HADHA Recombinant Rabbit Monoclonal Antibody [PSH01-28]
cat.: HA750706
Product Type: Recombinant Rabbit monoclonal IgG, primary antibodies
Species reactivity: Human, Mouse, Rat, Monkey
Applications: WB, IHC-P, IF-Cell
Clonality: Monoclonal
Clone number: PSH01-28
Form: Liquid
Storage condition: Store at +4℃ after thawing. Aliquot store at -20℃. Avoid repeated freeze / thaw cycles.
Storage buffer: 1*PBS (pH7.4).
Concentration: 1ug/ul
Purification: Protein A affinity purified.
Molecular weight: Predicted band size: 83 kDa
Isotype: IgG
Immunogen: Recombinant protein within human HADHA aa 1-763 / 763.
Positive control: 293T cell lysate, HeLa cell lysate, HepG2 cell lysate, Jurkat cell lysate, SH-SY5Y cell lysate, COS-1 cell lysate, mouse heart tissue lysate, mouse kidney tissue lysate, human kidney tissue lysate, rat liver tissue lysate, HeLa, human heart tissue, human kidney tissue, mouse heart tissue, mouse kidney tissue, rat heart tissue.
Subcellular location: Mitochondrion, Mitochondrion inner membrane.
Recommended Dilutions:
  WB
  IHC-P
  IF-Cell

1:1,000
1:1,000
1:100
Uniprot #: SwissProt: P40939 Human | Q8BMS1 Mouse | Q64428 Rat
Alternative names: 3 ketoacyl Coenzyme A (CoA) thiolase alpha subunit 3 oxoacyl CoA thiolase 78 kDa gastrin binding protein 78 kDa gastrin-binding protein ECHA ECHA_HUMAN GBP HADH HADHA Hydroxyacyl Coenzyme A dehydrogenase/3 ketoacyl Coenzyme A thiolase/enoyl Coenzyme A hydratase (trifunctional protein) alpha subunit LCEH LCHAD Long chain 3-hydroxyacyl-CoA dehydrogenase Mitochondrial long chain 2 enoyl Coenzyme A (CoA) hydratase alpha subunit Mitochondrial long chain L 3 hydroxyacyl Coenzyme A dehydrogenase alpha subunit Mitochondrial trifunctional enzyme alpha subunit Mitochondrial trifunctional protein alpha subunit MTPA Thiolase/enoyl Coenzyme A hydratase (trifunctional protein) alpha subunit TP ALPHA TP-alpha Trifunctional enzyme subunit alpha mitochondrial precursor
Images
HA750706_1.jpg Fig1: Western blot analysis of HADHA on different lysates with Rabbit anti-HADHA antibody (HA750706) at 1/1,000 dilution.

Lane 1: 293T cell lysate
Lane 2: HeLa cell lysate
Lane 3: HepG2 cell lysate
Lane 4: Jurkat cell lysate
Lane 5: SH-SY5Y cell lysate
Lane 6: COS-1 cell lysate
Lane 7: Mouse heart tissue lysate
Lane 8: Mouse kidney tissue lysate
Lane 9: Human kidney tissue lysate
Lane 10: Rat liver tissue lysate

Lysates/proteins at 30 µg/Lane.

Predicted band size: 83 kDa
Observed band size: 74 kDa

Exposure time: 1 minute 40 seconds;
4-20% SDS-PAGE gel.

Proteins were transferred to a PVDF membrane and blocked with 5% NFDM/TBST for 1 hour at room temperature. The primary antibody (HA750706) at 1/1,000 dilution was used in 5% NFDM/TBST at room temperature for 2 hours. Goat Anti-Rabbit IgG - HRP Secondary Antibody (HA1001) at 1:100,000 dilution was used for 1 hour at room temperature.
HA750706_2.jpg Fig2: Immunocytochemistry analysis of HeLa cells labeling HADHA with Rabbit anti-HADHA antibody (HA750706) at 1/100 dilution.

Cells were fixed in 4% paraformaldehyde for 20 minutes at room temperature, permeabilized with 0.1% Triton X-100 in PBS for 5 minutes at room temperature, then blocked with 1% BSA in 10% negative goat serum for 1 hour at room temperature. Cells were then incubated with Rabbit anti-HADHA antibody (HA750706) at 1/100 dilution in 1% BSA in PBST overnight at 4 ℃. Goat Anti-Rabbit IgG H&L (iFluor™ 488, HA1121) was used as the secondary antibody at 1/1,000 dilution. PBS instead of the primary antibody was used as the secondary antibody only control. Nuclear DNA was labelled in blue with DAPI.

Beta tubulin (M1305-2, red) was stained at 1/100 dilution overnight at +4℃. Goat Anti-Mouse IgG H&L (iFluor™ 594, HA1126) was used as the secondary antibody at 1/1,000 dilution.
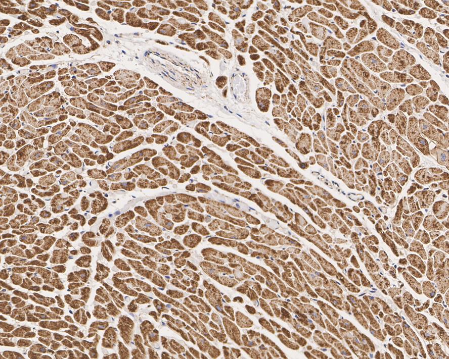
HA750706_3.jpg Fig3: Immunohistochemical analysis of paraffin-embedded human heart tissue with Rabbit anti-HADHA antibody (HA750706) at 1/1,000 dilution.

The section was pre-treated using heat mediated antigen retrieval with Tris-EDTA buffer (pH 9.0) for 20 minutes. The tissues were blocked in 1% BSA for 20 minutes at room temperature, washed with ddH2O and PBS, and then probed with the primary antibody (HA750706) at 1/1,000 dilution for 1 hour at room temperature. The detection was performed using an HRP conjugated compact polymer system. DAB was used as the chromogen. Tissues were counterstained with hematoxylin and mounted with DPX.
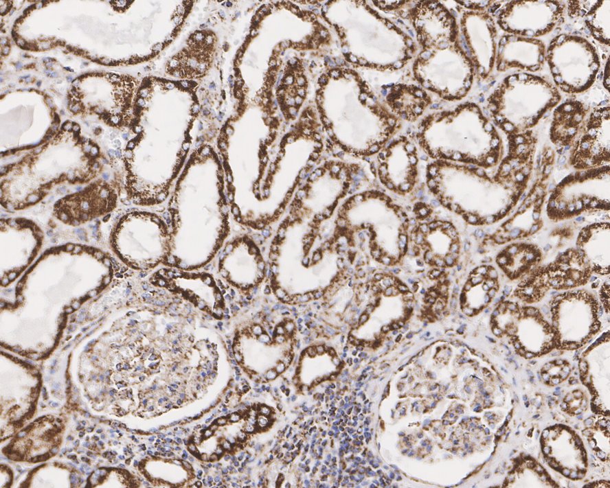
HA750706_4.jpg Fig4: Immunohistochemical analysis of paraffin-embedded human kidney tissue with Rabbit anti-HADHA antibody (HA750706) at 1/1,000 dilution.

The section was pre-treated using heat mediated antigen retrieval with Tris-EDTA buffer (pH 9.0) for 20 minutes. The tissues were blocked in 1% BSA for 20 minutes at room temperature, washed with ddH2O and PBS, and then probed with the primary antibody (HA750706) at 1/1,000 dilution for 1 hour at room temperature. The detection was performed using an HRP conjugated compact polymer system. DAB was used as the chromogen. Tissues were counterstained with hematoxylin and mounted with DPX.
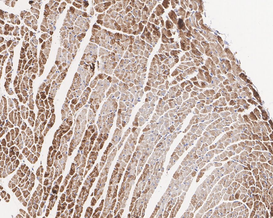
HA750706_5.jpg Fig5: Immunohistochemical analysis of paraffin-embedded mouse heart tissue with Rabbit anti-HADHA antibody (HA750706) at 1/1,000 dilution.

The section was pre-treated using heat mediated antigen retrieval with Tris-EDTA buffer (pH 9.0) for 20 minutes. The tissues were blocked in 1% BSA for 20 minutes at room temperature, washed with ddH2O and PBS, and then probed with the primary antibody (HA750706) at 1/1,000 dilution for 1 hour at room temperature. The detection was performed using an HRP conjugated compact polymer system. DAB was used as the chromogen. Tissues were counterstained with hematoxylin and mounted with DPX.
HA750706_6.jpg Fig6: Immunohistochemical analysis of paraffin-embedded mouse kidney tissue with Rabbit anti-HADHA antibody (HA750706) at 1/1,000 dilution.

The section was pre-treated using heat mediated antigen retrieval with Tris-EDTA buffer (pH 9.0) for 20 minutes. The tissues were blocked in 1% BSA for 20 minutes at room temperature, washed with ddH2O and PBS, and then probed with the primary antibody (HA750706) at 1/1,000 dilution for 1 hour at room temperature. The detection was performed using an HRP conjugated compact polymer system. DAB was used as the chromogen. Tissues were counterstained with hematoxylin and mounted with DPX.
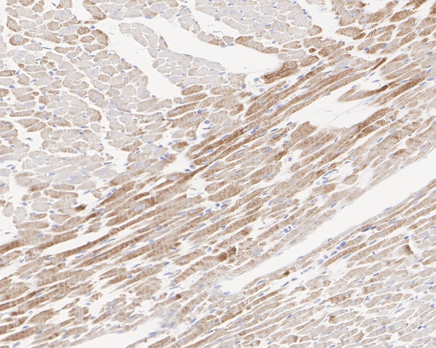
HA750706_7.jpg Fig7: Immunohistochemical analysis of paraffin-embedded rat heart tissue with Rabbit anti-HADHA antibody (HA750706) at 1/1,000 dilution.

The section was pre-treated using heat mediated antigen retrieval with Tris-EDTA buffer (pH 9.0) for 20 minutes. The tissues were blocked in 1% BSA for 20 minutes at room temperature, washed with ddH2O and PBS, and then probed with the primary antibody (HA750706) at 1/1,000 dilution for 1 hour at room temperature. The detection was performed using an HRP conjugated compact polymer system. DAB was used as the chromogen. Tissues were counterstained with hematoxylin and mounted with DPX.
Note: All products are “FOR RESEARCH USE ONLY AND ARE NOT INTENDED FOR DIAGNOSTIC OR THERAPEUTIC USE”.