ZEB Recombinant Rabbit Monoclonal Antibody [PSH0-61]
cat.: HA750638
Product Type: Recombinant Rabbit monoclonal IgG, primary antibodies
Species reactivity: Human, Mouse, Rat
Applications: WB, IHC-P, FC
Clonality: Monoclonal
Clone number: PSH0-61
Form: Liquid
Storage condition: Store at +4℃ after thawing. Aliquot store at -20℃. Avoid repeated freeze / thaw cycles.
Storage buffer: 1*PBS (pH7.4).
Concentration: 1ug/ul
Purification: Protein A affinity purified.
Molecular weight: Predicted band size: 124 kDa
Isotype: IgG
Immunogen: Recombinant protein within human ZEB1 aa 1-400 / 1,124.
Positive control: Jurkat cell lysate, SK-OV-3 cell lysate, HeLa cell lysate, HEK-293 cell lysate, U87-MG cell lysate, MG-63 cell lysate, human colon tissue, human kidney tissue, human ovary carcinoma tissue, mouse heart tissue, mouse kidney tissue, mouse liver tissue, mouse lung tissue, mouse stomach tissue, mouse testis tissue, rat kidney tissue, rat liver tissue, rat lung tissue, rat small intestine tissue, rat testis tissue, Jurkat.
Subcellular location: Nucleus.
Recommended Dilutions:
  WB
  IHC-P
  FC

1:1,000
1:1,000
1:500-1:1,000
Uniprot #: SwissProt: P37275 Human | O60315 Human | Q64318 Mouse | Q9R0G7 Mouse | Q62947 Rat
Entrez Gene: 311071 Rat
Alternative names: AREB 6 AREB6 BZP Delta crystallin enhancer binding factor 1 DELTA EF1 FECD6 MGC133261 Negative regulator of IL 2 Negative regulator of IL2 NIL 2 A NIL 2 A zinc finger protein NIL 2A NIL-2-A zinc finger protein NIL2A Posterior polymorphous corneal dystrophy 3 PPCD3 Represses interleukin 2 expression TCF 8 TCF-8 TCF8 Transcription factor 8 (represses interleukin 2 expression) Transcription factor 8 ZEB 1 ZEB ZEB1 ZEB1_HUMAN ZFHEP ZFHX 1A ZFHX1A Zinc finger E box binding homeobox 1 Zinc finger E-box-binding homeobox 1 Zinc finger homeodomain enhancer binding protein FLJ42816 HSPC082 KIAA0569 SIP 1 SIP1 Smad Interacting Protein 1 Smad-interacting protein 1 SMADIP 1 SMADIP1 ZEB 2 Zeb2 ZEB2_HUMAN Zfhx1b ZFHX1B protein Zfx1b Zinc finger E box binding protein 2 Zinc finger E-box-binding homeobox 2 Zinc finger homeobox 1b zinc finger homeobox protein 1 Zinc finger homeobox protein 1b
Images
HA750638_1.jpg Fig1: Western blot analysis of ZEB on different lysates with Rabbit anti-ZEB antibody (HA750638) at 1/1,000 dilution.

Lane 1: Jurkat cell lysate
Lane 2: SK-OV-3 cell lysate
Lane 3: HeLa cell lysate
Lane 4: HEK-293 cell lysate
Lane 5: U87-MG cell lysate
Lane 6: MG-63 cell lysate

Lysates/proteins at 30 µg/Lane.

Predicted band size: 124 kDa
Observed band size: 200 kDa

Exposure time: 2 minutes;

8% SDS-PAGE gel.

Proteins were transferred to a PVDF membrane and blocked with 5% NFDM/TBST for 1 hour at room temperature. The primary antibody (HA750638) at 1/1,000 dilution was used in 5% NFDM/TBST at room temperature for 2 hours. Goat Anti-Rabbit IgG - HRP Secondary Antibody (HA1001) at 1:200,000 dilution was used for 1 hour at room temperature.
HA750638_2.jpg Fig2: Immunohistochemical analysis of paraffin-embedded human colon tissue with Rabbit anti-ZEB antibody (HA750638) at 1/1,000 dilution.

The section was pre-treated using heat mediated antigen retrieval with sodium citrate buffer (pH 6.0) (high pressure) for 2 minutes. The tissues were blocked in 1% BSA for 20 minutes at room temperature, washed with ddH2O and PBS, and then probed with the primary antibody (HA750638) at 1/1,000 dilution for 1 hour at room temperature. The detection was performed using an HRP conjugated compact polymer system. DAB was used as the chromogen. Tissues were counterstained with hematoxylin and mounted with DPX.
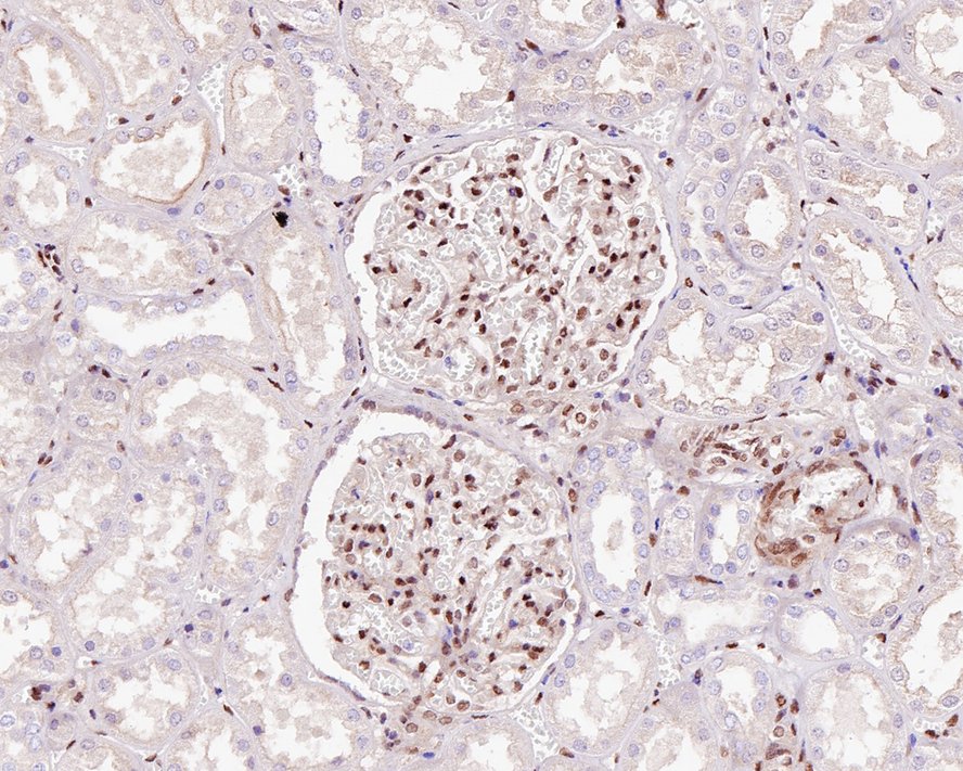
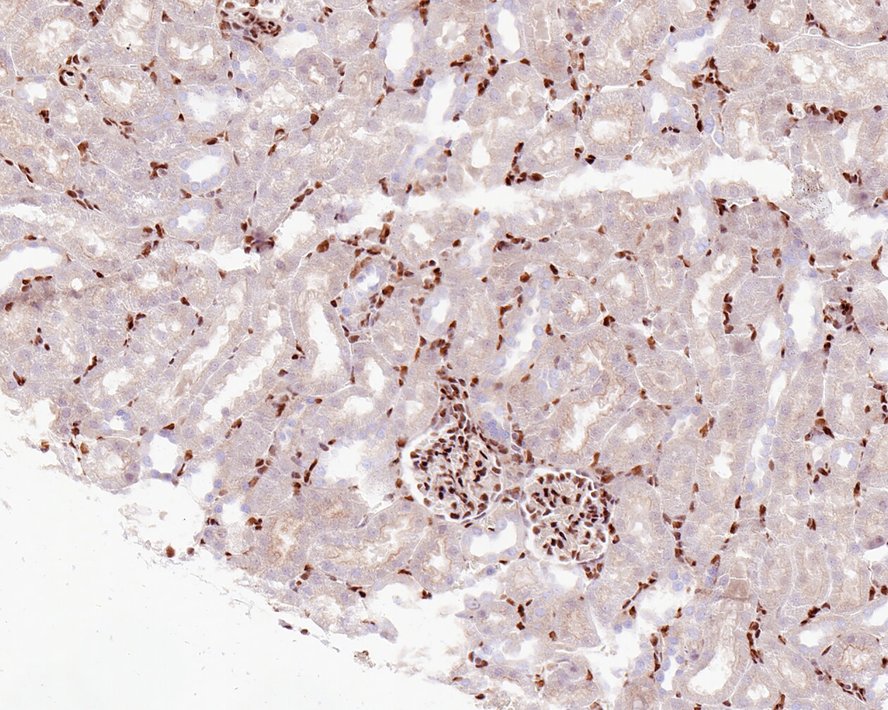
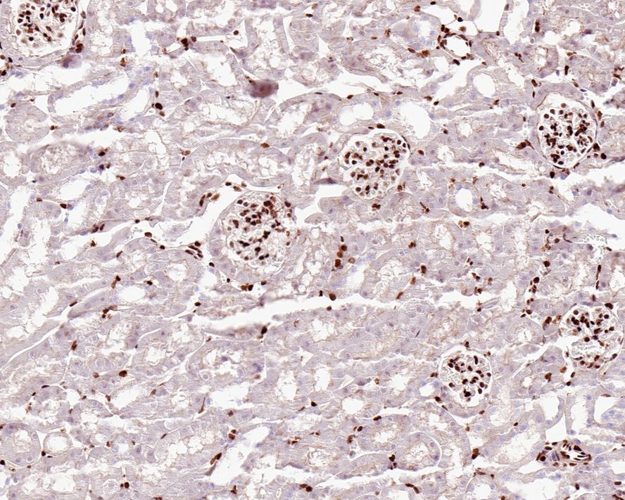
HA750638_3.jpg Fig3: Immunohistochemical analysis of paraffin-embedded human kidney tissue with Rabbit anti-ZEB antibody (HA750638) at 1/1,000 dilution.

The section was pre-treated using heat mediated antigen retrieval with sodium citrate buffer (pH 6.0) (high pressure) for 2 minutes. The tissues were blocked in 1% BSA for 20 minutes at room temperature, washed with ddH2O and PBS, and then probed with the primary antibody (HA750638) at 1/1,000 dilution for 1 hour at room temperature. The detection was performed using an HRP conjugated compact polymer system. DAB was used as the chromogen. Tissues were counterstained with hematoxylin and mounted with DPX.
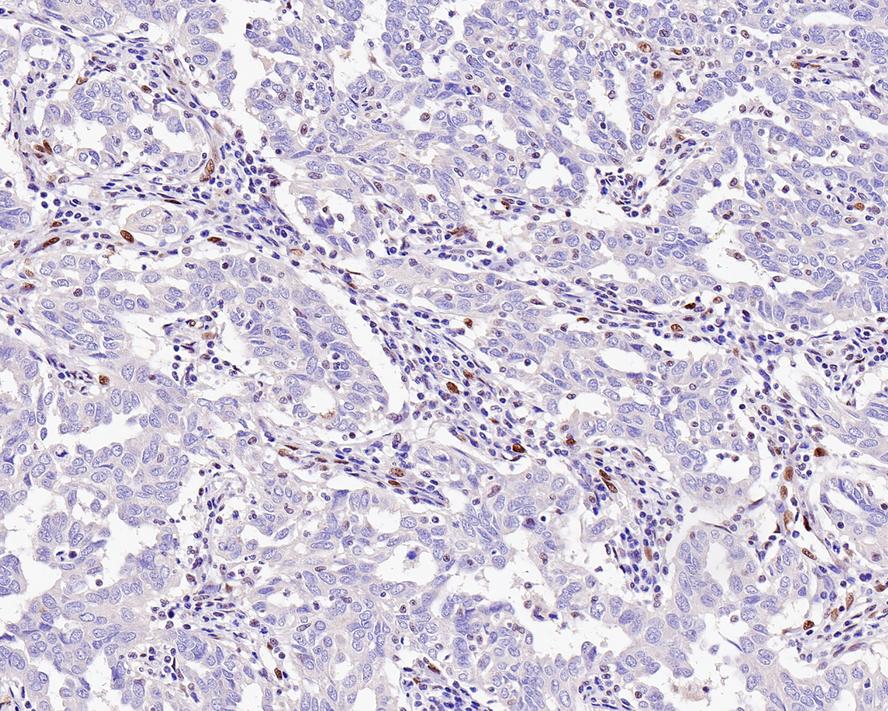
HA750638_4.jpg Fig4: Immunohistochemical analysis of paraffin-embedded human ovary carcinoma tissue with Rabbit anti-ZEB antibody (HA750638) at 1/1,000 dilution.

The section was pre-treated using heat mediated antigen retrieval with sodium citrate buffer (pH 6.0) (high pressure) for 2 minutes. The tissues were blocked in 1% BSA for 20 minutes at room temperature, washed with ddH2O and PBS, and then probed with the primary antibody (HA750638) at 1/1,000 dilution for 1 hour at room temperature. The detection was performed using an HRP conjugated compact polymer system. DAB was used as the chromogen. Tissues were counterstained with hematoxylin and mounted with DPX.
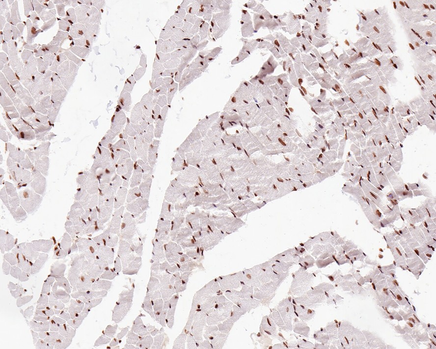
HA750638_5.jpg Fig5: Immunohistochemical analysis of paraffin-embedded mouse heart tissue with Rabbit anti-ZEB antibody (HA750638) at 1/1,000 dilution.

The section was pre-treated using heat mediated antigen retrieval with sodium citrate buffer (pH 6.0) (high pressure) for 2 minutes. The tissues were blocked in 1% BSA for 20 minutes at room temperature, washed with ddH2O and PBS, and then probed with the primary antibody (HA750638) at 1/1,000 dilution for 1 hour at room temperature. The detection was performed using an HRP conjugated compact polymer system. DAB was used as the chromogen. Tissues were counterstained with hematoxylin and mounted with DPX.
HA750638_6.jpg Fig6: Immunohistochemical analysis of paraffin-embedded mouse kidney tissue with Rabbit anti-ZEB antibody (HA750638) at 1/1,000 dilution.

The section was pre-treated using heat mediated antigen retrieval with sodium citrate buffer (pH 6.0) (high pressure) for 2 minutes. The tissues were blocked in 1% BSA for 20 minutes at room temperature, washed with ddH2O and PBS, and then probed with the primary antibody (HA750638) at 1/1,000 dilution for 1 hour at room temperature. The detection was performed using an HRP conjugated compact polymer system. DAB was used as the chromogen. Tissues were counterstained with hematoxylin and mounted with DPX.
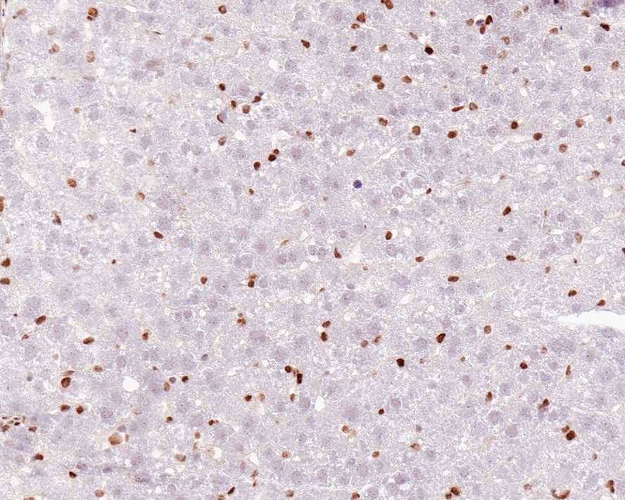
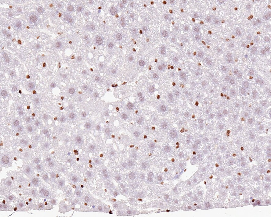
HA750638_7.jpg Fig7: Immunohistochemical analysis of paraffin-embedded mouse liver tissue with Rabbit anti-ZEB antibody (HA750638) at 1/1,000 dilution.

The section was pre-treated using heat mediated antigen retrieval with sodium citrate buffer (pH 6.0) (high pressure) for 2 minutes. The tissues were blocked in 1% BSA for 20 minutes at room temperature, washed with ddH2O and PBS, and then probed with the primary antibody (HA750638) at 1/1,000 dilution for 1 hour at room temperature. The detection was performed using an HRP conjugated compact polymer system. DAB was used as the chromogen. Tissues were counterstained with hematoxylin and mounted with DPX.
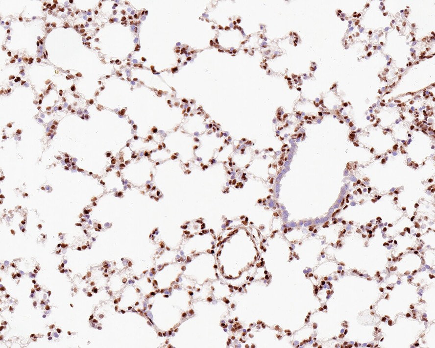
HA750638_8.jpg Fig8: Immunohistochemical analysis of paraffin-embedded mouse lung tissue with Rabbit anti-ZEB antibody (HA750638) at 1/1,000 dilution.

The section was pre-treated using heat mediated antigen retrieval with sodium citrate buffer (pH 6.0) (high pressure) for 2 minutes. The tissues were blocked in 1% BSA for 20 minutes at room temperature, washed with ddH2O and PBS, and then probed with the primary antibody (HA750638) at 1/1,000 dilution for 1 hour at room temperature. The detection was performed using an HRP conjugated compact polymer system. DAB was used as the chromogen. Tissues were counterstained with hematoxylin and mounted with DPX.
HA750638_9.jpg Fig9: Immunohistochemical analysis of paraffin-embedded mouse stomach tissue with Rabbit anti-ZEB antibody (HA750638) at 1/1,000 dilution.

The section was pre-treated using heat mediated antigen retrieval with sodium citrate buffer (pH 6.0) (high pressure) for 2 minutes. The tissues were blocked in 1% BSA for 20 minutes at room temperature, washed with ddH2O and PBS, and then probed with the primary antibody (HA750638) at 1/1,000 dilution for 1 hour at room temperature. The detection was performed using an HRP conjugated compact polymer system. DAB was used as the chromogen. Tissues were counterstained with hematoxylin and mounted with DPX.
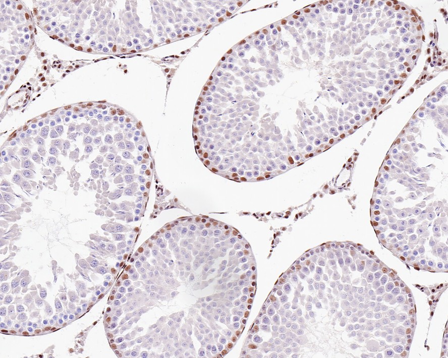
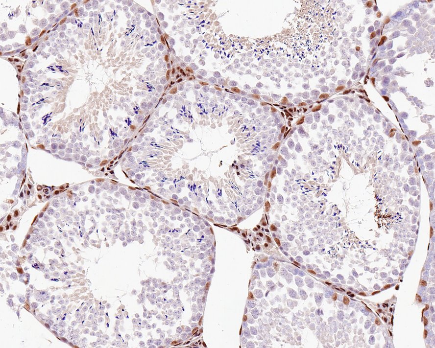
HA750638_10.jpg Fig10: Immunohistochemical analysis of paraffin-embedded mouse testis tissue with Rabbit anti-ZEB antibody (HA750638) at 1/1,000 dilution.

The section was pre-treated using heat mediated antigen retrieval with sodium citrate buffer (pH 6.0) (high pressure) for 2 minutes. The tissues were blocked in 1% BSA for 20 minutes at room temperature, washed with ddH2O and PBS, and then probed with the primary antibody (HA750638) at 1/1,000 dilution for 1 hour at room temperature. The detection was performed using an HRP conjugated compact polymer system. DAB was used as the chromogen. Tissues were counterstained with hematoxylin and mounted with DPX.
HA750638_11.jpg Fig11: Immunohistochemical analysis of paraffin-embedded rat kidney tissue with Rabbit anti-ZEB antibody (HA750638) at 1/1,000 dilution.

The section was pre-treated using heat mediated antigen retrieval with sodium citrate buffer (pH 6.0) (high pressure) for 2 minutes. The tissues were blocked in 1% BSA for 20 minutes at room temperature, washed with ddH2O and PBS, and then probed with the primary antibody (HA750638) at 1/1,000 dilution for 1 hour at room temperature. The detection was performed using an HRP conjugated compact polymer system. DAB was used as the chromogen. Tissues were counterstained with hematoxylin and mounted with DPX.
HA750638_12.jpg Fig12: Immunohistochemical analysis of paraffin-embedded rat liver tissue with Rabbit anti-ZEB antibody (HA750638) at 1/1,000 dilution.

The section was pre-treated using heat mediated antigen retrieval with sodium citrate buffer (pH 6.0) (high pressure) for 2 minutes. The tissues were blocked in 1% BSA for 20 minutes at room temperature, washed with ddH2O and PBS, and then probed with the primary antibody (HA750638) at 1/1,000 dilution for 1 hour at room temperature. The detection was performed using an HRP conjugated compact polymer system. DAB was used as the chromogen. Tissues were counterstained with hematoxylin and mounted with DPX.
HA750638_13.jpg Fig13: Immunohistochemical analysis of paraffin-embedded rat lung tissue with Rabbit anti-ZEB antibody (HA750638) at 1/1,000 dilution.

The section was pre-treated using heat mediated antigen retrieval with sodium citrate buffer (pH 6.0) (high pressure) for 2 minutes. The tissues were blocked in 1% BSA for 20 minutes at room temperature, washed with ddH2O and PBS, and then probed with the primary antibody (HA750638) at 1/1,000 dilution for 1 hour at room temperature. The detection was performed using an HRP conjugated compact polymer system. DAB was used as the chromogen. Tissues were counterstained with hematoxylin and mounted with DPX.
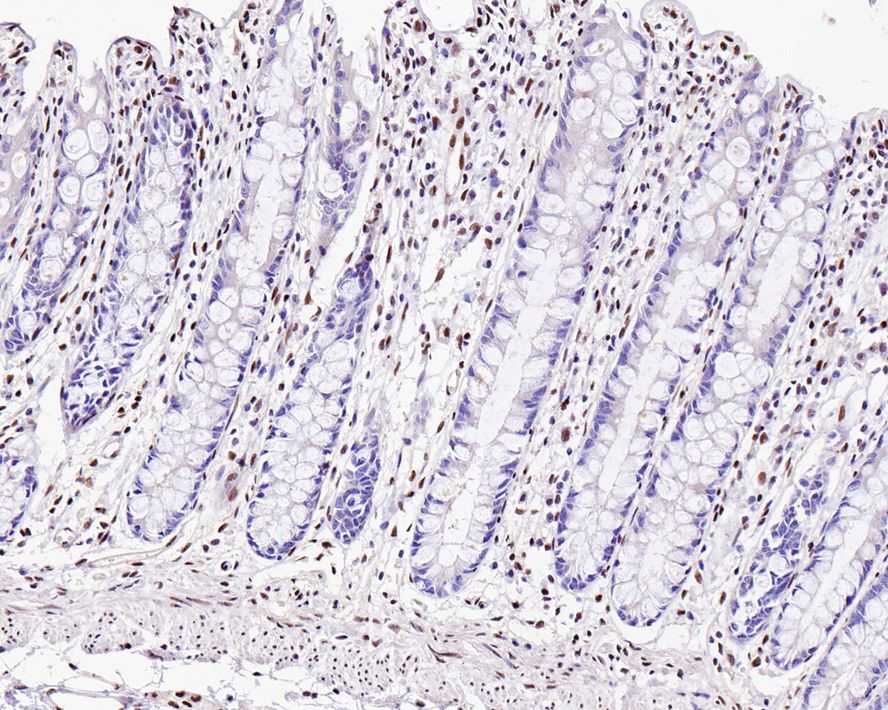
HA750638_14.jpg Fig14: Immunohistochemical analysis of paraffin-embedded rat small intestine tissue with Rabbit anti-ZEB antibody (HA750638) at 1/1,000 dilution.

The section was pre-treated using heat mediated antigen retrieval with sodium citrate buffer (pH 6.0) (high pressure) for 2 minutes. The tissues were blocked in 1% BSA for 20 minutes at room temperature, washed with ddH2O and PBS, and then probed with the primary antibody (HA750638) at 1/1,000 dilution for 1 hour at room temperature. The detection was performed using an HRP conjugated compact polymer system. DAB was used as the chromogen. Tissues were counterstained with hematoxylin and mounted with DPX.
HA750638_15.jpg Fig15: Immunohistochemical analysis of paraffin-embedded rat testis tissue with Rabbit anti-ZEB antibody (HA750638) at 1/1,000 dilution.

The section was pre-treated using heat mediated antigen retrieval with sodium citrate buffer (pH 6.0) (high pressure) for 2 minutes. The tissues were blocked in 1% BSA for 20 minutes at room temperature, washed with ddH2O and PBS, and then probed with the primary antibody (HA750638) at 1/1,000 dilution for 1 hour at room temperature. The detection was performed using an HRP conjugated compact polymer system. DAB was used as the chromogen. Tissues were counterstained with hematoxylin and mounted with DPX.
HA750638_16.jpg Fig16: Flow cytometric analysis of Jurkat cells labeling ZEB.

Cells were fixed and permeabilized. Then stained with the primary antibody (HA750638, 1ug/ml) (red) compared with Rabbit IgG Isotype Control (green). After incubation of the primary antibody at +4℃ for an hour, the cells were stained with a iFluor™ 488 conjugate-Goat anti-Rabbit IgG Secondary antibody (HA1121) at 1/1,000 dilution for 30 minutes at +4℃. Unlabelled sample was used as a control (cells without incubation with primary antibody; black).
Note: All products are “FOR RESEARCH USE ONLY AND ARE NOT INTENDED FOR DIAGNOSTIC OR THERAPEUTIC USE”.