F4/80 Recombinant Rabbit Monoclonal Antibody [PSH0-85]
cat.: HA750665
Product Type: Recombinant Rabbit monoclonal IgG, primary antibodies
Species reactivity: Mouse, Rat
Applications: WB, IHC-P, IF-Tissue, IHC-Fr
Clonality: Monoclonal
Clone number: PSH0-85
Form: Liquid
Storage condition: Store at +4℃ after thawing. Aliquot store at -20℃. Avoid repeated freeze / thaw cycles.
Storage buffer: 1*PBS (pH7.4).
Concentration: 1ug/ul
Purification: Protein A affinity purified.
Molecular weight: Predicted band size: 102 kDa
Isotype: IgG
Immunogen: Recombinant protein within mouse F4/80 aa 1-650 / 931.
Positive control: Mouse kidney tissue lysate, RAW264.7 cell lysate, Rat kidney tissue lysate, Rat spleen tissue lysate, mouse liver tissue, mouse spleen tissue, rat liver tissue, rat spleen tissue, mouse lung tissue, rat lung tissue.
Subcellular location: Cell membrane.
Recommended Dilutions:
  WB
  IHC-P
  IF-Tissue
  IHC-Fr

1:1,000
1:200-1:1,000
1:500
1:1,000
Uniprot #: SwissProt: Q61549 Mouse | Q5Y4N8 Rat
Alternative names: ADGRE1 Adhesion G protein coupled receptor E1 Adhesion G protein-coupled receptor E1 AGRE1_HUMAN Cell surface glycoprotein EMR1 Cell surface glycoprotein F4/80 DD7A5 7 Egf like module containing mucin like hormone receptor like 1 Egf like module containing mucin like hormone receptor like sequence 1 EGF like module receptor 1 EGF TM7 EGF-like module receptor 1 EGF-like module-containing mucin-like hormone receptor-like 1 EGFTM7 EMR 1 EMR1 EMR1 hormone receptor Gpf480 Ly71 Lymphocyte antigen 71 TM7LN3
Images
HA750665_1.jpg Fig1: Western blot analysis of F4/80 on different lysates with Rabbit anti-F4/80 antibody (HA750665) at 1/1,000 dilution.

Lane 1: Mouse kidney tissue lysate (no heat) (40 µg/Lane)
Lane 2: Mouse kidney tissue lysate (40 µg/Lane)
Lane 3: RAW264.7 cell lysate (no heat) (20 µg/Lane)
Lane 4: Rat kidney tissue lysate (no heat) (40 µg/Lane)

Notice: no heat means the lysate is not boiled.

Predicted band size: 102 kDa
Observed band size: 160 kDa

Exposure time: 59 seconds; ECL: K1801;

4-20% SDS-PAGE gel.

Proteins were transferred to a PVDF membrane and blocked with 5% NFDM/TBST for 1 hour at room temperature. The primary antibody (HA750665) at 1/1,000 dilution was used in primary antibody dilution (K1803) at 4℃ overnight. Goat Anti-Rabbit IgG - HRP Secondary Antibody (HA1001) at 1/50,000 dilution was used for 1 hour at room temperature.
HA750665_2.jpg Fig2: Western blot analysis of F4/80 on different lysates with Rabbit anti-F4/80 antibody (HA750665) at 1/1,000 dilution.

Lane 1: RAW264.7 cell lysate (no heat) (20 µg/Lane)
Lane 2: L929 cell lysate (no heat) (negative) (20 µg/Lane)
Lane 3: Rat spleen tissue lysate (70℃ heat) (40 µg/Lane)

Notice: no heat means the lysate is not boiled.

Predicted band size: 102 kDa
Observed band size: 160 kDa

Exposure time: 2 minutes;

4-20% SDS-PAGE gel.

Proteins were transferred to a PVDF membrane and blocked with 5% NFDM/TBST for 1 hour at room temperature. The primary antibody (HA750665) at 1/1,000 dilution was used in 5% NFDM/TBST at 4℃ overnight. Goat Anti-Rabbit IgG - HRP Secondary Antibody (HA1001) at 1:100,000 dilution was used for 1 hour at room temperature.
HA750665_3.jpg Fig3: Application: IHC-Fr

Species: Mouse

Site: Spleen

Sample: Frozen section

Antibody concentration: 1/1,000 (F4/80, HA750665, rabbit, red); 1/500 (Iba1, HA601376, Chicken, green)

Antigen retrieval: Not required
HA750665_4.jpg Fig4: Application: IHC-Fr

Species: Rat

Site: Spleen

Sample: Frozen section

Antibody concentration: 1/1,000 (F4/80, HA750665, rabbit, red); 1/500 (Iba1, HA601376, Chicken, green)

Antigen retrieval: Not required
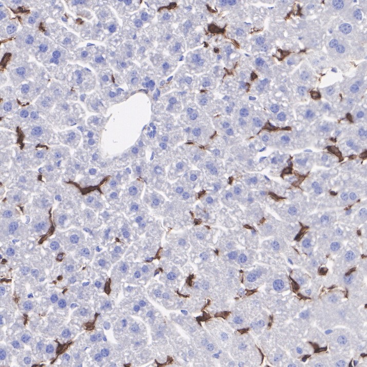
HA750665_5.jpg Fig5: Immunohistochemical analysis of paraffin-embedded mouse liver tissue with Rabbit anti-F4/80 antibody (HA750665) at 1/1,000 dilution.

The section was pre-treated using heat mediated antigen retrieval with Tris-EDTA buffer (pH 9.0) for 20 minutes. The tissues were blocked in 1% BSA for 20 minutes at room temperature, washed with ddH2O and PBS, and then probed with the primary antibody (HA750665) at 1/1,000 dilution for 1 hour at room temperature. The detection was performed using an HRP conjugated compact polymer system. DAB was used as the chromogen. Tissues were counterstained with hematoxylin and mounted with DPX.
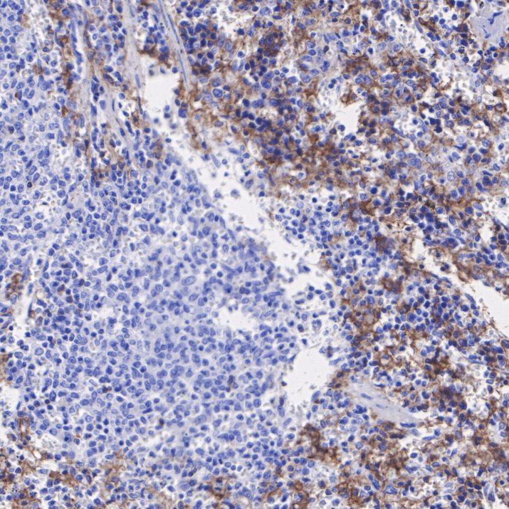
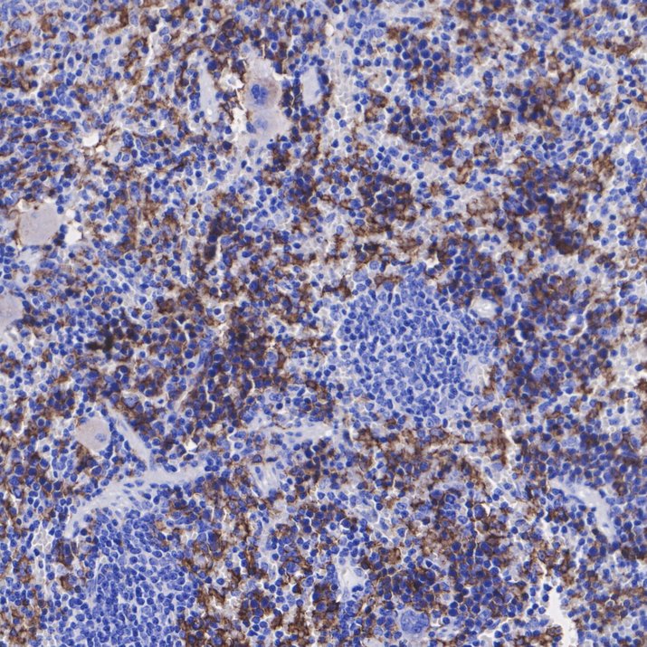
HA750665_6.jpg Fig6: Immunohistochemical analysis of paraffin-embedded mouse spleen tissue with Rabbit anti-F4/80 antibody (HA750665) at 1/1,000 dilution.

The section was pre-treated using heat mediated antigen retrieval with Tris-EDTA buffer (pH 9.0) for 20 minutes. The tissues were blocked in 1% BSA for 20 minutes at room temperature, washed with ddH2O and PBS, and then probed with the primary antibody (HA750665) at 1/1,000 dilution for 1 hour at room temperature. The detection was performed using an HRP conjugated compact polymer system. DAB was used as the chromogen. Tissues were counterstained with hematoxylin and mounted with DPX.
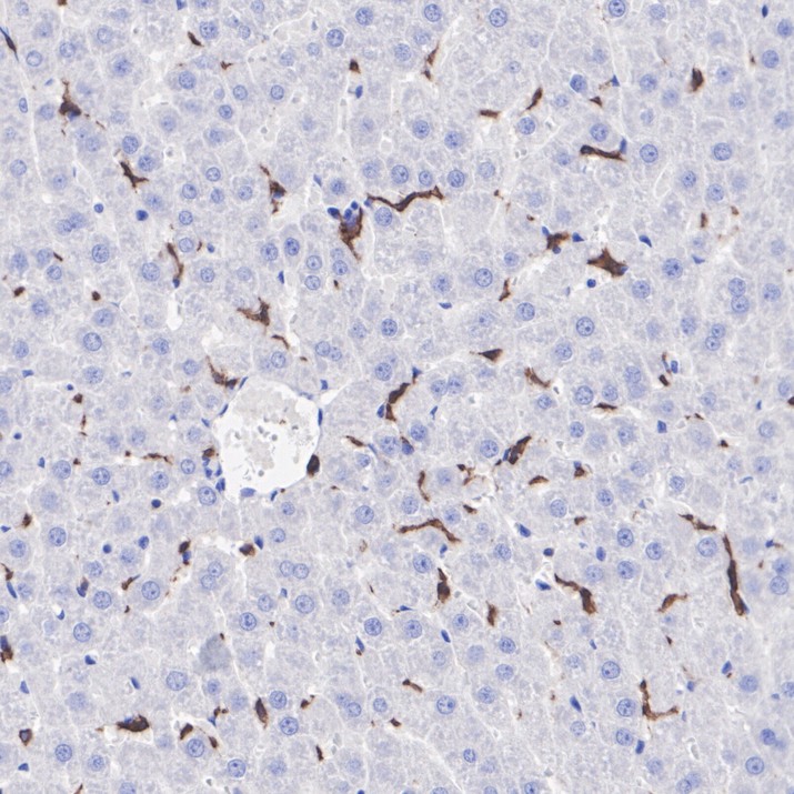
HA750665_7.jpg Fig7: Immunohistochemical analysis of paraffin-embedded rat liver tissue with Rabbit anti-F4/80 antibody (HA750665) at 1/1,000 dilution.

The section was pre-treated using heat mediated antigen retrieval with Tris-EDTA buffer (pH 9.0) for 20 minutes. The tissues were blocked in 1% BSA for 20 minutes at room temperature, washed with ddH2O and PBS, and then probed with the primary antibody (HA750665) at 1/1,000 dilution for 1 hour at room temperature. The detection was performed using an HRP conjugated compact polymer system. DAB was used as the chromogen. Tissues were counterstained with hematoxylin and mounted with DPX.
HA750665_8.jpg Fig8: Immunohistochemical analysis of paraffin-embedded rat spleen tissue with Rabbit anti-F4/80 antibody (HA750665) at 1/1,000 dilution.

The section was pre-treated using heat mediated antigen retrieval with Tris-EDTA buffer (pH 9.0) for 20 minutes. The tissues were blocked in 1% BSA for 20 minutes at room temperature, washed with ddH2O and PBS, and then probed with the primary antibody (HA750665) at 1/1,000 dilution for 1 hour at room temperature. The detection was performed using an HRP conjugated compact polymer system. DAB was used as the chromogen. Tissues were counterstained with hematoxylin and mounted with DPX.
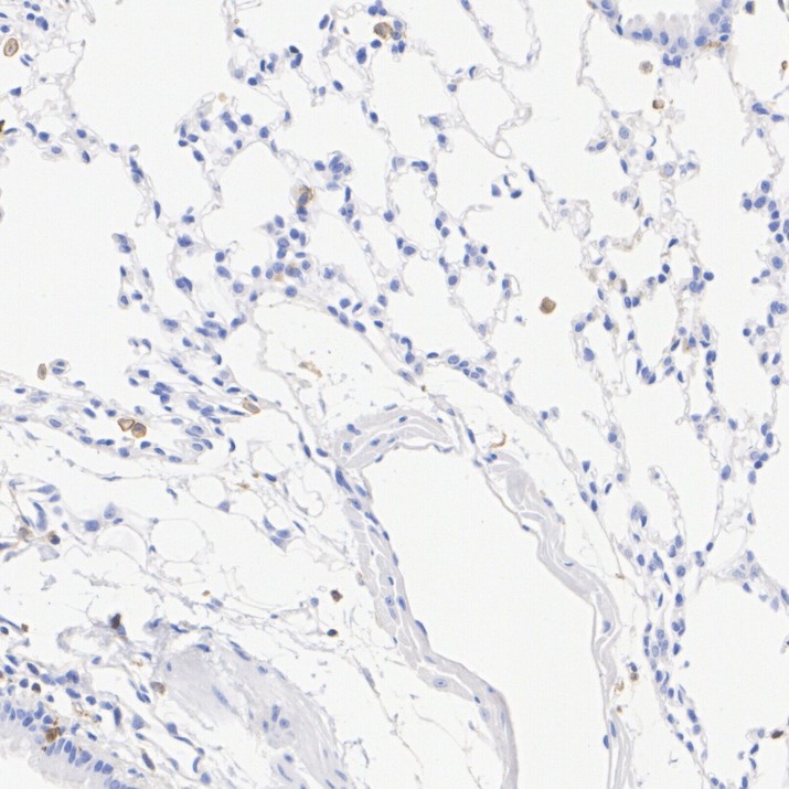
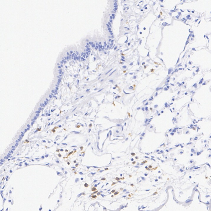
HA750665_9.jpg Fig9: Immunohistochemical analysis of paraffin-embedded mouse lung tissue with Rabbit anti-F4/80 antibody (HA750665) at 1/500 dilution.

The section was pre-treated using heat mediated antigen retrieval with Tris-EDTA buffer (pH 9.0) for 20 minutes. The tissues were blocked in 1% BSA for 20 minutes at room temperature, washed with ddH2O and PBS, and then probed with the primary antibody (HA750665) at 1/500 dilution for 1 hour at room temperature. The detection was performed using an HRP conjugated compact polymer system. DAB was used as the chromogen. Tissues were counterstained with hematoxylin and mounted with DPX.
HA750665_10.jpg Fig10: Immunohistochemical analysis of paraffin-embedded rat lung tissue with Rabbit anti-F4/80 antibody (HA750665) at 1/2,000 dilution.

The section was pre-treated using heat mediated antigen retrieval with Tris-EDTA buffer (pH 9.0) for 20 minutes. The tissues were blocked in 1% BSA for 20 minutes at room temperature, washed with ddH2O and PBS, and then probed with the primary antibody (HA750665) at 1/2,000 dilution for 1 hour at room temperature. The detection was performed using an HRP conjugated compact polymer system. DAB was used as the chromogen. Tissues were counterstained with hematoxylin and mounted with DPX.
HA750665_11.jpg Fig11: Application: IF-tissue

Species: Mouse

Site: Liver

Sample: Paraffin-embedded section

Antibody concentration: 1/500
HA750665_12.jpg Fig12: Application: IF-tissue

Species: Rat

Site: Liver

Sample: Paraffin-embedded section

Antibody concentration: 1/500
HA750665_13.jpg Fig13: Application: IF-tissue

Species: Mouse

Site: spleen

Sample: Paraffin-embedded section

Antibody concentration: 1/500
HA750665_14.jpg Fig14: Application: IF-tissue

Species: Mouse

Site: small intestine

Sample: Paraffin-embedded section

Antibody concentration: 1/500
Note: All products are “FOR RESEARCH USE ONLY AND ARE NOT INTENDED FOR DIAGNOSTIC OR THERAPEUTIC USE”.