QPRT Recombinant Rabbit Monoclonal Antibody [PSH01-31]
cat.: HA750709
Product Type: Recombinant Rabbit monoclonal IgG, primary antibodies
Species reactivity: Human
Applications: WB, IHC-P
Clonality: Monoclonal
Clone number: PSH01-31
Form: Liquid
Storage condition: Store at +4℃ after thawing. Aliquot store at -20℃. Avoid repeated freeze / thaw cycles.
Storage buffer: 1*PBS (pH7.4).
Concentration: 1ug/ul
Purification: Protein A affinity purified.
Molecular weight: Predicted band size: 31 kDa
Isotype: IgG
Immunogen: Recombinant protein within human QPRT aa 1-297 / 297.
Positive control: HepG2 cell lysate, MCF7 cell lysate, SK-Br-3 cell lysate, HEK-293 cell lysate, HeLa cell lysate, human kidney tissue.
Subcellular location: Catalytic complex, cytoplasm, cytosol, extracellular exosome.
Recommended Dilutions:
  WB
  IHC-P

1:1,000
1:1,000
Uniprot #: SwissProt: Q15274 Human
Alternative names: NADC_HUMAN Nicotinate nucleotide pyrophosphorylase (carboxylating) Nicotinate-nucleotide pyrophosphorylase [carboxylating] QAPRTase QPRT QPRTase Quinolinate phosphoribosyltransferase [decarboxylating] Quinolinate phosphoribosyltransferase
Images
HA750709_1.jpg Fig1: Western blot analysis of QPRT on different lysates with Rabbit anti-QPRT antibody (HA750709) at 1/1,000 dilution.

Lane 1: HepG2 cell lysate (20 µg/Lane)
Lane 2: MCF7 cell lysate (20 µg/Lane)
Lane 3: SK-Br-3 cell lysate (20 µg/Lane)
Lane 4: HEK-293 cell lysate (20 µg/Lane)
Lane 5: HeLa cell lysate (20 µg/Lane)

Predicted band size: 31 kDa
Observed band size: 31 kDa

Exposure time: 2 minutes 45 seconds;

4-20% SDS-PAGE gel.

Proteins were transferred to a PVDF membrane and blocked with 5% NFDM/TBST for 1 hour at room temperature. The primary antibody (HA750709) at 1/1,000 dilution was used in 5% NFDM/TBST at room temperature for 2 hours. Goat Anti-Rabbit IgG - HRP Secondary Antibody (HA1001) at 1/100,000 dilution was used for 1 hour at room temperature.
HA750709_2.jpg Fig2: Western blot analysis of QPRT on different lysates with Rabbit anti-QPRT antibody (HA750709) at 1/2,000 dilution.

Lane 1: HAP1-parental cell lysate
Lane 2: HAP1-QPRT KD cell lysate

Lysates/proteins at 10 µg/Lane.

Predicted band size: 31 kDa
Observed band size: 31 kDa

Exposure time: 3 minutes; ECL: K1801;

4-20% SDS-PAGE gel.

Proteins were transferred to a PVDF membrane and blocked with 5% NFDM/TBST for 1 hour at room temperature. The primary antibody (HA750709) at 1/2,000 dilution was used in primary antibody dilution (K1803) at 4℃ overnight. Goat Anti-Rabbit IgG - HRP Secondary Antibody (HA1001) at 1/50,000 dilution was used for 1 hour at room temperature.
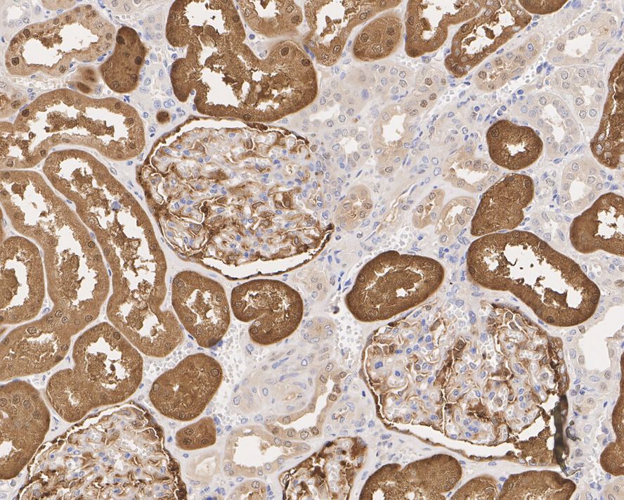
HA750709_3.jpg Fig3: Immunohistochemical analysis of paraffin-embedded human kidney tissue with Rabbit anti-QPRT antibody (HA750709) at 1/1,000 dilution.

The section was pre-treated using heat mediated antigen retrieval with Tris-EDTA buffer (pH 9.0) for 20 minutes. The tissues were blocked in 1% BSA for 20 minutes at room temperature, washed with ddH2O and PBS, and then probed with the primary antibody (HA750709) at 1/1,000 dilution for 1 hour at room temperature. The detection was performed using an HRP conjugated compact polymer system. DAB was used as the chromogen. Tissues were counterstained with hematoxylin and mounted with DPX.
Note: All products are “FOR RESEARCH USE ONLY AND ARE NOT INTENDED FOR DIAGNOSTIC OR THERAPEUTIC USE”.