PPP2R5D Recombinant Rabbit Monoclonal Antibody [PSH01-22]
cat.: HA750698
Product Type: Recombinant Rabbit monoclonal IgG, primary antibodies
Species reactivity: Human, Mouse, Rat
Applications: WB, IHC-P, FC
Clonality: Monoclonal
Clone number: PSH01-22
Form: Liquid
Storage condition: Store at +4℃ after thawing. Aliquot store at -20℃. Avoid repeated freeze / thaw cycles.
Storage buffer: 1*PBS (pH7.4).
Concentration: 1ug/ul
Purification: Protein A affinity purified.
Molecular weight: Predicted band size: 70 kDa
Isotype: IgG
Immunogen: Recombinant protein within human PPP2R5D aa 107-602 / 602.
Positive control: A431 cell lysate, HeLa cell lysate, HepG2 cell lysate, MCF7 cell lysate, 293T cell lysate, Jurkat cell lysate, NIH/3T3 cell lysate, human brain tissue lysate, mouse brain tissue lysate, rat brain tissue lysate, rat testis tissue lysate, human brain tissue, human testis tissue, mouse testis tissue, A431, PC-12.
Subcellular location: Cytoplasm, Nucleus.
Recommended Dilutions:
  WB
  IHC-P
  FC

1:1,000
1:1,000
1:500-1:1,000
Uniprot #: SwissProt: Q14738 Human
Entrez Gene: 21770 Mouse | 363193 Rat
Alternative names: 2A5D_HUMAN B'delta B56D Delta isoform of regulatory subunit B56, protein phosphatase 2A MGC2134 MGC8949 OTTHUMP00000039821 PP2A B subunit B' delta isoform PP2A B subunit B56 delta isoform PP2A B subunit isoform B''-delta PP2A B subunit isoform B56-delta PP2A B subunit isoform PR61-delta PP2A B subunit isoform R5-delta PP2A B subunit PR61 delta isoform PP2A B subunit R5 delta isoform PPP2R5D Protein phosphatase 2 regulatory subunit B (B56) delta isoform Protein phosphatase 2 regulatory subunit B delta isoform Protein phosphatase 2 regulatory subunit B' delta Serine threonine protein phosphatase 2A 56 kDa regulatory subunit delta isoform Serine/threonine-protein phosphatase 2A 56 kDa regulatory subunit delta isoform TEG-271 Tex271
Images
HA750698_1.jpg Fig1: Western blot analysis of PPP2R5D on different lysates with Rabbit anti-PPP2R5D antibody (HA750698) at 1/1,000 dilution.

Lane 1: A431 cell lysate (20 µg/Lane)
Lane 2: HeLa cell lysate (20 µg/Lane)
Lane 3: HepG2 cell lysate (20 µg/Lane)
Lane 4: MCF7 cell lysate (20 µg/Lane)
Lane 5: 293T cell lysate (20 µg/Lane)
Lane 6: Jurkat cell lysate (20 µg/Lane)
Lane 7: NIH/3T3 cell lysate (20 µg/Lane)
Lane 8: Human brain tissue lysate (40 µg/Lane)
Lane 9: Mouse brain tissue lysate (40 µg/Lane)
Lane 10: Rat brain tissue lysate (40 µg/Lane)
Lane 11: Rat testis tissue lysate (40 µg/Lane)

Predicted band size: 70 kDa
Observed band size: 56~70 kDa

Exposure time: 2 minutes 10 seconds;

4-20% SDS-PAGE gel.

Proteins were transferred to a PVDF membrane and blocked with 5% NFDM/TBST for 1 hour at room temperature. The primary antibody (HA750698) at 1/1,000 dilution was used in 5% NFDM/TBST at room temperature for 2 hours. Goat Anti-Rabbit IgG - HRP Secondary Antibody (HA1001) at 1:100,000 dilution was used for 1 hour at room temperature.
HA750698_2.jpg Fig2: Western blot analysis of PPP2R5D on different lysates with Rabbit anti-PPP2R5D antibody (HA750698) at 1/1,000 dilution.

Lane 1: Human PPP2R5C recombinant protein aa (aa1-524) 50ng
Lane 2: Human PPP2R5D recombinant protein aa (aa107-602) 50ng

Exposure time: 14 seconds;

4-20% SDS-PAGE gel.

Proteins were transferred to a PVDF membrane and blocked with 5% NFDM/TBST for 1 hour at room temperature. The primary antibody (HA750698) at 1/1,000 dilution was used in 5% NFDM/TBST at room temperature for 2 hours. Goat Anti-Rabbit IgG - HRP Secondary Antibody (HA1001) at 1:100,000 dilution was used for 1 hour at room temperature.
HA750698_3.jpg Fig3: Immunohistochemical analysis of paraffin-embedded human brain tissue with Rabbit anti-PPP2R5D antibody (HA750698) at 1/1,000 dilution.

The section was pre-treated using heat mediated antigen retrieval with sodium citrate buffer (pH 6.0) (high pressure) for 2 minutes. The tissues were blocked in 1% BSA for 20 minutes at room temperature, washed with ddH2O and PBS, and then probed with the primary antibody (HA750698) at 1/1,000 dilution for 1 hour at room temperature. The detection was performed using an HRP conjugated compact polymer system. DAB was used as the chromogen. Tissues were counterstained with hematoxylin and mounted with DPX.
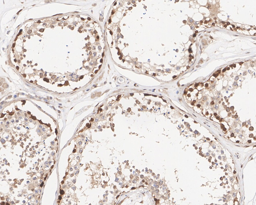
HA750698_4.jpg Fig4: Immunohistochemical analysis of paraffin-embedded human testis tissue with Rabbit anti-PPP2R5D antibody (HA750698) at 1/1,000 dilution.

The section was pre-treated using heat mediated antigen retrieval with sodium citrate buffer (pH 6.0) (high pressure) for 2 minutes. The tissues were blocked in 1% BSA for 20 minutes at room temperature, washed with ddH2O and PBS, and then probed with the primary antibody (HA750698) at 1/1,000 dilution for 1 hour at room temperature. The detection was performed using an HRP conjugated compact polymer system. DAB was used as the chromogen. Tissues were counterstained with hematoxylin and mounted with DPX.
HA750698_5.jpg Fig5: Immunohistochemical analysis of paraffin-embedded mouse testis tissue with Rabbit anti-PPP2R5D antibody (HA750698) at 1/1,000 dilution.

The section was pre-treated using heat mediated antigen retrieval with sodium citrate buffer (pH 6.0) (high pressure) for 2 minutes. The tissues were blocked in 1% BSA for 20 minutes at room temperature, washed with ddH2O and PBS, and then probed with the primary antibody (HA750698) at 1/1,000 dilution for 1 hour at room temperature. The detection was performed using an HRP conjugated compact polymer system. DAB was used as the chromogen. Tissues were counterstained with hematoxylin and mounted with DPX.
HA750698_6.jpg Fig6: Flow cytometric analysis of A431 cells labeling PPP2R5D.

Cells were fixed and permeabilized. Then stained with the primary antibody (HA750698, 1ug/ml) (red) compared with Rabbit IgG Isotype Control (green). After incubation of the primary antibody at +4℃ for an hour, the cells were stained with a iFluor™ 488 conjugate-Goat anti-Rabbit IgG Secondary antibody (HA1121) at 1/1,000 dilution for 30 minutes at +4℃. Unlabelled sample was used as a control (cells without incubation with primary antibody; black).
HA750698_7.jpg Fig7: Flow cytometric analysis of PC-12 cells labeling PPP2R5D.

Cells were fixed and permeabilized. Then stained with the primary antibody (HA750698, 1ug/ml) (red) compared with Rabbit IgG Isotype Control (green). After incubation of the primary antibody at +4℃ for an hour, the cells were stained with a iFluor™ 488 conjugate-Goat anti-Rabbit IgG Secondary antibody (HA1121) at 1/1,000 dilution for 30 minutes at +4℃. Unlabelled sample was used as a control (cells without incubation with primary antibody; black).
Note: All products are “FOR RESEARCH USE ONLY AND ARE NOT INTENDED FOR DIAGNOSTIC OR THERAPEUTIC USE”.