Phospho-eIF4G (S1108) Recombinant Rabbit Monoclonal Antibody [PS01-08]
cat.: HA750588
Product Type: Recombinant Rabbit monoclonal IgG, primary antibodies
Species reactivity: Human
Applications: WB, IHC-P
Clonality: Monoclonal
Clone number: PS01-08
Form: Liquid
Storage condition: Store at +4℃ after thawing. Aliquot store at -20℃. Avoid repeated freeze / thaw cycles.
Storage buffer: 1*PBS (pH7.4).
Concentration: 1ug/ul
Purification: Protein A affinity purified.
Molecular weight: Predicted band size: 175 kDa
Isotype: IgG
Immunogen: Synthetic peptide corresponding to Human eIF4G1 (phospho S1108).
Positive control: A431 cell lysate, SK-Br-3 cell lysate, MCF-7 cell lysate, human ovary cancer tissue.
Subcellular location: Cytosol. Nucleus.
Recommended Dilutions:
  WB
  IHC-P

1:1,000
1:1,000
Uniprot #: SwissProt: Q04637 Human
Alternative names: DKFZp686A1451 eIF 4 gamma 1 eIF 4G 1 eIF 4G1 eIF-4-gamma 1 eIF-4G 1 eIF-4G1 EIF4 gamma EIF4F EIF4G EIF4G1 EIF4GI Eukaryotic translation initiation factor 4 gamma 1 IF4G1_HUMAN p220
Images
HA750588_1.jpg Fig1: Western blot analysis of Phospho-eIF4G (S1108) on different lysates with Rabbit anti-Phospho-eIF4G (S1108) antibody (HA750588) at 1/1,000 dilution.

Lane 1: A431 cell lysate
Lane 2: SK-Br-3 cell lysate
Lane 3: MCF-7 cell lysate

Lysates/proteins at 10 µg/Lane.

Predicted band size: 175 kDa
Observed band size: 250 kDa

Exposure time: 2 minutes;

6% SDS-PAGE gel.

Proteins were transferred to a PVDF membrane and blocked with 5% NFDM/TBST for 1 hour at room temperature. The primary antibody (HA750588) at 1/1,000 dilution was used in 5% NFDM/TBST at room temperature for 2 hours. Goat Anti-Rabbit IgG - HRP Secondary Antibody (HA1001) at 1:300,000 dilution was used for 1 hour at room temperature.
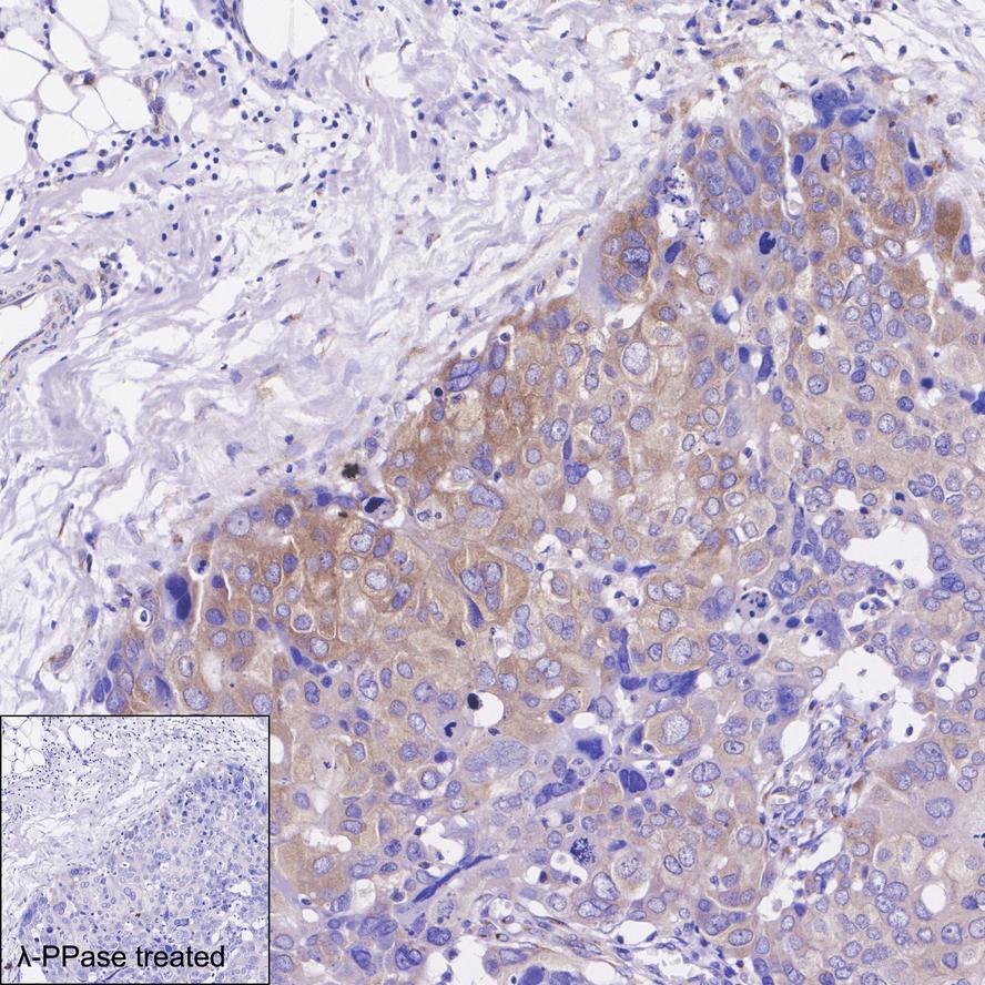
HA750588_2.jpg Fig2: Immunohistochemical analysis of paraffin-embedded human ovary cancer tissue untreated / treated with λpp with Rabbit anti-Phospho-eIF4G (S1108) antibody (HA750588) at 1/1,000 dilution.

The section was pre-treated using heat mediated antigen retrieval with Tris-EDTA buffer (pH 9.0) for 20 minutes. The tissues were blocked in 1% BSA for 20 minutes at room temperature, washed with ddH2O and PBS, and then probed with the primary antibody (HA750588) at 1/1,000 dilution for 1 hour at room temperature. The detection was performed using an HRP conjugated compact polymer system. DAB was used as the chromogen. Tissues were counterstained with hematoxylin and mounted with DPX.
Note: All products are “FOR RESEARCH USE ONLY AND ARE NOT INTENDED FOR DIAGNOSTIC OR THERAPEUTIC USE”.