RbBP5 Recombinant Rabbit Monoclonal Antibody [PSH0-16]
cat.: HA750586
Product Type: Recombinant Rabbit monoclonal IgG, primary antibodies
Species reactivity: Human, Mouse
Applications: IHC-P
Clonality: Monoclonal
Clone number: PSH0-16
Form: Liquid
Storage condition: Store at +4℃ after thawing. Aliquot store at -20℃. Avoid repeated freeze / thaw cycles.
Storage buffer: 1*PBS (pH7.4).
Concentration: 1ug/ul
Purification: Protein A affinity purified.
Molecular weight: Predicted band size: 59 kDa
Isotype: IgG
Immunogen: Synthetic peptide within human RbBP5 aa 431-480 / 538.
Positive control: Human colon tissue, human colon carcinoma tissue, human mouse tissue.
Subcellular location: Nucleus.
Recommended Dilutions:
  IHC-P

1:200-1:1,000
Uniprot #: SwissProt: Q15291 Human | Q8BX09 Mouse
Alternative names: RBBP 5 RBBP-5 RBBP5 RBBP5_HUMAN RBQ 3 RBQ3 Retinoblastoma binding protein 5 Retinoblastoma binding protein RBQ3 Retinoblastoma binding protein5 Retinoblastoma-binding protein 5 Retinoblastoma-binding protein RBQ-3 SWD1 SWD1, Set1c WD40 repeat protein, homolog
Images
HA750586_1.jpg Fig1: Immunohistochemical analysis of paraffin-embedded human colon tissue with Rabbit anti-RbBP5 antibody (HA750586) at 1/200 dilution.

The section was pre-treated using heat mediated antigen retrieval with sodium citrate buffer (pH 6.0) (high pressure) for 2 minutes. The tissues were blocked in 1% BSA for 20 minutes at room temperature, washed with ddH2O and PBS, and then probed with the primary antibody (HA750586) at 1/200 dilution for 1 hour at room temperature. The detection was performed using an HRP conjugated compact polymer system. DAB was used as the chromogen. Tissues were counterstained with hematoxylin and mounted with DPX.
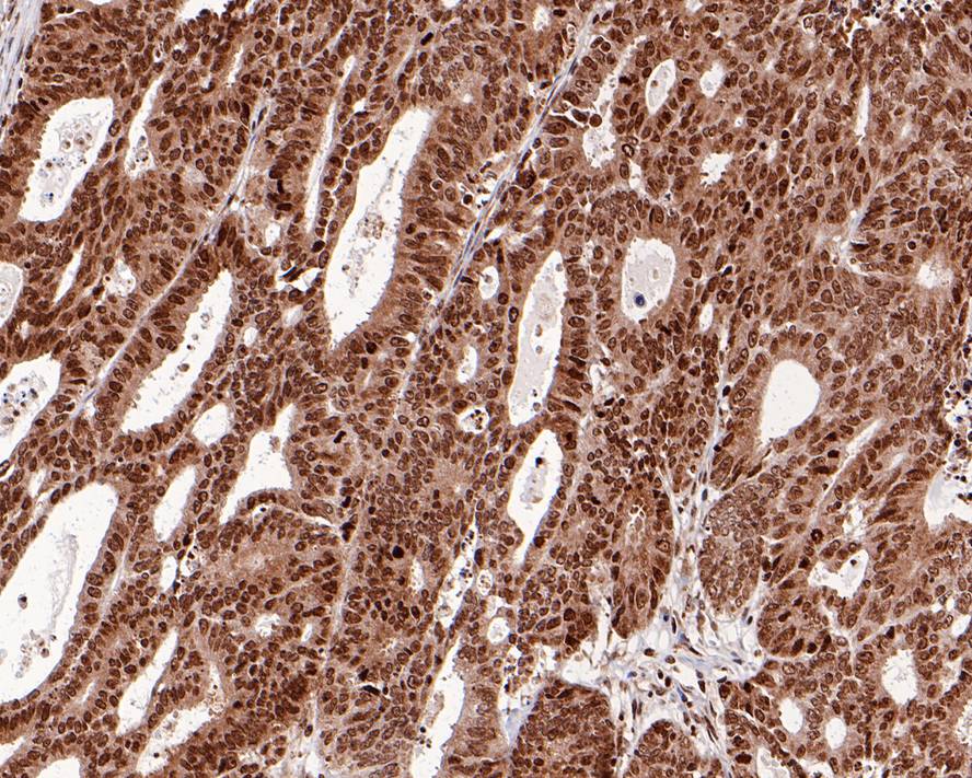
HA750586_2.jpg Fig2: Immunohistochemical analysis of paraffin-embedded human colon carcinoma tissue with Rabbit anti-RbBP5 antibody (HA750586) at 1/200 dilution.

The section was pre-treated using heat mediated antigen retrieval with sodium citrate buffer (pH 6.0) (high pressure) for 2 minutes. The tissues were blocked in 1% BSA for 20 minutes at room temperature, washed with ddH2O and PBS, and then probed with the primary antibody (HA750586) at 1/200 dilution for 1 hour at room temperature. The detection was performed using an HRP conjugated compact polymer system. DAB was used as the chromogen. Tissues were counterstained with hematoxylin and mounted with DPX.
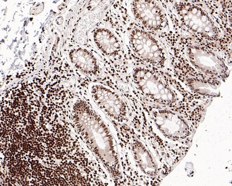
HA750586_3.jpg Fig3: Immunohistochemical analysis of paraffin-embedded human mouse tissue with Rabbit anti-RbBP5 antibody (HA750586) at 1/1,000 dilution.

The section was pre-treated using heat mediated antigen retrieval with sodium citrate buffer (pH 6.0) (high pressure) for 2 minutes. The tissues were blocked in 1% BSA for 20 minutes at room temperature, washed with ddH2O and PBS, and then probed with the primary antibody (HA750586) at 1/1,000 dilution for 1 hour at room temperature. The detection was performed using an HRP conjugated compact polymer system. DAB was used as the chromogen. Tissues were counterstained with hematoxylin and mounted with DPX.
Note: All products are “FOR RESEARCH USE ONLY AND ARE NOT INTENDED FOR DIAGNOSTIC OR THERAPEUTIC USE”.