SMARCA2 Recombinant Rabbit Monoclonal Antibody [PSH01-15]
cat.: HA750691
Product Type: Recombinant Rabbit monoclonal IgG, primary antibodies
Species reactivity: Human, Monkey
Applications: WB, IHC-P, FC
Clonality: Monoclonal
Clone number: PSH01-15
Form: Liquid
Storage condition: Store at +4℃ after thawing. Aliquot store at -20℃. Avoid repeated freeze / thaw cycles.
Storage buffer: 1*PBS (pH7.4).
Concentration: 1ug/ul
Purification: Protein A affinity purified.
Molecular weight: Predicted band size: 181 kDa
Isotype: IgG
Immunogen: Synthetic peptide within human SMARCA2 aa 231-280 / 1,590.
Positive control: HeLa cell lysate, HepG2 cell lysate, A549 cell lysate, MCF7 cell lysate, COS-1 cell lysate, human colon carcinoma tissue, human prostate carcinoma tissue, MCF7.
Subcellular location: Nucleus.
Recommended Dilutions:
  WB
  IHC-P
  FC

1:1,000
1:200
1:1,000
Uniprot #: SwissProt: P51531 Human
Alternative names: ATP dependent helicase SMARCA2 ATP-dependent helicase SMARCA2 BAF190 BAF190B BRG1-associated factor 190B BRM FLJ36757 Global transcription activator homologous sequence hBRM hSNF2a MGC74511 Possible global transcription activator SNF2L2 Probable global transcription activator SNF2L2 Protein brahma homolog SMARCA2 SMCA2_HUMAN SNF2 alpha SNF2 like 2 SNF2-alpha SNF2/SWI2 like protein 2 SNF2L2 SNF2LA Sth1p Sucrose nonfermenting 2 like protein 2 SWI/SNF related matrix associated actin dependent regulator of chromatin subfamily A member 2 SWI/SNF-related matrix-associated actin-dependent regulator of chromatin subfamily A member 2
Images
HA750691_1.jpg Fig1: Western blot analysis of SMARCA2 on different lysates with Rabbit anti-SMARCA2 antibody (HA750691) at 1/1,000 dilution.

Lane 1: HeLa cell lysate
Lane 2: HepG2 cell lysate
Lane 3: A549 cell lysate
Lane 4: MCF7 cell lysate
Lane 5: COS-1 cell lysate
Lane 6: NCCIT cell lysate (low expression)

Lysates/proteins at 30 µg/Lane.

Predicted band size: 181 kDa
Observed band size: 200 kDa

Exposure time: 3 minutes 10 seconds;

4-20% SDS-PAGE gel.

Proteins were transferred to a PVDF membrane and blocked with 5% NFDM/TBST for 1 hour at room temperature. The primary antibody (HA750691) at 1/1,000 dilution was used in 5% NFDM/TBST at room temperature for 2 hours. Goat Anti-Rabbit IgG - HRP Secondary Antibody (HA1001) at 1:100,000 dilution was used for 1 hour at room temperature.
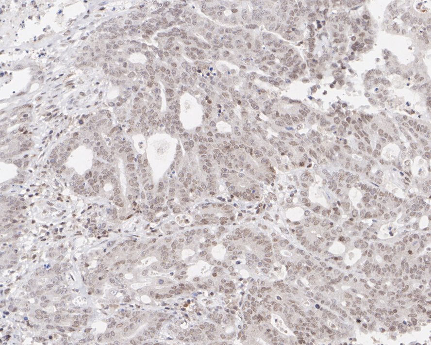
HA750691_2.jpg Fig2: Immunohistochemical analysis of paraffin-embedded human colon carcinoma tissue with Rabbit anti-SMARCA2 antibody (HA750691) at 1/200 dilution.

The section was pre-treated using heat mediated antigen retrieval with sodium citrate buffer (pH 6.0) (high pressure) for 2 minutes. The tissues were blocked in 1% BSA for 20 minutes at room temperature, washed with ddH2O and PBS, and then probed with the primary antibody (HA750691) at 1/200 dilution for 1 hour at room temperature. The detection was performed using an HRP conjugated compact polymer system. DAB was used as the chromogen. Tissues were counterstained with hematoxylin and mounted with DPX.
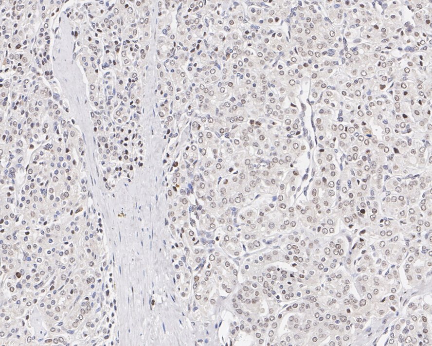
HA750691_3.jpg Fig3: Immunohistochemical analysis of paraffin-embedded human prostate carcinoma tissue with Rabbit anti-SMARCA2 antibody (HA750691) at 1/200 dilution.

The section was pre-treated using heat mediated antigen retrieval with sodium citrate buffer (pH 6.0) (high pressure) for 2 minutes. The tissues were blocked in 1% BSA for 20 minutes at room temperature, washed with ddH2O and PBS, and then probed with the primary antibody (HA750691) at 1/200 dilution for 1 hour at room temperature. The detection was performed using an HRP conjugated compact polymer system. DAB was used as the chromogen. Tissues were counterstained with hematoxylin and mounted with DPX.
HA750691_4.jpg Fig4: Flow cytometric analysis of MCF7 cells labeling SMARCA2.

Cells were fixed and permeabilized. Then stained with the primary antibody (HA750691, 1μg/mL) (red) compared with Rabbit IgG Isotype Control (green). After incubation of the primary antibody at +4℃ for an hour, the cells were stained with a iFluor™ 488 conjugate-Goat anti-Rabbit IgG Secondary antibody (HA1121) at 1/1,000 dilution for 30 minutes at +4℃. Unlabelled sample was used as a control (cells without incubation with primary antibody; black).
Note: All products are “FOR RESEARCH USE ONLY AND ARE NOT INTENDED FOR DIAGNOSTIC OR THERAPEUTIC USE”.