MSI2 Recombinant Rabbit Monoclonal Antibody [PSH01-17]
cat.: HA750693
Product Type: Recombinant Rabbit monoclonal IgG, primary antibodies
Species reactivity: Human, Mouse, Rat
Applications: WB, IHC-P, IF-Cell, IP
Clonality: Monoclonal
Clone number: PSH01-17
Form: Liquid
Storage condition: Store at +4℃ after thawing. Aliquot store at -20℃. Avoid repeated freeze / thaw cycles.
Storage buffer: 1*PBS (pH7.4).
Concentration: 1ug/ul
Purification: Protein A affinity purified.
Molecular weight: Predicted band size: 35 kDa
Isotype: IgG
Immunogen: Recombinant protein within human MSI2 aa 1-185 / 328.
Positive control: PC-12 cell lysate, K-562 cell lysate, human placenta tissue lysate, mouse brain tissue lysate, rat brain tissue lysate, rat testis tissue lysate, mouse brain tissue, rat brain tissue, HeLa.
Subcellular location: Cytoplasm.
Recommended Dilutions:
  WB
  IHC-P
  IF-Cell
  IP

1:1,000
1:1,000
1:100
1-2μg/sample
Uniprot #: SwissProt: Q96DH6 Human | Q920Q6 Mouse
Entrez Gene: 360596 Rat
Alternative names: FLJ36569 MGC3245 Msi2 MSI2/HOXA9 fusion gene, included MSI2H MSI2H_HUMAN Musashi 2 Musashi homolog 2 Musashi RNA binding protein 2 Musashi, Drosophila, homolog of, 2 Musashi-2 RNA binding protein Musashi homolog 2 RNA-binding protein Musashi homolog 2 WD 40 repeat protein MSI2
Images
HA750693_1.jpg Fig1: Western blot analysis of MSI2 on different lysates with Rabbit anti-MSI2 antibody (HA750693) at 1/1,000 dilution.

Lane 1: PC-12 cell lysate (20 µg/Lane)
Lane 2: K-562 cell lysate (20 µg/Lane)
Lane 3: Human placenta tissue lysate (40 µg/Lane)
Lane 4: Mouse brain tissue lysate (40 µg/Lane)
Lane 5: Rat brain tissue lysate (40 µg/Lane)
Lane 6: Rat testis tissue lysate (40 µg/Lane)

Predicted band size: 35 kDa
Observed band size: 35/37 kDa
Exposure time: 3 minutes;
4-20% SDS-PAGE gel.

Proteins were transferred to a PVDF membrane and blocked with 5% NFDM/TBST for 1 hour at room temperature. The primary antibody (HA750693) at 1/1,000 dilution was used in 5% NFDM/TBST at room temperature for 2 hours. Goat Anti-Rabbit IgG - HRP Secondary Antibody (HA1001) at 1:200,000 dilution was used for 1 hour at room temperature.
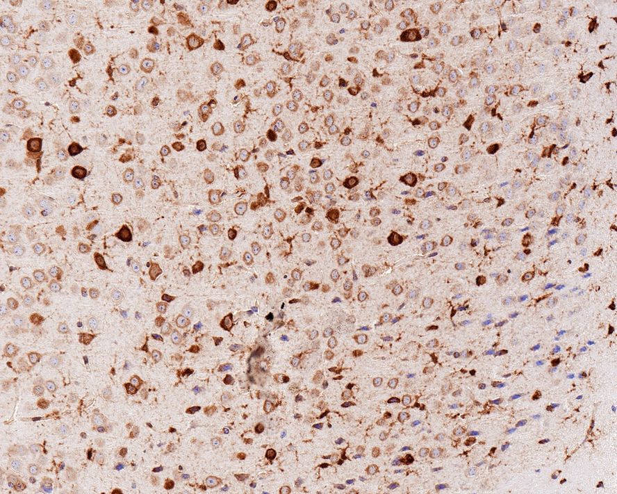
HA750693_2.jpg Fig2: Immunohistochemical analysis of paraffin-embedded mouse brain tissue with Rabbit anti-MSI2 antibody (HA750693) at 1/1,000 dilution.

The section was pre-treated using heat mediated antigen retrieval with Tris-EDTA buffer (pH 9.0) for 20 minutes. The tissues were blocked in 1% BSA for 20 minutes at room temperature, washed with ddH2O and PBS, and then probed with the primary antibody (HA750693) at 1/1,000 dilution for 1 hour at room temperature. The detection was performed using an HRP conjugated compact polymer system. DAB was used as the chromogen. Tissues were counterstained with hematoxylin and mounted with DPX.
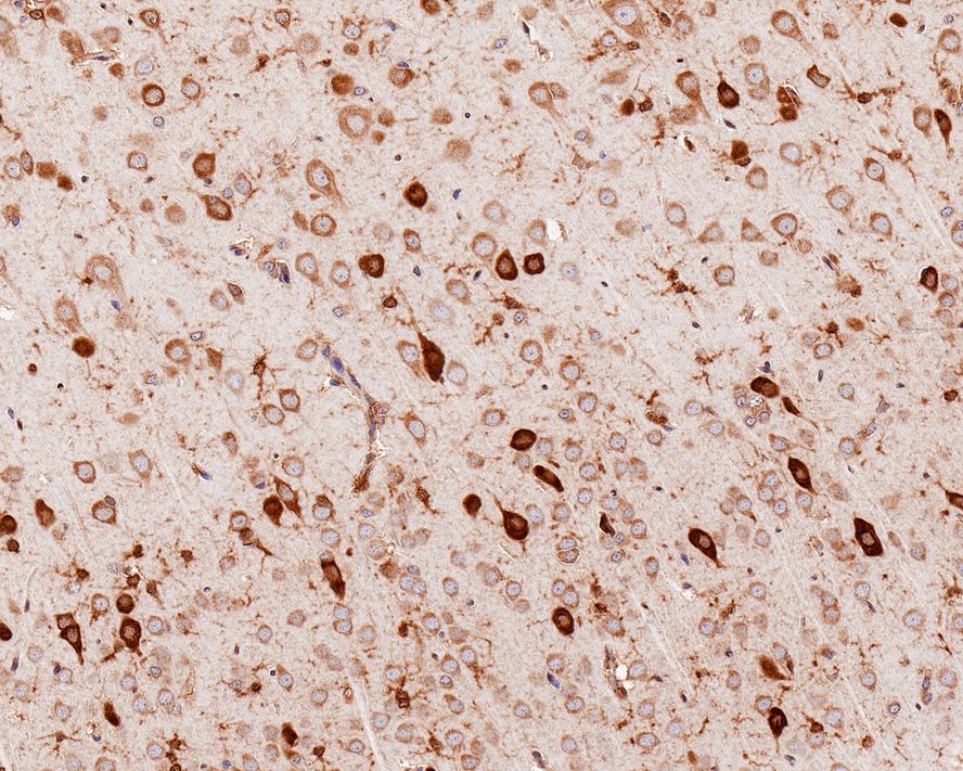
HA750693_3.jpg Fig3: Immunohistochemical analysis of paraffin-embedded rat brain tissue with Rabbit anti-MSI2 antibody (HA750693) at 1/1,000 dilution.

The section was pre-treated using heat mediated antigen retrieval with Tris-EDTA buffer (pH 9.0) for 20 minutes. The tissues were blocked in 1% BSA for 20 minutes at room temperature, washed with ddH2O and PBS, and then probed with the primary antibody (HA750693) at 1/1,000 dilution for 1 hour at room temperature. The detection was performed using an HRP conjugated compact polymer system. DAB was used as the chromogen. Tissues were counterstained with hematoxylin and mounted with DPX.
HA750693_4.jpg Fig4: Immunocytochemistry analysis of HeLa cells labeling MSI2 with Rabbit anti-MSI2 antibody (HA750693) at 1/100 dilution.

Cells were fixed in 4% paraformaldehyde for 20 minutes at room temperature, permeabilized with 0.1% Triton X-100 in PBS for 5 minutes at room temperature, then blocked with 1% BSA in 10% negative goat serum for 1 hour at room temperature. Cells were then incubated with Rabbit anti-MSI2 antibody (HA750693) at 1/100 dilution in 1% BSA in PBST overnight at 4 ℃. Goat Anti-Rabbit IgG H&L (iFluor™ 488, HA1121) was used as the secondary antibody at 1/1,000 dilution. PBS instead of the primary antibody was used as the secondary antibody only control. Nuclear DNA was labelled in blue with DAPI.

Beta tubulin (M1305-2, red) was stained at 1/100 dilution overnight at +4℃. Goat Anti-Mouse IgG H&L (iFluor™ 594, HA1126) was used as the secondary antibody at 1/1,000 dilution.
HA750693_5.jpg Fig5: MSI2 was immunoprecipitated from 0.2 mg HeLa cell lysate with HA750693 at 2 µg/10 µl beads. Western blot was performed from the immunoprecipitate using HA750693 at 1/1,000 dilution. HRP Conjugated Anti-Rabbit IgG for IP Nano-secondary antibody at 1/5,000 dilution was used for 1 hour at room temperature.

Lane 1: HeLa cell lysate (input)
Lane 2: HA750693 IP in HeLa cell lysate
Lane 3: Rabbit IgG instead of HA750693 in HeLa cell lysate

Blocking/Dilution buffer: 5% NFDM/TBST
Exposure time: 12 seconds; ECL: K1801
Note: All products are “FOR RESEARCH USE ONLY AND ARE NOT INTENDED FOR DIAGNOSTIC OR THERAPEUTIC USE”.