HCLS1 Recombinant Rabbit Monoclonal Antibody [PSH01-12]
cat.: HA750688
Product Type: Recombinant Rabbit monoclonal IgG, primary antibodies
Species reactivity: Human
Applications: WB, IHC-P, IF-Cell, FC, IF-Tissue
Clonality: Monoclonal
Clone number: PSH01-12
Form: Liquid
Storage condition: Store at +4℃ after thawing. Aliquot store at -20℃. Avoid repeated freeze / thaw cycles.
Storage buffer: 1*PBS (pH7.4).
Concentration: 1ug/ul
Purification: Protein A affinity purified.
Molecular weight: Predicted band size: 54 kDa
Isotype: IgG
Immunogen: Recombinant protein within human HCLS1 aa 201-450 / 486
Positive control: Ramos cell lysate, Daudi cell lysate, Raji cell lysate, Jurkat cell lysate, HL-60 cell lysate, human lung carcinoma tissue, human liver tissue, human brain tissue, HL-60, Jurkat.
Subcellular location: Membrane, Cytoplasm, Mitochondrion.
Recommended Dilutions:
  WB
  IHC-P
  IF-Cell
  FC
  IF-Tissue

1:2,000
1:200-1:5,000
1:100-1:250
1:500-1:1,000
1:1,000
Uniprot #: SwissProt: P14317 Human
Alternative names: Cortactin like CTTNL HCLS 1 Hcls1 HCLS1_HUMAN Hematopoietic cell specific Lyn substrate 1 Hematopoietic cell-specific LYN substrate 1 Hematopoietic lineage cell-specific protein HS 1 HS1 LckBP1 OTTHUMP00000215180 OTTHUMP00000215182 p75
Images
HA750688_1.jpg Fig1: Western blot analysis of HCLS1 on different lysates with Rabbit anti-HCLS1 antibody (HA750688) at 1/2,000 dilution and competitor's antibody at 1/1,000 dilution.

Lane 1: Ramos cell lysate (20 µg/Lane)
Lane 2: Daudi cell lysate (20 µg/Lane)
Lane 3: Raji cell lysate (20 µg/Lane)
Lane 4: Jurkat cell lysate (20 µg/Lane)
Lane 5: HEK-293 cell lysate (negative) (20 µg/Lane)
Lane 6: HL-60 cell lysate (20 µg/Lane)

Predicted band size: 54 kDa
Observed band size: 75 kDa

Exposure time: 42 seconds;

4-20% SDS-PAGE gel.

Proteins were transferred to a PVDF membrane and blocked with 5% NFDM/TBST for 1 hour at room temperature. The primary antibody (HA750688) at 1/2,000 dilution and competitor's antibody at 1/1,000 dilution were used in 5% NFDM/TBST at 4℃ overnight. Goat Anti-Rabbit IgG - HRP Secondary Antibody (HA1001) at 1/50,000 dilution was used for 1 hour at room temperature.
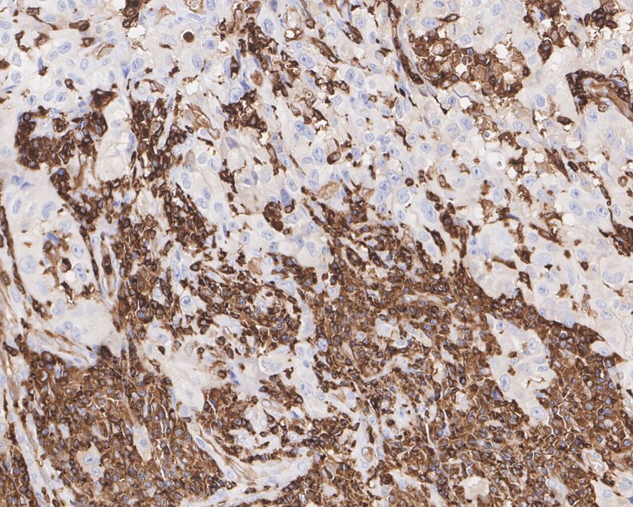
HA750688_2.jpg Fig2: Immunohistochemical analysis of paraffin-embedded human lung carcinoma tissue with Rabbit anti-HCLS1 antibody (HA750688) at 1/5,000 dilution.

The section was pre-treated using heat mediated antigen retrieval with Tris-EDTA buffer (pH 9.0) for 20 minutes. The tissues were blocked in 1% BSA for 20 minutes at room temperature, washed with ddH2O and PBS, and then probed with the primary antibody (HA750688) at 1/5,000 dilution for 1 hour at room temperature. The detection was performed using an HRP conjugated compact polymer system. DAB was used as the chromogen. Tissues were counterstained with hematoxylin and mounted with DPX.
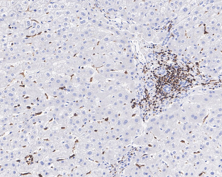
HA750688_3.jpg Fig3: Immunohistochemical analysis of paraffin-embedded human liver tissue with Rabbit anti-HCLS1 antibody (HA750688) at 1/1,000 dilution.

The section was pre-treated using heat mediated antigen retrieval with Tris-EDTA buffer (pH 9.0) for 20 minutes. The tissues were blocked in 1% BSA for 20 minutes at room temperature, washed with ddH2O and PBS, and then probed with the primary antibody (HA750688) at 1/1,000 dilution for 1 hour at room temperature. The detection was performed using an HRP conjugated compact polymer system. DAB was used as the chromogen. Tissues were counterstained with hematoxylin and mounted with DPX.
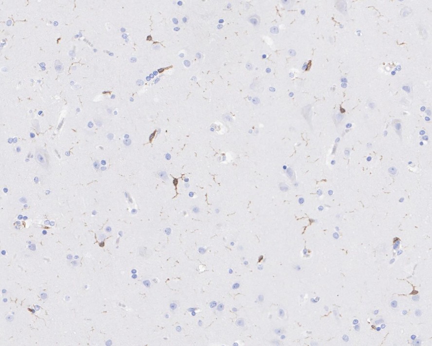
HA750688_4.jpg Fig4: Immunohistochemical analysis of paraffin-embedded human brain tissue with Rabbit anti-HCLS1 antibody (HA750688) at 1/200 dilution.

The section was pre-treated using heat mediated antigen retrieval with Tris-EDTA buffer (pH 9.0) for 20 minutes. The tissues were blocked in 1% BSA for 20 minutes at room temperature, washed with ddH2O and PBS, and then probed with the primary antibody (HA750688) at 1/200 dilution for 1 hour at room temperature. The detection was performed using an HRP conjugated compact polymer system. DAB was used as the chromogen. Tissues were counterstained with hematoxylin and mounted with DPX.
HA750688_5.jpg Fig5: Immunocytochemistry analysis of HL-60 (positive) and HEK-293 (negative) labeling HCLS1 with Rabbit anti-HCLS1 antibody (HA750688) at 1/100 dilution.

Cells were fixed in 4% paraformaldehyde for 20 minutes at room temperature, permeabilized with 0.1% Triton X-100 in PBS for 5 minutes at room temperature, then blocked with 1% BSA in 10% negative goat serum for 1 hour at room temperature. Cells were then incubated with Rabbit anti-HCLS1 antibody (HA750688) at 1/100 dilution in 1% BSA in PBST overnight at 4 ℃. Goat Anti-Rabbit IgG H&L (iFluor™ 488, HA1121) was used as the secondary antibody at 1/1,000 dilution. PBS instead of the primary antibody was used as the secondary antibody only control. Nuclear DNA was labelled in blue with DAPI.

Beta tubulin (M1305-2, red) was stained at 1/100 dilution overnight at +4℃. Goat Anti-Mouse IgG H&L (iFluor™ 594, HA1126) was used as the secondary antibody at 1/1,000 dilution.
HA750688_6.jpg Fig6: Immunocytochemistry analysis of Jurkat (positive) and HEK-293 (negative) labeling HCLS1 with Rabbit anti-HCLS1 antibody (HA750688) at 1/100 dilution.

Cells were fixed in 100% precooled methanol for 5 minutes at room temperature, then blocked with 1% BSA in 10% negative goat serum for 1 hour at room temperature. Cells were then incubated with Rabbit anti-HCLS1 antibody (HA750688) at 1/250 dilution in 1% BSA in PBST overnight at 4 ℃. Goat Anti-Rabbit IgG H&L (iFluor™ 488, HA1121) was used as the secondary antibody at 1/1,000 dilution. PBS instead of the primary antibody was used as the secondary antibody only control. Nuclear DNA was labelled in blue with DAPI.

Beta tubulin (M1305-2, red) was stained at 1/100 dilution overnight at +4℃. Goat Anti-Mouse IgG H&L (iFluor™ 594, HA1126) was used as the secondary antibody at 1/1,000 dilution.
HA750688_7.jpg Fig7: Application: IF-Tissue

Species: Human

Site: lung carcinoma

Sample: Paraffin-embedded section

Antibody concentration: 1/1,000
Note: All products are “FOR RESEARCH USE ONLY AND ARE NOT INTENDED FOR DIAGNOSTIC OR THERAPEUTIC USE”.