VISTA Recombinant Rabbit Monoclonal Antibody [PSH0-64]
cat.: HA750641
Product Type: Recombinant Rabbit monoclonal IgG, primary antibodies
Species reactivity: Human
Applications: WB, IHC-P, IF-Tissue
Clonality: Monoclonal
Clone number: PSH0-64
Form: Liquid
Storage condition: Store at +4℃ after thawing. Aliquot store at -20℃. Avoid repeated freeze / thaw cycles.
Storage buffer: 1*PBS (pH7.4).
Concentration: 1ug/ul
Purification: Protein A affinity purified.
Molecular weight: Predicted band size: 34 kDa
Isotype: IgG
Immunogen: Recombinant protein within human VISTA aa 1-194 / 311.
Positive control: A431 cell lysate, A375 cell lysate, K-562 cell lysate, TF-1 cell lysate, human lung tissue lysate, human brain tissue, human placenta tissue, human tonsil tissue.
Subcellular location: Cell membrane.
Recommended Dilutions:
  WB
  IHC-P
  IF-Tissue

1:1,000
1:1,000
1:500
Uniprot #: SwissProt: Q9H7M9 Human
Alternative names: B7 H5 B7H5 C10orf54 chromosome 10 open reading frame 54 DD1alpha GI24 GI24_HUMAN PD-1H PDCD1 homolog Platelet receptor Gi24 PP2135 sisp 1 SISP1 stress induced secreted protein 1 UNQ730/PRO1412 V domain Ig suppressor of T cell activation V set domain containing immunoregulatory receptor V set immunoregulatory receptor V type immunoglobulin domain containing suppressor of T cell activation VISTA
Images
HA750641_1.jpg Fig1: Western blot analysis of VISTA on different lysates with Rabbit anti-VISTA antibody (HA750641) at 1/1,000 dilution and competitor's antibody at 1/1,000 dilution.

Lane 1: A431 cell lysate (20 µg/Lane)
Lane 2: A375 cell lysate (20 µg/Lane)
Lane 3: K-562 cell lysate (20 µg/Lane)
Lane 4: TF-1 cell lysate (20 µg/Lane)
Lane 5: MCF7 cell lysate (low expression) (20 µg/Lane)
Lane 6: HEK-293 cell lysate (low expression) (20 µg/Lane)
Lane 7: Human lung tissue lysate (30 µg/Lane)

Predicted band size: 34 kDa
Observed band size: 45-60 kDa (Glycosylated)

Exposure time: 30 seconds; ECL: K1801;

4-20% SDS-PAGE gel.

Proteins were transferred to a PVDF membrane and blocked with 5% NFDM/TBST for 1 hour at room temperature. The primary antibody (HA750641) at 1/1,000 dilution and competitor's antibody at 1/1,000 dilution were used in 5% NFDM/TBST at 4℃ overnight. Goat Anti-Rabbit IgG - HRP Secondary Antibody (HA1001) at 1/50,000 dilution was used for 1 hour at room temperature.
HA750641_2.jpg Fig2: Western blot analysis of VISTA on different lysates with Rabbit anti-VISTA antibody (HA750641) at 1/1,000 dilution.

Lane 1: A431-si NT cell lysate
Lane 2: A431-si VISTA cell lysate

Lysates/proteins at 10 µg/Lane.

Predicted band size: 34 kDa
Observed band size: 45-60 kDa (Glycosylated)

Exposure time: 28 seconds; ECL: K1801;

4-20% SDS-PAGE gel.

Proteins were transferred to a PVDF membrane and blocked with 5% NFDM/TBST for 1 hour at room temperature. The primary antibody (HA750641) at 1/1,000 dilution was used in 5% NFDM/TBST at 4℃ overnight. Goat Anti-Rabbit IgG - HRP Secondary Antibody (HA1001) at 1/50,000 dilution was used for 1 hour at room temperature.
HA750641_3.jpg Fig3: Western blot analysis of VISTA on different lysates with Rabbit anti-VISTA antibody (HA750641) at 1/1,000 dilution.

Lane 1: THP-1 cell lysate
Lane 2: THP-1 cell lysate treated with deglycosylation

Lysates/proteins at 20 µg/Lane.

Predicted band size: 34 kDa
Observed band size: 34/45-60 kDa (Glycosylated)

Exposure time: 40 seconds; ECL: K1801;

4-20% SDS-PAGE gel.

Proteins were transferred to a PVDF membrane and blocked with 5% NFDM/TBST for 1 hour at room temperature. The primary antibody (HA750641) at 1/1,000 dilution was used in 5% NFDM/TBST at 4℃ overnight. Goat Anti-Rabbit IgG - HRP Secondary Antibody (HA1001) at 1/50,000 dilution was used for 1 hour at room temperature.
HA750641_4.jpg Fig4: Immunohistochemical analysis of paraffin-embedded human brain tissue with Rabbit anti-VISTA antibody (HA750641) at 1/1,000 dilution.

The section was pre-treated using heat mediated antigen retrieval with Tris-EDTA buffer (pH 9.0) for 20 minutes. The tissues were blocked in 1% BSA for 20 minutes at room temperature, washed with ddH2O and PBS, and then probed with the primary antibody (HA750641) at 1/1,000 dilution for 1 hour at room temperature. The detection was performed using an HRP conjugated compact polymer system. DAB was used as the chromogen. Tissues were counterstained with hematoxylin and mounted with DPX.
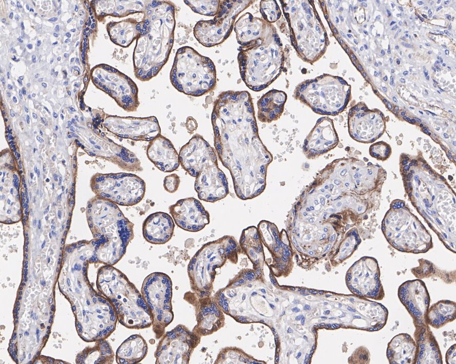
HA750641_5.jpg Fig5: Immunohistochemical analysis of paraffin-embedded human placenta tissue with Rabbit anti-VISTA antibody (HA750641) at 1/1,000 dilution.

The section was pre-treated using heat mediated antigen retrieval with Tris-EDTA buffer (pH 9.0) for 20 minutes. The tissues were blocked in 1% BSA for 20 minutes at room temperature, washed with ddH2O and PBS, and then probed with the primary antibody (HA750641) at 1/1,000 dilution for 1 hour at room temperature. The detection was performed using an HRP conjugated compact polymer system. DAB was used as the chromogen. Tissues were counterstained with hematoxylin and mounted with DPX.
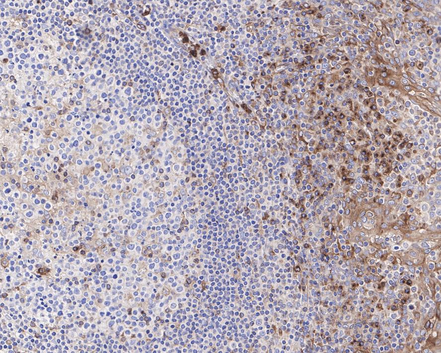
HA750641_6.jpg Fig6: Immunohistochemical analysis of paraffin-embedded human tonsil tissue with Rabbit anti-VISTA antibody (HA750641) at 1/1,000 dilution.

The section was pre-treated using heat mediated antigen retrieval with Tris-EDTA buffer (pH 9.0) for 20 minutes. The tissues were blocked in 1% BSA for 20 minutes at room temperature, washed with ddH2O and PBS, and then probed with the primary antibody (HA750641) at 1/1,000 dilution for 1 hour at room temperature. The detection was performed using an HRP conjugated compact polymer system. DAB was used as the chromogen. Tissues were counterstained with hematoxylin and mounted with DPX.
HA750641_7.jpg Fig7: Application: IF-Tissue

Species: Human

Site: tonsil

Sample: Paraffin-embedded section

Antibody concentration: 1/500
Note: All products are “FOR RESEARCH USE ONLY AND ARE NOT INTENDED FOR DIAGNOSTIC OR THERAPEUTIC USE”.