Mitofilin Recombinant Rabbit Monoclonal Antibody [PSH01-18]
cat.: HA750694
Product Type: Recombinant Rabbit monoclonal IgG, primary antibodies
Species reactivity: Human, Mouse, Rat
Applications: WB, IHC-P, IF-Cell, IF-Tissue
Clonality: Monoclonal
Clone number: PSH01-18
Form: Liquid
Storage condition: Store at +4℃ after thawing. Aliquot store at -20℃. Avoid repeated freeze / thaw cycles.
Storage buffer: 1*PBS (pH7.4).
Concentration: 1ug/ul
Purification: Protein A affinity purified.
Molecular weight: Predicted band size: 84 kDa
Isotype: IgG
Immunogen: Recombinant protein within human Mitofilin aa 151-400 / 758.
Positive control: HeLa cell lysate, Raji cell lysate, HEK-293 cell lysate, HepG2 cell lysate, MCF7 cell lysate, mouse brain tissue lysate, rat brain tissue lysate, human pancreas tissue, human thyroid carcinoma tissue, mouse brain tissue, rat brain tissue, HeLa.
Subcellular location: Mitochondrion inner membrane, Mitochondrion.
Recommended Dilutions:
  WB
  IHC-P
  IF-Cell
  IF-Tissue

1:5,000
1:1,000-1:5,000
1:500
1:200
Uniprot #: SwissProt: Q16891 Human | Q8CAQ8 Mouse | Q3KR86 Rat
Alternative names: Cell proliferation inducing protein 52 Cell proliferation-inducing gene 4/52 protein Heart muscle protein HMP IMMT IMMT_HUMAN Inner membrane protein mitochondrial Inner mitochrondial membrane MICOS complex subunit MIC60 MINOS2 Mitochondrial inner membrane organizing system 2 Mitochondrial inner membrane protein Mitofilin Motor protein p87 p87/89 p89 pig4 PIG52 Proliferation-inducing gene 4
Images
HA750694_1.jpg Fig1: Western blot analysis of Mitofilin on different lysates with Rabbit anti-Mitofilin antibody (HA750694) at 1/5,000 dilution.

Lane 1: HeLa cell lysate
Lane 2: Raji cell lysate
Lane 3: HEK-293 cell lysate
Lane 4: HepG2 cell lysate
Lane 5: MCF7 cell lysate
Lane 6: Mouse brain tissue lysate
Lane 7: Rat brain tissue lysate

Lysates/proteins at 30 µg/Lane.

Predicted band size: 84 kDa
Observed band size: 84 kDa

Exposure time: 24 seconds;

4-20% SDS-PAGE gel.

Proteins were transferred to a PVDF membrane and blocked with 5% NFDM/TBST for 1 hour at room temperature. The primary antibody (HA750694) at 1/5,000 dilution was used in 5% NFDM/TBST at room temperature for 2 hours. Goat Anti-Rabbit IgG - HRP Secondary Antibody (HA1001) at 1:100,000 dilution was used for 1 hour at room temperature.
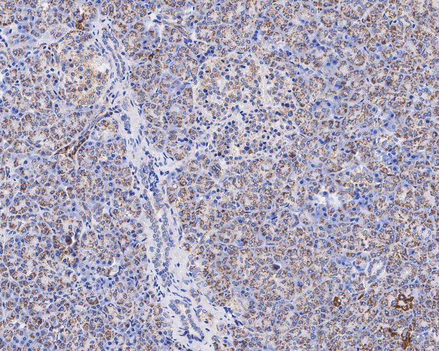
HA750694_2.jpg Fig2: Immunohistochemical analysis of paraffin-embedded human pancreas tissue with Rabbit anti-Mitofilin antibody (HA750694) at 1/1,000 dilution.

The section was pre-treated using heat mediated antigen retrieval with Tris-EDTA buffer (pH 9.0) for 20 minutes. The tissues were blocked in 1% BSA for 20 minutes at room temperature, washed with ddH2O and PBS, and then probed with the primary antibody (HA750694) at 1/1,000 dilution for 1 hour at room temperature. The detection was performed using an HRP conjugated compact polymer system. DAB was used as the chromogen. Tissues were counterstained with hematoxylin and mounted with DPX.
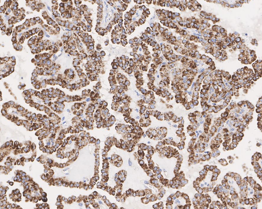
HA750694_3.jpg Fig3: Immunohistochemical analysis of paraffin-embedded human thyroid carcinoma tissue with Rabbit anti-Mitofilin antibody (HA750694) at 1/1,000 dilution.

The section was pre-treated using heat mediated antigen retrieval with Tris-EDTA buffer (pH 9.0) for 20 minutes. The tissues were blocked in 1% BSA for 20 minutes at room temperature, washed with ddH2O and PBS, and then probed with the primary antibody (HA750694) at 1/1,000 dilution for 1 hour at room temperature. The detection was performed using an HRP conjugated compact polymer system. DAB was used as the chromogen. Tissues were counterstained with hematoxylin and mounted with DPX.
HA750694_4.jpg Fig4: Immunohistochemical analysis of paraffin-embedded mouse brain tissue with Rabbit anti-Mitofilin antibody (HA750694) at 1/5,000 dilution.

The section was pre-treated using heat mediated antigen retrieval with Tris-EDTA buffer (pH 9.0) for 20 minutes. The tissues were blocked in 1% BSA for 20 minutes at room temperature, washed with ddH2O and PBS, and then probed with the primary antibody (HA750694) at 1/5,000 dilution for 1 hour at room temperature. The detection was performed using an HRP conjugated compact polymer system. DAB was used as the chromogen. Tissues were counterstained with hematoxylin and mounted with DPX.
HA750694_5.jpg Fig5: Immunohistochemical analysis of paraffin-embedded rat brain tissue with Rabbit anti-Mitofilin antibody (HA750694) at 1/5,000 dilution.

The section was pre-treated using heat mediated antigen retrieval with Tris-EDTA buffer (pH 9.0) for 20 minutes. The tissues were blocked in 1% BSA for 20 minutes at room temperature, washed with ddH2O and PBS, and then probed with the primary antibody (HA750694) at 1/5,000 dilution for 1 hour at room temperature. The detection was performed using an HRP conjugated compact polymer system. DAB was used as the chromogen. Tissues were counterstained with hematoxylin and mounted with DPX.
HA750694_6.jpg Fig6: Immunocytochemistry analysis of HeLa cells labeling Mitofilin with Rabbit anti-Mitofilin antibody (HA750694) at 1/500 dilution.

Cells were fixed in 4% paraformaldehyde for 20 minutes at room temperature, permeabilized with 0.1% Triton X-100 in PBS for 5 minutes at room temperature, then blocked with 1% BSA in 10% negative goat serum for 1 hour at room temperature. Cells were then incubated with Rabbit anti-Mitofilin antibody (HA750694) at 1/500 dilution in 1% BSA in PBST overnight at 4 ℃. Goat Anti-Rabbit IgG H&L (iFluor™ 488, HA1121) was used as the secondary antibody at 1/1,000 dilution. PBS instead of the primary antibody was used as the secondary antibody only control. Nuclear DNA was labelled in blue with DAPI.

Beta tubulin (M1305-2, red) was stained at 1/100 dilution overnight at +4℃. Goat Anti-Mouse IgG H&L (iFluor™ 594, HA1126) was used as the secondary antibody at 1/1,000 dilution.
HA750694_7.jpg Fig7: Immunofluorescence analysis of paraffin-embedded human thyroid carcinoma tissue labeling Mitofilin with Rabbit anti-Mitofilin antibody (HA750694) at 1/200 dilution.

The section was pre-treated using heat mediated antigen retrieval with Tris-EDTA buffer (pH 9.0) for 20 minutes. The tissues were blocked in 10% negative goat serum for 1 hour at room temperature, washed with PBS, and then probed with the primary antibody (HA750694, green) at 1/200 dilution overnight at 4 ℃, washed with PBS. Goat Anti-Rabbit IgG H&L (iFluor™ 488, HA1121) was used as the secondary antibody at 1/1,000 dilution. Nuclei were counterstained with DAPI (blue).
Note: All products are “FOR RESEARCH USE ONLY AND ARE NOT INTENDED FOR DIAGNOSTIC OR THERAPEUTIC USE”.