Ubiquinol-Cytochrome C Reductase Core Protein I Recombinant Rabbit Monoclonal Antibody [PSH01-23]
cat.: HA750699
Product Type: Recombinant Rabbit monoclonal IgG, primary antibodies
Species reactivity: Human, Mouse, Rat
Applications: WB, IHC-P, IF-Tissue, IF-Cell
Clonality: Monoclonal
Clone number: PSH01-23
Form: Liquid
Storage condition: Store at +4℃ after thawing. Aliquot store at -20℃. Avoid repeated freeze / thaw cycles.
Storage buffer: 1*PBS (pH7.4).
Concentration: 1ug/ul
Purification: Protein A affinity purified.
Molecular weight: Predicted band size: 53 kDa
Isotype: IgG
Immunogen: Recombinant protein within human UQCRC1 aa 1-480 / 480.
Positive control: HeLa cell lysate, HepG2 cell lysate, HCT 116 cell lysate, 293T cell lysate, PC-3M cell lysate, Jurkat cell lysate, NIH/3T3 cell lysate, PC-12 cell lysate, mouse kidney tissue lysate, mouse brain tissue lysate, rat kidney tissue lysate, rat brain tissue lysate, human kidney tissue, human liver tissue, human small intestine tissue, mouse kidney tissue, HepG2, 293T.
Subcellular location: Mitochondrion inner membrane.
Recommended Dilutions:
  WB
  IHC-P
  IF-Tissue
  IF-Cell

1:5,000
1:5,000
1:1,000
1:100
Uniprot #: SwissProt: P31930 Human | Q9CZ13 Mouse | Q68FY0 Rat
Alternative names: Complex III subunit 1 Core protein I Cytochrome b c1 complex subunit 1, mitochondrial Cytochrome b-c1 complex subunit 1 D3S3191 mitochondrial OTTHUMP00000164820 QCR1 QCR1_HUMAN Ubiquinol cytochrome c reductase core protein I Ubiquinol-cytochrome-c reductase complex core protein 1 UQCR1 Uqcrc1
Images
HA750699_1.jpg Fig1: Western blot analysis of Ubiquinol-Cytochrome C Reductase Core Protein I on different lysates with Rabbit anti-Ubiquinol-Cytochrome C Reductase Core Protein I antibody (HA750699) at 1/5,000 dilution.

Lane 1: HeLa cell lysate (20 µg/Lane)
Lane 2: HepG2 cell lysate (20 µg/Lane)
Lane 3: HCT 116 cell lysate (20 µg/Lane)
Lane 4: 293T cell lysate (20 µg/Lane)
Lane 5: PC-3M cell lysate (20 µg/Lane)
Lane 6: Jurkat cell lysate (20 µg/Lane)
Lane 7: NIH/3T3 cell lysate (20 µg/Lane)
Lane 8: PC-12 cell lysate (20 µg/Lane)
Lane 9: Mouse kidney tissue lysate (40 µg/Lane)
Lane 10: Mouse brain tissue lysate (40 µg/Lane)
Lane 11: Rat kidney tissue lysate (40 µg/Lane)
Lane 12: Rat brain tissue lysate (40 µg/Lane)

Predicted band size: 53 kDa
Observed band size: 45 kDa

Exposure time: 8 seconds;

4-20% SDS-PAGE gel.

Proteins were transferred to a PVDF membrane and blocked with 5% NFDM/TBST for 1 hour at room temperature. The primary antibody (HA750699) at 1/5,000 dilution was used in 5% NFDM/TBST at room temperature for 2 hours. Goat Anti-Rabbit IgG - HRP Secondary Antibody (HA1001) at 1:100,000 dilution was used for 1 hour at room temperature.
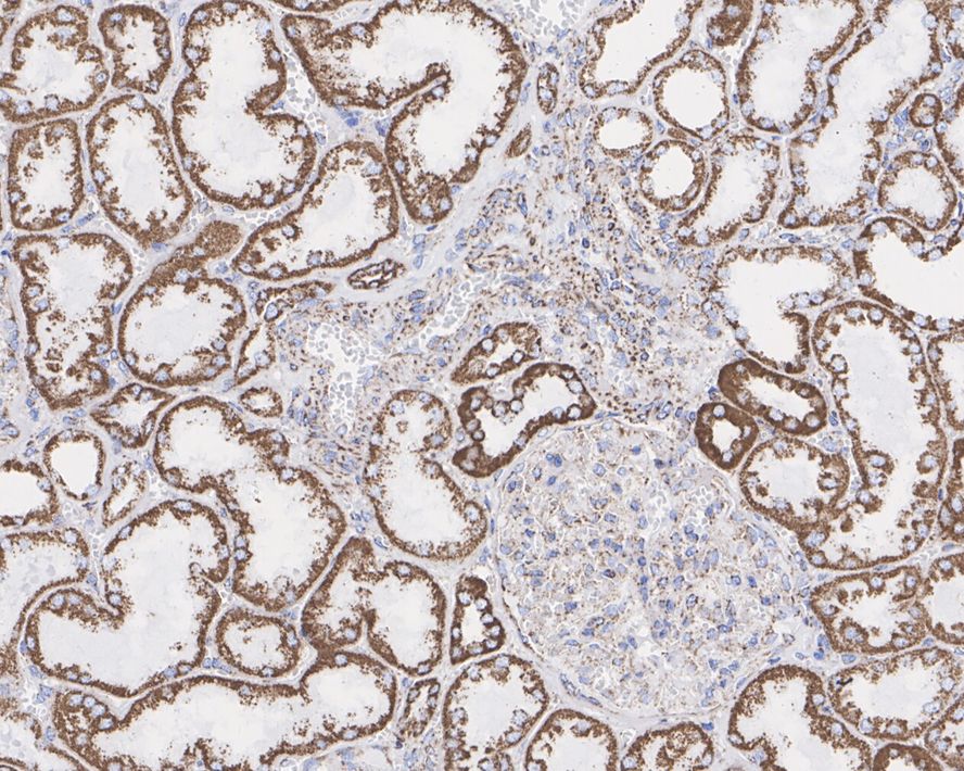
HA750699_2.jpg Fig2: Immunohistochemical analysis of paraffin-embedded human kidney tissue with Rabbit anti-Ubiquinol-Cytochrome C Reductase Core Protein I antibody (HA750699) at 1/5,000 dilution.

The section was pre-treated using heat mediated antigen retrieval with Tris-EDTA buffer (pH 9.0) for 20 minutes. The tissues were blocked in 1% BSA for 20 minutes at room temperature, washed with ddH2O and PBS, and then probed with the primary antibody (HA750699) at 1/5,000 dilution for 1 hour at room temperature. The detection was performed using an HRP conjugated compact polymer system. DAB was used as the chromogen. Tissues were counterstained with hematoxylin and mounted with DPX.
HA750699_3.jpg Fig3: Immunohistochemical analysis of paraffin-embedded human liver tissue with Rabbit anti-Ubiquinol-Cytochrome C Reductase Core Protein I antibody (HA750699) at 1/5,000 dilution.

The section was pre-treated using heat mediated antigen retrieval with Tris-EDTA buffer (pH 9.0) for 20 minutes. The tissues were blocked in 1% BSA for 20 minutes at room temperature, washed with ddH2O and PBS, and then probed with the primary antibody (HA750699) at 1/5,000 dilution for 1 hour at room temperature. The detection was performed using an HRP conjugated compact polymer system. DAB was used as the chromogen. Tissues were counterstained with hematoxylin and mounted with DPX.
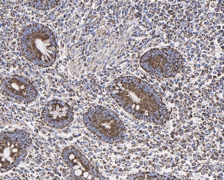
HA750699_4.jpg Fig4: Immunohistochemical analysis of paraffin-embedded human small intestine tissue with Rabbit anti-Ubiquinol-Cytochrome C Reductase Core Protein I antibody (HA750699) at 1/5,000 dilution.

The section was pre-treated using heat mediated antigen retrieval with Tris-EDTA buffer (pH 9.0) for 20 minutes. The tissues were blocked in 1% BSA for 20 minutes at room temperature, washed with ddH2O and PBS, and then probed with the primary antibody (HA750699) at 1/5,000 dilution for 1 hour at room temperature. The detection was performed using an HRP conjugated compact polymer system. DAB was used as the chromogen. Tissues were counterstained with hematoxylin and mounted with DPX.
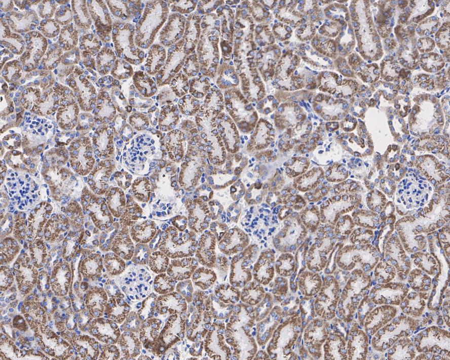
HA750699_5.jpg Fig5: Immunohistochemical analysis of paraffin-embedded mouse kidney tissue with Rabbit anti-Ubiquinol-Cytochrome C Reductase Core Protein I antibody (HA750699) at 1/5,000 dilution.

The section was pre-treated using heat mediated antigen retrieval with Tris-EDTA buffer (pH 9.0) for 20 minutes. The tissues were blocked in 1% BSA for 20 minutes at room temperature, washed with ddH2O and PBS, and then probed with the primary antibody (HA750699) at 1/5,000 dilution for 1 hour at room temperature. The detection was performed using an HRP conjugated compact polymer system. DAB was used as the chromogen. Tissues were counterstained with hematoxylin and mounted with DPX.
HA750699_6.jpg Fig6: Immunofluorescence analysis of paraffin-embedded human liver tissue labeling Ubiquinol-Cytochrome C Reductase Core Protein I with Rabbit anti-Ubiquinol-Cytochrome C Reductase Core Protein I antibody (HA750699) at 1/1,000 dilution.

The section was pre-treated using heat mediated antigen retrieval with Tris-EDTA buffer (pH 9.0) for 20 minutes. The tissues were blocked in 10% negative goat serum for 1 hour at room temperature, washed with PBS, and then probed with the primary antibody (HA750699, green) at 1/1,000 dilution overnight at 4 ℃, washed with PBS. Goat Anti-Rabbit IgG H&L (iFluor™ 488, HA1121) was used as the secondary antibody at 1/1,000 dilution. Nuclei were counterstained with DAPI (blue).
HA750699_7.jpg Fig7: Immunofluorescence analysis of paraffin-embedded human kidney tissue labeling Ubiquinol-Cytochrome C Reductase Core Protein I with Rabbit anti-Ubiquinol-Cytochrome C Reductase Core Protein I antibody (HA750699) at 1/1,000 dilution.

The section was pre-treated using heat mediated antigen retrieval with Tris-EDTA buffer (pH 9.0) for 20 minutes. The tissues were blocked in 10% negative goat serum for 1 hour at room temperature, washed with PBS, and then probed with the primary antibody (HA750699, green) at 1/1,000 dilution overnight at 4 ℃, washed with PBS. Goat Anti-Rabbit IgG H&L (iFluor™ 488, HA1121) was used as the secondary antibody at 1/1,000 dilution. Nuclei were counterstained with DAPI (blue).
HA750699_8.jpg Fig8: Immunocytochemistry analysis of HepG2 cells labeling Ubiquinol-Cytochrome C Reductase Core Protein I with Rabbit anti-Ubiquinol-Cytochrome C Reductase Core Protein I antibody (HA750699) at 1/100 dilution.

Cells were fixed in 4% paraformaldehyde for 20 minutes at room temperature, permeabilized with 0.1% Triton X-100 in PBS for 5 minutes at room temperature, then blocked with 1% BSA in 10% negative goat serum for 1 hour at room temperature. Cells were then incubated with Rabbit anti-Ubiquinol-Cytochrome C Reductase Core Protein I antibody (HA750699) at 1/100 dilution in 1% BSA in PBST overnight at 4 ℃. Goat Anti-Rabbit IgG H&L (iFluor™ 488, HA1121) was used as the secondary antibody at 1/1,000 dilution. PBS instead of the primary antibody was used as the secondary antibody only control. Nuclear DNA was labelled in blue with DAPI.

Beta tubulin (M1305-2, red) was stained at 1/100 dilution overnight at +4℃. Goat Anti-Mouse IgG H&L (iFluor™ 594, HA1126) was used as the secondary antibody at 1/1,000 dilution.
HA750699_9.jpg Fig9: Immunocytochemistry analysis of 293T cells labeling Ubiquinol-Cytochrome C Reductase Core Protein I with Rabbit anti-Ubiquinol-Cytochrome C Reductase Core Protein I antibody (HA750699) at 1/100 dilution.

Cells were fixed in 4% paraformaldehyde for 20 minutes at room temperature, permeabilized with 0.1% Triton X-100 in PBS for 5 minutes at room temperature, then blocked with 1% BSA in 10% negative goat serum for 1 hour at room temperature. Cells were then incubated with Rabbit anti-Ubiquinol-Cytochrome C Reductase Core Protein I antibody (HA750699) at 1/100 dilution in 1% BSA in PBST overnight at 4 ℃. Goat Anti-Rabbit IgG H&L (iFluor™ 488, HA1121) was used as the secondary antibody at 1/1,000 dilution. PBS instead of the primary antibody was used as the secondary antibody only control. Nuclear DNA was labelled in blue with DAPI.

Beta tubulin (M1305-2, red) was stained at 1/100 dilution overnight at +4℃. Goat Anti-Mouse IgG H&L (iFluor™ 594, HA1126) was used as the secondary antibody at 1/1,000 dilution.
Note: All products are “FOR RESEARCH USE ONLY AND ARE NOT INTENDED FOR DIAGNOSTIC OR THERAPEUTIC USE”.