Syntaxin 4 Recombinant Rabbit Monoclonal Antibody [PSH0-80]
cat.: HA750660
Product Type: Recombinant Rabbit monoclonal IgG, primary antibodies
Species reactivity: Human, Mouse, Rat
Applications: WB, IHC-P, IF-Tissue
Clonality: Monoclonal
Clone number: PSH0-80
Form: Liquid
Storage condition: Store at +4℃ after thawing. Aliquot store at -20℃. Avoid repeated freeze / thaw cycles.
Storage buffer: 1*PBS (pH7.4).
Concentration: 1ug/ul
Purification: Protein A affinity purified.
Molecular weight: Predicted band size: 34 kDa
Isotype: IgG
Immunogen: Recombinant protein within human Syntaxin 4 aa 1-275 / 297.
Positive control: 293T cell lysate, HeLa cell lysate, A431 cell lysate, A549 cell lysate, K-562 cell lysate, MCF7 cell lysate, HCT 116 cell lysate, U-87 MG cell lysate, HUVEC cell lysate, NIH/3T3 cell lysate, RAW264.7 cell lysate, PC-12 cell lysate, mouse kidney tissue lysate, rat kidney tissue lysate, human prostate tissue, human skin tissue, human small intestine tissue, mouse small intestine tissue, rat kidney tissue.
Subcellular location: Cell membrane, Cell projection, neuron projection.
Recommended Dilutions:
  WB
  IHC-P
  IF-Tissue

1:1,000
1:1,000
1:200
Uniprot #: SwissProt: Q12846 Human | P70452 Mouse | Q08850 Rat
Alternative names: NY REN 31 antigen p35 2 PLACENTAL Renal carcinoma antigen NY REN 31 Renal carcinoma antigen NY-REN-31 Stx4 STX4_HUMAN STX4A Syntaxin 4 syntaxin 4A (placental) Syntaxin 4A Syntaxin-4
Images
HA750660_1.jpg Fig1: Western blot analysis of Syntaxin 4 on different lysates with Rabbit anti-Syntaxin 4 antibody (HA750660) at 1/1,000 dilution.

Lane 1: 293T cell lysate (20 µg/Lane)
Lane 2: HeLa cell lysate (20 µg/Lane)
Lane 3: A431 cell lysate (20 µg/Lane)
Lane 4: A549 cell lysate (20 µg/Lane)
Lane 5: K-562 cell lysate (20 µg/Lane)
Lane 6: MCF7 cell lysate (20 µg/Lane)
Lane 7: HCT 116 cell lysate (20 µg/Lane)
Lane 8: U-87 MG cell lysate (20 µg/Lane)
Lane 9: HUVEC cell lysate (20 µg/Lane)
Lane 10: NIH/3T3 cell lysate (20 µg/Lane)
Lane 11: RAW264.7 cell lysate (20 µg/Lane)
Lane 12: PC-12 cell lysate (20 µg/Lane)
Lane 13: Mouse kidney tissue lysate (40 µg/Lane)
Lane 14: Rat kidney tissue lysate (40 µg/Lane)

Predicted band size: 34 kDa
Observed band size: 34 kDa

Exposure time: 40 seconds;

4-20% SDS-PAGE gel.

Proteins were transferred to a PVDF membrane and blocked with 5% NFDM/TBST for 1 hour at room temperature. The primary antibody (HA750660) at 1/1,000 dilution was used in 5% NFDM/TBST at room temperature for 2 hours. Goat Anti-Rabbit IgG - HRP Secondary Antibody (HA1001) at 1:100,000 dilution was used for 1 hour at room temperature.
HA750660_2.jpg Fig2: Immunofluorescence analysis of paraffin-embedded mouse small intestine tissue labeling Syntaxin 4 with Rabbit anti-Syntaxin 4 antibody (HA750660) at 1/200 dilution.

The section was pre-treated using heat mediated antigen retrieval with Tris-EDTA buffer (pH 9.0) for 20 minutes. The tissues were blocked in 10% negative goat serum for 1 hour at room temperature, washed with PBS, and then probed with the primary antibody (HA750660, green) at 1/200 dilution overnight at 4 ℃, washed with PBS.

Goat Anti-Rabbit IgG H&L (iFluor™ 488, HA1121) was used as the secondary antibody at 1/1,000 dilution. Nuclei were counterstained with DAPI (blue).
HA750660_3.jpg Fig3: Western blot analysis of Syntaxin 4 on different lysates with Rabbit anti-Syntaxin 4 antibody (HA750660) at 1/5,000 dilution.

Lane 1: HAP1-parental cell lysate
Lane 2: HAP1-Syntaxin 4 KD cell lysate

Lysates/proteins at 10 µg/Lane.

Predicted band size: 34 kDa
Observed band size: 34 kDa

Exposure time: 3 minutes; ECL: K1801;

4-20% SDS-PAGE gel.

Proteins were transferred to a PVDF membrane and blocked with 5% NFDM/TBST for 1 hour at room temperature. The primary antibody (HA750660) at 1/5,000 dilution was used in primary antibody dilution (K1803) at 4℃ overnight. Goat Anti-Rabbit IgG - HRP Secondary Antibody (HA1001) at 1/50,000 dilution was used for 1 hour at room temperature.
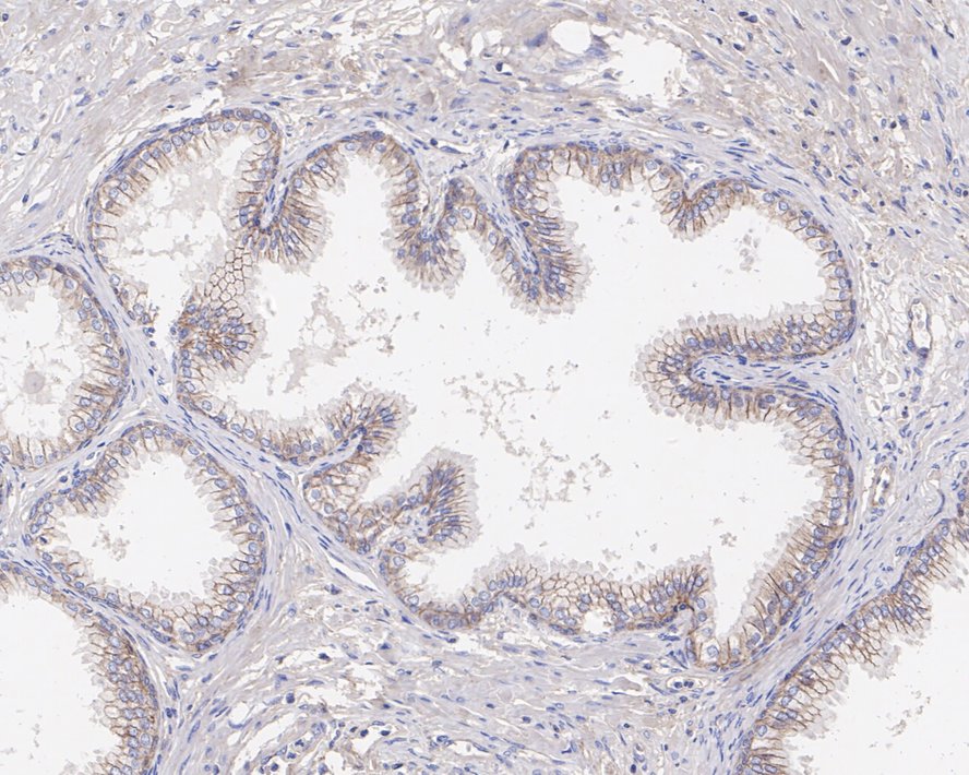
HA750660_4.jpg Fig4: Immunohistochemical analysis of paraffin-embedded human prostate tissue with Rabbit anti-Syntaxin 4 antibody (HA750660) at 1/1,000 dilution.

The section was pre-treated using heat mediated antigen retrieval with Tris-EDTA buffer (pH 9.0) for 20 minutes. The tissues were blocked in 1% BSA for 20 minutes at room temperature, washed with ddH2O and PBS, and then probed with the primary antibody (HA750660) at 1/1,000 dilution for 1 hour at room temperature. The detection was performed using an HRP conjugated compact polymer system. DAB was used as the chromogen. Tissues were counterstained with hematoxylin and mounted with DPX.
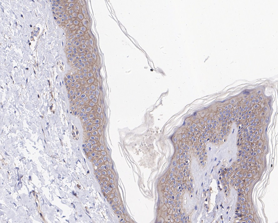
HA750660_5.jpg Fig5: Immunohistochemical analysis of paraffin-embedded human skin tissue with Rabbit anti-Syntaxin 4 antibody (HA750660) at 1/1,000 dilution.

The section was pre-treated using heat mediated antigen retrieval with Tris-EDTA buffer (pH 9.0) for 20 minutes. The tissues were blocked in 1% BSA for 20 minutes at room temperature, washed with ddH2O and PBS, and then probed with the primary antibody (HA750660) at 1/1,000 dilution for 1 hour at room temperature. The detection was performed using an HRP conjugated compact polymer system. DAB was used as the chromogen. Tissues were counterstained with hematoxylin and mounted with DPX.
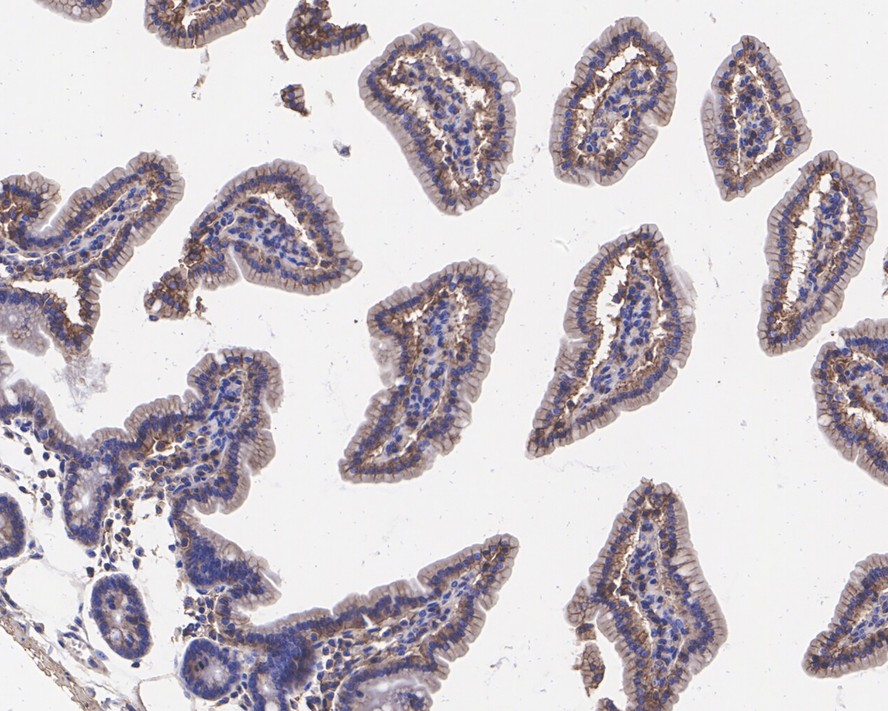
HA750660_6.jpg Fig6: Immunohistochemical analysis of paraffin-embedded human small intestine tissue with Rabbit anti-Syntaxin 4 antibody (HA750660) at 1/1,000 dilution.

The section was pre-treated using heat mediated antigen retrieval with Tris-EDTA buffer (pH 9.0) for 20 minutes. The tissues were blocked in 1% BSA for 20 minutes at room temperature, washed with ddH2O and PBS, and then probed with the primary antibody (HA750660) at 1/1,000 dilution for 1 hour at room temperature. The detection was performed using an HRP conjugated compact polymer system. DAB was used as the chromogen. Tissues were counterstained with hematoxylin and mounted with DPX.
HA750660_7.jpg Fig7: Immunohistochemical analysis of paraffin-embedded mouse small intestine tissue with Rabbit anti-Syntaxin 4 antibody (HA750660) at 1/1,000 dilution.

The section was pre-treated using heat mediated antigen retrieval with Tris-EDTA buffer (pH 9.0) for 20 minutes. The tissues were blocked in 1% BSA for 20 minutes at room temperature, washed with ddH2O and PBS, and then probed with the primary antibody (HA750660) at 1/1,000 dilution for 1 hour at room temperature. The detection was performed using an HRP conjugated compact polymer system. DAB was used as the chromogen. Tissues were counterstained with hematoxylin and mounted with DPX.
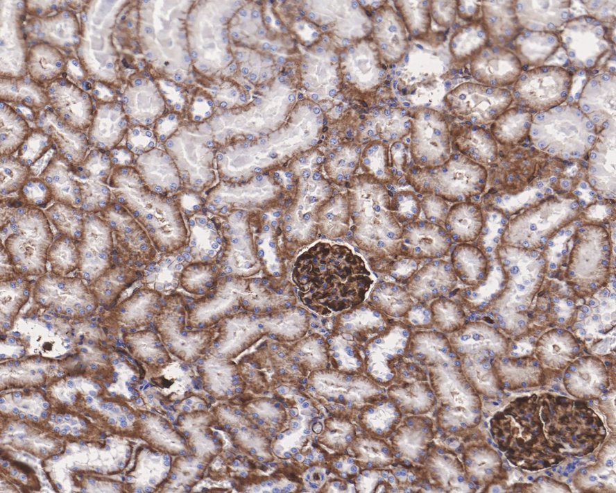
HA750660_8.jpg Fig8: Immunohistochemical analysis of paraffin-embedded rat kidney tissue with Rabbit anti-Syntaxin 4 antibody (HA750660) at 1/1,000 dilution.

The section was pre-treated using heat mediated antigen retrieval with Tris-EDTA buffer (pH 9.0) for 20 minutes. The tissues were blocked in 1% BSA for 20 minutes at room temperature, washed with ddH2O and PBS, and then probed with the primary antibody (HA750660) at 1/1,000 dilution for 1 hour at room temperature. The detection was performed using an HRP conjugated compact polymer system. DAB was used as the chromogen. Tissues were counterstained with hematoxylin and mounted with DPX.
Note: All products are “FOR RESEARCH USE ONLY AND ARE NOT INTENDED FOR DIAGNOSTIC OR THERAPEUTIC USE”.