TopBP1 Recombinant Rabbit Monoclonal Antibody [PSH01-14]
cat.: HA750690
Product Type: Recombinant Rabbit monoclonal IgG, primary antibodies
Species reactivity: Human
Applications: WB, IHC-P
Clonality: Monoclonal
Clone number: PSH01-14
Form: Liquid
Storage condition: Store at +4℃ after thawing. Aliquot store at -20℃. Avoid repeated freeze / thaw cycles.
Storage buffer: 1*PBS (pH7.4).
Concentration: 1ug/ul
Purification: Protein A affinity purified.
Molecular weight: Predicted band size: 171 kDa
Isotype: IgG
Immunogen: Recombinant protein within human TopBP1 aa 1,201-1,522 / 1,522.
Positive control: HeLa cell lysate, HEK-293 cell lysate, HCT 116 cell lysate, Jurkat cell lysate, K-562 cell lysate, HUVEC cell lysate, human testis tissue.
Subcellular location: Nucleus, Cytoplasm, cytoskeleton, microtubule organizing center, centrosome, spindle pole, Chromosome.
Recommended Dilutions:
  WB
  IHC-P

1:1,000-1:2,000
1:200
Uniprot #: SwissProt: Q92547 Human
Alternative names: DNA topoisomerase 2 binding protein 1 DNA topoisomerase 2-binding protein 1 DNA topoisomerase II binding protein 1 DNA topoisomerase II binding protein DNA topoisomerase II-beta-binding protein 1 DNA topoisomerase II-binding protein 1 DNA topoisomerase IIbeta binding protein 1 Hypothetical protein KIAA0259 [Fragment] KIAA0259 TOP2BP1 TOPB1_HUMAN TOPBP 1 TopBP1 Topoisomerase (DNA) II binding protein 1 Topoisomerase II binding protein 1
Images
HA750690_1.jpg Fig1: Western blot analysis of TopBP1 on different lysates with Rabbit anti-TopBP1 antibody (HA750690) at 1/1,000 dilution.

Lane 1: HeLa cell lysate
Lane 2: HEK-293 cell lysate
Lane 3: HCT 116 cell lysate
Lane 4: Jurkat cell lysate
Lane 5: K-562 cell lysate
Lane 6: HUVEC cell lysate

Lysates/proteins at 20 µg/Lane.

Predicted band size: 171 kDa
Observed band size: 171 kDa

Exposure time: 3 minutes 10 seconds;

4-20% SDS-PAGE gel.

Proteins were transferred to a PVDF membrane and blocked with 5% NFDM/TBST for 1 hour at room temperature. The primary antibody (HA750690) at 1/1,000 dilution was used in 5% NFDM/TBST at room temperature for 2 hours. Goat Anti-Rabbit IgG - HRP Secondary Antibody (HA1001) at 1:100,000 dilution was used for 1 hour at room temperature.
HA750690_2.jpg Fig2: Western blot analysis of TopBP1 on different lysates with Rabbit anti-TopBP1 antibody (HA750690) at 1/2,000 dilution.

Lane 1: HEK-293-si NT cell lysate
Lane 2: HEK-293-si TopBP1 cell lysate

Lysates/proteins at 10 µg/Lane.

Predicted band size: 171 kDa
Observed band size: 171 kDa

Exposure time: 58 seconds;

4-20% SDS-PAGE gel.

Proteins were transferred to a PVDF membrane and blocked with 5% NFDM/TBST for 1 hour at room temperature. The primary antibody (HA750690) at 1/2,000 dilution was used in 5% NFDM/TBST at 4℃ overnight. Goat Anti-Rabbit IgG - HRP Secondary Antibody (HA1001) at 1/100,000 dilution was used for 1 hour at room temperature.
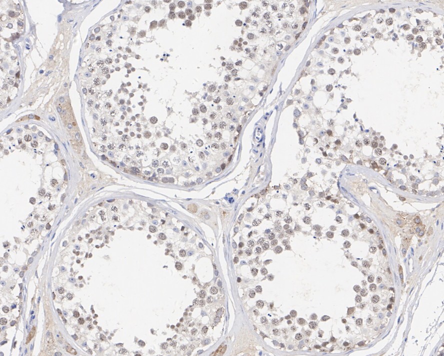
HA750690_3.jpg Fig3: Immunohistochemical analysis of paraffin-embedded human testis tissue with Rabbit anti-TopBP1 antibody (HA750690) at 1/200 dilution.

The section was pre-treated using heat mediated antigen retrieval with sodium citrate buffer (pH 6.0) (high pressure) for 2 minutes. The tissues were blocked in 1% BSA for 20 minutes at room temperature, washed with ddH2O and PBS, and then probed with the primary antibody (HA750690) at 1/200 dilution for 1 hour at room temperature. The detection was performed using an HRP conjugated compact polymer system. DAB was used as the chromogen. Tissues were counterstained with hematoxylin and mounted with DPX.
Note: All products are “FOR RESEARCH USE ONLY AND ARE NOT INTENDED FOR DIAGNOSTIC OR THERAPEUTIC USE”.