TNS4 Recombinant Rabbit Monoclonal Antibody [PD00-95]
cat.: HA750540
Product Type: Recombinant Rabbit monoclonal IgG, primary antibodies
Species reactivity: Human
Applications: IHC-P
Clonality: Monoclonal
Clone number: PD00-95
Form: Liquid
Storage condition: Store at +4℃ after thawing. Aliquot store at -20℃. Avoid repeated freeze / thaw cycles.
Storage buffer: 1*PBS (pH7.4).
Concentration: 1ug/ul
Purification: Protein A affinity purified.
Molecular weight: Predicted band size: 77 kDa
Isotype: IgG
Immunogen: Synthetic peptide within Human TNS4 aa 700 to the C-terminus (C terminal).
Positive control: Human liver cancer tissue, human placenta tissue.
Subcellular location: Cell junction, focal adhesion, Cytoplasm, cytoskeleton.
Recommended Dilutions:
  IHC-P

1:1,000
Uniprot #: SwissProt: Q8IZW8 Human
Alternative names: C terminal tensin like C terminal tensin like protein C-terminal tensin-like protein CTEN FLJ14950 PP14434 TENS4_HUMAN Tensin 4 Tensin-4 Tns4
Images
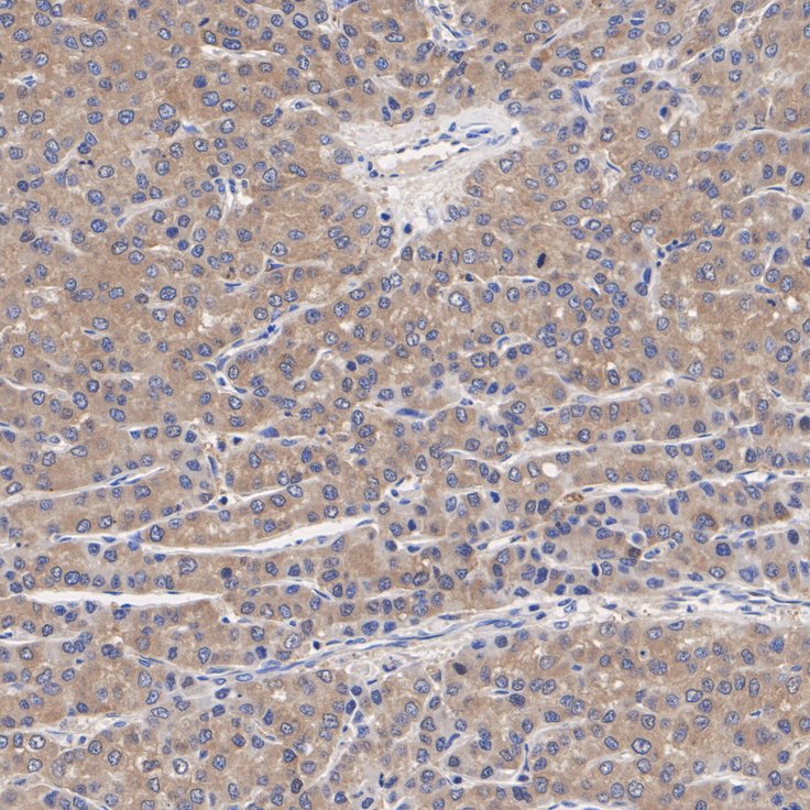
HA750540_1.jpg Fig1: Immunohistochemical analysis of paraffin-embedded human liver cancer tissue with Rabbit anti-TNS4 antibody (HA750540) at 1/1,000 dilution.

The section was pre-treated using heat mediated antigen retrieval with Tris-EDTA buffer (pH 9.0) for 20 minutes. The tissues were blocked in 1% BSA for 20 minutes at room temperature, washed with ddH2O and PBS, and then probed with the primary antibody (HA750540) at 1/1,000 dilution for 1 hour at room temperature. The detection was performed using an HRP conjugated compact polymer system. DAB was used as the chromogen. Tissues were counterstained with hematoxylin and mounted with DPX.
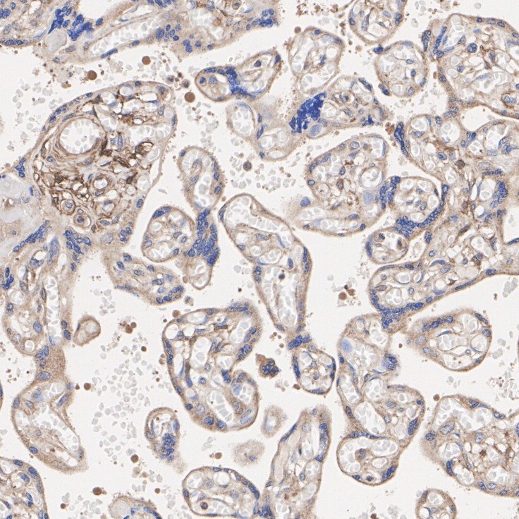
HA750540_2.jpg Fig2: Immunohistochemical analysis of paraffin-embedded human placenta tissue with Rabbit anti-TNS4 antibody (HA750540) at 1/1,000 dilution.

The section was pre-treated using heat mediated antigen retrieval with Tris-EDTA buffer (pH 9.0) for 20 minutes. The tissues were blocked in 1% BSA for 20 minutes at room temperature, washed with ddH2O and PBS, and then probed with the primary antibody (HA750540) at 1/1,000 dilution for 1 hour at room temperature. The detection was performed using an HRP conjugated compact polymer system. DAB was used as the chromogen. Tissues were counterstained with hematoxylin and mounted with DPX.
Note: All products are “FOR RESEARCH USE ONLY AND ARE NOT INTENDED FOR DIAGNOSTIC OR THERAPEUTIC USE”.