Keap1 Recombinant Rabbit Monoclonal Antibody [PSH0-90]
cat.: HA750670
Product Type: Recombinant Rabbit monoclonal IgG, primary antibodies
Species reactivity: Human, Mouse, Rat
Applications: WB, IHC-P, FC, IP
Clonality: Monoclonal
Clone number: PSH0-90
Form: Liquid
Storage condition: Store at +4℃ after thawing. Aliquot store at -20℃. Avoid repeated freeze / thaw cycles.
Storage buffer: 1*PBS (pH7.4).
Concentration: 1ug/ul
Purification: Protein A affinity purified.
Molecular weight: Predicted band size: 70 kDa
Isotype: IgG
Immunogen: Recombinant protein within human Keap1 aa 275-624 / 624.
Positive control: HepG2 cell lysate, HeLa cell lysate, MCF7 cell lysate, A431 cell lysate, Jurkat cell lysate, HEK-293 cell lysate, Daudi cell lysate, A549 cell lysate, NIH/3T3 cell lysate, PC-12 cell lysate, mouse kidney tissue, rat kidney tissue, PC-12.
Subcellular location: Cytoplasm, Nucleus.
Recommended Dilutions:
  WB
  IHC-P
  FC
  IP

1:1,000
1:1,000
1:500-1:1,000
1-2μg/sample
Uniprot #: SwissProt: Q14145 Human | Q9Z2X8 Mouse | P57790 Rat
Alternative names: Cytosolic inhibitor of Nrf2 INrf 2 INrf2 Keap 1 KEAP1 KEAP1_HUMAN Kelch like ECH associated protein 1 Kelch like family member 19 Kelch like protein 19 Kelch-like ECH-associated protein 1 Kelch-like protein 19 KIAA0132 KLHL 19 KLHL19 MGC10630 MGC1114 MGC20887 MGC4407 MGC9454
Images
HA750670_1.jpg Fig1: Western blot analysis of Keap1 on different lysates with Rabbit anti-Keap1 antibody (HA750670) at 1/1,000 dilution.

Lane 1: HepG2 cell lysate
Lane 2: HeLa cell lysate
Lane 3: MCF7 cell lysate
Lane 4: A431 cell lysate
Lane 5: Jurkat cell lysate
Lane 6: HEK-293 cell lysate
Lane 7: Daudi cell lysate
Lane 8: A549 cell lysate
Lane 9: NIH/3T3 cell lysate
Lane 10: PC-12 cell lysate

Lysates/proteins at 20 µg/Lane.

Predicted band size: 70 kDa
Observed band size: 55-70 kDa

Exposure time: 2 minutes;

4-20% SDS-PAGE gel.

Proteins were transferred to a PVDF membrane and blocked with 5% NFDM/TBST for 1 hour at room temperature. The primary antibody (HA750670) at 1/1,000 dilution was used in 5% NFDM/TBST at room temperature for 2 hours. Goat Anti-Rabbit IgG - HRP Secondary Antibody (HA1001) at 1:100,000 dilution was used for 1 hour at room temperature.
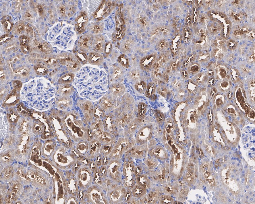
HA750670_2.jpg Fig2: Immunohistochemical analysis of paraffin-embedded mouse kidney tissue with Rabbit anti-Keap1 antibody (HA750670) at 1/1,000 dilution.

The section was pre-treated using heat mediated antigen retrieval with sodium citrate buffer (pH 6.0) (high pressure) for 2 minutes. The tissues were blocked in 1% BSA for 20 minutes at room temperature, washed with ddH2O and PBS, and then probed with the primary antibody (HA750670) at 1/1,000 dilution for 1 hour at room temperature. The detection was performed using an HRP conjugated compact polymer system. DAB was used as the chromogen. Tissues were counterstained with hematoxylin and mounted with DPX.
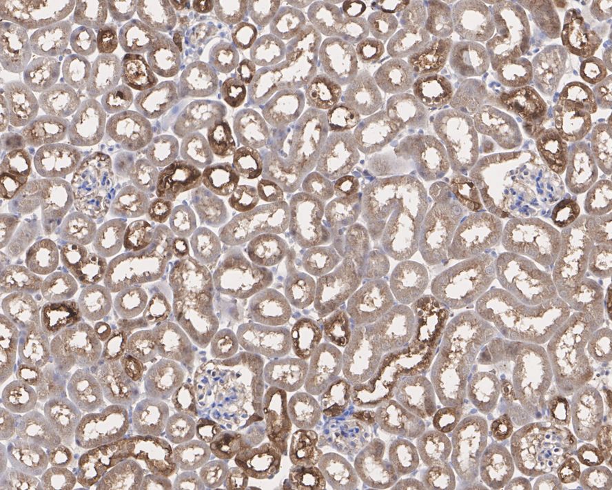
HA750670_3.jpg Fig3: Immunohistochemical analysis of paraffin-embedded rat kidney tissue with Rabbit anti-Keap1 antibody (HA750670) at 1/1,000 dilution.

The section was pre-treated using heat mediated antigen retrieval with sodium citrate buffer (pH 6.0) (high pressure) for 2 minutes. The tissues were blocked in 1% BSA for 20 minutes at room temperature, washed with ddH2O and PBS, and then probed with the primary antibody (HA750670) at 1/1,000 dilution for 1 hour at room temperature. The detection was performed using an HRP conjugated compact polymer system. DAB was used as the chromogen. Tissues were counterstained with hematoxylin and mounted with DPX.
HA750670_4.jpg Fig4: Flow cytometric analysis of PC-12 cells labeling Keap1.

Cells were fixed and permeabilized. Then stained with the primary antibody (HA750670, 1ug/ml) (red) compared with Rabbit IgG Isotype Control (green). After incubation of the primary antibody at +4℃ for an hour, the cells were stained with a iFluor™ 488 conjugate-Goat anti-Rabbit IgG Secondary antibody (HA1121) at 1/1,000 dilution for 30 minutes at +4℃. Unlabelled sample was used as a control (cells without incubation with primary antibody; black).
HA750670_5.jpg Fig5: Western blot analysis of Keap1 on different lysates with Rabbit anti-Keap1 antibody (HA750670) at 1/1,000 dilution.

Lane 1: HepG2-si NT cell lysate
Lane 2: HepG2-si Keap1 cell lysate

Lysates/proteins at 10 µg/Lane.

Predicted band size: 70 kDa
Observed band size: 55-70 kDa

Exposure time: 1 minute 55 seconds;

4-20% SDS-PAGE gel.

Proteins were transferred to a PVDF membrane and blocked with 5% NFDM/TBST for 1 hour at room temperature. The primary antibody (HA750670) at 1/1,000 dilution was used in 5% BSA at 4℃ overnight. Goat Anti-Rabbit IgG - HRP Secondary Antibody (HA1001) at 1/50,000 dilution was used for 1 hour at room temperature.
HA750670_6.jpg Fig6: Keap1 was immunoprecipitated from 0.2 mg HeLa cell lysate with HA750670 at 2 µg/10 µl beads. Western blot was performed from the immunoprecipitate using HA750670 at 1/1,000 dilution. HRP Conjugated Anti-Rabbit IgG for IP Nano-secondary antibody at 1/5,000 dilution was used for 1 hour at room temperature.

Lane 1: HeLa cell lysate (input)
Lane 2: HA750670 IP in HeLa cell lysate
Lane 3: Rabbit IgG instead of HA750670 in HeLa cell lysate

Blocking/Dilution buffer: primary antibody dilution (K1803)
Exposure time: 12 seconds; ECL: K1801
Note: All products are “FOR RESEARCH USE ONLY AND ARE NOT INTENDED FOR DIAGNOSTIC OR THERAPEUTIC USE”.