EpCAM Recombinant Rabbit Monoclonal Antibody [PS01-69]
cat.: HA750703
Product Type: Recombinant Rabbit monoclonal IgG, primary antibodies
Species reactivity: Human
Applications: IHC-P, IF-Cell, FC
Clonality: Monoclonal
Clone number: PS01-69
Form: Liquid
Storage condition: Store at +4℃ after thawing. Aliquot store at -20℃. Avoid repeated freeze / thaw cycles.
Storage buffer: 1*PBS (pH7.4).
Concentration: 1ug/ul
Purification: Protein A affinity purified.
Molecular weight: Predicted band size: 35 kDa
Isotype: IgG
Immunogen: Recombinant protein within human EpCAM aa1-295.
Positive control: Human colon tissue, HT-29.
Subcellular location: Lateral cell membrane, Cell junction.
Recommended Dilutions:
  IHC-P
  IF-Cell
  FC

1:200
1:100
1:500-1:1,000
Uniprot #: SwissProt: P16422 Human
Alternative names: 17 1A 323/A3 Adenocarcinoma associated antigen Adenocarcinoma-associated antigen Antigen identified by monoclonal AUA1 AUA1 CD326 CD326 antigen Cell surface glycoprotein Trop 1 Cell surface glycoprotein Trop 2 Cell surface glycoprotein Trop-1 CO 17A CO17 1A CO17A DIAR5 EGP 2 EGP EGP2 EGP314 EGP40 Ep CAM Ep-CAM EPCAM EPCAM_HUMAN EpCAM1 Epithelial cell adhesion molecule Epithelial Cell Adhesion Molecule Intracellular Domain (EpCAM-ICD) Epithelial cell surface antigen Epithelial cellular adhesion molecule Epithelial glycoprotein 1 Epithelial glycoprotein 314 Epithelial glycoprotein ESA GA733 1 GA733 2 GA733-2 gastrointestinal tumor-associated antigen 2, 35-KD glycoprotein gp4 hEGP 2 hEGP314 HNPCC8 Human epithelial glycoprotein 2 KS 1/4 antigen KS1/4 KSA Ly74 Lymphocyte antigen 74 M1S 1 M1S2 M4S1 Major gastrointestinal tumor associated protein GA733 2 Major gastrointestinal tumor-associa......
Images
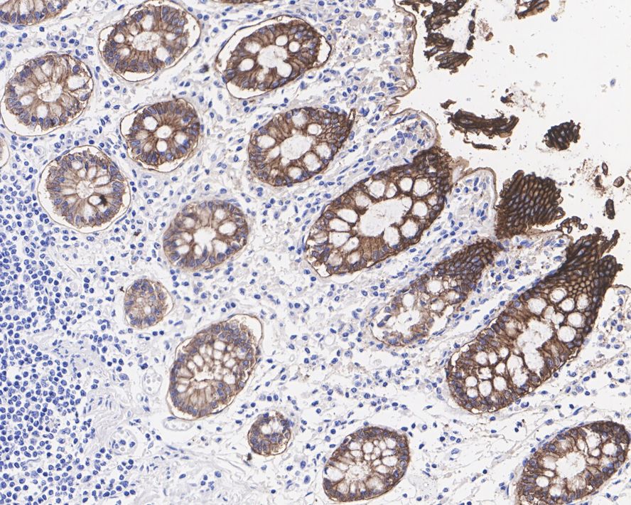
HA750703_1.jpg Fig1: Immunohistochemical analysis of paraffin-embedded human colon tissue with Rabbit anti-EpCAM antibody (HA750703) at 1/200 dilution.

The section was pre-treated using heat mediated antigen retrieval with Tris-EDTA buffer (pH 9.0) for 20 minutes. The tissues were blocked in 1% BSA for 20 minutes at room temperature, washed with ddH2O and PBS, and then probed with the primary antibody (HA750703) at 1/200 dilution for 1 hour at room temperature. The detection was performed using an HRP conjugated compact polymer system. DAB was used as the chromogen. Tissues were counterstained with hematoxylin and mounted with DPX.
HA750703_2.jpg Fig2: Immunocytochemistry analysis of HT-29 cells labeling EpCAM with Rabbit anti-EpCAM antibody (HA750703) at 1/100 dilution.

Cells were fixed in 4% paraformaldehyde for 15 minutes at room temperature, permeabilized with 0.1% Triton X-100 in PBS for 15 minutes at room temperature, then blocked with 1% BSA in 10% negative goat serum for 1 hour at room temperature. Cells were then incubated with Rabbit anti-EpCAM antibody (HA750703) at 1/100 dilution in 1% BSA in PBST overnight at 4 ℃. Goat Anti-Rabbit IgG H&L (iFluor™ 488, HA1121) was used as the secondary antibody at 1/1,000 dilution. PBS instead of the primary antibody was used as the secondary antibody only control. Nuclear DNA was labelled in blue with DAPI.

Beta tubulin (HA601187, red) was stained at 1/100 dilution overnight at +4℃. Goat Anti-Mouse IgG H&L (iFluor™ 594, HA1126) was used as the secondary antibody at 1/1,000 dilution.
HA750703_3.jpg Fig3: Flow cytometric analysis of HT-29 cells labeling EpCAM.

Cells were washed twice with cold PBS and resuspend. Then stained with the primary antibody (HA750703, 1ug/ml) (red) compared with Rabbit IgG Isotype Control (green). After incubation of the primary antibody at +4℃ for an hour, the cells were stained with a iFluor™ 488 conjugate-Goat anti-Rabbit IgG Secondary antibody (HA1121) at 1/1,000 dilution for 30 minutes at +4℃. Unlabelled sample was used as a control (cells without incubation with primary antibody; black).
Note: All products are “FOR RESEARCH USE ONLY AND ARE NOT INTENDED FOR DIAGNOSTIC OR THERAPEUTIC USE”.