CEACAM1 Recombinant Rabbit Monoclonal Antibody [PSH0-78]
cat.: HA750658
Product Type: Recombinant Rabbit monoclonal IgG, primary antibodies
Species reactivity: Human
Applications: WB, IHC-P
Clonality: Monoclonal
Clone number: PSH0-78
Form: Liquid
Storage condition: Store at +4℃ after thawing. Aliquot store at -20℃. Avoid repeated freeze / thaw cycles.
Storage buffer: 1*PBS (pH7.4).
Concentration: 1ug/ul
Purification: Protein A affinity purified.
Molecular weight: Predicted band size: 58 kDa
Isotype: IgG
Immunogen: Recombinant protein within human CEACAM1 aa 35-428 / 526.
Positive control: SW480 cell lysate, A549 cell lysate, human kidney tissue, human liver tissue.
Subcellular location: Cell membrane, Lateral cell membrane, Apical cell membrane, Basal cell membrane, Cell junction, adherens junction.
Recommended Dilutions:
  WB
  IHC-P

1:1,000
1:1,000
Uniprot #: SwissProt: P13688 Human
Alternative names: Antigen CD66 BGP 1 BGP BGP-1 BGPI Biliary glycoprotein 1 Biliary glycoprotein adhesion molecule Biliary glycoprotein Carcinoembryonic antigen related cell adhesion molecule 1 carcinoembryonic antigen-related cell adhesion molecule 1 (biliary glycoprotein) Carcinoembryonic antigen-related cell adhesion molecule 1 CD66a CD66a antigen CEACAM1 CEAM1_HUMAN meconium antigen 100
Images
HA750658_1.jpg Fig1: Western blot analysis of CEACAM1 on different lysates with Rabbit anti-CEACAM1 antibody (HA750658) at 1/1,000 dilution and Mouse anti-6X His-tag antibody (HA600030) at 1/1,000 dilution.

Lane 1: His-tagged human CEACAM-1 recombinant protein aa (aa35-428) 20ng
Lane 2: His-tagged human CEACAM-5 recombinant protein aa (aa35-422) 20ng
Lane 3: His-tagged human CEACAM-6 recombinant protein aa (aa35-326) 20ng
Lane 4: His-tagged human CEACAM-8 recombinant protein aa (aa35-335) 20ng

Exposure time: 1 minute; ECL: K1801;
4-20% SDS-PAGE gel.

Proteins were transferred to a PVDF membrane and blocked with 5% NFDM/TBST for 1 hour at room temperature. The primary antibody (HA750658) at 1/1,000 dilution was used in 5% NFDM/TBST at room temperature for 2 hours. Goat Anti-Rabbit IgG - HRP Secondary Antibody (HA1001) at 1/100,000 dilution was used for 1 hour at room temperature.
HA750658_2.jpg Fig2: Western blot analysis of CEACAM1 on different lysates with Rabbit anti-CEACAM1 antibody (HA750658) at 1/1,000 dilution.

Lane 1: SW480 cell lysate (20 µg/Lane)
Lane 2: SW480 cell lysate (no heat) (20 µg/Lane)
Lane 3: A549 cell lysate (20 µg/Lane)
Lane 4: HeLa cell lysate (no heat) (negative) (20 µg/Lane)
Lane 5: 293T cell lysate (negative) (20 µg/Lane)

Notice: no heat means the lysate is not boiled.

Predicted band size: 58 kDa
Observed band size: 58-150 kDa

Exposure time: 2 minutes;
4-20% SDS-PAGE gel.

Proteins were transferred to a PVDF membrane and blocked with 5% NFDM/TBST for 1 hour at room temperature. The primary antibody (HA750658) at 1/1,000 dilution was used in 5% NFDM/TBST at room temperature for 2 hours. Goat Anti-Rabbit IgG - HRP Secondary Antibody (HA1001) at 1/100,000 dilution was used for 1 hour at room temperature.
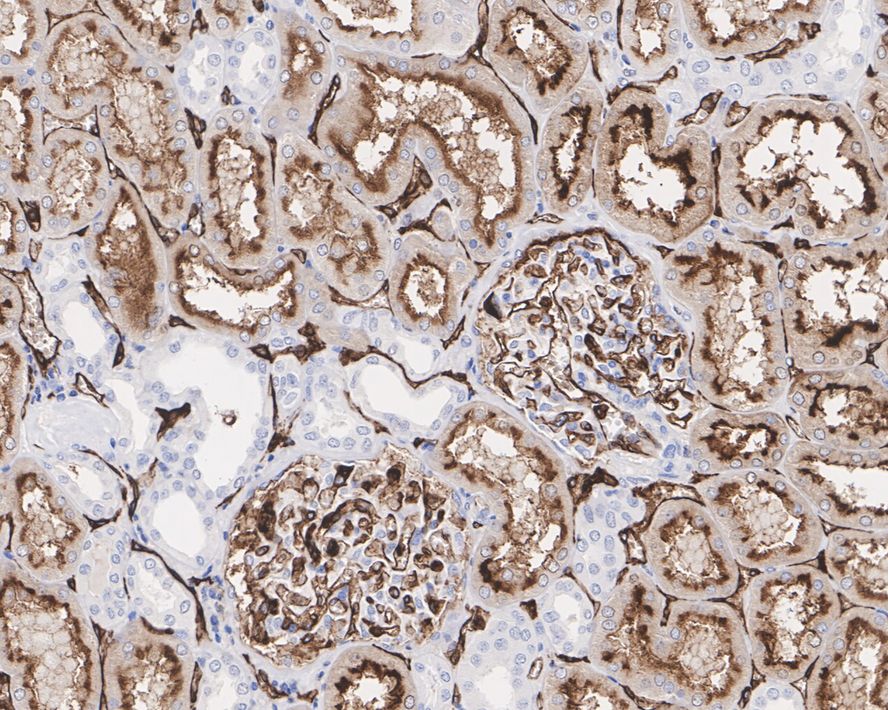
HA750658_3.jpg Fig3: Immunohistochemical analysis of paraffin-embedded human kidney tissue with Rabbit anti-CEACAM1 antibody (HA750658) at 1/1,000 dilution.

The section was pre-treated using heat mediated antigen retrieval with Tris-EDTA buffer (pH 9.0) for 20 minutes. The tissues were blocked in 1% BSA for 20 minutes at room temperature, washed with ddH2O and PBS, and then probed with the primary antibody (HA750658) at 1/1,000 dilution for 1 hour at room temperature. The detection was performed using an HRP conjugated compact polymer system. DAB was used as the chromogen. Tissues were counterstained with hematoxylin and mounted with DPX.
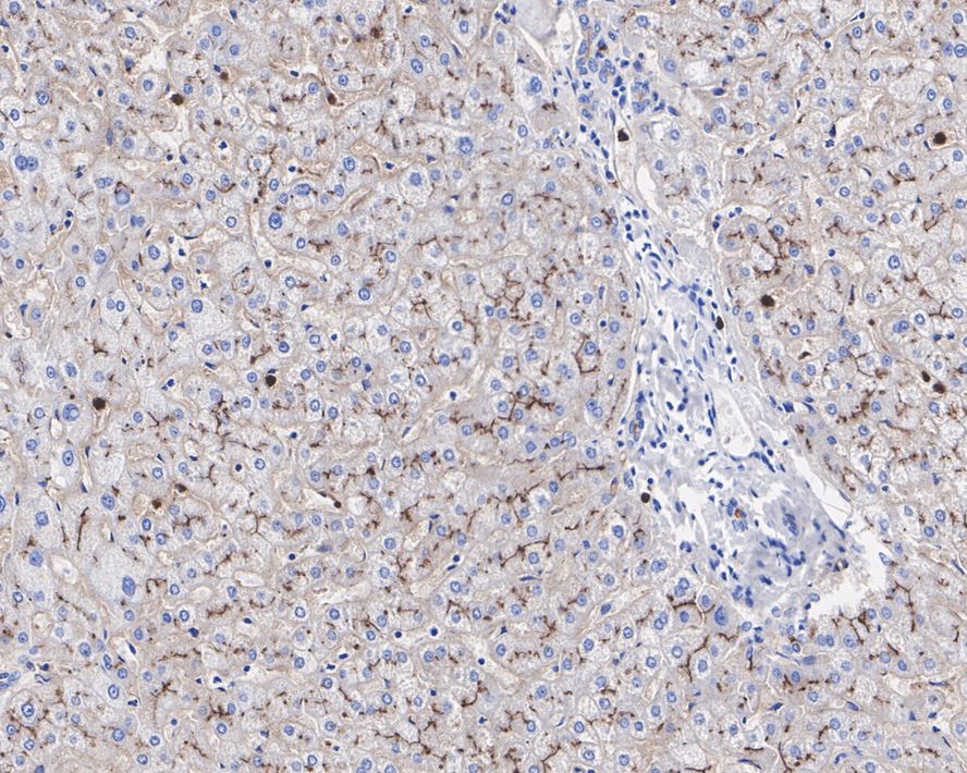
HA750658_4.jpg Fig4: Immunohistochemical analysis of paraffin-embedded human liver tissue with Rabbit anti-CEACAM1 antibody (HA750658) at 1/1,000 dilution.

The section was pre-treated using heat mediated antigen retrieval with Tris-EDTA buffer (pH 9.0) for 20 minutes. The tissues were blocked in 1% BSA for 20 minutes at room temperature, washed with ddH2O and PBS, and then probed with the primary antibody (HA750658) at 1/1,000 dilution for 1 hour at room temperature. The detection was performed using an HRP conjugated compact polymer system. DAB was used as the chromogen. Tissues were counterstained with hematoxylin and mounted with DPX.
Note: All products are “FOR RESEARCH USE ONLY AND ARE NOT INTENDED FOR DIAGNOSTIC OR THERAPEUTIC USE”.