ALKBH5 Recombinant Rabbit Monoclonal Antibody [PSH01-16]
cat.: HA750692
Product Type: Recombinant Rabbit monoclonal IgG, primary antibodies
Species reactivity: Human, Mouse, Rat
Applications: WB, IHC-P
Clonality: Monoclonal
Clone number: PSH01-16
Form: Liquid
Storage condition: Store at +4℃ after thawing. Aliquot store at -20℃. Avoid repeated freeze / thaw cycles.
Storage buffer: 1*PBS (pH7.4).
Concentration: 1ug/ul
Purification: Protein A affinity purified.
Molecular weight: Predicted band size: 44 kDa
Isotype: IgG
Immunogen: Recombinant protein within human ALKBH5 aa 51-350 / 394.
Positive control: HEK-293 cell lysate, Jurkat cell lysate, HeLa cell lysate, HepG2 cell lysate, MCF7 cell lysate, F9 cell lysate, PC-12 cell lysate, rat testis tissue lysate, mouse testis tissue, rat testis tissue.
Subcellular location: Nucleus speckle.
Recommended Dilutions:
  WB
  IHC-P

1:1,000
1:1,000-1:2,000
Uniprot #: SwissProt: Q6P6C2 Human | Q3TSG4 Mouse | D3ZKD3 Rat
Alternative names: ABH5 AlkB, alkylation repair homolog 5 (E. coli) AlkB, alkylation repair homolog 5 Alkylated DNA repair protein alkB homolog 5 Alpha ketoglutarate dependent dioxygenase alkB homolog 5 OFOXD OFOXD1 Oxoglutarate and iron-dependent oxygenase domain containing Probable alpha ketoglutarate dependent dioxygenase ABH5 RNA demethylase ALKBH5
Images
HA750692_1.jpg Fig1: Western blot analysis of ALKBH5 on different lysates with Rabbit anti-ALKBH5 antibody (HA750692) at 1/1,000 dilution.

Lane 1: HEK-293 cell lysate (20 µg/Lane)
Lane 2: Jurkat cell lysate (20 µg/Lane)
Lane 3: HeLa cell lysate (20 µg/Lane)
Lane 4: HepG2 cell lysate (20 µg/Lane)
Lane 5: MCF7 cell lysate (20 µg/Lane)
Lane 6: F9 cell lysate (20 µg/Lane)
Lane 7: PC-12 cell lysate (20 µg/Lane)
Lane 8: Rat testis tissue lysate (40 µg/Lane)

Predicted band size: 44 kDa
Observed band size: 35~44 kDa

Exposure time: 30 seconds;

4-20% SDS-PAGE gel.

Proteins were transferred to a PVDF membrane and blocked with 5% NFDM/TBST for 1 hour at room temperature. The primary antibody (HA750692) at 1/1,000 dilution was used in 5% NFDM/TBST at room temperature for 2 hours. Goat Anti-Rabbit IgG - HRP Secondary Antibody (HA1001) at 1:100,000 dilution was used for 1 hour at room temperature.
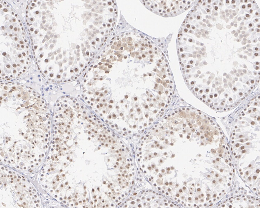
HA750692_2.jpg Fig2: Immunohistochemical analysis of paraffin-embedded mouse testis tissue with Rabbit anti-ALKBH5 antibody (HA750692) at 1/2,000 dilution.

The section was pre-treated using heat mediated antigen retrieval with sodium citrate buffer (pH 6.0) (high pressure) for 2 minutes. The tissues were blocked in 1% BSA for 20 minutes at room temperature, washed with ddH2O and PBS, and then probed with the primary antibody (HA750692) at 1/2,000 dilution for 1 hour at room temperature. The detection was performed using an HRP conjugated compact polymer system. DAB was used as the chromogen. Tissues were counterstained with hematoxylin and mounted with DPX.
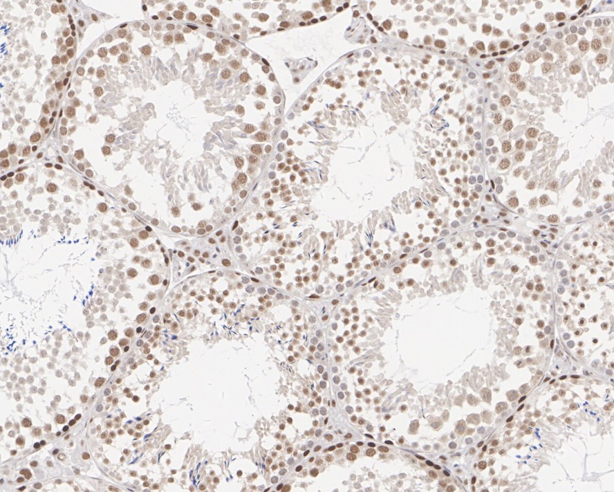
HA750692_3.jpg Fig3: Immunohistochemical analysis of paraffin-embedded rat testis tissue with Rabbit anti-ALKBH5 antibody (HA750692) at 1/1,000 dilution.

The section was pre-treated using heat mediated antigen retrieval with sodium citrate buffer (pH 6.0) (high pressure) for 2 minutes. The tissues were blocked in 1% BSA for 20 minutes at room temperature, washed with ddH2O and PBS, and then probed with the primary antibody (HA750692) at 1/1,000 dilution for 1 hour at room temperature. The detection was performed using an HRP conjugated compact polymer system. DAB was used as the chromogen. Tissues were counterstained with hematoxylin and mounted with DPX.
Note: All products are “FOR RESEARCH USE ONLY AND ARE NOT INTENDED FOR DIAGNOSTIC OR THERAPEUTIC USE”.