Ms4a10 Recombinant Rabbit Monoclonal Antibody [PSH0-71]
cat.: HA750650
Product Type: Recombinant Rabbit monoclonal IgG, primary antibodies
Species reactivity: Mouse, Rat
Applications: WB, IHC-P, IF-Tissue
Clonality: Monoclonal
Clone number: PSH0-71
Form: Liquid
Storage condition: Store at +4℃ after thawing. Aliquot store at -20℃. Avoid repeated freeze / thaw cycles.
Storage buffer: 1*PBS (pH7.4).
Concentration: 1ug/ul
Purification: Protein A affinity purified.
Molecular weight: Predicted band size: 29 kDa
Isotype: IgG
Immunogen: Synthetic peptide within mouse Ms4a10 aa 218-267 / 267.
Positive control: Mouse small intestine tissue, rat small intestine tissue.
Subcellular location: Membrane.
Recommended Dilutions:
  WB
  IHC-P
  IF-Tissue

1:1,000
1:100-1:500
1:200
Uniprot #: SwissProt: Q99N03 Mouse | D4A504 Rat
Alternative names: Membrane-spanning 4-domains subfamily A member 10 Ms4a10
Images
HA750650_1.jpg Fig1: Western blot analysis of Ms4a10 on different lysates with Rabbit anti-Ms4a10 antibody (HA750650) at 1/1,000 dilution.

Lane 1: HeLa whole cell lysate
Lane 2: HeLa overexpress mouse Ms4a10 whole cell lysate

Lysates/proteins at 30 µg/Lane.

Predicted band size: 29 kDa
Observed band size: 29/25 kDa

Exposure time: 4 seconds;

4-20% SDS-PAGE gel.

Proteins were transferred to a PVDF membrane and blocked with 5% NFDM/TBST for 1 hour at room temperature. The primary antibody (HA750650) at 1/1,000 dilution was used in 5% NFDM/TBST at room temperature for 2 hours. Goat Anti-Rabbit IgG - HRP Secondary Antibody (HA1001) at 1:100,000 dilution was used for 1 hour at room temperature.
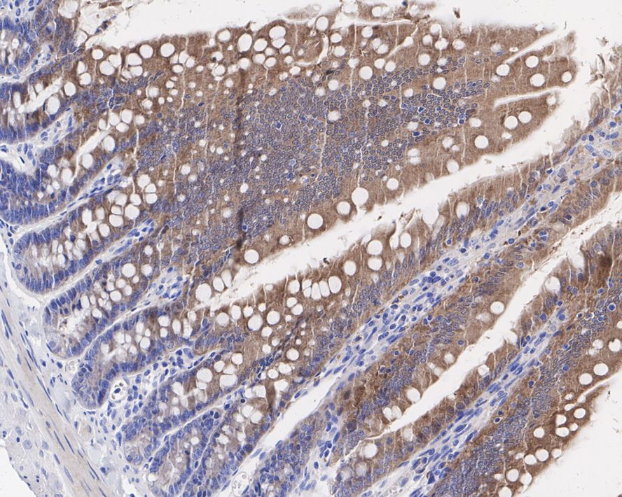
HA750650_2.jpg Fig2: Immunohistochemical analysis of paraffin-embedded mouse small intestine tissue with Rabbit anti-Ms4a10 antibody (HA750650) at 1/100 dilution.

The section was pre-treated using heat mediated antigen retrieval with Tris-EDTA buffer (pH 9.0) for 20 minutes. The tissues were blocked in 1% BSA for 20 minutes at room temperature, washed with ddH2O and PBS, and then probed with the primary antibody (HA750650) at 1/100 dilution for 1 hour at room temperature. The detection was performed using an HRP conjugated compact polymer system. DAB was used as the chromogen. Tissues were counterstained with hematoxylin and mounted with DPX.
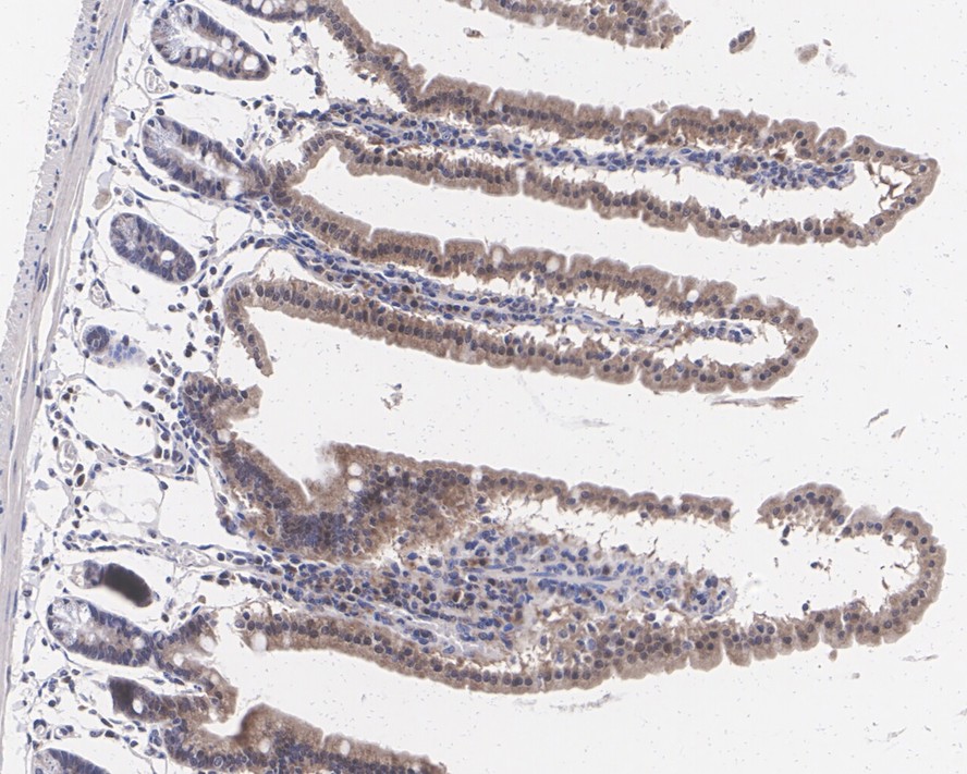
HA750650_3.jpg Fig3: Immunohistochemical analysis of paraffin-embedded rat small intestine tissue with Rabbit anti-Ms4a10 antibody (HA750650) at 1/500 dilution.

The section was pre-treated using heat mediated antigen retrieval with Tris-EDTA buffer (pH 9.0) for 20 minutes. The tissues were blocked in 1% BSA for 20 minutes at room temperature, washed with ddH2O and PBS, and then probed with the primary antibody (HA750650) at 1/500 dilution for 1 hour at room temperature. The detection was performed using an HRP conjugated compact polymer system. DAB was used as the chromogen. Tissues were counterstained with hematoxylin and mounted with DPX.
HA750650_4.jpg Fig4: Immunofluorescence analysis of paraffin-embedded mouse small intestine tissue labeling Ms4a10 with Rabbit anti-Ms4a10 antibody (HA750650) at 1/200 dilution.

The section was pre-treated using heat mediated antigen retrieval with Tris-EDTA buffer (pH 9.0) for 20 minutes. The tissues were blocked in 10% negative goat serum for 1 hour at room temperature, washed with PBS, and then probed with the primary antibody (HA750650, green) at 1/200 dilution overnight at 4 ℃, washed with PBS.

Goat Anti-Rabbit IgG H&L (iFluor™ 488, HA1121) was used as the secondary antibody at 1/1,000 dilution. Nuclei were counterstained with DAPI (blue).
HA750650_5.jpg Fig5: Immunofluorescence analysis of paraffin-embedded rat small intestine tissue labeling Ms4a10 with Rabbit anti-Ms4a10 antibody (HA750650) at 1/200 dilution.

The section was pre-treated using heat mediated antigen retrieval with Tris-EDTA buffer (pH 9.0) for 20 minutes. The tissues were blocked in 10% negative goat serum for 1 hour at room temperature, washed with PBS, and then probed with the primary antibody (HA750650, green) at 1/200 dilution overnight at 4 ℃, washed with PBS.

Goat Anti-Rabbit IgG H&L (iFluor™ 488, HA1121) was used as the secondary antibody at 1/1,000 dilution. Nuclei were counterstained with DAPI (blue).
Note: All products are “FOR RESEARCH USE ONLY AND ARE NOT INTENDED FOR DIAGNOSTIC OR THERAPEUTIC USE”.