Fbxw7 Recombinant Rabbit Monoclonal Antibody [PD00-51]
cat.: HA750530
Product Type: Recombinant Rabbit monoclonal IgG, primary antibodies
Species reactivity: Human
Applications: IHC-P
Clonality: Monoclonal
Clone number: PD00-51
Form: Liquid
Storage condition: Store at +4℃ after thawing. Aliquot store at -20℃. Avoid repeated freeze / thaw cycles.
Storage buffer: 1*PBS (pH7.4).
Concentration: 1ug/ul
Purification: Protein A affinity purified.
Molecular weight: Predicted band size: 80 kDa
Isotype: IgG
Immunogen: Synthetic peptide.
Positive control: Human bladder carcinoma tissue, human colon cancer tissue, human endometrial adenocarcinoma tissue.
Subcellular location: Chromosome, Cytoplasm, Nucleus.
Recommended Dilutions:
  IHC-P

1:200
Uniprot #: SwissProt: Q969H0 Human
Alternative names: AGO Archipelago Archipelago homolog Archipelago, Drosophila, homolog of CDC4 CDC4, S.cerevisiae, homolog of DKFZp686F23254 F box and WD 40 domain protein 7 (archipelago homolog, Drosophila) F box and WD 40 domain protein 7 F box and WD repeat domain containing 7 F box protein FBW7 F box protein FBX30 F box protein SEL 10 F box protein SEL10 F-box and WD repeat domain containing 7, E3 ubiquitin protein ligase F-box and WD-40 domain-containing protein 7 F-box protein FBX30 F-box/WD repeat-containing protein 7 FBW6 FBW7 FBX30 FBXO30 FBXW6 FBXW7 FBXW7_HUMAN FLJ16457 hAgo hCdc4 Homolog of C elegans sel 10 Homolog of C.elegans sel10 SEL 10 SEL-10 SEL10
Images
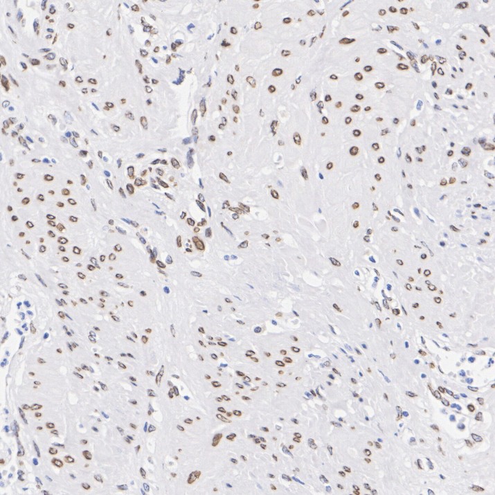
HA750530_1.jpg Fig1: Immunohistochemical analysis of paraffin-embedded human bladder carcinoma tissue with Rabbit anti-Fbxw7 antibody (HA750530) at 1/200 dilution.

The section was pre-treated using heat mediated antigen retrieval with Tris-EDTA buffer (pH 9.0) for 20 minutes. The tissues were blocked in 1% BSA for 20 minutes at room temperature, washed with ddH2O and PBS, and then probed with the primary antibody (HA750530) at 1/200 dilution for 1 hour at room temperature. The detection was performed using an HRP conjugated compact polymer system. DAB was used as the chromogen. Tissues were counterstained with hematoxylin and mounted with DPX.
HA750530_2.jpg Fig2: Immunohistochemical analysis of paraffin-embedded human colon cancer tissue with Rabbit anti-Fbxw7 antibody (HA750530) at 1/200 dilution.

The section was pre-treated using heat mediated antigen retrieval with Tris-EDTA buffer (pH 9.0) for 20 minutes. The tissues were blocked in 1% BSA for 20 minutes at room temperature, washed with ddH2O and PBS, and then probed with the primary antibody (HA750530) at 1/200 dilution for 1 hour at room temperature. The detection was performed using an HRP conjugated compact polymer system. DAB was used as the chromogen. Tissues were counterstained with hematoxylin and mounted with DPX.
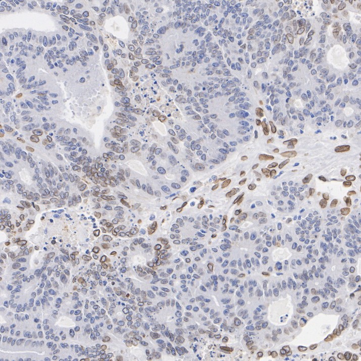
HA750530_3.jpg Fig3: Immunohistochemical analysis of paraffin-embedded human endometrial adenocarcinoma tissue with Rabbit anti-Fbxw7 antibody (HA750530) at 1/200 dilution.

The section was pre-treated using heat mediated antigen retrieval with Tris-EDTA buffer (pH 9.0) for 20 minutes. The tissues were blocked in 1% BSA for 20 minutes at room temperature, washed with ddH2O and PBS, and then probed with the primary antibody (HA750530) at 1/200 dilution for 1 hour at room temperature. The detection was performed using an HRP conjugated compact polymer system. DAB was used as the chromogen. Tissues were counterstained with hematoxylin and mounted with DPX.
Note: All products are “FOR RESEARCH USE ONLY AND ARE NOT INTENDED FOR DIAGNOSTIC OR THERAPEUTIC USE”.