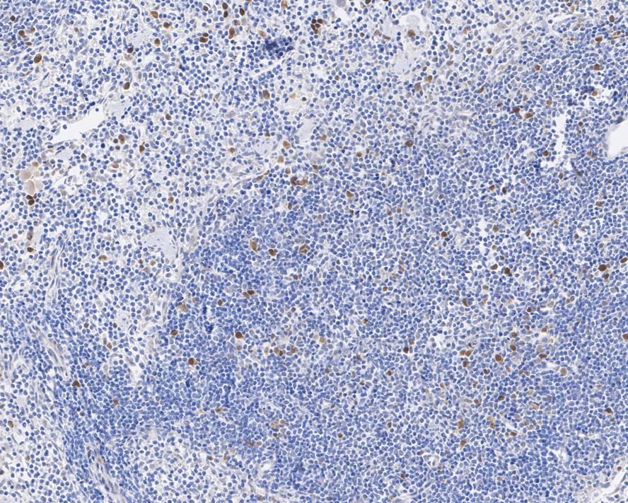
HA750450_7.jpg Fig7: Immunohistochemical analysis of paraffin-embedded mouse spleen tissue with Rabbit anti-Rad51 antibody (HA750450) at 1/500 dilution.

The section was pre-treated using heat mediated antigen retrieval with Tris-EDTA buffer (pH 9.0) for 20 minutes. The tissues were blocked in 1% BSA for 20 minutes at room temperature, washed with ddH2O and PBS, and then probed with the primary antibody (HA750450) at 1/500 dilution for 1 hour at room temperature. The detection was performed using an HRP conjugated compact polymer system. DAB was used as the chromogen. Tissues were counterstained with hematoxylin and mounted with DPX.
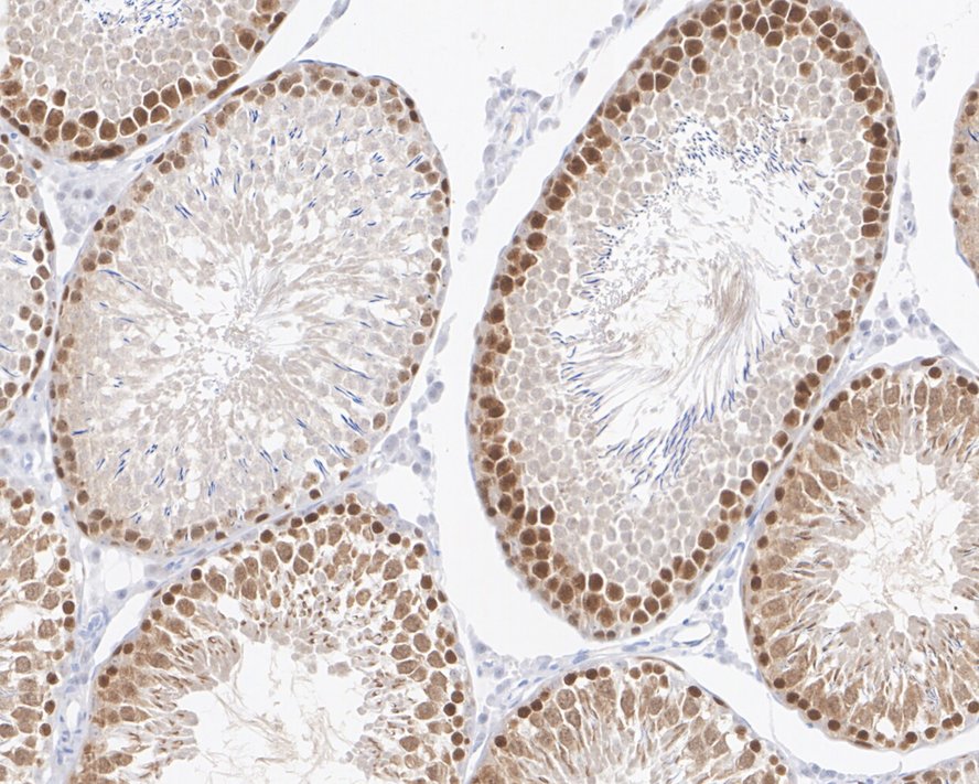
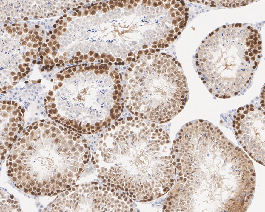
HA750450_8.jpg Fig8: Immunohistochemical analysis of paraffin-embedded mouse testis tissue with Rabbit anti-Rad51 antibody (HA750450) at 1/1,000 dilution.

The section was pre-treated using heat mediated antigen retrieval with Tris-EDTA buffer (pH 9.0) for 20 minutes. The tissues were blocked in 1% BSA for 20 minutes at room temperature, washed with ddH2O and PBS, and then probed with the primary antibody (HA750450) at 1/1,000 dilution for 1 hour at room temperature. The detection was performed using an HRP conjugated compact polymer system. DAB was used as the chromogen. Tissues were counterstained with hematoxylin and mounted with DPX.
HA750450_9.jpg Fig9: Immunohistochemical analysis of paraffin-embedded rat spleen tissue with Rabbit anti-Rad51 antibody (HA750450) at 1/500 dilution.

The section was pre-treated using heat mediated antigen retrieval with Tris-EDTA buffer (pH 9.0) for 20 minutes. The tissues were blocked in 1% BSA for 20 minutes at room temperature, washed with ddH2O and PBS, and then probed with the primary antibody (HA750450) at 1/500 dilution for 1 hour at room temperature. The detection was performed using an HRP conjugated compact polymer system. DAB was used as the chromogen. Tissues were counterstained with hematoxylin and mounted with DPX.
HA750450_10.jpg Fig10: Immunohistochemical analysis of paraffin-embedded rat testis tissue with Rabbit anti-Rad51 antibody (HA750450) at 1/500 dilution.

The section was pre-treated using heat mediated antigen retrieval with Tris-EDTA buffer (pH 9.0) for 20 minutes. The tissues were blocked in 1% BSA for 20 minutes at room temperature, washed with ddH2O and PBS, and then probed with the primary antibody (HA750450) at 1/500 dilution for 1 hour at room temperature. The detection was performed using an HRP conjugated compact polymer system. DAB was used as the chromogen. Tissues were counterstained with hematoxylin and mounted with DPX.
HA750450_11.jpg Fig11: Flow cytometric analysis of U-2 OS cells labeling Rad51.

Cells were fixed and permeabilized. Then stained with the primary antibody (HA750450, 1/1,000) (red) compared with Rabbit IgG Isotype Control (green). After incubation of the primary antibody at +4℃ for an hour, the cells were stained with a iFluor™ 488 conjugate-Goat anti-Rabbit IgG Secondary antibody (HA1121) at 1/1,000 dilution for 30 minutes at +4℃. Unlabelled sample was used as a control (cells without incubation with primary antibody; black).
Note: All products are “FOR RESEARCH USE ONLY AND ARE NOT INTENDED FOR DIAGNOSTIC OR THERAPEUTIC USE”.