INPP4A Recombinant Rabbit Monoclonal Antibody [PSH01-27]
cat.: HA750705
Product Type: Recombinant Rabbit monoclonal IgG, primary antibodies
Species reactivity: Human, Mouse, Rat
Applications: WB, IHC-P, IF-Cell
Clonality: Monoclonal
Clone number: PSH01-27
Form: Liquid
Storage condition: Store at +4℃ after thawing. Aliquot store at -20℃. Avoid repeated freeze / thaw cycles.
Storage buffer: 1*PBS (pH7.4).
Concentration: 1ug/ul
Purification: Protein A affinity purified.
Molecular weight: Predicted band size: 110 kDa
Isotype: IgG
Immunogen: Recombinant protein within human INPP4A aa 1-250 / 977.
Positive control: Jurkat cell lysate, 293T cell lysate, mouse brain tissue lysate, rat brain tissue lysate, Jurkat, rat brain tissue, mouse brain tissue.
Subcellular location: Early endosome membrane, Recycling endosome membrane, Cell membrane, Nucleus, Cytoplasm, Postsynaptic density.
Recommended Dilutions:
  WB
  IHC-P
  IF-Cell

1:1,000-1:5,000
1:200
1:100
Uniprot #: SwissProt: Q96PE3 Human | Q9EPW0 Mouse | Q62784 Rat
Alternative names: 107kDa 4-bisphosphate 4-phosphatase 9630012D15 D130048C09Rik Inositol polyphosphate 4 phosphatase type I 107kDa Inositol polyphosphate 4 phosphatase type I Inositol polyphosphate 4-phosphatase type I INP4A_HUMAN INPP4 Inpp4a OTTHUMP00000203138 OTTHUMP00000203139 OTTHUMP00000203141 OTTHUMP00000225217 R74740 TVAS1 Type I inositol 3 4 bisphosphate 4 phosphatase Type I inositol 3,4 bisphosphate 4 phosphatase Type I inositol-3
Images
HA750705_1.jpg Fig1: Western blot analysis of INPP4A on different lysates with Rabbit anti-INPP4A antibody (HA750705) at 1/5,000 dilution and competitor's antibody at 1/1,000 dilution.

Lane 1: Jurkat cell lysate
Lane 2: 293T cell lysate
Lane 3: Mouse brain tissue lysate
Lane 4: Mouse liver tissue lysate (low expression)
Lane 5: Rat brain tissue lysate
Lane 6: Rat liver tissue lysate (low expression)

Lysates/proteins at 20 µg/Lane.

Predicted band size: 110 kDa
Observed band size: 110 kDa

Exposure time: 1 minute; ECL: K1802;

4-20% SDS-PAGE gel.

Proteins were transferred to a PVDF membrane and blocked with 5% NFDM/TBST for 1 hour at room temperature. The primary antibody (HA750705) at 1/5,000 dilution and competitor's antibody at 1/1,000 dilution were used in 5% NFDM/TBST at 4℃ overnight. Goat Anti-Rabbit IgG - HRP Secondary Antibody (HA1001) at 1/50,000 dilution was used for 1 hour at room temperature.
HA750705_2.jpg Fig2: Immunocytochemistry analysis of Jurkat cells labeling INPP4A with Rabbit anti-INPP4A antibody (HA750705) at 1/100 dilution.

Cells were fixed in 4% paraformaldehyde for 20 minutes at room temperature, permeabilized with 0.1% Triton X-100 in PBS for 5 minutes at room temperature, then blocked with 1% BSA in 10% negative goat serum for 1 hour at room temperature. Cells were then incubated with Rabbit anti-INPP4A antibody (HA750705) at 1/100 dilution in 1% BSA in PBST overnight at 4 ℃. Goat Anti-Rabbit IgG H&L (iFluor™ 488, HA1121) was used as the secondary antibody at 1/1,000 dilution. PBS instead of the primary antibody was used as the secondary antibody only control. Nuclear DNA was labelled in blue with DAPI.

Beta tubulin (M1305-2, red) was stained at 1/100 dilution overnight at +4℃. Goat Anti-Mouse IgG H&L (iFluor™ 594, HA1126) was used as the secondary antibody at 1/1,000 dilution.
HA750705_3.jpg Fig3: Immunohistochemical analysis of paraffin-embedded rat brain tissue with Rabbit anti-INPP4A antibody (HA750705) at 1/200 dilution.

The section was pre-treated using heat mediated antigen retrieval with sodium citrate buffer (pH 6.0) (high pressure) for 2 minutes. The tissues were blocked in 1% BSA for 20 minutes at room temperature, washed with ddH2O and PBS, and then probed with the primary antibody (HA750705) at 1/200 dilution for 1 hour at room temperature. The detection was performed using an HRP conjugated compact polymer system. DAB was used as the chromogen. Tissues were counterstained with hematoxylin and mounted with DPX.
HA750705_4.jpg Fig4: Immunohistochemical analysis of paraffin-embedded mouse brain tissue with Rabbit anti-INPP4A antibody (HA750705) at 1/200 dilution.

The section was pre-treated using heat mediated antigen retrieval with sodium citrate buffer (pH 6.0) (high pressure) for 2 minutes. The tissues were blocked in 1% BSA for 20 minutes at room temperature, washed with ddH2O and PBS, and then probed with the primary antibody (HA750705) at 1/200 dilution for 1 hour at room temperature. The detection was performed using an HRP conjugated compact polymer system. DAB was used as the chromogen. Tissues were counterstained with hematoxylin and mounted with DPX.
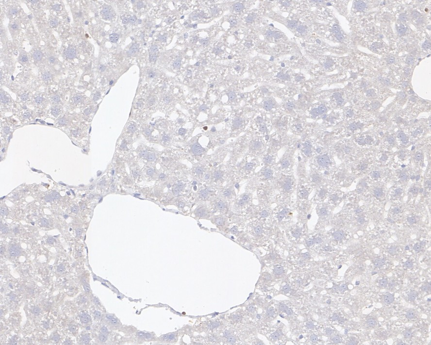
HA750705_5.jpg Fig5: Immunohistochemical analysis of paraffin-embedded mouse liver tissue (low expression) with Rabbit anti-INPP4A antibody (HA750705) at 1/200 dilution.

The section was pre-treated using heat mediated antigen retrieval with sodium citrate buffer (pH 6.0) (high pressure) for 2 minutes. The tissues were blocked in 1% BSA for 20 minutes at room temperature, washed with ddH2O and PBS, and then probed with the primary antibody (HA750705) at 1/200 dilution for 1 hour at room temperature. The detection was performed using an HRP conjugated compact polymer system. DAB was used as the chromogen. Tissues were counterstained with hematoxylin and mounted with DPX.
HA750705_6.jpg Fig6: Western blot analysis of INPP4A on different lysates with Rabbit anti-INPP4A antibody (HA750705) at 1/2,000 dilution.

Lane 1: 293T-si NT cell lysate
Lane 2: 293T-si INPP4A cell lysate

Lysates/proteins at 10 µg/Lane.

Predicted band size: 110 kDa
Observed band size: 110 kDa

Exposure time: 1 minute 58 seconds; ECL: K1801;

4-20% SDS-PAGE gel.

Proteins were transferred to a PVDF membrane and blocked with 5% NFDM/TBST for 1 hour at room temperature. The primary antibody (HA750705) at 1/2,000 dilution was used in 5% NFDM/TBST at 4℃ overnight. Goat Anti-Rabbit IgG - HRP Secondary Antibody (HA1001) at 1/100,000 dilution was used for 1 hour at room temperature.
Note: All products are “FOR RESEARCH USE ONLY AND ARE NOT INTENDED FOR DIAGNOSTIC OR THERAPEUTIC USE”.