NF-L Recombinant Rabbit Monoclonal Antibody [PSH0-77]
cat.: HA750657
Product Type: Recombinant Rabbit monoclonal IgG, primary antibodies
Species reactivity: Human, Mouse, Rat
Applications: WB, IHC-P, IF-Cell, IF-Tissue
Clonality: Monoclonal
Clone number: PSH0-77
Form: Liquid
Storage condition: Store at +4℃ after thawing. Aliquot store at -20℃. Avoid repeated freeze / thaw cycles.
Storage buffer: 1*PBS (pH7.4).
Concentration: 1ug/ul
Purification: Protein A affinity purified.
Molecular weight: Predicted band size: 62 kDa
Isotype: IgG
Immunogen: Recombinant protein.
Positive control: Mouse brain tissue lysate, rat brain tissue lysate, mouse hippocampus tissue lysate, rat hippocampus tissue lysate, human brain tissue, mouse brain tissue, rat cerebellum tissue, SH-SY5Y.
Subcellular location: Cell projection, axon, Cytoplasm, cytoskeleton.
Recommended Dilutions:
  WB
  IHC-P
  IF-Cell
  IF-Tissue

1:1,000
1:2,000
1:200
1:200
Uniprot #: SwissProt: P07196 Human | P08551 Mouse | P19527 Rat
Alternative names: 68 kDa neurofilament protein 68kDa Neurofilament 68kDa neurofilament protein CMT1F CMT2E FLJ53642 Light molecular weight neurofilament protein NEFL Neurofilament light Neurofilament light polypeptide 68kDa Neurofilament light polypeptide Neurofilament protein, light chain Neurofilament subunit NF L Neurofilament triplet L protein NF-L NF68 NFL NFL_HUMAN
Images
HA750657_1.jpg Fig1: Western blot analysis of NF-L on different lysates with Rabbit anti-NF-L antibody (HA750657) at 1/1,000 dilution.

Lane 1: Mouse brain tissue lysate
Lane 2: Rat brain tissue lysate
Lane 3: Mouse hippocampus tissue lysate
Lane 4: Rat hippocampus tissue lysate
Lane 5: Mouse liver tissue lysate (negative)
Lane 6: Rat liver tissue lysate (negative)

Lysates/proteins at 20 µg/Lane.

Predicted band size: 62 kDa
Observed band size: 68 kDa

Exposure time: 3 minutes;

4-20% SDS-PAGE gel.

Proteins were transferred to a PVDF membrane and blocked with 5% NFDM/TBST for 1 hour at room temperature. The primary antibody (HA750657) at 1/1,000 dilution was used in 5% NFDM/TBST at room temperature for 2 hours. Goat Anti-Rabbit IgG - HRP Secondary Antibody (HA1001) at 1/100,000 dilution was used for 1 hour at room temperature.
HA750657_2.jpg Fig2: Immunohistochemical analysis of paraffin-embedded human brain tissue with Rabbit anti-NF-L antibody (HA750657) at 1/2,000 dilution.

The section was pre-treated using heat mediated antigen retrieval with Tris-EDTA buffer (pH 9.0) for 20 minutes. The tissues were blocked in 1% BSA for 20 minutes at room temperature, washed with ddH2O and PBS, and then probed with the primary antibody (HA750657) at 1/2,000 dilution for 1 hour at room temperature. The detection was performed using an HRP conjugated compact polymer system. DAB was used as the chromogen. Tissues were counterstained with hematoxylin and mounted with DPX.
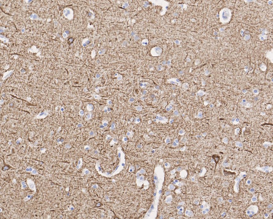
HA750657_3.jpg Fig3: Immunohistochemical analysis of paraffin-embedded mouse brain tissue with Rabbit anti-NF-L antibody (HA750657) at 1/2,000 dilution.

The section was pre-treated using heat mediated antigen retrieval with Tris-EDTA buffer (pH 9.0) for 20 minutes. The tissues were blocked in 1% BSA for 20 minutes at room temperature, washed with ddH2O and PBS, and then probed with the primary antibody (HA750657) at 1/2,000 dilution for 1 hour at room temperature. The detection was performed using an HRP conjugated compact polymer system. DAB was used as the chromogen. Tissues were counterstained with hematoxylin and mounted with DPX.
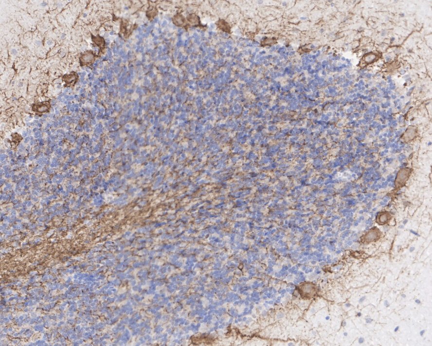
HA750657_4.jpg Fig4: Immunohistochemical analysis of paraffin-embedded rat cerebellum tissue with Rabbit anti-NF-L antibody (HA750657) at 1/2,000 dilution.

The section was pre-treated using heat mediated antigen retrieval with Tris-EDTA buffer (pH 9.0) for 20 minutes. The tissues were blocked in 1% BSA for 20 minutes at room temperature, washed with ddH2O and PBS, and then probed with the primary antibody (HA750657) at 1/2,000 dilution for 1 hour at room temperature. The detection was performed using an HRP conjugated compact polymer system. DAB was used as the chromogen. Tissues were counterstained with hematoxylin and mounted with DPX.
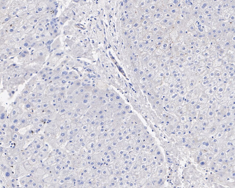
HA750657_5.jpg Fig5: Immunohistochemical analysis of paraffin-embedded human liver tissue (negative) with Rabbit anti-NF-L antibody (HA750657) at 1/2,000 dilution.

The section was pre-treated using heat mediated antigen retrieval with Tris-EDTA buffer (pH 9.0) for 20 minutes. The tissues were blocked in 1% BSA for 20 minutes at room temperature, washed with ddH2O and PBS, and then probed with the primary antibody (HA750657) at 1/2,000 dilution for 1 hour at room temperature. The detection was performed using an HRP conjugated compact polymer system. DAB was used as the chromogen. Tissues were counterstained with hematoxylin and mounted with DPX.
HA750657_6.jpg Fig6: Immunocytochemistry analysis of SH-SY5Y cells labeling NF-L with Rabbit anti-NF-L antibody (HA750657) at 1/200 dilution.

Cells were fixed in 4% paraformaldehyde for 20 minutes at room temperature, permeabilized with 0.1% Triton X-100 in PBS for 5 minutes at room temperature, then blocked with 1% BSA in 10% negative goat serum for 1 hour at room temperature. Cells were then incubated with Rabbit anti-NF-L antibody (HA750657) at 1/200 dilution in 1% BSA in PBST overnight at 4 ℃. Goat Anti-Rabbit IgG H&L (iFluor™ 488, HA1121) was used as the secondary antibody at 1/1,000 dilution. PBS instead of the primary antibody was used as the secondary antibody only control. Nuclear DNA was labelled in blue with DAPI.

Beta tubulin (M1305-2, red) was stained at 1/100 dilution overnight at +4℃. Goat Anti-Mouse IgG H&L (iFluor™ 594, HA1126) was used as the secondary antibody at 1/1,000 dilution.
HA750657_7.jpg Fig7: Immunofluorescence analysis of paraffin-embedded mouse brain tissue labeling NF-L with Rabbit anti-NF-L antibody (HA750657) at 1/200 dilution.

The section was pre-treated using heat mediated antigen retrieval with Tris-EDTA buffer (pH 9.0) for 20 minutes. The tissues were blocked in 10% negative goat serum for 1 hour at room temperature, washed with PBS, and then probed with the primary antibody (HA750657, green) at 1/200 dilution overnight at 4 ℃, washed with PBS.

Goat Anti-Rabbit IgG H&L (iFluor™ 488, HA1121) was used as the secondary antibody at 1/1,000 dilution. Nuclei were counterstained with DAPI (blue).
Note: All products are “FOR RESEARCH USE ONLY AND ARE NOT INTENDED FOR DIAGNOSTIC OR THERAPEUTIC USE”.