Histone H2A (acetyl K9) Recombinant Rabbit Monoclonal Antibody [PS01-45]
cat.: HA750591
Product Type: Recombinant Rabbit monoclonal IgG, primary antibodies
Species reactivity: Human, Mouse, Rat
Applications: WB, IHC-P, IF-Cell, CUT&Tag-seq, ChIP
Clonality: Monoclonal
Clone number: PS01-45
Form: Liquid
Storage condition: Store at +4℃ after thawing. Aliquot store at -20℃. Avoid repeated freeze / thaw cycles.
Storage buffer: 1*PBS (pH7.4).
Concentration: 1ug/ul
Purification: Protein A affinity purified.
Molecular weight: Predicted band size: 14 kDa
Isotype: IgG
Immunogen: Synthetic peptide within Human Histone H2A aa 1-50 (acetyl K9).
Positive control: HeLa treated with 500 ng/ml TSA for 4 hours whole cell lysate, human colon carcinoma tissue, mouse skin tissue, rat skin tissue, NIH/3T3.
Subcellular location: Nucleus, Chromosome.
Recommended Dilutions:
  WB
  IHC-P
  IF-Cell
  ChIP

1:1,000
1:4,000
1:50
Use 0.5~2 μg for 25 μg of chromatin.
Uniprot #: SwissProt: P04908 Human | Q93077 Human | Q99878 Human | C0HKE6 Mouse | C0HKE1 Mouse | P02262 Rat
Alternative names: H2A H2A1B_HUMAN H2AFM HIST1H2A HIST1H2AE Histone H2A type 1-B/E Histone H2A.2 Histone H2A/a Histone H2A/m H2AK9ac
Images
HA750591_1.jpg Fig1: Western blot analysis of Histone H2A (acetyl K9) on different lysates with Rabbit anti-Histone H2A (acetyl K9) antibody (HA750591) at 1/1,000 dilution.

Lane 1: HeLa whole cell lysate (20 µg/Lane)
Lane 2: HeLa treated with 500 ng/mL TSA for 4 hours whole cell lysate (20 µg/Lane)

Predicted band size: 14 kDa
Observed band size: 14 kDa

Exposure time: 3 minutes;
15% SDS-PAGE gel.

Proteins were transferred to a PVDF membrane and blocked with 5% NFDM/TBST for 1 hour at room temperature. The primary antibody (HA750591) at 1/1,000 dilution was used in 5% NFDM/TBST at room temperature for 2 hours. Goat Anti-Rabbit IgG - HRP Secondary Antibody (HA1001) at 1/300,000 dilution was used for 1 hour at room temperature.
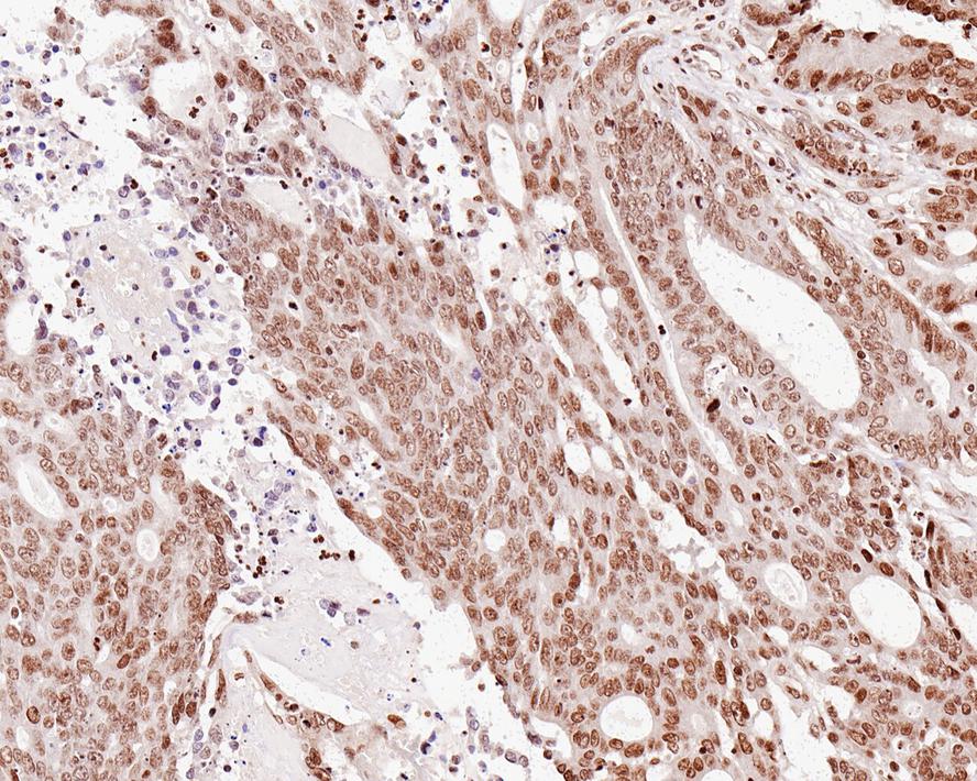
HA750591_2.jpg Fig2: Immunohistochemical analysis of paraffin-embedded human colon carcinoma tissue with Rabbit anti-Histone H2A (acetyl K9) antibody (HA750591) at 1/4,000 dilution.

The section was pre-treated using heat mediated antigen retrieval with sodium citrate buffer (pH 6.0) (high pressure) for 2 minutes. The tissues were blocked in 1% BSA for 20 minutes at room temperature, washed with ddH2O and PBS, and then probed with the primary antibody (HA750591) at 1/4,000 dilution for 1 hour at room temperature. The detection was performed using an HRP conjugated compact polymer system. DAB was used as the chromogen. Tissues were counterstained with hematoxylin and mounted with DPX.
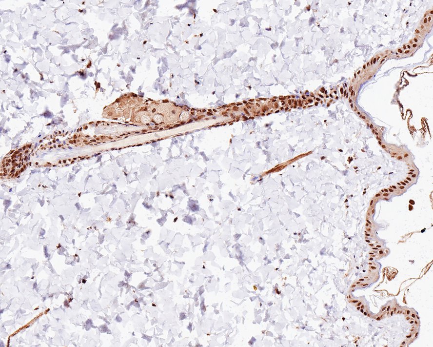
HA750591_3.jpg Fig3: Immunohistochemical analysis of paraffin-embedded mouse skin tissue with Rabbit anti-Histone H2A (acetyl K9) antibody (HA750591) at 1/4,000 dilution.

The section was pre-treated using heat mediated antigen retrieval with sodium citrate buffer (pH 6.0) (high pressure) for 2 minutes. The tissues were blocked in 1% BSA for 20 minutes at room temperature, washed with ddH2O and PBS, and then probed with the primary antibody (HA750591) at 1/4,000 dilution for 1 hour at room temperature. The detection was performed using an HRP conjugated compact polymer system. DAB was used as the chromogen. Tissues were counterstained with hematoxylin and mounted with DPX.
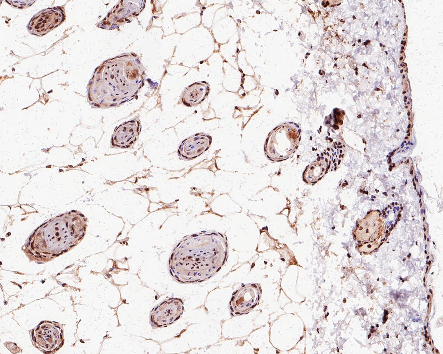
HA750591_4.jpg Fig4: Immunohistochemical analysis of paraffin-embedded rat skin tissue with Rabbit anti-Histone H2A (acetyl K9) antibody (HA750591) at 1/4,000 dilution.

The section was pre-treated using heat mediated antigen retrieval with sodium citrate buffer (pH 6.0) (high pressure) for 2 minutes. The tissues were blocked in 1% BSA for 20 minutes at room temperature, washed with ddH2O and PBS, and then probed with the primary antibody (HA750591) at 1/4,000 dilution for 1 hour at room temperature. The detection was performed using an HRP conjugated compact polymer system. DAB was used as the chromogen. Tissues were counterstained with hematoxylin and mounted with DPX.
HA750591_5.jpg Fig5: Immunocytochemistry analysis of NIH/3T3 cells labeling Histone H2A (acetyl K9) with Rabbit anti-Histone H2A (acetyl K9) antibody (HA750591) at 1/50 dilution.

Cells were fixed in 4% paraformaldehyde for 10 minutes at 37 ℃, permeabilized with 0.05% Triton X-100 in PBS for 20 minutes, and then blocked with 2% negative goat serum for 30 minutes at room temperature. Cells were then incubated with Rabbit anti-Histone H2A (acetyl K9) antibody (HA750591) at 1/50 dilution in 2% negative goat serum overnight at 4 ℃. Goat Anti-Rabbit IgG H&L (iFluor™ 488, HA1121) was used as the secondary antibody at 1/1,000 dilution. PBS instead of the primary antibody was used as the secondary antibody only control. Nuclear DNA was labelled in blue with DAPI.
HA750591_6.jpg Fig6: Chromatin immunoprecipitations were performed with cross-linked chromatin from HeLa cells treated with 500ng/mL TSA for 4 hours with Histone H2A (acetyl K9) (HA750591) or Normal Rabbit IgG according to the ChIP protocol. The enriched DNA was quantified by real-time PCR using indicated primers. The amount of immunoprecipitated DNA in each sample is represented as signal relative to the total amount of input chromatin, which is equivalent to one.
Note: All products are “FOR RESEARCH USE ONLY AND ARE NOT INTENDED FOR DIAGNOSTIC OR THERAPEUTIC USE”.